翻译研究在眼弓形虫病研究中的重要性:来自第17届2024年国际弓形虫病大会的见解。

IF 4
FEMS microbes Pub Date : 2025-03-03 eCollection Date: 2025-01-01 DOI:10.1093/femsmc/xtaf003
Alejandra de-la-Torre, Germán Mejía-Salgado, Gereon Schares
{"title":"翻译研究在眼弓形虫病研究中的重要性:来自第17届2024年国际弓形虫病大会的见解。","authors":"Alejandra de-la-Torre, Germán Mejía-Salgado, Gereon Schares","doi":"10.1093/femsmc/xtaf003","DOIUrl":null,"url":null,"abstract":"<p><p>Toxoplasmosis is a parasitic infection with significant implications for human health, particularly in its ocular form, which can lead to severe visual impairment. While both basic and clinical research have made considerable strides in understanding the biology and treatment of this parasite, challenges remain. Recent advancements in diagnostics, mainly through multimodal imaging, have improved the identification of active disease and predicting outcomes. Experimental therapies are also emerging, offering new hope for more effective treatments. However, the most critical insight from recent research, particularly emphasized at the 17th International Congress on Toxoplasmosis, is the necessity of a collaborative approach. Integrating basic and clinical research is essential for translating molecular and pathophysiological findings into effective clinical practices. This synergy is crucial for advancing treatment strategies and improving patient outcomes in ocular toxoplasmosis.</p>","PeriodicalId":73024,"journal":{"name":"FEMS microbes","volume":"6 ","pages":"xtaf003"},"PeriodicalIF":4.0000,"publicationDate":"2025-03-03","publicationTypes":"Journal Article","fieldsOfStudy":null,"isOpenAccess":false,"openAccessPdf":"https://www.ncbi.nlm.nih.gov/pmc/articles/PMC11951098/pdf/","citationCount":"0","resultStr":"{\"title\":\"The importance of translational research in the study of ocular toxoplasmosis: insights from the 17th International Congress on Toxoplasmosis 2024.\",\"authors\":\"Alejandra de-la-Torre, Germán Mejía-Salgado, Gereon Schares\",\"doi\":\"10.1093/femsmc/xtaf003\",\"DOIUrl\":null,\"url\":null,\"abstract\":\"<p><p>Toxoplasmosis is a parasitic infection with significant implications for human health, particularly in its ocular form, which can lead to severe visual impairment. While both basic and clinical research have made considerable strides in understanding the biology and treatment of this parasite, challenges remain. Recent advancements in diagnostics, mainly through multimodal imaging, have improved the identification of active disease and predicting outcomes. Experimental therapies are also emerging, offering new hope for more effective treatments. However, the most critical insight from recent research, particularly emphasized at the 17th International Congress on Toxoplasmosis, is the necessity of a collaborative approach. Integrating basic and clinical research is essential for translating molecular and pathophysiological findings into effective clinical practices. This synergy is crucial for advancing treatment strategies and improving patient outcomes in ocular toxoplasmosis.</p>\",\"PeriodicalId\":73024,\"journal\":{\"name\":\"FEMS microbes\",\"volume\":\"6 \",\"pages\":\"xtaf003\"},\"PeriodicalIF\":4.0000,\"publicationDate\":\"2025-03-03\",\"publicationTypes\":\"Journal Article\",\"fieldsOfStudy\":null,\"isOpenAccess\":false,\"openAccessPdf\":\"https://www.ncbi.nlm.nih.gov/pmc/articles/PMC11951098/pdf/\",\"citationCount\":\"0\",\"resultStr\":null,\"platform\":\"Semanticscholar\",\"paperid\":null,\"PeriodicalName\":\"FEMS microbes\",\"FirstCategoryId\":\"1085\",\"ListUrlMain\":\"https://doi.org/10.1093/femsmc/xtaf003\",\"RegionNum\":0,\"RegionCategory\":null,\"ArticlePicture\":[],\"TitleCN\":null,\"AbstractTextCN\":null,\"PMCID\":null,\"EPubDate\":\"2025/1/1 0:00:00\",\"PubModel\":\"eCollection\",\"JCR\":\"\",\"JCRName\":\"\",\"Score\":null,\"Total\":0}","platform":"Semanticscholar","paperid":null,"PeriodicalName":"FEMS microbes","FirstCategoryId":"1085","ListUrlMain":"https://doi.org/10.1093/femsmc/xtaf003","RegionNum":0,"RegionCategory":null,"ArticlePicture":[],"TitleCN":null,"AbstractTextCN":null,"PMCID":null,"EPubDate":"2025/1/1 0:00:00","PubModel":"eCollection","JCR":"","JCRName":"","Score":null,"Total":0}
引用次数: 0

