睾丸横向异位合并持续性勒管综合征1例。

IF 2.2 3区 医学 Q2 RADIOLOGY, NUCLEAR MEDICINE & MEDICAL IMAGING
Keisuke Hidaka, Akihiro Furuta, Nobuyuki Mori, Takuya Maekura, Fuki Shitano, Yang Wang, Naoko Nishio, Yumiko Fujiwara, Toshiya Takamura, Kotoe Hidaka, Toshiki Shiozaki
{"title":"睾丸横向异位合并持续性<s:1>勒管综合征1例。","authors":"Keisuke Hidaka,&nbsp;Akihiro Furuta,&nbsp;Nobuyuki Mori,&nbsp;Takuya Maekura,&nbsp;Fuki Shitano,&nbsp;Yang Wang,&nbsp;Naoko Nishio,&nbsp;Yumiko Fujiwara,&nbsp;Toshiya Takamura,&nbsp;Kotoe Hidaka,&nbsp;Toshiki Shiozaki","doi":"10.1007/s00261-025-04915-x","DOIUrl":null,"url":null,"abstract":"<div><p>Transverse testicular ectopia (TTE) is a variant of ectopic testis in which both testes are located in the same scrotum. Persistent Müllerian duct syndrome (PMDS) is a congenital anomaly characterized by the retention of Müllerian duct remnants in males. TTE is a characteristic clinical finding in PMDS. This case report describes a patient in his 50s who was diagnosed with PMDS based on TTE findings and a pelvic structure suggestive of a Müllerian duct remnant. Computed tomography (CT) and magnetic resonance imaging (MRI) revealed the normal left testis within the left scrotum. The soft tissue was identified dorsal to the left testis, supplied from branches of bilateral internal iliac arteries. Additionally, a rod-like structure was observed in the left pelvis, appearing continuous with the soft tissue in the left scrotum. The right testis, enlarged and torsed, was located cranially within the left scrotum. A cord-like structure extended continuously from this ectopically positioned right testis toward the right inguinal region. Surgical findings revealed a normal left testis and torsion of the right testis. The right testis was removed. Histological examination revealed a seminoma within the right testis, and immunostaining confirmed the presence of attached Müllerian duct remnants. Prior imaging revealed that the right testis was located in the abdominal cavity, indicating that TTE in this case did not occur during testicular descent. In PMDS cases, TTE is believed to result from the traction of one testis by Müllerian duct remnants and the testicular mobility due to an abnormally long gubernaculum, which is a crucial role in normal testicular descent. The findings in this case support this theory and further indicate that TTE can occur even after testicular descent is complete. This report describes a case of TTE with a causative Müllerian duct remnant and a presumed abnormally long gubernaculum identified on imaging, which contributes to the understanding of this rare condition.</p><h3>Graphical abstract</h3><div><figure><div><div><picture><source><img></source></picture></div></div></figure></div></div>","PeriodicalId":7126,"journal":{"name":"Abdominal Radiology","volume":"50 10","pages":"4796 - 4802"},"PeriodicalIF":2.2000,"publicationDate":"2025-04-02","publicationTypes":"Journal Article","fieldsOfStudy":null,"isOpenAccess":false,"openAccessPdf":"","citationCount":"0","resultStr":"{\"title\":\"Transverse testicular ectopia with persistent müllerian duct syndrome: a case report\",\"authors\":\"Keisuke Hidaka,&nbsp;Akihiro Furuta,&nbsp;Nobuyuki Mori,&nbsp;Takuya Maekura,&nbsp;Fuki Shitano,&nbsp;Yang Wang,&nbsp;Naoko Nishio,&nbsp;Yumiko Fujiwara,&nbsp;Toshiya Takamura,&nbsp;Kotoe Hidaka,&nbsp;Toshiki Shiozaki\",\"doi\":\"10.1007/s00261-025-04915-x\",\"DOIUrl\":null,\"url\":null,\"abstract\":\"<div><p>Transverse testicular ectopia (TTE) is a variant of ectopic testis in which both testes are located in the same scrotum. Persistent Müllerian duct syndrome (PMDS) is a congenital anomaly characterized by the retention of Müllerian duct remnants in males. TTE is a characteristic clinical finding in PMDS. This case report describes a patient in his 50s who was diagnosed with PMDS based on TTE findings and a pelvic structure suggestive of a Müllerian duct remnant. Computed tomography (CT) and magnetic resonance imaging (MRI) revealed the normal left testis within the left scrotum. The soft tissue was identified dorsal to the left testis, supplied from branches of bilateral internal iliac arteries. Additionally, a rod-like structure was observed in the left pelvis, appearing continuous with the soft tissue in the left scrotum. The right testis, enlarged and torsed, was located cranially within the left scrotum. A cord-like structure extended continuously from this ectopically positioned right testis toward the right inguinal region. Surgical findings revealed a normal left testis and torsion of the right testis. The right testis was removed. Histological examination revealed a seminoma within the right testis, and immunostaining confirmed the presence of attached Müllerian duct remnants. Prior imaging revealed that the right testis was located in the abdominal cavity, indicating that TTE in this case did not occur during testicular descent. In PMDS cases, TTE is believed to result from the traction of one testis by Müllerian duct remnants and the testicular mobility due to an abnormally long gubernaculum, which is a crucial role in normal testicular descent. The findings in this case support this theory and further indicate that TTE can occur even after testicular descent is complete. This report describes a case of TTE with a causative Müllerian duct remnant and a presumed abnormally long gubernaculum identified on imaging, which contributes to the understanding of this rare condition.</p><h3>Graphical abstract</h3><div><figure><div><div><picture><source><img></source></picture></div></div></figure></div></div>\",\"PeriodicalId\":7126,\"journal\":{\"name\":\"Abdominal Radiology\",\"volume\":\"50 10\",\"pages\":\"4796 - 4802\"},\"PeriodicalIF\":2.2000,\"publicationDate\":\"2025-04-02\",\"publicationTypes\":\"Journal Article\",\"fieldsOfStudy\":null,\"isOpenAccess\":false,\"openAccessPdf\":\"\",\"citationCount\":\"0\",\"resultStr\":null,\"platform\":\"Semanticscholar\",\"paperid\":null,\"PeriodicalName\":\"Abdominal Radiology\",\"FirstCategoryId\":\"3\",\"ListUrlMain\":\"https://link.springer.com/article/10.1007/s00261-025-04915-x\",\"RegionNum\":3,\"RegionCategory\":\"医学\",\"ArticlePicture\":[],\"TitleCN\":null,\"AbstractTextCN\":null,\"PMCID\":null,\"EPubDate\":\"\",\"PubModel\":\"\",\"JCR\":\"Q2\",\"JCRName\":\"RADIOLOGY, NUCLEAR MEDICINE & MEDICAL IMAGING\",\"Score\":null,\"Total\":0}","platform":"Semanticscholar","paperid":null,"PeriodicalName":"Abdominal Radiology","FirstCategoryId":"3","ListUrlMain":"https://link.springer.com/article/10.1007/s00261-025-04915-x","RegionNum":3,"RegionCategory":"医学","ArticlePicture":[],"TitleCN":null,"AbstractTextCN":null,"PMCID":null,"EPubDate":"","PubModel":"","JCR":"Q2","JCRName":"RADIOLOGY, NUCLEAR MEDICINE & MEDICAL IMAGING","Score":null,"Total":0}
引用次数: 0

