基底动脉再通成功后急性缺血性脑卒中DWI的可逆性。

IF 2.6 3区 医学 Q2 Medicine
Clinical Neuroradiology Pub Date : 2025-09-01 Epub Date: 2025-03-31 DOI:10.1007/s00062-025-01512-9
Niclas Launhardt, Jessica Jesser, Dimah Hasan, Rebecca May, Omid Nikoubashman, Martin Wiesmann, Thanh N Nguyen, Markus A Möhlenbruch, Julius Kernbach, Charlotte S Weyland
{"title":"基底动脉再通成功后急性缺血性脑卒中DWI的可逆性。","authors":"Niclas Launhardt, Jessica Jesser, Dimah Hasan, Rebecca May, Omid Nikoubashman, Martin Wiesmann, Thanh N Nguyen, Markus A Möhlenbruch, Julius Kernbach, Charlotte S Weyland","doi":"10.1007/s00062-025-01512-9","DOIUrl":null,"url":null,"abstract":"<p><strong>Purpose: </strong>Diffusion Weighted Imaging (DWI) represents the infarct core in acute ischemic stroke. DWI reversibility is a phenomenon reported for the anterior circulation affecting small brain areas of the white matter. This study aims to define DWI reversibility in the posterior circulation after successful recanalization of basilar artery occlusion (BAO) and its influence on patient outcome.</p><p><strong>Methods: </strong>This was a retrospective analysis of two tertiary stroke-centers analyzing stroke patients between January 2015 and December 2022. Inclusion criteria were available MRI before and after acute stroke treatment and successful BAO recanalization. Brain areas were defined as brainstem, cerebellum and supratentorial brain areas supplied by the posterior circulation. These areas were compared in univariate analysis. Secondarily, patient outcome was compared between patients with DWI reversibility and patients without in univariate analysis with good outcome as primary endpoint (mRS 90d 0 to 2).</p><p><strong>Results: </strong>In total, 5/28 of included patients (21.74%) showed DWI reversibility, which was exclusively found in the brainstem. The overall extent of brainstem infarction correlated better with patient outcome compared to cerebellar or supratentorial infarction (Spearman's ρ = 0.757; p < 0.001). Good outcome was more frequent in patients with DWI reversibility compared to those without (mRS 0-2, DWI+ n = 4, 80% vs. DWI- n = 6, 26%, p = 0.023).</p><p><strong>Conclusion: </strong>DWI restriction reversibility was observed in the brainstem of acute stroke patients with BAO. In this study, patient outcome correlates stronger with the extent of brainstem infarction compared to cerebellar or supratentorial infarction.</p>","PeriodicalId":10391,"journal":{"name":"Clinical Neuroradiology","volume":" ","pages":"551-558"},"PeriodicalIF":2.6000,"publicationDate":"2025-09-01","publicationTypes":"Journal Article","fieldsOfStudy":null,"isOpenAccess":false,"openAccessPdf":"https://www.ncbi.nlm.nih.gov/pmc/articles/PMC12454530/pdf/","citationCount":"0","resultStr":"{\"title\":\"DWI Reversibility in Acute Ischemic Stroke Due to Basilar Artery Occlusion Following Successful Recanalization.\",\"authors\":\"Niclas Launhardt, Jessica Jesser, Dimah Hasan, Rebecca May, Omid Nikoubashman, Martin Wiesmann, Thanh N Nguyen, Markus A Möhlenbruch, Julius Kernbach, Charlotte S Weyland\",\"doi\":\"10.1007/s00062-025-01512-9\",\"DOIUrl\":null,\"url\":null,\"abstract\":\"<p><strong>Purpose: </strong>Diffusion Weighted Imaging (DWI) represents the infarct core in acute ischemic stroke. DWI reversibility is a phenomenon reported for the anterior circulation affecting small brain areas of the white matter. This study aims to define DWI reversibility in the posterior circulation after successful recanalization of basilar artery occlusion (BAO) and its influence on patient outcome.</p><p><strong>Methods: </strong>This was a retrospective analysis of two tertiary stroke-centers analyzing stroke patients between January 2015 and December 2022. Inclusion criteria were available MRI before and after acute stroke treatment and successful BAO recanalization. Brain areas were defined as brainstem, cerebellum and supratentorial brain areas supplied by the posterior circulation. These areas were compared in univariate analysis. Secondarily, patient outcome was compared between patients with DWI reversibility and patients without in univariate analysis with good outcome as primary endpoint (mRS 90d 0 to 2).</p><p><strong>Results: </strong>In total, 5/28 of included patients (21.74%) showed DWI reversibility, which was exclusively found in the brainstem. The overall extent of brainstem infarction correlated better with patient outcome compared to cerebellar or supratentorial infarction (Spearman's ρ = 0.757; p < 0.001). Good outcome was more frequent in patients with DWI reversibility compared to those without (mRS 0-2, DWI+ n = 4, 80% vs. DWI- n = 6, 26%, p = 0.023).</p><p><strong>Conclusion: </strong>DWI restriction reversibility was observed in the brainstem of acute stroke patients with BAO. In this study, patient outcome correlates stronger with the extent of brainstem infarction compared to cerebellar or supratentorial infarction.</p>\",\"PeriodicalId\":10391,\"journal\":{\"name\":\"Clinical Neuroradiology\",\"volume\":\" \",\"pages\":\"551-558\"},\"PeriodicalIF\":2.6000,\"publicationDate\":\"2025-09-01\",\"publicationTypes\":\"Journal Article\",\"fieldsOfStudy\":null,\"isOpenAccess\":false,\"openAccessPdf\":\"https://www.ncbi.nlm.nih.gov/pmc/articles/PMC12454530/pdf/\",\"citationCount\":\"0\",\"resultStr\":null,\"platform\":\"Semanticscholar\",\"paperid\":null,\"PeriodicalName\":\"Clinical Neuroradiology\",\"FirstCategoryId\":\"3\",\"ListUrlMain\":\"https://doi.org/10.1007/s00062-025-01512-9\",\"RegionNum\":3,\"RegionCategory\":\"医学\",\"ArticlePicture\":[],\"TitleCN\":null,\"AbstractTextCN\":null,\"PMCID\":null,\"EPubDate\":\"2025/3/31 0:00:00\",\"PubModel\":\"Epub\",\"JCR\":\"Q2\",\"JCRName\":\"Medicine\",\"Score\":null,\"Total\":0}","platform":"Semanticscholar","paperid":null,"PeriodicalName":"Clinical Neuroradiology","FirstCategoryId":"3","ListUrlMain":"https://doi.org/10.1007/s00062-025-01512-9","RegionNum":3,"RegionCategory":"医学","ArticlePicture":[],"TitleCN":null,"AbstractTextCN":null,"PMCID":null,"EPubDate":"2025/3/31 0:00:00","PubModel":"Epub","JCR":"Q2","JCRName":"Medicine","Score":null,"Total":0}
引用次数: 0

