一名患有多发性肾囊肿的男孩的 IVCA 是深静脉血栓形成的危险因素。

Journal of mother and child Pub Date : 2025-03-25 eCollection Date: 2024-02-01 DOI:10.34763/jmotherandchild.20242801.d-24-00045
Agnieszka Szmigielska, Piotr Skrzypczyk, Michał Szyszka, Magdalena Bukowska, Malwina Wojtas, Aleksandra Jakimów-Kostrzewa
{"title":"一名患有多发性肾囊肿的男孩的 IVCA 是深静脉血栓形成的危险因素。","authors":"Agnieszka Szmigielska, Piotr Skrzypczyk, Michał Szyszka, Magdalena Bukowska, Malwina Wojtas, Aleksandra Jakimów-Kostrzewa","doi":"10.34763/jmotherandchild.20242801.d-24-00045","DOIUrl":null,"url":null,"abstract":"<p><strong>Introduction: </strong>The triad of symptoms: renal defects, congenital inferior vena cava agenesis (IVCA) and deep vein thrombosis of the lower limbs make up the KILT syndrome (kidney and IVC abnormalities with leg thrombosis).</p><p><strong>Case report: </strong>A 17-year-old boy complained of periodic abdominal pain. Abdominal ultrasonography revealed a multilocular cyst in the right kidney. Physical examination showed no abnormalities, and his blood pressure was 120/80mmHg. Abdominal ultrasonography showed a cyst measuring 36×30×25mm in the right kidney hilum. Computed tomography did not show the hepatic and suprarenal sections of the inferior vena cava. Numerous varicose-dilated collateral vessels, including renal venous vessels, were found in the right kidney hilum. The collateral vessels in the tomography matched the described in the ultrasound renal cyst. MRI confirmed IVCA with no other additional vascular abnormalities. Due to the risk of deep vein thrombosis of the lower limbs, non-pharmacological antithrombotic prophylaxis was recommended.</p><p><strong>Conclusions: </strong>Early detection of inferior vena cava agenesis allows for the reduction of the risk of dangerous thrombotic complications.</p>","PeriodicalId":73842,"journal":{"name":"Journal of mother and child","volume":"28 1","pages":"146-150"},"PeriodicalIF":0.0000,"publicationDate":"2025-03-25","publicationTypes":"Journal Article","fieldsOfStudy":null,"isOpenAccess":false,"openAccessPdf":"https://www.ncbi.nlm.nih.gov/pmc/articles/PMC12002566/pdf/","citationCount":"0","resultStr":"{\"title\":\"IVCA in a Boy with Multilocular Renal Cyst as a Risk Factor for Deep Vein Thrombosis.\",\"authors\":\"Agnieszka Szmigielska, Piotr Skrzypczyk, Michał Szyszka, Magdalena Bukowska, Malwina Wojtas, Aleksandra Jakimów-Kostrzewa\",\"doi\":\"10.34763/jmotherandchild.20242801.d-24-00045\",\"DOIUrl\":null,\"url\":null,\"abstract\":\"<p><strong>Introduction: </strong>The triad of symptoms: renal defects, congenital inferior vena cava agenesis (IVCA) and deep vein thrombosis of the lower limbs make up the KILT syndrome (kidney and IVC abnormalities with leg thrombosis).</p><p><strong>Case report: </strong>A 17-year-old boy complained of periodic abdominal pain. Abdominal ultrasonography revealed a multilocular cyst in the right kidney. Physical examination showed no abnormalities, and his blood pressure was 120/80mmHg. Abdominal ultrasonography showed a cyst measuring 36×30×25mm in the right kidney hilum. Computed tomography did not show the hepatic and suprarenal sections of the inferior vena cava. Numerous varicose-dilated collateral vessels, including renal venous vessels, were found in the right kidney hilum. The collateral vessels in the tomography matched the described in the ultrasound renal cyst. MRI confirmed IVCA with no other additional vascular abnormalities. Due to the risk of deep vein thrombosis of the lower limbs, non-pharmacological antithrombotic prophylaxis was recommended.</p><p><strong>Conclusions: </strong>Early detection of inferior vena cava agenesis allows for the reduction of the risk of dangerous thrombotic complications.</p>\",\"PeriodicalId\":73842,\"journal\":{\"name\":\"Journal of mother and child\",\"volume\":\"28 1\",\"pages\":\"146-150\"},\"PeriodicalIF\":0.0000,\"publicationDate\":\"2025-03-25\",\"publicationTypes\":\"Journal Article\",\"fieldsOfStudy\":null,\"isOpenAccess\":false,\"openAccessPdf\":\"https://www.ncbi.nlm.nih.gov/pmc/articles/PMC12002566/pdf/\",\"citationCount\":\"0\",\"resultStr\":null,\"platform\":\"Semanticscholar\",\"paperid\":null,\"PeriodicalName\":\"Journal of mother and child\",\"FirstCategoryId\":\"1085\",\"ListUrlMain\":\"https://doi.org/10.34763/jmotherandchild.20242801.d-24-00045\",\"RegionNum\":0,\"RegionCategory\":null,\"ArticlePicture\":[],\"TitleCN\":null,\"AbstractTextCN\":null,\"PMCID\":null,\"EPubDate\":\"2024/2/1 0:00:00\",\"PubModel\":\"eCollection\",\"JCR\":\"\",\"JCRName\":\"\",\"Score\":null,\"Total\":0}","platform":"Semanticscholar","paperid":null,"PeriodicalName":"Journal of mother and child","FirstCategoryId":"1085","ListUrlMain":"https://doi.org/10.34763/jmotherandchild.20242801.d-24-00045","RegionNum":0,"RegionCategory":null,"ArticlePicture":[],"TitleCN":null,"AbstractTextCN":null,"PMCID":null,"EPubDate":"2024/2/1 0:00:00","PubModel":"eCollection","JCR":"","JCRName":"","Score":null,"Total":0}
引用次数: 0

