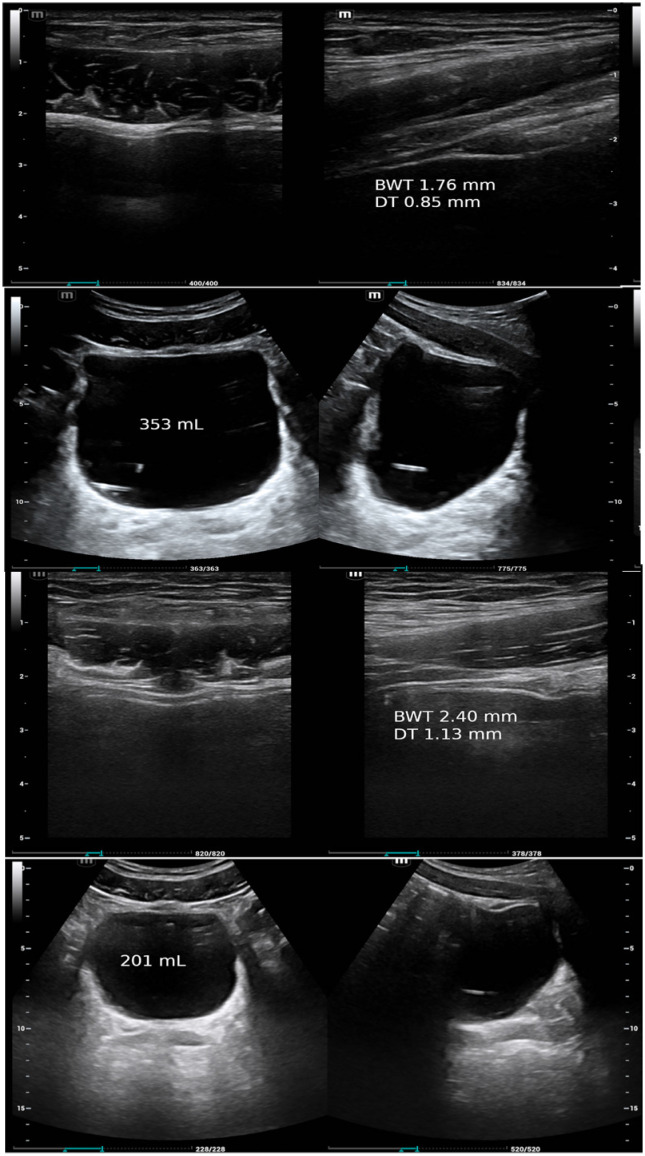
超声估计空后残尿患者膀胱和逼尿肌重量。

IF 4.5 3区 医学 Q1 UROLOGY & NEPHROLOGY
Aderivaldo Cabral Dias, Maria Laura Regis Cabral Dias, Guy Grebot
{"title":"超声估计空后残尿患者膀胱和逼尿肌重量。","authors":"Aderivaldo Cabral Dias, Maria Laura Regis Cabral Dias, Guy Grebot","doi":"10.1590/S1677-5538.IBJU.2025.0126","DOIUrl":null,"url":null,"abstract":"","PeriodicalId":49283,"journal":{"name":"International Braz J Urol","volume":"51 4","pages":""},"PeriodicalIF":4.5000,"publicationDate":"2025-07-01","publicationTypes":"Journal Article","fieldsOfStudy":null,"isOpenAccess":false,"openAccessPdf":"https://www.ncbi.nlm.nih.gov/pmc/articles/PMC12236975/pdf/","citationCount":"0","resultStr":"{\"title\":\"Ultrasonically Estimated Bladder and Detrusor Weights in Patients with Post-Void Residual Urine.\",\"authors\":\"Aderivaldo Cabral Dias, Maria Laura Regis Cabral Dias, Guy Grebot\",\"doi\":\"10.1590/S1677-5538.IBJU.2025.0126\",\"DOIUrl\":null,\"url\":null,\"abstract\":\"\",\"PeriodicalId\":49283,\"journal\":{\"name\":\"International Braz J Urol\",\"volume\":\"51 4\",\"pages\":\"\"},\"PeriodicalIF\":4.5000,\"publicationDate\":\"2025-07-01\",\"publicationTypes\":\"Journal Article\",\"fieldsOfStudy\":null,\"isOpenAccess\":false,\"openAccessPdf\":\"https://www.ncbi.nlm.nih.gov/pmc/articles/PMC12236975/pdf/\",\"citationCount\":\"0\",\"resultStr\":null,\"platform\":\"Semanticscholar\",\"paperid\":null,\"PeriodicalName\":\"International Braz J Urol\",\"FirstCategoryId\":\"3\",\"ListUrlMain\":\"https://doi.org/10.1590/S1677-5538.IBJU.2025.0126\",\"RegionNum\":3,\"RegionCategory\":\"医学\",\"ArticlePicture\":[],\"TitleCN\":null,\"AbstractTextCN\":null,\"PMCID\":null,\"EPubDate\":\"\",\"PubModel\":\"\",\"JCR\":\"Q1\",\"JCRName\":\"UROLOGY & NEPHROLOGY\",\"Score\":null,\"Total\":0}","platform":"Semanticscholar","paperid":null,"PeriodicalName":"International Braz J Urol","FirstCategoryId":"3","ListUrlMain":"https://doi.org/10.1590/S1677-5538.IBJU.2025.0126","RegionNum":3,"RegionCategory":"医学","ArticlePicture":[],"TitleCN":null,"AbstractTextCN":null,"PMCID":null,"EPubDate":"","PubModel":"","JCR":"Q1","JCRName":"UROLOGY & NEPHROLOGY","Score":null,"Total":0}
引用次数: 0

摘要

本文章由计算机程序翻译,如有差异,请以英文原文为准。

Ultrasonically Estimated Bladder and Detrusor Weights in Patients with Post-Void Residual Urine.

Ultrasonically Estimated Bladder and Detrusor Weights in Patients with Post-Void Residual Urine.
求助全文
通过发布文献求助,成功后即可免费获取论文全文。 去求助
来源期刊
International Braz J Urol
International Braz J Urol UROLOGY & NEPHROLOGY-
CiteScore
4.60
自引率
21.60%
发文量
246
审稿时长
6-12 weeks
期刊介绍: Information not localized
×
引用
GB/T 7714-2015
复制
MLA
复制
APA
复制
导出至
BibTeX EndNote RefMan NoteFirst NoteExpress
×
提示
您的信息不完整,为了账户安全,请先补充。
现在去补充
×
提示
您因"违规操作"
具体请查看互助需知
我知道了
×
提示
确定
请完成安全验证×
copy
已复制链接
快去分享给好友吧!
我知道了
右上角分享
点击右上角分享
0
联系我们:info@booksci.cn Book学术提供免费学术资源搜索服务,方便国内外学者检索中英文文献。致力于提供最便捷和优质的服务体验。 Copyright © 2023 布克学术 All rights reserved.
京ICP备2023020795号-1
ghs 京公网安备 11010802042870号
Book学术文献互助
Book学术文献互助群
群 号:604180095
Book学术官方微信