摘要

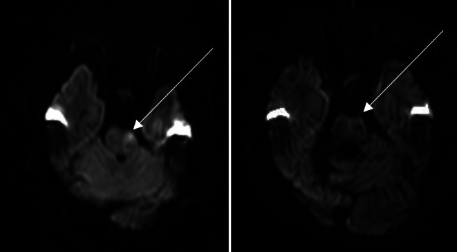
目的:弥散加权成像(DWI)表征急性缺血性脑卒中的梗死核心。DWI可逆性是一种影响脑白质小区域的前循环的现象。本研究旨在明确基底动脉闭塞(BAO)再通成功后后循环DWI可逆性及其对患者预后的影响。方法:回顾性分析2015年1月至2022年12月对脑卒中患者进行分析的两个三级脑卒中中心。纳入标准为急性脑卒中治疗前后MRI及BAO再通成功。脑区被定义为脑干、小脑和幕上脑由后循环供应的脑区。在单因素分析中对这些区域进行比较。其次,比较DWI可逆性患者和无DWI可逆性患者的预后,单因素分析以预后良好为主要终点(mRS 90d 0 ~ 2)。结果:总共有5/28的纳入患者(21.74%)显示DWI可逆性,DWI可逆性仅发生在脑干。与小脑或幕上梗死相比,脑干梗死的总体范围与患者预后的相关性更好(Spearman ρ = 0.757;p 结论:急性脑卒中合并BAO患者脑干DWI限制可逆性明显。在这项研究中,与小脑或幕上梗死相比,患者预后与脑干梗死的范围相关性更强。
本文章由计算机程序翻译,如有差异,请以英文原文为准。

