胰腺导管腺癌MRI特征与KRAS突变状态的相关性研究。

IF 2.2 3区 医学 Q2 RADIOLOGY, NUCLEAR MEDICINE & MEDICAL IMAGING
Junjian Shen, Xingxing Wang, Keqin Yu, Kai Liu, Xiaolin Wang, Haitao Sun, Jianjun Zhou, Mengsu Zeng
{"title":"胰腺导管腺癌MRI特征与KRAS突变状态的相关性研究。","authors":"Junjian Shen,&nbsp;Xingxing Wang,&nbsp;Keqin Yu,&nbsp;Kai Liu,&nbsp;Xiaolin Wang,&nbsp;Haitao Sun,&nbsp;Jianjun Zhou,&nbsp;Mengsu Zeng","doi":"10.1007/s00261-025-04888-x","DOIUrl":null,"url":null,"abstract":"<div><h3>Purpose</h3><p>To investigate MRI features associated with <i>KRAS</i> mutation status in PDAC and their clinical implications.</p><h3>Materials and methods</h3><p>In our study, 1474 patients pathologically confirmed PDAC patients between January 2016 and December 2023 were evaluated. Patients with genetic testing (<i>KRAS</i> mutation status) and MRI examination were enrolled and grouped as <i>KRAS</i>-mutated PDAC and non-<i>KRAS</i>-mutated PDAC. Contrast-enhanced MRI features, clinicopathologic findings, and prognosis were compared between two groups.</p><h3>Results</h3><p>A total of 308 surgically confirmed PDAC patients (median age, 67 years [IQR, 59, 72]; 183 male and 125 female) with genetic testing data were included, of which 258 had KRAS-mutated PDAC and 50 had non-KRAS-mutated PDAC. KRAS-mutated PDAC demonstrated distinct clinicopathological characteristics, including higher rates of diabetes (OR, 2.450, 95% CI, 1.151–5.212, <i>P</i> = 0.020), pathological peripheral nerve infiltration (OR, 2.296, 95% CI, 1.083–4.867, <i>P</i> = 0.030), and pN stage (OR, 2.006, 95% CI, 1.012–3.976, <i>P</i> = 0.046). The 1-, 3-, 5-year OS rate was worse for <i>KRAS</i>-mutated PDAC (89.9%, 45.4%, 23.2% vs. 95.1%, 60.4% 60.4%, <i>P</i> = 0.045). Rim enhancement (OR = 2.039, 95% CI: 1.053, 3.951, <i>P</i> = 0.035) and larger tumor size (OR = 3.286, 95% CI: 1.523, 7.089, <i>P</i> = 0.002) were identified as distinctive MRI features for <i>KRAS</i>-mutated PDAC.</p><h3>Conclusion</h3><p><i>KRAS</i>-mutated PDAC presents unique clinical and pathological features and is associated with poorer prognosis. Rim enhancement and larger tumor size on MRI were identified as features associated with KRAS-mutated PDAC.</p><h3>Graphical abstract</h3><div><figure><div><div><picture><source><img></source></picture></div></div></figure></div></div>","PeriodicalId":7126,"journal":{"name":"Abdominal Radiology","volume":"50 10","pages":"4575 - 4588"},"PeriodicalIF":2.2000,"publicationDate":"2025-03-29","publicationTypes":"Journal Article","fieldsOfStudy":null,"isOpenAccess":false,"openAccessPdf":"","citationCount":"0","resultStr":"{\"title\":\"Correlation of MRI characteristics with KRAS mutation status in pancreatic ductal adenocarcinoma\",\"authors\":\"Junjian Shen,&nbsp;Xingxing Wang,&nbsp;Keqin Yu,&nbsp;Kai Liu,&nbsp;Xiaolin Wang,&nbsp;Haitao Sun,&nbsp;Jianjun Zhou,&nbsp;Mengsu Zeng\",\"doi\":\"10.1007/s00261-025-04888-x\",\"DOIUrl\":null,\"url\":null,\"abstract\":\"<div><h3>Purpose</h3><p>To investigate MRI features associated with <i>KRAS</i> mutation status in PDAC and their clinical implications.</p><h3>Materials and methods</h3><p>In our study, 1474 patients pathologically confirmed PDAC patients between January 2016 and December 2023 were evaluated. Patients with genetic testing (<i>KRAS</i> mutation status) and MRI examination were enrolled and grouped as <i>KRAS</i>-mutated PDAC and non-<i>KRAS</i>-mutated PDAC. Contrast-enhanced MRI features, clinicopathologic findings, and prognosis were compared between two groups.</p><h3>Results</h3><p>A total of 308 surgically confirmed PDAC patients (median age, 67 years [IQR, 59, 72]; 183 male and 125 female) with genetic testing data were included, of which 258 had KRAS-mutated PDAC and 50 had non-KRAS-mutated PDAC. KRAS-mutated PDAC demonstrated distinct clinicopathological characteristics, including higher rates of diabetes (OR, 2.450, 95% CI, 1.151–5.212, <i>P</i> = 0.020), pathological peripheral nerve infiltration (OR, 2.296, 95% CI, 1.083–4.867, <i>P</i> = 0.030), and pN stage (OR, 2.006, 95% CI, 1.012–3.976, <i>P</i> = 0.046). The 1-, 3-, 5-year OS rate was worse for <i>KRAS</i>-mutated PDAC (89.9%, 45.4%, 23.2% vs. 95.1%, 60.4% 60.4%, <i>P</i> = 0.045). Rim enhancement (OR = 2.039, 95% CI: 1.053, 3.951, <i>P</i> = 0.035) and larger tumor size (OR = 3.286, 95% CI: 1.523, 7.089, <i>P</i> = 0.002) were identified as distinctive MRI features for <i>KRAS</i>-mutated PDAC.</p><h3>Conclusion</h3><p><i>KRAS</i>-mutated PDAC presents unique clinical and pathological features and is associated with poorer prognosis. Rim enhancement and larger tumor size on MRI were identified as features associated with KRAS-mutated PDAC.</p><h3>Graphical abstract</h3><div><figure><div><div><picture><source><img></source></picture></div></div></figure></div></div>\",\"PeriodicalId\":7126,\"journal\":{\"name\":\"Abdominal Radiology\",\"volume\":\"50 10\",\"pages\":\"4575 - 4588\"},\"PeriodicalIF\":2.2000,\"publicationDate\":\"2025-03-29\",\"publicationTypes\":\"Journal Article\",\"fieldsOfStudy\":null,\"isOpenAccess\":false,\"openAccessPdf\":\"\",\"citationCount\":\"0\",\"resultStr\":null,\"platform\":\"Semanticscholar\",\"paperid\":null,\"PeriodicalName\":\"Abdominal Radiology\",\"FirstCategoryId\":\"3\",\"ListUrlMain\":\"https://link.springer.com/article/10.1007/s00261-025-04888-x\",\"RegionNum\":3,\"RegionCategory\":\"医学\",\"ArticlePicture\":[],\"TitleCN\":null,\"AbstractTextCN\":null,\"PMCID\":null,\"EPubDate\":\"\",\"PubModel\":\"\",\"JCR\":\"Q2\",\"JCRName\":\"RADIOLOGY, NUCLEAR MEDICINE & MEDICAL IMAGING\",\"Score\":null,\"Total\":0}","platform":"Semanticscholar","paperid":null,"PeriodicalName":"Abdominal Radiology","FirstCategoryId":"3","ListUrlMain":"https://link.springer.com/article/10.1007/s00261-025-04888-x","RegionNum":3,"RegionCategory":"医学","ArticlePicture":[],"TitleCN":null,"AbstractTextCN":null,"PMCID":null,"EPubDate":"","PubModel":"","JCR":"Q2","JCRName":"RADIOLOGY, NUCLEAR MEDICINE & MEDICAL IMAGING","Score":null,"Total":0}
引用次数: 0

