增强子染色体外环状DNA ANKRD28通过pou2f2介导的转录网络引发多发性骨髓瘤的耐药。

IF 14.1 1区 材料科学 Q1 CHEMISTRY, MULTIDISCIPLINARY
Binzhen Chen, Jia Liu, Yaoxin Zhang, Changming Shi, Di Zhu, Guoqiang Zhang, Fei Xiao, Lu Zhong, Minyue Zhang, Lai Guan Ng, Honghui Huang, Tingting Lu, Jian Hou
{"title":"增强子染色体外环状DNA ANKRD28通过pou2f2介导的转录网络引发多发性骨髓瘤的耐药。","authors":"Binzhen Chen,&nbsp;Jia Liu,&nbsp;Yaoxin Zhang,&nbsp;Changming Shi,&nbsp;Di Zhu,&nbsp;Guoqiang Zhang,&nbsp;Fei Xiao,&nbsp;Lu Zhong,&nbsp;Minyue Zhang,&nbsp;Lai Guan Ng,&nbsp;Honghui Huang,&nbsp;Tingting Lu,&nbsp;Jian Hou","doi":"10.1002/advs.202415695","DOIUrl":null,"url":null,"abstract":"<p>Multiple myeloma (MM) remains an incurable disease primarily due to the emergence of drug resistance, and the underlying mechanisms remain unclear. Extrachromosomal circular DNAs (eccDNAs) are prevalent in cancer genomes of both coding and non-coding regions. However, the role of non-coding eccDNA regions that serve as enhancers has been largely overlooked. Here, genome-wide profiling of serum eccDNAs from donors and MM patients who responded well or poorly to bortezomib-lenalidomide-dexamethasone (VRd) therapy is characterized. A high copy number of eccDNA ANKRD28 (eccANKRD28) predicts poor therapy response and prognosis but enhanced transcriptional activity. Established VRd-resistant MM cell lines exhibit a higher abundance of eccANKRD28, and CRISPR/Cas9-mediated elevation of eccANKRD28 desensitizes bortezomib and lenalidomide treatment both in vitro and in vivo. Integrated multi-omics analysis (H3K27ac ChIP-seq, scRNA-seq, scATAC-seq, CUT&amp;Tag, et al.) identifies eccANKRD28 as an active enhancer involved in drug resistance driven by the key transcription factor, POU class 2 homeobox 2 (POU2F2). POU2F2 interacts with sequence-specific eccANKRD28 as well as RUNX1 and RUNX2 motifs to form the protein complex, which activates the promoter of oncogenes, including <i>IRF4</i>, <i>JUNB</i>, <i>IKZF3</i>, <i>RUNX3, and BCL2</i>. This study elucidates the potential transcriptional network of enhancer eccANKRD28 in MM drug resistance from a previously unrecognized epigenetic perspective.</p>","PeriodicalId":117,"journal":{"name":"Advanced Science","volume":"12 21","pages":""},"PeriodicalIF":14.1000,"publicationDate":"2025-04-01","publicationTypes":"Journal Article","fieldsOfStudy":null,"isOpenAccess":false,"openAccessPdf":"https://onlinelibrary.wiley.com/doi/epdf/10.1002/advs.202415695","citationCount":"0","resultStr":"{\"title\":\"Enhancer Extrachromosomal Circular DNA ANKRD28 Elicits Drug Resistance via POU2F2-Mediated Transcriptional Network in Multiple Myeloma\",\"authors\":\"Binzhen Chen,&nbsp;Jia Liu,&nbsp;Yaoxin Zhang,&nbsp;Changming Shi,&nbsp;Di Zhu,&nbsp;Guoqiang Zhang,&nbsp;Fei Xiao,&nbsp;Lu Zhong,&nbsp;Minyue Zhang,&nbsp;Lai Guan Ng,&nbsp;Honghui Huang,&nbsp;Tingting Lu,&nbsp;Jian Hou\",\"doi\":\"10.1002/advs.202415695\",\"DOIUrl\":null,\"url\":null,\"abstract\":\"<p>Multiple myeloma (MM) remains an incurable disease primarily due to the emergence of drug resistance, and the underlying mechanisms remain unclear. Extrachromosomal circular DNAs (eccDNAs) are prevalent in cancer genomes of both coding and non-coding regions. However, the role of non-coding eccDNA regions that serve as enhancers has been largely overlooked. Here, genome-wide profiling of serum eccDNAs from donors and MM patients who responded well or poorly to bortezomib-lenalidomide-dexamethasone (VRd) therapy is characterized. A high copy number of eccDNA ANKRD28 (eccANKRD28) predicts poor therapy response and prognosis but enhanced transcriptional activity. Established VRd-resistant MM cell lines exhibit a higher abundance of eccANKRD28, and CRISPR/Cas9-mediated elevation of eccANKRD28 desensitizes bortezomib and lenalidomide treatment both in vitro and in vivo. Integrated multi-omics analysis (H3K27ac ChIP-seq, scRNA-seq, scATAC-seq, CUT&amp;Tag, et al.) identifies eccANKRD28 as an active enhancer involved in drug resistance driven by the key transcription factor, POU class 2 homeobox 2 (POU2F2). POU2F2 interacts with sequence-specific eccANKRD28 as well as RUNX1 and RUNX2 motifs to form the protein complex, which activates the promoter of oncogenes, including <i>IRF4</i>, <i>JUNB</i>, <i>IKZF3</i>, <i>RUNX3, and BCL2</i>. This study elucidates the potential transcriptional network of enhancer eccANKRD28 in MM drug resistance from a previously unrecognized epigenetic perspective.</p>\",\"PeriodicalId\":117,\"journal\":{\"name\":\"Advanced Science\",\"volume\":\"12 21\",\"pages\":\"\"},\"PeriodicalIF\":14.1000,\"publicationDate\":\"2025-04-01\",\"publicationTypes\":\"Journal Article\",\"fieldsOfStudy\":null,\"isOpenAccess\":false,\"openAccessPdf\":\"https://onlinelibrary.wiley.com/doi/epdf/10.1002/advs.202415695\",\"citationCount\":\"0\",\"resultStr\":null,\"platform\":\"Semanticscholar\",\"paperid\":null,\"PeriodicalName\":\"Advanced Science\",\"FirstCategoryId\":\"88\",\"ListUrlMain\":\"https://advanced.onlinelibrary.wiley.com/doi/10.1002/advs.202415695\",\"RegionNum\":1,\"RegionCategory\":\"材料科学\",\"ArticlePicture\":[],\"TitleCN\":null,\"AbstractTextCN\":null,\"PMCID\":null,\"EPubDate\":\"\",\"PubModel\":\"\",\"JCR\":\"Q1\",\"JCRName\":\"CHEMISTRY, MULTIDISCIPLINARY\",\"Score\":null,\"Total\":0}","platform":"Semanticscholar","paperid":null,"PeriodicalName":"Advanced Science","FirstCategoryId":"88","ListUrlMain":"https://advanced.onlinelibrary.wiley.com/doi/10.1002/advs.202415695","RegionNum":1,"RegionCategory":"材料科学","ArticlePicture":[],"TitleCN":null,"AbstractTextCN":null,"PMCID":null,"EPubDate":"","PubModel":"","JCR":"Q1","JCRName":"CHEMISTRY, MULTIDISCIPLINARY","Score":null,"Total":0}
引用次数: 0

