年轻人严重肺芽菌病:电子烟使用在免疫抑制中的可能作用。

IF 0.7 Q3 MEDICINE, GENERAL & INTERNAL
Case Reports in Medicine Pub Date : 2025-03-25 eCollection Date: 2025-01-01 DOI:10.1155/carm/6019638
Rajat Gupta, Barath Prashanth Sivasubramanian, Ajay Sriram Antony Raj, Sudha Dirisanala, Tahani Dakkak, Ashley Williams, Navneeth Bongu
{"title":"年轻人严重肺芽菌病:电子烟使用在免疫抑制中的可能作用。","authors":"Rajat Gupta, Barath Prashanth Sivasubramanian, Ajay Sriram Antony Raj, Sudha Dirisanala, Tahani Dakkak, Ashley Williams, Navneeth Bongu","doi":"10.1155/carm/6019638","DOIUrl":null,"url":null,"abstract":"<p><p><b>Background:</b> E-cigarette use has become increasingly prevalent among young adults, raising concerns about its potential health impact and susceptibility to infections. <i>Blastomyces dematitidis</i>, the causative agent of blastomycosis, is a dimorphic fungus endemic to certain regions of the United States. We present a rare presentation of pulmonary blastomycosis in a young, immunocompetent male with chronic e-cigarette use, highlighting the need to consider fungal infections in the differential diagnosis of pneumonia of unknown etiology in patients with risk factors for respiratory illness. <b>Presentation:</b> A 20-year-old male with a 4-year history of daily e-cigarette use and gutter cleaner by occupation presented with a 10-day history of worsening cough, bloody sputum, shortness of breath, night sweats, fever, and weight loss. He was hemodynamically stable, required minimal oxygen support, and was admitted for chest X-ray showing right upper lobe pneumonia and cavitary lesion. The patient was tested for community-acquired pneumonia, atypical pneumonia, granulomatous diseases, and immunosuppressive and viral lymphoproliferative disorders. A diagnostic bronchoscopy ultimately confirmed blastomycosis, leading to treatment with amphotericin B and itraconazole, resulting in significant clinical improvement. <b>Conclusion:</b> Pulmonary blastomycosis often presents asymptomatically, with severe cases more common in the elderly or those with comorbidities and immune dysfunction. Physicians tend to overlook it as a differential diagnosis for primary lung infections, focusing on bacterial pneumonia and tuberculosis in younger individuals. This case underscores the need for further investigation into the impact of e-cigarette use on immune function. This case also highlights the importance of making blastomycosis a reportable disease in Georgia, considering its increasing incidence and the widespread construction and soil disturbance occurring throughout the state.</p>","PeriodicalId":9627,"journal":{"name":"Case Reports in Medicine","volume":"2025 ","pages":"6019638"},"PeriodicalIF":0.7000,"publicationDate":"2025-03-25","publicationTypes":"Journal Article","fieldsOfStudy":null,"isOpenAccess":false,"openAccessPdf":"https://www.ncbi.nlm.nih.gov/pmc/articles/PMC11961275/pdf/","citationCount":"0","resultStr":"{\"title\":\"Severe Pulmonary Blastomycosis in a Young Adult: Probable Role of E-Cigarette Use in Immunosuppression.\",\"authors\":\"Rajat Gupta, Barath Prashanth Sivasubramanian, Ajay Sriram Antony Raj, Sudha Dirisanala, Tahani Dakkak, Ashley Williams, Navneeth Bongu\",\"doi\":\"10.1155/carm/6019638\",\"DOIUrl\":null,\"url\":null,\"abstract\":\"<p><p><b>Background:</b> E-cigarette use has become increasingly prevalent among young adults, raising concerns about its potential health impact and susceptibility to infections. <i>Blastomyces dematitidis</i>, the causative agent of blastomycosis, is a dimorphic fungus endemic to certain regions of the United States. We present a rare presentation of pulmonary blastomycosis in a young, immunocompetent male with chronic e-cigarette use, highlighting the need to consider fungal infections in the differential diagnosis of pneumonia of unknown etiology in patients with risk factors for respiratory illness. <b>Presentation:</b> A 20-year-old male with a 4-year history of daily e-cigarette use and gutter cleaner by occupation presented with a 10-day history of worsening cough, bloody sputum, shortness of breath, night sweats, fever, and weight loss. He was hemodynamically stable, required minimal oxygen support, and was admitted for chest X-ray showing right upper lobe pneumonia and cavitary lesion. The patient was tested for community-acquired pneumonia, atypical pneumonia, granulomatous diseases, and immunosuppressive and viral lymphoproliferative disorders. A diagnostic bronchoscopy ultimately confirmed blastomycosis, leading to treatment with amphotericin B and itraconazole, resulting in significant clinical improvement. <b>Conclusion:</b> Pulmonary blastomycosis often presents asymptomatically, with severe cases more common in the elderly or those with comorbidities and immune dysfunction. Physicians tend to overlook it as a differential diagnosis for primary lung infections, focusing on bacterial pneumonia and tuberculosis in younger individuals. This case underscores the need for further investigation into the impact of e-cigarette use on immune function. This case also highlights the importance of making blastomycosis a reportable disease in Georgia, considering its increasing incidence and the widespread construction and soil disturbance occurring throughout the state.</p>\",\"PeriodicalId\":9627,\"journal\":{\"name\":\"Case Reports in Medicine\",\"volume\":\"2025 \",\"pages\":\"6019638\"},\"PeriodicalIF\":0.7000,\"publicationDate\":\"2025-03-25\",\"publicationTypes\":\"Journal Article\",\"fieldsOfStudy\":null,\"isOpenAccess\":false,\"openAccessPdf\":\"https://www.ncbi.nlm.nih.gov/pmc/articles/PMC11961275/pdf/\",\"citationCount\":\"0\",\"resultStr\":null,\"platform\":\"Semanticscholar\",\"paperid\":null,\"PeriodicalName\":\"Case Reports in Medicine\",\"FirstCategoryId\":\"1085\",\"ListUrlMain\":\"https://doi.org/10.1155/carm/6019638\",\"RegionNum\":0,\"RegionCategory\":null,\"ArticlePicture\":[],\"TitleCN\":null,\"AbstractTextCN\":null,\"PMCID\":null,\"EPubDate\":\"2025/1/1 0:00:00\",\"PubModel\":\"eCollection\",\"JCR\":\"Q3\",\"JCRName\":\"MEDICINE, GENERAL & INTERNAL\",\"Score\":null,\"Total\":0}","platform":"Semanticscholar","paperid":null,"PeriodicalName":"Case Reports in Medicine","FirstCategoryId":"1085","ListUrlMain":"https://doi.org/10.1155/carm/6019638","RegionNum":0,"RegionCategory":null,"ArticlePicture":[],"TitleCN":null,"AbstractTextCN":null,"PMCID":null,"EPubDate":"2025/1/1 0:00:00","PubModel":"eCollection","JCR":"Q3","JCRName":"MEDICINE, GENERAL & INTERNAL","Score":null,"Total":0}
引用次数: 0

