股骨远端缩短截骨术治疗全髋关节置换术中无法复位的髋关节4例严重脱位髋关节。

IF 1.3 2区 农林科学 Q2 VETERINARY SCIENCES
Veterinary Surgery Pub Date : 2025-08-01 Epub Date: 2025-03-31 DOI:10.1111/vsu.14257
YoungJin Jeon, Jaemin Jeong, Aldo Vezzoni, Haebeom Lee
{"title":"股骨远端缩短截骨术治疗全髋关节置换术中无法复位的髋关节4例严重脱位髋关节。","authors":"YoungJin Jeon, Jaemin Jeong, Aldo Vezzoni, Haebeom Lee","doi":"10.1111/vsu.14257","DOIUrl":null,"url":null,"abstract":"<p><strong>Objectives: </strong>To describe the surgical technique and clinical outcomes of distal femoral shortening osteotomy (DFSO) to facilitate prosthesis reduction in dogs with irreducible luxoid hips undergoing total hip replacement (THR).</p><p><strong>Animals: </strong>Four client-owned dogs with luxoid hips.</p><p><strong>Study design: </strong>Short case series.</p><p><strong>Methods: </strong>Standard THR was performed to alleviate pain and restore limb function. After confirming the prostheses were non-reducible, DFSO was performed as a novel tension-relieving technique at a level that allowed internal fixation. The shortening length was determined by the intraoperative tension required to reduce and maintain the prosthesis. Data from medical records were collected, including signalment, clinical signs, implant used, shortening length, and outcomes.</p><p><strong>Results: </strong>Following DFSO, prosthesis reduction was successful in all dogs. The median femoral shortening length ratio was 13.8% (range, 10.7%-15.3%). One intraoperative complication involved a fissure of the greater trochanter, which occurred during trial reduction before DFSO. Median duration of follow-up was 21 months (range, 3-34 months). Two dogs showed good to excellent limb function. Bone union was consistently achieved in all DFSO procedures. Two postoperative complications were observed: one case of prosthesis luxation and one case of aseptic stem loosening. The owner declined revision surgery for luxation, and explantation was performed for the stem loosening.</p><p><strong>Conclusion: </strong>DFSO could effectively manage irreducible prostheses in dogs with luxoid hips when conventional methods fail. However, careful case selection and meticulous surgical planning were essential to avoid complications.</p>","PeriodicalId":23667,"journal":{"name":"Veterinary Surgery","volume":" ","pages":"1239-1248"},"PeriodicalIF":1.3000,"publicationDate":"2025-08-01","publicationTypes":"Journal Article","fieldsOfStudy":null,"isOpenAccess":false,"openAccessPdf":"https://www.ncbi.nlm.nih.gov/pmc/articles/PMC12344215/pdf/","citationCount":"0","resultStr":"{\"title\":\"Distal femoral shortening osteotomy for managing irreducible hips during total hip replacement in four dogs with severe luxoid hips.\",\"authors\":\"YoungJin Jeon, Jaemin Jeong, Aldo Vezzoni, Haebeom Lee\",\"doi\":\"10.1111/vsu.14257\",\"DOIUrl\":null,\"url\":null,\"abstract\":\"<p><strong>Objectives: </strong>To describe the surgical technique and clinical outcomes of distal femoral shortening osteotomy (DFSO) to facilitate prosthesis reduction in dogs with irreducible luxoid hips undergoing total hip replacement (THR).</p><p><strong>Animals: </strong>Four client-owned dogs with luxoid hips.</p><p><strong>Study design: </strong>Short case series.</p><p><strong>Methods: </strong>Standard THR was performed to alleviate pain and restore limb function. After confirming the prostheses were non-reducible, DFSO was performed as a novel tension-relieving technique at a level that allowed internal fixation. The shortening length was determined by the intraoperative tension required to reduce and maintain the prosthesis. Data from medical records were collected, including signalment, clinical signs, implant used, shortening length, and outcomes.</p><p><strong>Results: </strong>Following DFSO, prosthesis reduction was successful in all dogs. The median femoral shortening length ratio was 13.8% (range, 10.7%-15.3%). One intraoperative complication involved a fissure of the greater trochanter, which occurred during trial reduction before DFSO. Median duration of follow-up was 21 months (range, 3-34 months). Two dogs showed good to excellent limb function. Bone union was consistently achieved in all DFSO procedures. Two postoperative complications were observed: one case of prosthesis luxation and one case of aseptic stem loosening. The owner declined revision surgery for luxation, and explantation was performed for the stem loosening.</p><p><strong>Conclusion: </strong>DFSO could effectively manage irreducible prostheses in dogs with luxoid hips when conventional methods fail. However, careful case selection and meticulous surgical planning were essential to avoid complications.</p>\",\"PeriodicalId\":23667,\"journal\":{\"name\":\"Veterinary Surgery\",\"volume\":\" \",\"pages\":\"1239-1248\"},\"PeriodicalIF\":1.3000,\"publicationDate\":\"2025-08-01\",\"publicationTypes\":\"Journal Article\",\"fieldsOfStudy\":null,\"isOpenAccess\":false,\"openAccessPdf\":\"https://www.ncbi.nlm.nih.gov/pmc/articles/PMC12344215/pdf/\",\"citationCount\":\"0\",\"resultStr\":null,\"platform\":\"Semanticscholar\",\"paperid\":null,\"PeriodicalName\":\"Veterinary Surgery\",\"FirstCategoryId\":\"97\",\"ListUrlMain\":\"https://doi.org/10.1111/vsu.14257\",\"RegionNum\":2,\"RegionCategory\":\"农林科学\",\"ArticlePicture\":[],\"TitleCN\":null,\"AbstractTextCN\":null,\"PMCID\":null,\"EPubDate\":\"2025/3/31 0:00:00\",\"PubModel\":\"Epub\",\"JCR\":\"Q2\",\"JCRName\":\"VETERINARY SCIENCES\",\"Score\":null,\"Total\":0}","platform":"Semanticscholar","paperid":null,"PeriodicalName":"Veterinary Surgery","FirstCategoryId":"97","ListUrlMain":"https://doi.org/10.1111/vsu.14257","RegionNum":2,"RegionCategory":"农林科学","ArticlePicture":[],"TitleCN":null,"AbstractTextCN":null,"PMCID":null,"EPubDate":"2025/3/31 0:00:00","PubModel":"Epub","JCR":"Q2","JCRName":"VETERINARY SCIENCES","Score":null,"Total":0}
引用次数: 0

