皮肤血管肉瘤的临床病理特征和生存分析:一项单三级中心研究。

IF 1.3
Yeon Joo Jung, Joonho Shim, Se Jin Oh, Jong Hee Lee, Dong-Youn Lee, Jihye Park
{"title":"皮肤血管肉瘤的临床病理特征和生存分析:一项单三级中心研究。","authors":"Yeon Joo Jung, Joonho Shim, Se Jin Oh, Jong Hee Lee, Dong-Youn Lee, Jihye Park","doi":"10.5021/ad.24.086","DOIUrl":null,"url":null,"abstract":"<p><strong>Background: </strong>Cutaneous angiosarcoma, a rare malignant tumor, is associated with high mortality and poor prognosis.</p><p><strong>Objective: </strong>This study aimed to analyze the clinicopathologic features of cutaneous angiosarcoma and identify the prognostic factors influencing survival.</p><p><strong>Methods: </strong>Medical records of patients diagnosed with cutaneous angiosarcoma between January 1995 and March 2023 were retrospectively reviewed. Demographic data, clinicopathologic features, and treatment modalities were analyzed to evaluate the correlation with overall survival (OS) and progression-free survival (PFS). A total of 70 patients were included in the study.</p><p><strong>Results: </strong>Their mean age at diagnosis was 71 years (range, 41-91 years). Of them, 57 (81.4%) were males. Five-year OS and PFS rates were 29.0% and 10.7%, respectively. In univariate analysis, a mass in the frontal area of the scalp showed significant associations with poorer PFS (hazard ratio [HR], 1.95; 95% confidence interval [CI], 1.07-3.55; <i>p</i>=0.029) and poorer OS (HR, 2.42; 95% CI, 1.22-4.80; <i>p</i>=0.011). Mass size exceeding 3 cm had a notable impact on PFS (HR, 3.41; 95% CI, 1.32-8.82; <i>p</i>=0.011) and remained a significant independent adverse prognosticator in multivariate analysis (HR, 4.55; 95% CI, 1.22-16.99; <i>p</i>=0.024).</p><p><strong>Conclusion: </strong>Cutaneous angiosarcoma is characterized by an unfavorable prognosis, with a larger mass size identified as an independent prognostic factor.</p>","PeriodicalId":94298,"journal":{"name":"Annals of dermatology","volume":"37 2","pages":"68-74"},"PeriodicalIF":1.3000,"publicationDate":"2025-04-01","publicationTypes":"Journal Article","fieldsOfStudy":null,"isOpenAccess":false,"openAccessPdf":"https://www.ncbi.nlm.nih.gov/pmc/articles/PMC11965875/pdf/","citationCount":"0","resultStr":"{\"title\":\"A Clinicopathologic Feature and Survival Analysis of Cutaneous Angiosarcoma: A Single Tertiary Center Study.\",\"authors\":\"Yeon Joo Jung, Joonho Shim, Se Jin Oh, Jong Hee Lee, Dong-Youn Lee, Jihye Park\",\"doi\":\"10.5021/ad.24.086\",\"DOIUrl\":null,\"url\":null,\"abstract\":\"<p><strong>Background: </strong>Cutaneous angiosarcoma, a rare malignant tumor, is associated with high mortality and poor prognosis.</p><p><strong>Objective: </strong>This study aimed to analyze the clinicopathologic features of cutaneous angiosarcoma and identify the prognostic factors influencing survival.</p><p><strong>Methods: </strong>Medical records of patients diagnosed with cutaneous angiosarcoma between January 1995 and March 2023 were retrospectively reviewed. Demographic data, clinicopathologic features, and treatment modalities were analyzed to evaluate the correlation with overall survival (OS) and progression-free survival (PFS). A total of 70 patients were included in the study.</p><p><strong>Results: </strong>Their mean age at diagnosis was 71 years (range, 41-91 years). Of them, 57 (81.4%) were males. Five-year OS and PFS rates were 29.0% and 10.7%, respectively. In univariate analysis, a mass in the frontal area of the scalp showed significant associations with poorer PFS (hazard ratio [HR], 1.95; 95% confidence interval [CI], 1.07-3.55; <i>p</i>=0.029) and poorer OS (HR, 2.42; 95% CI, 1.22-4.80; <i>p</i>=0.011). Mass size exceeding 3 cm had a notable impact on PFS (HR, 3.41; 95% CI, 1.32-8.82; <i>p</i>=0.011) and remained a significant independent adverse prognosticator in multivariate analysis (HR, 4.55; 95% CI, 1.22-16.99; <i>p</i>=0.024).</p><p><strong>Conclusion: </strong>Cutaneous angiosarcoma is characterized by an unfavorable prognosis, with a larger mass size identified as an independent prognostic factor.</p>\",\"PeriodicalId\":94298,\"journal\":{\"name\":\"Annals of dermatology\",\"volume\":\"37 2\",\"pages\":\"68-74\"},\"PeriodicalIF\":1.3000,\"publicationDate\":\"2025-04-01\",\"publicationTypes\":\"Journal Article\",\"fieldsOfStudy\":null,\"isOpenAccess\":false,\"openAccessPdf\":\"https://www.ncbi.nlm.nih.gov/pmc/articles/PMC11965875/pdf/\",\"citationCount\":\"0\",\"resultStr\":null,\"platform\":\"Semanticscholar\",\"paperid\":null,\"PeriodicalName\":\"Annals of dermatology\",\"FirstCategoryId\":\"1085\",\"ListUrlMain\":\"https://doi.org/10.5021/ad.24.086\",\"RegionNum\":0,\"RegionCategory\":null,\"ArticlePicture\":[],\"TitleCN\":null,\"AbstractTextCN\":null,\"PMCID\":null,\"EPubDate\":\"\",\"PubModel\":\"\",\"JCR\":\"\",\"JCRName\":\"\",\"Score\":null,\"Total\":0}","platform":"Semanticscholar","paperid":null,"PeriodicalName":"Annals of dermatology","FirstCategoryId":"1085","ListUrlMain":"https://doi.org/10.5021/ad.24.086","RegionNum":0,"RegionCategory":null,"ArticlePicture":[],"TitleCN":null,"AbstractTextCN":null,"PMCID":null,"EPubDate":"","PubModel":"","JCR":"","JCRName":"","Score":null,"Total":0}
引用次数: 0