摘要

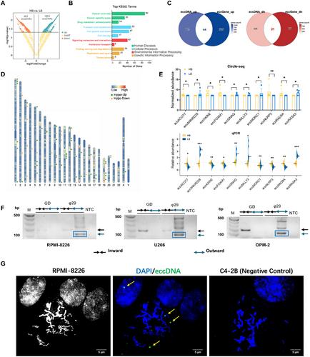
多发性骨髓瘤(MM)仍然是一种无法治愈的疾病,主要是由于耐药性的出现,其潜在的机制尚不清楚。染色体外环状dna (eccdna)普遍存在于癌症基因组的编码区和非编码区。然而,作为增强子的非编码ecdna区域的作用在很大程度上被忽视了。本研究对供体和对硼替佐米-来那度胺-地塞米松(VRd)治疗反应良好或不良的MM患者的血清eccdna进行全基因组分析。高拷贝数的eccDNA ANKRD28 (eccANKRD28)预示着较差的治疗反应和预后,但转录活性增强。已建立的vrd耐药MM细胞系显示出更高的eccANKRD28的丰富度,CRISPR/ cas9介导的eccANKRD28的升高在体外和体内均可使硼替佐米和来那度胺治疗脱敏。综合多组学分析(H3K27ac ChIP-seq、scRNA-seq、scATAC-seq、CUT&Tag等)发现eccANKRD28是一个活性增强子,参与了关键转录因子POU class 2 homobox 2 (POU2F2)驱动的耐药过程。POU2F2与序列特异性的eccANKRD28以及RUNX1和RUNX2基序相互作用形成蛋白复合物,激活致癌基因的启动子,包括IRF4、JUNB、IKZF3、RUNX3和BCL2。本研究从先前未被认识的表观遗传学角度阐明了增强子eccANKRD28在MM耐药中的潜在转录网络。
本文章由计算机程序翻译,如有差异,请以英文原文为准。

