“层压或旋转”的标志。

IF 2.2 3区 医学 Q2 RADIOLOGY, NUCLEAR MEDICINE & MEDICAL IMAGING
Sitthipong Srisajjakul, Patcharin Prapaisilp, Sirikan Bangchokdee
{"title":"“层压或旋转”的标志。","authors":"Sitthipong Srisajjakul, Patcharin Prapaisilp, Sirikan Bangchokdee","doi":"10.1007/s00261-025-04913-z","DOIUrl":null,"url":null,"abstract":"","PeriodicalId":7126,"journal":{"name":"Abdominal Radiology","volume":"50 10","pages":"5064 - 5065"},"PeriodicalIF":2.2000,"publicationDate":"2025-04-01","publicationTypes":"Journal Article","fieldsOfStudy":null,"isOpenAccess":false,"openAccessPdf":"","citationCount":"0","resultStr":"{\"title\":\"The “laminated or swirled” sign\",\"authors\":\"Sitthipong Srisajjakul, Patcharin Prapaisilp, Sirikan Bangchokdee\",\"doi\":\"10.1007/s00261-025-04913-z\",\"DOIUrl\":null,\"url\":null,\"abstract\":\"\",\"PeriodicalId\":7126,\"journal\":{\"name\":\"Abdominal Radiology\",\"volume\":\"50 10\",\"pages\":\"5064 - 5065\"},\"PeriodicalIF\":2.2000,\"publicationDate\":\"2025-04-01\",\"publicationTypes\":\"Journal Article\",\"fieldsOfStudy\":null,\"isOpenAccess\":false,\"openAccessPdf\":\"\",\"citationCount\":\"0\",\"resultStr\":null,\"platform\":\"Semanticscholar\",\"paperid\":null,\"PeriodicalName\":\"Abdominal Radiology\",\"FirstCategoryId\":\"3\",\"ListUrlMain\":\"https://link.springer.com/article/10.1007/s00261-025-04913-z\",\"RegionNum\":3,\"RegionCategory\":\"医学\",\"ArticlePicture\":[],\"TitleCN\":null,\"AbstractTextCN\":null,\"PMCID\":null,\"EPubDate\":\"\",\"PubModel\":\"\",\"JCR\":\"Q2\",\"JCRName\":\"RADIOLOGY, NUCLEAR MEDICINE & MEDICAL IMAGING\",\"Score\":null,\"Total\":0}","platform":"Semanticscholar","paperid":null,"PeriodicalName":"Abdominal Radiology","FirstCategoryId":"3","ListUrlMain":"https://link.springer.com/article/10.1007/s00261-025-04913-z","RegionNum":3,"RegionCategory":"医学","ArticlePicture":[],"TitleCN":null,"AbstractTextCN":null,"PMCID":null,"EPubDate":"","PubModel":"","JCR":"Q2","JCRName":"RADIOLOGY, NUCLEAR MEDICINE & MEDICAL IMAGING","Score":null,"Total":0}
引用次数: 0

摘要

本文章由计算机程序翻译,如有差异,请以英文原文为准。

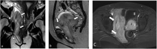
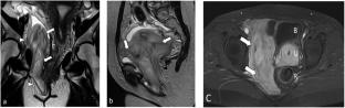
The “laminated or swirled” sign

The “laminated or swirled” sign

The “laminated or swirled” sign
求助全文
通过发布文献求助,成功后即可免费获取论文全文。 去求助
来源期刊
Abdominal Radiology
Abdominal Radiology Medicine-Radiology, Nuclear Medicine and Imaging
CiteScore
5.20
自引率
8.30%
发文量
334
期刊介绍: Abdominal Radiology seeks to meet the professional needs of the abdominal radiologist by publishing clinically pertinent original, review and practice related articles on the gastrointestinal and genitourinary tracts and abdominal interventional and radiologic procedures. Case reports are generally not accepted unless they are the first report of a new disease or condition, or part of a special solicited section. Reasons to Publish Your Article in Abdominal Radiology: · Official journal of the Society of Abdominal Radiology (SAR) · Published in Cooperation with: European Society of Gastrointestinal and Abdominal Radiology (ESGAR) European Society of Urogenital Radiology (ESUR) Asian Society of Abdominal Radiology (ASAR) · Efficient handling and Expeditious review · Author feedback is provided in a mentoring style · Global readership · Readers can earn CME credits
×
引用
GB/T 7714-2015
复制
MLA
复制
APA
复制
导出至
BibTeX EndNote RefMan NoteFirst NoteExpress
×
提示
您的信息不完整,为了账户安全,请先补充。
现在去补充
×
提示
您因"违规操作"
具体请查看互助需知
我知道了
×
提示
确定
请完成安全验证×
copy
已复制链接
快去分享给好友吧!
我知道了
右上角分享
点击右上角分享
0
联系我们:info@booksci.cn Book学术提供免费学术资源搜索服务,方便国内外学者检索中英文文献。致力于提供最便捷和优质的服务体验。 Copyright © 2023 布克学术 All rights reserved.
京ICP备2023020795号-1
ghs 京公网安备 11010802042870号
Book学术文献互助
Book学术文献互助群
群 号:604180095
Book学术官方微信