摘要

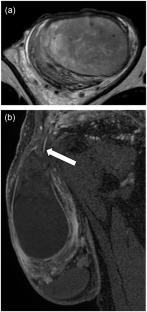
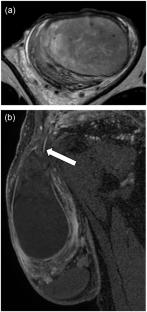
横向睾丸异位(TTE)是异位睾丸的一种变体,其中两个睾丸位于同一阴囊。持续性腰勒氏管综合征(PMDS)是一种先天性异常,其特征是男性腰勒氏管残余的保留。TTE是经前综合症的特征性临床表现。本病例报告描述了一位50多岁的患者,根据TTE检查结果和骨盆结构提示勒氏管残余被诊断为PMDS。计算机断层扫描(CT)和磁共振成像(MRI)显示正常左睾丸在左阴囊内。软组织位于睾丸左侧背侧,由双侧髂内动脉分支供应。此外,左侧骨盆可见杆状结构,与左侧阴囊软组织呈连续状。右睾丸,扩大和扭曲,位于左阴囊内。索状结构从异位右睾丸向右腹股沟区连续延伸。手术结果显示左睾丸正常,右睾丸扭转。右睾丸被切除。组织学检查显示右侧睾丸内有精原细胞瘤,免疫染色证实有附着的勒氏管残余。先前影像学显示右睾丸位于腹腔,提示本例TTE并非在睾丸下降过程中发生。在经前症候群病例中,TTE被认为是由于一侧睾丸被勒氏管残余牵引,以及由于异常长的管带而导致的睾丸运动,而管带在正常睾丸下降中起着至关重要的作用。本病例的研究结果支持这一理论,并进一步表明,即使在睾丸下降完成后,TTE也可能发生。本报告描述了一例TTE病例,其病因为勒氏管残余,影像学上发现的管骨异常长,有助于了解这种罕见的疾病。
本文章由计算机程序翻译,如有差异,请以英文原文为准。