摘要

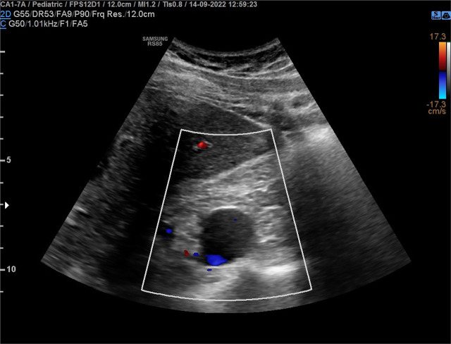
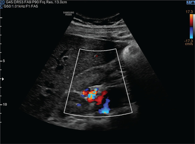
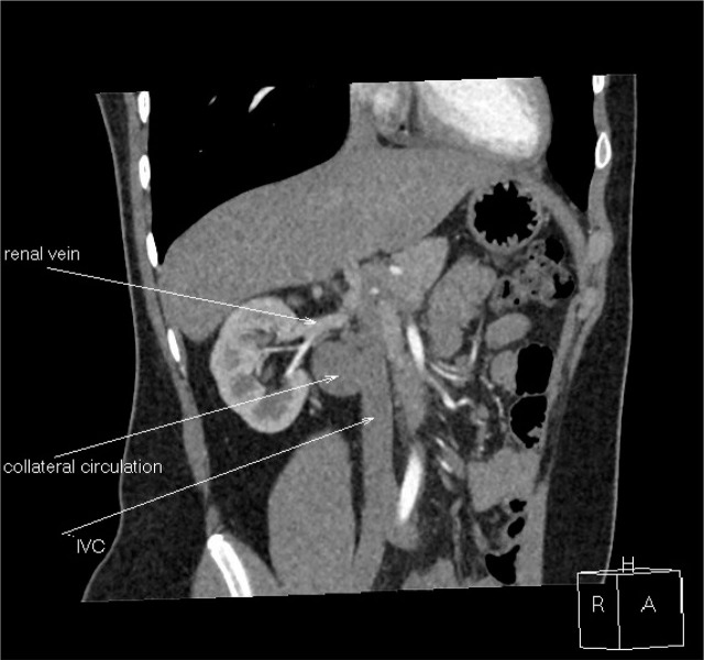
简介:肾缺陷、先天性下腔静脉发育不全(IVCA)和下肢深静脉血栓形成这三种症状构成了KILT综合征(肾脏和下腔静脉异常伴下肢血栓形成)。病例报告:一名17岁男孩自诉周期性腹痛。腹部超声检查显示右肾多房囊肿。体格检查未见异常,血压120/80mmHg。腹部超声显示右肾门有一个囊肿,尺寸为36×30×25mm。计算机断层扫描未显示下腔静脉的肝脏和肾上部分。右肾门可见大量曲张扩张的侧支血管,包括肾静脉血管。断层扫描的侧支血管与超声肾囊肿的描述相符。MRI证实IVCA并无其他血管异常。由于下肢深静脉血栓形成的风险,建议非药物抗血栓预防。结论:早期发现下腔静脉发育不全可以降低危险血栓并发症的风险。
本文章由计算机程序翻译,如有差异,请以英文原文为准。