DWI Reversibility in Acute Ischemic Stroke Due to Basilar Artery Occlusion Following Successful Recanalization.

DWI Reversibility in Acute Ischemic Stroke Due to Basilar Artery Occlusion Following Successful Recanalization.

DWI Reversibility in Acute Ischemic Stroke Due to Basilar Artery Occlusion Following Successful Recanalization.

DWI Reversibility in Acute Ischemic Stroke Due to Basilar Artery Occlusion Following Successful Recanalization.

Purpose: Diffusion Weighted Imaging (DWI) represents the infarct core in acute ischemic stroke. DWI reversibility is a phenomenon reported for the anterior circulation affecting small brain areas of the white matter. This study aims to define DWI reversibility in the posterior circulation after successful recanalization of basilar artery occlusion (BAO) and its influence on patient outcome.

Methods: This was a retrospective analysis of two tertiary stroke-centers analyzing stroke patients between January 2015 and December 2022. Inclusion criteria were available MRI before and after acute stroke treatment and successful BAO recanalization. Brain areas were defined as brainstem, cerebellum and supratentorial brain areas supplied by the posterior circulation. These areas were compared in univariate analysis. Secondarily, patient outcome was compared between patients with DWI reversibility and patients without in univariate analysis with good outcome as primary endpoint (mRS 90d 0 to 2).

Results: In total, 5/28 of included patients (21.74%) showed DWI reversibility, which was exclusively found in the brainstem. The overall extent of brainstem infarction correlated better with patient outcome compared to cerebellar or supratentorial infarction (Spearman's ρ = 0.757; p < 0.001). Good outcome was more frequent in patients with DWI reversibility compared to those without (mRS 0-2, DWI+ n = 4, 80% vs. DWI- n = 6, 26%, p = 0.023).

Conclusion: DWI restriction reversibility was observed in the brainstem of acute stroke patients with BAO. In this study, patient outcome correlates stronger with the extent of brainstem infarction compared to cerebellar or supratentorial infarction.

求助全文
通过发布文献求助,成功后即可免费获取论文全文。 去求助
来源期刊
Clinical Neuroradiology
Clinical Neuroradiology Medicine-Radiology, Nuclear Medicine and Imaging
CiteScore
4.90
自引率
3.60%
发文量
0
期刊介绍: Clinical Neuroradiology provides current information, original contributions, and reviews in the field of neuroradiology. An interdisciplinary approach is accomplished by diagnostic and therapeutic contributions related to associated subjects. The international coverage and relevance of the journal is underlined by its being the official journal of the German, Swiss, and Austrian Societies of Neuroradiology.
×
引用
GB/T 7714-2015
复制
MLA
复制
APA
复制
导出至
BibTeX EndNote RefMan NoteFirst NoteExpress
×
提示
您的信息不完整,为了账户安全,请先补充。
现在去补充
×
提示
您因"违规操作"
具体请查看互助需知
我知道了
×
提示
确定
请完成安全验证×
copy
已复制链接
快去分享给好友吧!
我知道了
右上角分享
点击右上角分享
0
联系我们:info@booksci.cn Book学术提供免费学术资源搜索服务,方便国内外学者检索中英文文献。致力于提供最便捷和优质的服务体验。 Copyright © 2023 布克学术 All rights reserved.
京ICP备2023020795号-1
ghs 京公网安备 11010802042870号
Book学术文献互助
Book学术文献互助群
群 号:604180095
Book学术官方微信