摘要

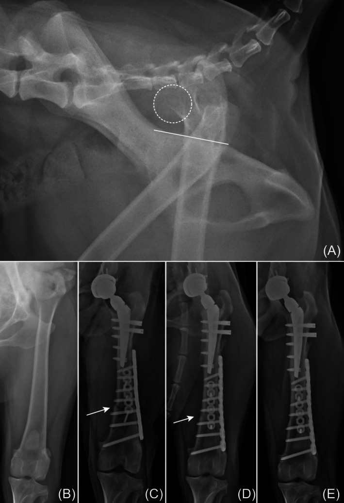
目的:描述股骨远端缩短截骨术(DFSO)的手术技术和临床结果,以促进假体复位不可复位的脱位髋关节行全髋关节置换术(THR)的狗。动物:4只客户拥有的狗,髋骨松脱。研究设计:短病例系列。方法:采用标准THR减轻疼痛,恢复肢体功能。在确认假体不可还原后,在允许内固定的水平上,将DFSO作为一种新的减压技术进行。缩短的长度取决于术中复位和维持假体所需的张力。从医疗记录中收集数据,包括信号、临床体征、使用的植入物、缩短长度和结果。结果:采用DFSO后,所有犬的假体复位均成功。股骨缩短长度中位数比为13.8%(范围10.7%-15.3%)。术中并发症之一是在DFSO前试验复位时发生的大转子断裂。中位随访时间为21个月(范围3-34个月)。2只犬表现出良好至优异的肢体功能。所有DFSO手术均可实现骨愈合。术后观察到2例并发症:1例假体脱位,1例无菌干松动。业主拒绝翻修手术治疗脱位,并对椎体干松动进行了外植。结论:DFSO能有效地治疗关节脱位性髋关节不能复位的情况。然而,谨慎的病例选择和细致的手术计划是避免并发症的必要条件。
本文章由计算机程序翻译,如有差异,请以英文原文为准。

Distal femoral shortening osteotomy for managing irreducible hips during total hip replacement in four dogs with severe luxoid hips.