IVCA in a Boy with Multilocular Renal Cyst as a Risk Factor for Deep Vein Thrombosis.

IVCA in a Boy with Multilocular Renal Cyst as a Risk Factor for Deep Vein Thrombosis.

IVCA in a Boy with Multilocular Renal Cyst as a Risk Factor for Deep Vein Thrombosis.

IVCA in a Boy with Multilocular Renal Cyst as a Risk Factor for Deep Vein Thrombosis.

Introduction: The triad of symptoms: renal defects, congenital inferior vena cava agenesis (IVCA) and deep vein thrombosis of the lower limbs make up the KILT syndrome (kidney and IVC abnormalities with leg thrombosis).

Case report: A 17-year-old boy complained of periodic abdominal pain. Abdominal ultrasonography revealed a multilocular cyst in the right kidney. Physical examination showed no abnormalities, and his blood pressure was 120/80mmHg. Abdominal ultrasonography showed a cyst measuring 36×30×25mm in the right kidney hilum. Computed tomography did not show the hepatic and suprarenal sections of the inferior vena cava. Numerous varicose-dilated collateral vessels, including renal venous vessels, were found in the right kidney hilum. The collateral vessels in the tomography matched the described in the ultrasound renal cyst. MRI confirmed IVCA with no other additional vascular abnormalities. Due to the risk of deep vein thrombosis of the lower limbs, non-pharmacological antithrombotic prophylaxis was recommended.

Conclusions: Early detection of inferior vena cava agenesis allows for the reduction of the risk of dangerous thrombotic complications.

求助全文
通过发布文献求助,成功后即可免费获取论文全文。 去求助
来源期刊
CiteScore
1.30
自引率
0.00%
发文量
0
×
引用
GB/T 7714-2015
复制
MLA
复制
APA
复制
导出至
BibTeX EndNote RefMan NoteFirst NoteExpress
×
提示
您的信息不完整,为了账户安全,请先补充。
现在去补充
×
提示
您因"违规操作"
具体请查看互助需知
我知道了
×
提示
确定
请完成安全验证×
copy
已复制链接
快去分享给好友吧!
我知道了
右上角分享
点击右上角分享
0
联系我们:info@booksci.cn Book学术提供免费学术资源搜索服务,方便国内外学者检索中英文文献。致力于提供最便捷和优质的服务体验。 Copyright © 2023 布克学术 All rights reserved.
京ICP备2023020795号-1
ghs 京公网安备 11010802042870号
Book学术文献互助
Book学术文献互助群
群 号:604180095
Book学术官方微信