Enhancer Extrachromosomal Circular DNA ANKRD28 Elicits Drug Resistance via POU2F2-Mediated Transcriptional Network in Multiple Myeloma

Enhancer Extrachromosomal Circular DNA ANKRD28 Elicits Drug Resistance via POU2F2-Mediated Transcriptional Network in Multiple Myeloma

Enhancer Extrachromosomal Circular DNA ANKRD28 Elicits Drug Resistance via POU2F2-Mediated Transcriptional Network in Multiple Myeloma

Enhancer Extrachromosomal Circular DNA ANKRD28 Elicits Drug Resistance via POU2F2-Mediated Transcriptional Network in Multiple Myeloma

Enhancer Extrachromosomal Circular DNA ANKRD28 Elicits Drug Resistance via POU2F2-Mediated Transcriptional Network in Multiple Myeloma

Multiple myeloma (MM) remains an incurable disease primarily due to the emergence of drug resistance, and the underlying mechanisms remain unclear. Extrachromosomal circular DNAs (eccDNAs) are prevalent in cancer genomes of both coding and non-coding regions. However, the role of non-coding eccDNA regions that serve as enhancers has been largely overlooked. Here, genome-wide profiling of serum eccDNAs from donors and MM patients who responded well or poorly to bortezomib-lenalidomide-dexamethasone (VRd) therapy is characterized. A high copy number of eccDNA ANKRD28 (eccANKRD28) predicts poor therapy response and prognosis but enhanced transcriptional activity. Established VRd-resistant MM cell lines exhibit a higher abundance of eccANKRD28, and CRISPR/Cas9-mediated elevation of eccANKRD28 desensitizes bortezomib and lenalidomide treatment both in vitro and in vivo. Integrated multi-omics analysis (H3K27ac ChIP-seq, scRNA-seq, scATAC-seq, CUT&Tag, et al.) identifies eccANKRD28 as an active enhancer involved in drug resistance driven by the key transcription factor, POU class 2 homeobox 2 (POU2F2). POU2F2 interacts with sequence-specific eccANKRD28 as well as RUNX1 and RUNX2 motifs to form the protein complex, which activates the promoter of oncogenes, including IRF4, JUNB, IKZF3, RUNX3, and BCL2. This study elucidates the potential transcriptional network of enhancer eccANKRD28 in MM drug resistance from a previously unrecognized epigenetic perspective.

求助全文
通过发布文献求助,成功后即可免费获取论文全文。 去求助
来源期刊
Advanced Science
Advanced Science CHEMISTRY, MULTIDISCIPLINARYNANOSCIENCE &-NANOSCIENCE & NANOTECHNOLOGY
CiteScore
18.90
自引率
2.60%
发文量
1602
审稿时长
1.9 months
期刊介绍: Advanced Science is a prestigious open access journal that focuses on interdisciplinary research in materials science, physics, chemistry, medical and life sciences, and engineering. The journal aims to promote cutting-edge research by employing a rigorous and impartial review process. It is committed to presenting research articles with the highest quality production standards, ensuring maximum accessibility of top scientific findings. With its vibrant and innovative publication platform, Advanced Science seeks to revolutionize the dissemination and organization of scientific knowledge.
×
引用
GB/T 7714-2015
复制
MLA
复制
APA
复制
导出至
BibTeX EndNote RefMan NoteFirst NoteExpress
×
提示
您的信息不完整,为了账户安全,请先补充。
现在去补充
×
提示
您因"违规操作"
具体请查看互助需知
我知道了
×
提示
确定
请完成安全验证×
copy
已复制链接
快去分享给好友吧!
我知道了
右上角分享
点击右上角分享
0
联系我们:info@booksci.cn Book学术提供免费学术资源搜索服务,方便国内外学者检索中英文文献。致力于提供最便捷和优质的服务体验。 Copyright © 2023 布克学术 All rights reserved.
京ICP备2023020795号-1
ghs 京公网安备 11010802042870号
Book学术文献互助
Book学术文献互助群
群 号:604180095
Book学术官方微信