摘要

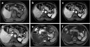
目的:探讨与PDAC中KRAS突变状态相关的MRI特征及其临床意义。材料与方法:本研究对2016年1月至2023年12月1474例病理证实的PDAC患者进行评估。纳入基因检测(KRAS突变状态)和MRI检查的患者,并将其分为KRAS突变PDAC和非KRAS突变PDAC。比较两组患者的MRI增强特征、临床病理表现及预后。结果:308例经手术确诊的PDAC患者(中位年龄67岁[IQR, 59, 72];纳入183例(男125例,女125例)基因检测资料,其中258例为kras突变PDAC, 50例为非kras突变PDAC。kras突变的PDAC表现出明显的临床病理特征,包括较高的糖尿病发生率(OR, 2.450, 95% CI, 1.151-5.212, P = 0.020)、病理性周围神经浸润(OR, 2.296, 95% CI, 1.083-4.867, P = 0.030)和pN分期(OR, 2.006, 95% CI, 1.012-3.976, P = 0.046)。kras突变PDAC的1、3、5年OS率较差(89.9%、45.4%、23.2% vs. 95.1%、60.4%、60.4%,P = 0.045)。环增强(OR = 2.039, 95% CI: 1.053, 3.951, P = 0.035)和较大的肿瘤大小(OR = 3.286, 95% CI: 1.523, 7.089, P = 0.002)被确定为kras突变PDAC的独特MRI特征。结论:kras突变的PDAC具有独特的临床和病理特征,与较差的预后相关。MRI上的边缘增强和更大的肿瘤大小被确定为与kras突变的PDAC相关的特征。
本文章由计算机程序翻译,如有差异,请以英文原文为准。

