自体造血细胞移植治疗NK/T细胞血管内淋巴瘤患者的长期缓解。

IF 1.4 Q4 HEMATOLOGY
Hiroki Tsutsumi, Keisuke Tanaka, Atsushi Hamamura, Norihiko Nakamura, Shigeo Toyota
{"title":"自体造血细胞移植治疗NK/T细胞血管内淋巴瘤患者的长期缓解。","authors":"Hiroki Tsutsumi, Keisuke Tanaka, Atsushi Hamamura, Norihiko Nakamura, Shigeo Toyota","doi":"10.3960/jslrt.24068","DOIUrl":null,"url":null,"abstract":"<p><p>Intravascular lymphoma (IVL) is a rare subtype of lymphoma, mostly of B-cell origin. A few cases of IVL have been reported as having NK/T cell origins (IVNKTL). These cases are known to be fatal, especially when systemic symptoms are present. We report the case of a patient of IVNKTL who was refractory to initial treatment and received autologous hematopoietic stem cell transplantation (auto-HSCT). She has maintained complete remission (CR) for over eight years. Our case might support the evidence of auto-HSCT for the treatment of IVNKTL with chemosensitivity.</p>","PeriodicalId":45936,"journal":{"name":"Journal of Clinical and Experimental Hematopathology","volume":"65 1","pages":"62-67"},"PeriodicalIF":1.4000,"publicationDate":"2025-01-01","publicationTypes":"Journal Article","fieldsOfStudy":null,"isOpenAccess":false,"openAccessPdf":"https://www.ncbi.nlm.nih.gov/pmc/articles/PMC12051424/pdf/","citationCount":"0","resultStr":"{\"title\":\"Long-term remission in a patient with NK/T cell intravascular lymphoma with autologous hematopoietic cell transplantation.\",\"authors\":\"Hiroki Tsutsumi, Keisuke Tanaka, Atsushi Hamamura, Norihiko Nakamura, Shigeo Toyota\",\"doi\":\"10.3960/jslrt.24068\",\"DOIUrl\":null,\"url\":null,\"abstract\":\"<p><p>Intravascular lymphoma (IVL) is a rare subtype of lymphoma, mostly of B-cell origin. A few cases of IVL have been reported as having NK/T cell origins (IVNKTL). These cases are known to be fatal, especially when systemic symptoms are present. We report the case of a patient of IVNKTL who was refractory to initial treatment and received autologous hematopoietic stem cell transplantation (auto-HSCT). She has maintained complete remission (CR) for over eight years. Our case might support the evidence of auto-HSCT for the treatment of IVNKTL with chemosensitivity.</p>\",\"PeriodicalId\":45936,\"journal\":{\"name\":\"Journal of Clinical and Experimental Hematopathology\",\"volume\":\"65 1\",\"pages\":\"62-67\"},\"PeriodicalIF\":1.4000,\"publicationDate\":\"2025-01-01\",\"publicationTypes\":\"Journal Article\",\"fieldsOfStudy\":null,\"isOpenAccess\":false,\"openAccessPdf\":\"https://www.ncbi.nlm.nih.gov/pmc/articles/PMC12051424/pdf/\",\"citationCount\":\"0\",\"resultStr\":null,\"platform\":\"Semanticscholar\",\"paperid\":null,\"PeriodicalName\":\"Journal of Clinical and Experimental Hematopathology\",\"FirstCategoryId\":\"1085\",\"ListUrlMain\":\"https://doi.org/10.3960/jslrt.24068\",\"RegionNum\":0,\"RegionCategory\":null,\"ArticlePicture\":[],\"TitleCN\":null,\"AbstractTextCN\":null,\"PMCID\":null,\"EPubDate\":\"\",\"PubModel\":\"\",\"JCR\":\"Q4\",\"JCRName\":\"HEMATOLOGY\",\"Score\":null,\"Total\":0}","platform":"Semanticscholar","paperid":null,"PeriodicalName":"Journal of Clinical and Experimental Hematopathology","FirstCategoryId":"1085","ListUrlMain":"https://doi.org/10.3960/jslrt.24068","RegionNum":0,"RegionCategory":null,"ArticlePicture":[],"TitleCN":null,"AbstractTextCN":null,"PMCID":null,"EPubDate":"","PubModel":"","JCR":"Q4","JCRName":"HEMATOLOGY","Score":null,"Total":0}
引用次数: 0