摘要

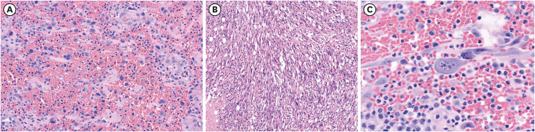
背景:皮肤血管肉瘤是一种罕见的恶性肿瘤,死亡率高,预后差:皮肤血管肉瘤是一种罕见的恶性肿瘤,死亡率高且预后不良:本研究旨在分析皮肤血管肉瘤的临床病理特征,并确定影响生存的预后因素:方法:回顾性分析1995年1月至2023年3月期间确诊为皮肤血管肉瘤患者的病历。方法:对 1995 年 1 月至 2023 年 3 月期间确诊的皮肤血管肉瘤患者的病历进行回顾性研究,分析其人口统计学数据、临床病理学特征和治疗方式,以评估其与总生存期(OS)和无进展生存期(PFS)的相关性。研究共纳入了 70 名患者:他们确诊时的平均年龄为 71 岁(41-91 岁)。其中,57 例(81.4%)为男性。五年的OS和PFS率分别为29.0%和10.7%。在单变量分析中,头皮额区的肿块与较差的 PFS(危险比 [HR],1.95;95% 置信区间 [CI],1.07-3.55;P=0.029)和较差的 OS(HR,2.42;95% CI,1.22-4.80;P=0.011)有显著相关性。肿块大小超过3厘米对PFS有显著影响(HR,3.41;95% CI,1.32-8.82;P=0.011),在多变量分析中仍是一个重要的独立不良预后指标(HR,4.55;95% CI,1.22-16.99;P=0.024):皮肤血管肉瘤的特点是预后不良,肿块较大是一个独立的预后因素。
本文章由计算机程序翻译,如有差异,请以英文原文为准。

A Clinicopathologic Feature and Survival Analysis of Cutaneous Angiosarcoma: A Single Tertiary Center Study.

A Clinicopathologic Feature and Survival Analysis of Cutaneous Angiosarcoma: A Single Tertiary Center Study.

A Clinicopathologic Feature and Survival Analysis of Cutaneous Angiosarcoma: A Single Tertiary Center Study.

A Clinicopathologic Feature and Survival Analysis of Cutaneous Angiosarcoma: A Single Tertiary Center Study.

Background: Cutaneous angiosarcoma, a rare malignant tumor, is associated with high mortality and poor prognosis.

Objective: This study aimed to analyze the clinicopathologic features of cutaneous angiosarcoma and identify the prognostic factors influencing survival.

Methods: Medical records of patients diagnosed with cutaneous angiosarcoma between January 1995 and March 2023 were retrospectively reviewed. Demographic data, clinicopathologic features, and treatment modalities were analyzed to evaluate the correlation with overall survival (OS) and progression-free survival (PFS). A total of 70 patients were included in the study.

Results: Their mean age at diagnosis was 71 years (range, 41-91 years). Of them, 57 (81.4%) were males. Five-year OS and PFS rates were 29.0% and 10.7%, respectively. In univariate analysis, a mass in the frontal area of the scalp showed significant associations with poorer PFS (hazard ratio [HR], 1.95; 95% confidence interval [CI], 1.07-3.55; p=0.029) and poorer OS (HR, 2.42; 95% CI, 1.22-4.80; p=0.011). Mass size exceeding 3 cm had a notable impact on PFS (HR, 3.41; 95% CI, 1.32-8.82; p=0.011) and remained a significant independent adverse prognosticator in multivariate analysis (HR, 4.55; 95% CI, 1.22-16.99; p=0.024).

Conclusion: Cutaneous angiosarcoma is characterized by an unfavorable prognosis, with a larger mass size identified as an independent prognostic factor.

求助全文
通过发布文献求助,成功后即可免费获取论文全文。 去求助
来源期刊
自引率
0.00%
发文量
0
×
引用
GB/T 7714-2015
复制
MLA
复制
APA
复制
导出至
BibTeX EndNote RefMan NoteFirst NoteExpress
×
提示
您的信息不完整,为了账户安全,请先补充。
现在去补充
×
提示
您因"违规操作"
具体请查看互助需知
我知道了
×
提示
确定
请完成安全验证×
copy
已复制链接
快去分享给好友吧!
我知道了
右上角分享
点击右上角分享
0
联系我们:info@booksci.cn Book学术提供免费学术资源搜索服务,方便国内外学者检索中英文文献。致力于提供最便捷和优质的服务体验。 Copyright © 2023 布克学术 All rights reserved.
京ICP备2023020795号-1
ghs 京公网安备 11010802042870号
Book学术文献互助
Book学术文献互助群
群 号:604180095
Book学术官方微信