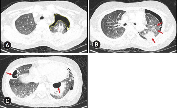
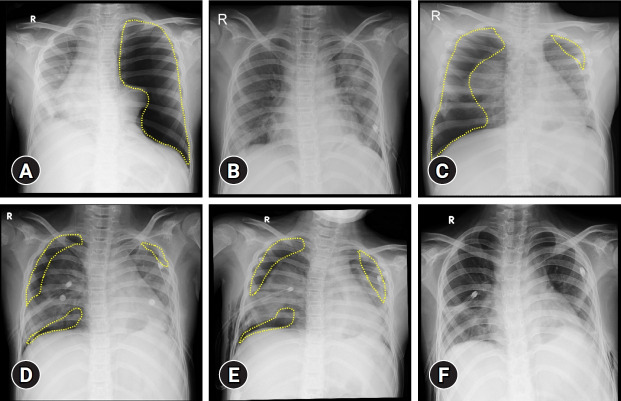
红斑狼疮双侧自发性气胸及低剂量静脉注射免疫球蛋白的作用。

IF 1.4 Q3 MEDICINE, GENERAL & INTERNAL
Journal of Yeungnam medical science Pub Date : 2025-01-01 Epub Date: 2025-03-27 DOI:10.12701/jyms.2025.42.29
Felix Liauw, Tiara Nien Paramita, Endah Citraresmi, Abdurrahman Hadi
{"title":"红斑狼疮双侧自发性气胸及低剂量静脉注射免疫球蛋白的作用。","authors":"Felix Liauw, Tiara Nien Paramita, Endah Citraresmi, Abdurrahman Hadi","doi":"10.12701/jyms.2025.42.29","DOIUrl":null,"url":null,"abstract":"","PeriodicalId":74020,"journal":{"name":"Journal of Yeungnam medical science","volume":"42 ","pages":"29"},"PeriodicalIF":1.4000,"publicationDate":"2025-01-01","publicationTypes":"Journal Article","fieldsOfStudy":null,"isOpenAccess":false,"openAccessPdf":"https://www.ncbi.nlm.nih.gov/pmc/articles/PMC12303780/pdf/","citationCount":"0","resultStr":"{\"title\":\"Bilateral spontaneous pneumothorax in lupus erythematosus and the role of low-dose intravenous immunoglobulin.\",\"authors\":\"Felix Liauw, Tiara Nien Paramita, Endah Citraresmi, Abdurrahman Hadi\",\"doi\":\"10.12701/jyms.2025.42.29\",\"DOIUrl\":null,\"url\":null,\"abstract\":\"\",\"PeriodicalId\":74020,\"journal\":{\"name\":\"Journal of Yeungnam medical science\",\"volume\":\"42 \",\"pages\":\"29\"},\"PeriodicalIF\":1.4000,\"publicationDate\":\"2025-01-01\",\"publicationTypes\":\"Journal Article\",\"fieldsOfStudy\":null,\"isOpenAccess\":false,\"openAccessPdf\":\"https://www.ncbi.nlm.nih.gov/pmc/articles/PMC12303780/pdf/\",\"citationCount\":\"0\",\"resultStr\":null,\"platform\":\"Semanticscholar\",\"paperid\":null,\"PeriodicalName\":\"Journal of Yeungnam medical science\",\"FirstCategoryId\":\"1085\",\"ListUrlMain\":\"https://doi.org/10.12701/jyms.2025.42.29\",\"RegionNum\":0,\"RegionCategory\":null,\"ArticlePicture\":[],\"TitleCN\":null,\"AbstractTextCN\":null,\"PMCID\":null,\"EPubDate\":\"2025/3/27 0:00:00\",\"PubModel\":\"Epub\",\"JCR\":\"Q3\",\"JCRName\":\"MEDICINE, GENERAL & INTERNAL\",\"Score\":null,\"Total\":0}","platform":"Semanticscholar","paperid":null,"PeriodicalName":"Journal of Yeungnam medical science","FirstCategoryId":"1085","ListUrlMain":"https://doi.org/10.12701/jyms.2025.42.29","RegionNum":0,"RegionCategory":null,"ArticlePicture":[],"TitleCN":null,"AbstractTextCN":null,"PMCID":null,"EPubDate":"2025/3/27 0:00:00","PubModel":"Epub","JCR":"Q3","JCRName":"MEDICINE, GENERAL & INTERNAL","Score":null,"Total":0}
引用次数: 0

摘要

本文章由计算机程序翻译,如有差异,请以英文原文为准。

Bilateral spontaneous pneumothorax in lupus erythematosus and the role of low-dose intravenous immunoglobulin.

Bilateral spontaneous pneumothorax in lupus erythematosus and the role of low-dose intravenous immunoglobulin.

Bilateral spontaneous pneumothorax in lupus erythematosus and the role of low-dose intravenous immunoglobulin.
求助全文
通过发布文献求助,成功后即可免费获取论文全文。 去求助
来源期刊
CiteScore
0.80
自引率
0.00%
发文量
0
×
引用
GB/T 7714-2015
复制
MLA
复制
APA
复制
导出至
BibTeX EndNote RefMan NoteFirst NoteExpress
×
提示
您的信息不完整,为了账户安全,请先补充。
现在去补充
×
提示
您因"违规操作"
具体请查看互助需知
我知道了
×
提示
确定
请完成安全验证×
copy
已复制链接
快去分享给好友吧!
我知道了
右上角分享
点击右上角分享
0
联系我们:info@booksci.cn Book学术提供免费学术资源搜索服务,方便国内外学者检索中英文文献。致力于提供最便捷和优质的服务体验。 Copyright © 2023 布克学术 All rights reserved.
京ICP备2023020795号-1
ghs 京公网安备 11010802042870号
Book学术文献互助
Book学术文献互助群
群 号:604180095
Book学术官方微信