Transverse testicular ectopia with persistent müllerian duct syndrome: a case report

Transverse testicular ectopia with persistent müllerian duct syndrome: a case report

Transverse testicular ectopia with persistent müllerian duct syndrome: a case report

Transverse testicular ectopia (TTE) is a variant of ectopic testis in which both testes are located in the same scrotum. Persistent Müllerian duct syndrome (PMDS) is a congenital anomaly characterized by the retention of Müllerian duct remnants in males. TTE is a characteristic clinical finding in PMDS. This case report describes a patient in his 50s who was diagnosed with PMDS based on TTE findings and a pelvic structure suggestive of a Müllerian duct remnant. Computed tomography (CT) and magnetic resonance imaging (MRI) revealed the normal left testis within the left scrotum. The soft tissue was identified dorsal to the left testis, supplied from branches of bilateral internal iliac arteries. Additionally, a rod-like structure was observed in the left pelvis, appearing continuous with the soft tissue in the left scrotum. The right testis, enlarged and torsed, was located cranially within the left scrotum. A cord-like structure extended continuously from this ectopically positioned right testis toward the right inguinal region. Surgical findings revealed a normal left testis and torsion of the right testis. The right testis was removed. Histological examination revealed a seminoma within the right testis, and immunostaining confirmed the presence of attached Müllerian duct remnants. Prior imaging revealed that the right testis was located in the abdominal cavity, indicating that TTE in this case did not occur during testicular descent. In PMDS cases, TTE is believed to result from the traction of one testis by Müllerian duct remnants and the testicular mobility due to an abnormally long gubernaculum, which is a crucial role in normal testicular descent. The findings in this case support this theory and further indicate that TTE can occur even after testicular descent is complete. This report describes a case of TTE with a causative Müllerian duct remnant and a presumed abnormally long gubernaculum identified on imaging, which contributes to the understanding of this rare condition.

Graphical abstract

求助全文
通过发布文献求助,成功后即可免费获取论文全文。 去求助
来源期刊
Abdominal Radiology
Abdominal Radiology Medicine-Radiology, Nuclear Medicine and Imaging
CiteScore
5.20
自引率
8.30%
发文量
334
期刊介绍: Abdominal Radiology seeks to meet the professional needs of the abdominal radiologist by publishing clinically pertinent original, review and practice related articles on the gastrointestinal and genitourinary tracts and abdominal interventional and radiologic procedures. Case reports are generally not accepted unless they are the first report of a new disease or condition, or part of a special solicited section. Reasons to Publish Your Article in Abdominal Radiology: · Official journal of the Society of Abdominal Radiology (SAR) · Published in Cooperation with: European Society of Gastrointestinal and Abdominal Radiology (ESGAR) European Society of Urogenital Radiology (ESUR) Asian Society of Abdominal Radiology (ASAR) · Efficient handling and Expeditious review · Author feedback is provided in a mentoring style · Global readership · Readers can earn CME credits
×
引用
GB/T 7714-2015
复制
MLA
复制
APA
复制
导出至
BibTeX EndNote RefMan NoteFirst NoteExpress
×
提示
您的信息不完整,为了账户安全,请先补充。
现在去补充
×
提示
您因"违规操作"
具体请查看互助需知
我知道了
×
提示
确定
请完成安全验证×
copy
已复制链接
快去分享给好友吧!
我知道了
右上角分享
点击右上角分享
0
联系我们:info@booksci.cn Book学术提供免费学术资源搜索服务,方便国内外学者检索中英文文献。致力于提供最便捷和优质的服务体验。 Copyright © 2023 布克学术 All rights reserved.
京ICP备2023020795号-1
ghs 京公网安备 11010802042870号
Book学术文献互助
Book学术文献互助群
群 号:604180095
Book学术官方微信