摘要

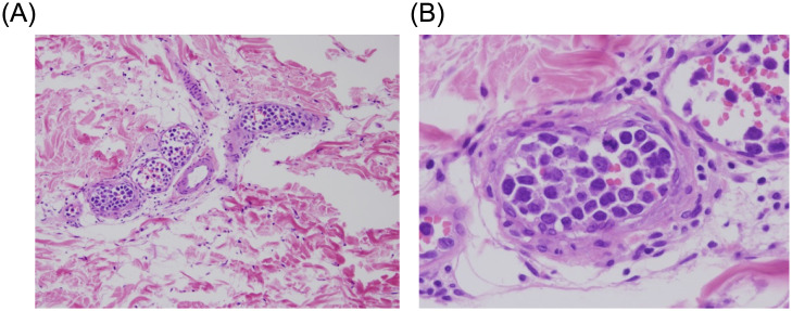
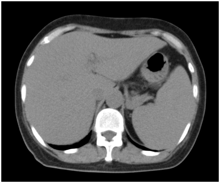
血管内淋巴瘤(IVL)是一种罕见的淋巴瘤亚型,主要来自b细胞。一些IVL病例被报道为NK/T细胞起源(IVNKTL)。已知这些病例是致命的,特别是当出现全身性症状时。我们报告了一例IVNKTL患者,最初治疗难治,接受了自体造血干细胞移植(auto-HSCT)。她保持完全缓解(CR)超过8年。我们的病例可能支持自体造血干细胞移植治疗化疗敏感的IVNKTL的证据。
本文章由计算机程序翻译,如有差异,请以英文原文为准。

Long-term remission in a patient with NK/T cell intravascular lymphoma with autologous hematopoietic cell transplantation.

Long-term remission in a patient with NK/T cell intravascular lymphoma with autologous hematopoietic cell transplantation.

Long-term remission in a patient with NK/T cell intravascular lymphoma with autologous hematopoietic cell transplantation.

Long-term remission in a patient with NK/T cell intravascular lymphoma with autologous hematopoietic cell transplantation.

Intravascular lymphoma (IVL) is a rare subtype of lymphoma, mostly of B-cell origin. A few cases of IVL have been reported as having NK/T cell origins (IVNKTL). These cases are known to be fatal, especially when systemic symptoms are present. We report the case of a patient of IVNKTL who was refractory to initial treatment and received autologous hematopoietic stem cell transplantation (auto-HSCT). She has maintained complete remission (CR) for over eight years. Our case might support the evidence of auto-HSCT for the treatment of IVNKTL with chemosensitivity.

求助全文
通过发布文献求助,成功后即可免费获取论文全文。 去求助
来源期刊
CiteScore
2.00
自引率
6.70%
发文量
25
审稿时长
11 weeks
×
引用
GB/T 7714-2015
复制
MLA
复制
APA
复制
导出至
BibTeX EndNote RefMan NoteFirst NoteExpress
×
提示
您的信息不完整,为了账户安全,请先补充。
现在去补充
×
提示
您因"违规操作"
具体请查看互助需知
我知道了
×
提示
确定
请完成安全验证×
copy
已复制链接
快去分享给好友吧!
我知道了
右上角分享
点击右上角分享
0
联系我们:info@booksci.cn Book学术提供免费学术资源搜索服务,方便国内外学者检索中英文文献。致力于提供最便捷和优质的服务体验。 Copyright © 2023 布克学术 All rights reserved.
京ICP备2023020795号-1
ghs 京公网安备 11010802042870号
Book学术文献互助
Book学术文献互助群
群 号:604180095
Book学术官方微信