摘要

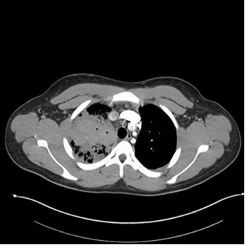
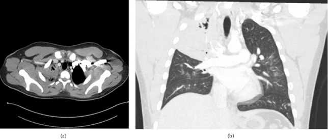
背景:电子烟的使用在年轻人中越来越普遍,这引起了人们对其潜在健康影响和感染易感性的担忧。枯草芽孢菌,芽孢菌病的病原体,是一种二态真菌地方性的某些地区的美国。我们报告了一例罕见的肺芽孢菌病,发生在一名长期使用电子烟的年轻免疫功能正常的男性患者身上,强调了在有呼吸道疾病危险因素的患者中,在鉴别诊断病因不明的肺炎时考虑真菌感染的必要性。症状:20岁男性,4年每日使用电子烟,职业为排水沟清洁工,10天咳嗽加重、痰血、呼吸短促、盗汗、发烧和体重减轻。他血流动力学稳定,需要最低限度的氧气支持,胸部x线片显示右上肺叶肺炎和空洞病变。患者接受了社区获得性肺炎、非典型肺炎、肉芽肿性疾病以及免疫抑制和病毒性淋巴细胞增生性疾病的检测。诊断性支气管镜检查最终确诊为芽菌病,并给予两性霉素B和伊曲康唑治疗,临床明显改善。结论:肺芽孢菌病多无症状表现,重症多见于老年人或有合并症和免疫功能障碍者。医生往往忽视它作为原发性肺部感染的鉴别诊断,关注年轻人的细菌性肺炎和结核病。这一案例强调了进一步调查电子烟使用对免疫功能影响的必要性。考虑到芽孢菌病的发病率不断上升,以及在整个州发生的广泛的建筑和土壤破坏,该病例还突出了使芽孢菌病成为格鲁吉亚一种可报告疾病的重要性。
本文章由计算机程序翻译,如有差异,请以英文原文为准。

