不要被神经丛迷惑了!臂丛超声的实用方法。

IF 2.1
BJR open Pub Date : 2025-03-19 eCollection Date: 2025-01-01 DOI:10.1093/bjro/tzaf003
James F Griffith
{"title":"不要被神经丛迷惑了!臂丛超声的实用方法。","authors":"James F Griffith","doi":"10.1093/bjro/tzaf003","DOIUrl":null,"url":null,"abstract":"<p><p>Ultrasound is as accurate as MRI in the detection of most brachial pathologies but tends to be underutilized in clinical practice compared to MRI. The main reason for this under-usage is a relative lack of knowledge regarding how to perform brachial plexus ultrasound and a lack of awareness of the ultrasound appearances of brachial pathologies. This review serves to re-address this imbalance by providing a practical overview on how to perform brachial plexus ultrasound as well as highlighting the ultrasound appearances of common pathologies likely to be encountered in everyday clinical practice.</p>","PeriodicalId":72419,"journal":{"name":"BJR open","volume":"7 1","pages":"tzaf003"},"PeriodicalIF":2.1000,"publicationDate":"2025-03-19","publicationTypes":"Journal Article","fieldsOfStudy":null,"isOpenAccess":false,"openAccessPdf":"https://www.ncbi.nlm.nih.gov/pmc/articles/PMC11951253/pdf/","citationCount":"0","resultStr":"{\"title\":\"Don't be perplexed by the plexus! A practical approach to brachial plexus ultrasound.\",\"authors\":\"James F Griffith\",\"doi\":\"10.1093/bjro/tzaf003\",\"DOIUrl\":null,\"url\":null,\"abstract\":\"<p><p>Ultrasound is as accurate as MRI in the detection of most brachial pathologies but tends to be underutilized in clinical practice compared to MRI. The main reason for this under-usage is a relative lack of knowledge regarding how to perform brachial plexus ultrasound and a lack of awareness of the ultrasound appearances of brachial pathologies. This review serves to re-address this imbalance by providing a practical overview on how to perform brachial plexus ultrasound as well as highlighting the ultrasound appearances of common pathologies likely to be encountered in everyday clinical practice.</p>\",\"PeriodicalId\":72419,\"journal\":{\"name\":\"BJR open\",\"volume\":\"7 1\",\"pages\":\"tzaf003\"},\"PeriodicalIF\":2.1000,\"publicationDate\":\"2025-03-19\",\"publicationTypes\":\"Journal Article\",\"fieldsOfStudy\":null,\"isOpenAccess\":false,\"openAccessPdf\":\"https://www.ncbi.nlm.nih.gov/pmc/articles/PMC11951253/pdf/\",\"citationCount\":\"0\",\"resultStr\":null,\"platform\":\"Semanticscholar\",\"paperid\":null,\"PeriodicalName\":\"BJR open\",\"FirstCategoryId\":\"1085\",\"ListUrlMain\":\"https://doi.org/10.1093/bjro/tzaf003\",\"RegionNum\":0,\"RegionCategory\":null,\"ArticlePicture\":[],\"TitleCN\":null,\"AbstractTextCN\":null,\"PMCID\":null,\"EPubDate\":\"2025/1/1 0:00:00\",\"PubModel\":\"eCollection\",\"JCR\":\"\",\"JCRName\":\"\",\"Score\":null,\"Total\":0}","platform":"Semanticscholar","paperid":null,"PeriodicalName":"BJR open","FirstCategoryId":"1085","ListUrlMain":"https://doi.org/10.1093/bjro/tzaf003","RegionNum":0,"RegionCategory":null,"ArticlePicture":[],"TitleCN":null,"AbstractTextCN":null,"PMCID":null,"EPubDate":"2025/1/1 0:00:00","PubModel":"eCollection","JCR":"","JCRName":"","Score":null,"Total":0}
引用次数: 0

摘要

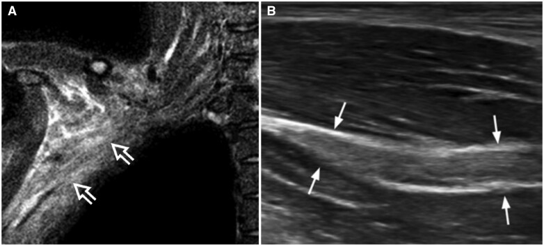
超声在大多数臂丛病变的检测中与MRI一样准确,但与MRI相比,在临床实践中往往未得到充分利用。这种不充分使用的主要原因是相对缺乏关于如何进行臂丛超声的知识,以及缺乏对臂丛病变超声表现的认识。这篇综述通过提供一个关于如何进行臂丛超声的实用概述,以及强调在日常临床实践中可能遇到的常见病理的超声表现,来重新解决这种不平衡。
本文章由计算机程序翻译,如有差异,请以英文原文为准。

Don't be perplexed by the plexus! A practical approach to brachial plexus ultrasound.

Don't be perplexed by the plexus! A practical approach to brachial plexus ultrasound.

Don't be perplexed by the plexus! A practical approach to brachial plexus ultrasound.

Don't be perplexed by the plexus! A practical approach to brachial plexus ultrasound.

Ultrasound is as accurate as MRI in the detection of most brachial pathologies but tends to be underutilized in clinical practice compared to MRI. The main reason for this under-usage is a relative lack of knowledge regarding how to perform brachial plexus ultrasound and a lack of awareness of the ultrasound appearances of brachial pathologies. This review serves to re-address this imbalance by providing a practical overview on how to perform brachial plexus ultrasound as well as highlighting the ultrasound appearances of common pathologies likely to be encountered in everyday clinical practice.

求助全文
通过发布文献求助,成功后即可免费获取论文全文。 去求助
来源期刊
自引率
0.00%
发文量
0
审稿时长
18 weeks
×
引用
GB/T 7714-2015
复制
MLA
复制
APA
复制
导出至
BibTeX EndNote RefMan NoteFirst NoteExpress
×
提示
您的信息不完整,为了账户安全,请先补充。
现在去补充
×
提示
您因"违规操作"
具体请查看互助需知
我知道了
×
提示
确定
请完成安全验证×
copy
已复制链接
快去分享给好友吧!
我知道了
右上角分享
点击右上角分享
0
联系我们:info@booksci.cn Book学术提供免费学术资源搜索服务,方便国内外学者检索中英文文献。致力于提供最便捷和优质的服务体验。 Copyright © 2023 布克学术 All rights reserved.
京ICP备2023020795号-1
ghs 京公网安备 11010802042870号
Book学术文献互助
Book学术文献互助群
群 号:604180095
Book学术官方微信