摘要

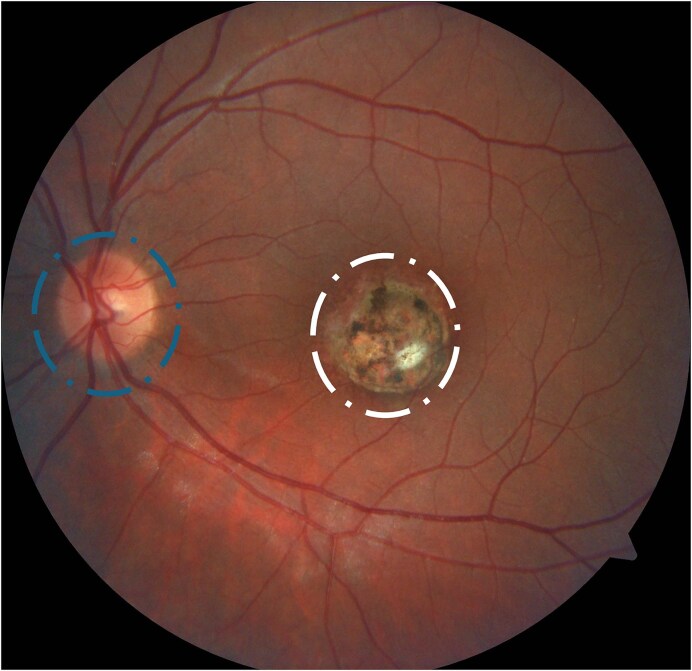
弓形虫病是一种寄生虫感染,对人类健康具有重大影响,特别是其眼部形式,可导致严重的视力损害。虽然基础和临床研究在了解这种寄生虫的生物学和治疗方面取得了相当大的进展,但挑战仍然存在。最近在诊断方面的进展,主要是通过多模态成像,改进了活动性疾病的识别和预测结果。实验性疗法也在不断涌现,为更有效的治疗提供了新的希望。然而,从最近的研究中,特别是在第17届国际弓形虫病大会上强调的最关键的见解是合作方法的必要性。整合基础和临床研究对于将分子和病理生理发现转化为有效的临床实践至关重要。这种协同作用对于推进治疗策略和改善眼弓形虫病患者的预后至关重要。
本文章由计算机程序翻译,如有差异,请以英文原文为准。

The importance of translational research in the study of ocular toxoplasmosis: insights from the 17th International Congress on Toxoplasmosis 2024.

The importance of translational research in the study of ocular toxoplasmosis: insights from the 17th International Congress on Toxoplasmosis 2024.

Toxoplasmosis is a parasitic infection with significant implications for human health, particularly in its ocular form, which can lead to severe visual impairment. While both basic and clinical research have made considerable strides in understanding the biology and treatment of this parasite, challenges remain. Recent advancements in diagnostics, mainly through multimodal imaging, have improved the identification of active disease and predicting outcomes. Experimental therapies are also emerging, offering new hope for more effective treatments. However, the most critical insight from recent research, particularly emphasized at the 17th International Congress on Toxoplasmosis, is the necessity of a collaborative approach. Integrating basic and clinical research is essential for translating molecular and pathophysiological findings into effective clinical practices. This synergy is crucial for advancing treatment strategies and improving patient outcomes in ocular toxoplasmosis.

求助全文
通过发布文献求助,成功后即可免费获取论文全文。 去求助
来源期刊
CiteScore
3.30
自引率
0.00%
发文量
0
审稿时长
15 weeks
×
引用
GB/T 7714-2015
复制
MLA
复制
APA
复制
导出至
BibTeX EndNote RefMan NoteFirst NoteExpress
×
提示
您的信息不完整,为了账户安全,请先补充。
现在去补充
×
提示
您因"违规操作"
具体请查看互助需知
我知道了
×
提示
确定
请完成安全验证×
copy
已复制链接
快去分享给好友吧!
我知道了
右上角分享
点击右上角分享
0
联系我们:info@booksci.cn Book学术提供免费学术资源搜索服务,方便国内外学者检索中英文文献。致力于提供最便捷和优质的服务体验。 Copyright © 2023 布克学术 All rights reserved.
京ICP备2023020795号-1
ghs 京公网安备 11010802042870号
Book学术文献互助
Book学术文献互助群
群 号:604180095
Book学术官方微信