Correlation of MRI characteristics with KRAS mutation status in pancreatic ductal adenocarcinoma

Correlation of MRI characteristics with KRAS mutation status in pancreatic ductal adenocarcinoma

Correlation of MRI characteristics with KRAS mutation status in pancreatic ductal adenocarcinoma

Purpose

To investigate MRI features associated with KRAS mutation status in PDAC and their clinical implications.

Materials and methods

In our study, 1474 patients pathologically confirmed PDAC patients between January 2016 and December 2023 were evaluated. Patients with genetic testing (KRAS mutation status) and MRI examination were enrolled and grouped as KRAS-mutated PDAC and non-KRAS-mutated PDAC. Contrast-enhanced MRI features, clinicopathologic findings, and prognosis were compared between two groups.

Results

A total of 308 surgically confirmed PDAC patients (median age, 67 years [IQR, 59, 72]; 183 male and 125 female) with genetic testing data were included, of which 258 had KRAS-mutated PDAC and 50 had non-KRAS-mutated PDAC. KRAS-mutated PDAC demonstrated distinct clinicopathological characteristics, including higher rates of diabetes (OR, 2.450, 95% CI, 1.151–5.212, P = 0.020), pathological peripheral nerve infiltration (OR, 2.296, 95% CI, 1.083–4.867, P = 0.030), and pN stage (OR, 2.006, 95% CI, 1.012–3.976, P = 0.046). The 1-, 3-, 5-year OS rate was worse for KRAS-mutated PDAC (89.9%, 45.4%, 23.2% vs. 95.1%, 60.4% 60.4%, P = 0.045). Rim enhancement (OR = 2.039, 95% CI: 1.053, 3.951, P = 0.035) and larger tumor size (OR = 3.286, 95% CI: 1.523, 7.089, P = 0.002) were identified as distinctive MRI features for KRAS-mutated PDAC.

Conclusion

KRAS-mutated PDAC presents unique clinical and pathological features and is associated with poorer prognosis. Rim enhancement and larger tumor size on MRI were identified as features associated with KRAS-mutated PDAC.

Graphical abstract

求助全文
通过发布文献求助,成功后即可免费获取论文全文。 去求助
来源期刊
Abdominal Radiology
Abdominal Radiology Medicine-Radiology, Nuclear Medicine and Imaging
CiteScore
5.20
自引率
8.30%
发文量
334
期刊介绍: Abdominal Radiology seeks to meet the professional needs of the abdominal radiologist by publishing clinically pertinent original, review and practice related articles on the gastrointestinal and genitourinary tracts and abdominal interventional and radiologic procedures. Case reports are generally not accepted unless they are the first report of a new disease or condition, or part of a special solicited section. Reasons to Publish Your Article in Abdominal Radiology: · Official journal of the Society of Abdominal Radiology (SAR) · Published in Cooperation with: European Society of Gastrointestinal and Abdominal Radiology (ESGAR) European Society of Urogenital Radiology (ESUR) Asian Society of Abdominal Radiology (ASAR) · Efficient handling and Expeditious review · Author feedback is provided in a mentoring style · Global readership · Readers can earn CME credits
×
引用
GB/T 7714-2015
复制
MLA
复制
APA
复制
导出至
BibTeX EndNote RefMan NoteFirst NoteExpress
×
提示
您的信息不完整,为了账户安全,请先补充。
现在去补充
×
提示
您因"违规操作"
具体请查看互助需知
我知道了
×
提示
确定
请完成安全验证×
copy
已复制链接
快去分享给好友吧!
我知道了
右上角分享
点击右上角分享
0
联系我们:info@booksci.cn Book学术提供免费学术资源搜索服务,方便国内外学者检索中英文文献。致力于提供最便捷和优质的服务体验。 Copyright © 2023 布克学术 All rights reserved.
京ICP备2023020795号-1
ghs 京公网安备 11010802042870号
Book学术文献互助
Book学术文献互助群
群 号:604180095
Book学术官方微信