Distal femoral shortening osteotomy for managing irreducible hips during total hip replacement in four dogs with severe luxoid hips.

Distal femoral shortening osteotomy for managing irreducible hips during total hip replacement in four dogs with severe luxoid hips.

Distal femoral shortening osteotomy for managing irreducible hips during total hip replacement in four dogs with severe luxoid hips.

Objectives: To describe the surgical technique and clinical outcomes of distal femoral shortening osteotomy (DFSO) to facilitate prosthesis reduction in dogs with irreducible luxoid hips undergoing total hip replacement (THR).

Animals: Four client-owned dogs with luxoid hips.

Study design: Short case series.

Methods: Standard THR was performed to alleviate pain and restore limb function. After confirming the prostheses were non-reducible, DFSO was performed as a novel tension-relieving technique at a level that allowed internal fixation. The shortening length was determined by the intraoperative tension required to reduce and maintain the prosthesis. Data from medical records were collected, including signalment, clinical signs, implant used, shortening length, and outcomes.

Results: Following DFSO, prosthesis reduction was successful in all dogs. The median femoral shortening length ratio was 13.8% (range, 10.7%-15.3%). One intraoperative complication involved a fissure of the greater trochanter, which occurred during trial reduction before DFSO. Median duration of follow-up was 21 months (range, 3-34 months). Two dogs showed good to excellent limb function. Bone union was consistently achieved in all DFSO procedures. Two postoperative complications were observed: one case of prosthesis luxation and one case of aseptic stem loosening. The owner declined revision surgery for luxation, and explantation was performed for the stem loosening.

Conclusion: DFSO could effectively manage irreducible prostheses in dogs with luxoid hips when conventional methods fail. However, careful case selection and meticulous surgical planning were essential to avoid complications.

求助全文
通过发布文献求助,成功后即可免费获取论文全文。 去求助
来源期刊
Veterinary Surgery
Veterinary Surgery 农林科学-兽医学
CiteScore
3.40
自引率
22.20%
发文量
162
审稿时长
8-16 weeks
期刊介绍: Veterinary Surgery, the official publication of the American College of Veterinary Surgeons and European College of Veterinary Surgeons, is a source of up-to-date coverage of surgical and anesthetic management of animals, addressing significant problems in veterinary surgery with relevant case histories and observations. It contains original, peer-reviewed articles that cover developments in veterinary surgery, and presents the most current review of the field, with timely articles on surgical techniques, diagnostic aims, care of infections, and advances in knowledge of metabolism as it affects the surgical patient. The journal places new developments in perspective, encompassing new concepts and peer commentary to help better understand and evaluate the surgical patient.
×
引用
GB/T 7714-2015
复制
MLA
复制
APA
复制
导出至
BibTeX EndNote RefMan NoteFirst NoteExpress
×
提示
您的信息不完整,为了账户安全,请先补充。
现在去补充
×
提示
您因"违规操作"
具体请查看互助需知
我知道了
×
提示
确定
请完成安全验证×
copy
已复制链接
快去分享给好友吧!
我知道了
右上角分享
点击右上角分享
0
联系我们:info@booksci.cn Book学术提供免费学术资源搜索服务,方便国内外学者检索中英文文献。致力于提供最便捷和优质的服务体验。 Copyright © 2023 布克学术 All rights reserved.
京ICP备2023020795号-1
ghs 京公网安备 11010802042870号
Book学术文献互助
Book学术文献互助群
群 号:604180095
Book学术官方微信