Severe Pulmonary Blastomycosis in a Young Adult: Probable Role of E-Cigarette Use in Immunosuppression.

Severe Pulmonary Blastomycosis in a Young Adult: Probable Role of E-Cigarette Use in Immunosuppression.

Severe Pulmonary Blastomycosis in a Young Adult: Probable Role of E-Cigarette Use in Immunosuppression.

Background: E-cigarette use has become increasingly prevalent among young adults, raising concerns about its potential health impact and susceptibility to infections. Blastomyces dematitidis, the causative agent of blastomycosis, is a dimorphic fungus endemic to certain regions of the United States. We present a rare presentation of pulmonary blastomycosis in a young, immunocompetent male with chronic e-cigarette use, highlighting the need to consider fungal infections in the differential diagnosis of pneumonia of unknown etiology in patients with risk factors for respiratory illness. Presentation: A 20-year-old male with a 4-year history of daily e-cigarette use and gutter cleaner by occupation presented with a 10-day history of worsening cough, bloody sputum, shortness of breath, night sweats, fever, and weight loss. He was hemodynamically stable, required minimal oxygen support, and was admitted for chest X-ray showing right upper lobe pneumonia and cavitary lesion. The patient was tested for community-acquired pneumonia, atypical pneumonia, granulomatous diseases, and immunosuppressive and viral lymphoproliferative disorders. A diagnostic bronchoscopy ultimately confirmed blastomycosis, leading to treatment with amphotericin B and itraconazole, resulting in significant clinical improvement. Conclusion: Pulmonary blastomycosis often presents asymptomatically, with severe cases more common in the elderly or those with comorbidities and immune dysfunction. Physicians tend to overlook it as a differential diagnosis for primary lung infections, focusing on bacterial pneumonia and tuberculosis in younger individuals. This case underscores the need for further investigation into the impact of e-cigarette use on immune function. This case also highlights the importance of making blastomycosis a reportable disease in Georgia, considering its increasing incidence and the widespread construction and soil disturbance occurring throughout the state.

求助全文
通过发布文献求助,成功后即可免费获取论文全文。 去求助
来源期刊
Case Reports in Medicine
Case Reports in Medicine MEDICINE, GENERAL & INTERNAL-
CiteScore
1.70
自引率
0.00%
发文量
53
审稿时长
13 weeks
×
引用
GB/T 7714-2015
复制
MLA
复制
APA
复制
导出至
BibTeX EndNote RefMan NoteFirst NoteExpress
×
提示
您的信息不完整,为了账户安全,请先补充。
现在去补充
×
提示
您因"违规操作"
具体请查看互助需知
我知道了
×
提示
确定
请完成安全验证×
copy
已复制链接
快去分享给好友吧!
我知道了
右上角分享
点击右上角分享
0
联系我们:info@booksci.cn Book学术提供免费学术资源搜索服务,方便国内外学者检索中英文文献。致力于提供最便捷和优质的服务体验。 Copyright © 2023 布克学术 All rights reserved.
京ICP备2023020795号-1
ghs 京公网安备 11010802042870号
Book学术文献互助
Book学术文献互助群
群 号:604180095
Book学术官方微信