审查员经验调节人类下肢肌肉超声测量的可靠性-一项双盲测量误差研究。

IF 2.9 Q2 Medicine
Konstantin Warneke, Stanislav D Siegel, Jonas Drabow, Lars H Lohmann, Daniel Jochum, Sandro R Freitas, José Afonso, Andreas Konrad
{"title":"审查员经验调节人类下肢肌肉超声测量的可靠性-一项双盲测量误差研究。","authors":"Konstantin Warneke, Stanislav D Siegel, Jonas Drabow, Lars H Lohmann, Daniel Jochum, Sandro R Freitas, José Afonso, Andreas Konrad","doi":"10.1186/s13089-025-00424-6","DOIUrl":null,"url":null,"abstract":"<p><p>Structural muscle properties are critical in health and athletic settings, with magnetic resonance imaging considered the gold standard assessment procedure under static conditions due to its reliability and objectivity. Practical limitations, including cost and accessibility, have led to the increasing use of ultrasound as an alternative for skeletal muscle morphological parameters. However, ultrasound measurements are sensitive to evaluation conditions and assessor experience, which has not been sufficiently explored, yet. Therefore, this study investigated the influence of assessor experience on the reliability of ultrasound measurements. A double-blind design was used, involving an experienced assessor (> 12,000 images for several years) and multiple inexperienced assessors (< 100 images) to collect data from 39 recreationally active participants. Measurements of muscle architecture were conducted in the leg muscles over two consecutive days, generating 1,248 ultrasound images. Relative and absolute reliability were analyzed using intraclass correlation coefficients (ICCs), standard error of measurement, minimal detectable change, mean absolute error (MAE), mean absolute percentage error (MAPE) and Bland-Altman analyses. Relative reliability was good to excellent in all measurement spots and time-points for muscle thickness (ICC = 0.76-0.98) irrespective of assessor experience, except for the inter-day comparison for the gastrocnemius lateralis by the inexperienced assessors, (ICC = 0.58). The pennation angle assessment ranged from insufficient to excellent reliability (ICC = 0.18-0.94) and experience contributed greatly to better results. The random error for the inexperienced assessors was reflected in two- to three-times higher MAEs/MAPEs and limits of agreement in the Bland-Altman analyses, respectively. The findings emphasize the importance of experience and standardization in achieving reliable ultrasound data, particularly for (a) sensitive parameters like the pennation angle and/or (b) inter-day, intra-subject comparisons.</p>","PeriodicalId":36911,"journal":{"name":"Ultrasound Journal","volume":"17 1","pages":"20"},"PeriodicalIF":2.9000,"publicationDate":"2025-03-26","publicationTypes":"Journal Article","fieldsOfStudy":null,"isOpenAccess":false,"openAccessPdf":"https://www.ncbi.nlm.nih.gov/pmc/articles/PMC11947354/pdf/","citationCount":"0","resultStr":"{\"title\":\"Examiner experience moderates reliability of human lower extremity muscle ultrasound measurement - a double blinded measurement error study.\",\"authors\":\"Konstantin Warneke, Stanislav D Siegel, Jonas Drabow, Lars H Lohmann, Daniel Jochum, Sandro R Freitas, José Afonso, Andreas Konrad\",\"doi\":\"10.1186/s13089-025-00424-6\",\"DOIUrl\":null,\"url\":null,\"abstract\":\"<p><p>Structural muscle properties are critical in health and athletic settings, with magnetic resonance imaging considered the gold standard assessment procedure under static conditions due to its reliability and objectivity. Practical limitations, including cost and accessibility, have led to the increasing use of ultrasound as an alternative for skeletal muscle morphological parameters. However, ultrasound measurements are sensitive to evaluation conditions and assessor experience, which has not been sufficiently explored, yet. Therefore, this study investigated the influence of assessor experience on the reliability of ultrasound measurements. A double-blind design was used, involving an experienced assessor (> 12,000 images for several years) and multiple inexperienced assessors (< 100 images) to collect data from 39 recreationally active participants. Measurements of muscle architecture were conducted in the leg muscles over two consecutive days, generating 1,248 ultrasound images. Relative and absolute reliability were analyzed using intraclass correlation coefficients (ICCs), standard error of measurement, minimal detectable change, mean absolute error (MAE), mean absolute percentage error (MAPE) and Bland-Altman analyses. Relative reliability was good to excellent in all measurement spots and time-points for muscle thickness (ICC = 0.76-0.98) irrespective of assessor experience, except for the inter-day comparison for the gastrocnemius lateralis by the inexperienced assessors, (ICC = 0.58). The pennation angle assessment ranged from insufficient to excellent reliability (ICC = 0.18-0.94) and experience contributed greatly to better results. The random error for the inexperienced assessors was reflected in two- to three-times higher MAEs/MAPEs and limits of agreement in the Bland-Altman analyses, respectively. The findings emphasize the importance of experience and standardization in achieving reliable ultrasound data, particularly for (a) sensitive parameters like the pennation angle and/or (b) inter-day, intra-subject comparisons.</p>\",\"PeriodicalId\":36911,\"journal\":{\"name\":\"Ultrasound Journal\",\"volume\":\"17 1\",\"pages\":\"20\"},\"PeriodicalIF\":2.9000,\"publicationDate\":\"2025-03-26\",\"publicationTypes\":\"Journal Article\",\"fieldsOfStudy\":null,\"isOpenAccess\":false,\"openAccessPdf\":\"https://www.ncbi.nlm.nih.gov/pmc/articles/PMC11947354/pdf/\",\"citationCount\":\"0\",\"resultStr\":null,\"platform\":\"Semanticscholar\",\"paperid\":null,\"PeriodicalName\":\"Ultrasound Journal\",\"FirstCategoryId\":\"1085\",\"ListUrlMain\":\"https://doi.org/10.1186/s13089-025-00424-6\",\"RegionNum\":0,\"RegionCategory\":null,\"ArticlePicture\":[],\"TitleCN\":null,\"AbstractTextCN\":null,\"PMCID\":null,\"EPubDate\":\"\",\"PubModel\":\"\",\"JCR\":\"Q2\",\"JCRName\":\"Medicine\",\"Score\":null,\"Total\":0}","platform":"Semanticscholar","paperid":null,"PeriodicalName":"Ultrasound Journal","FirstCategoryId":"1085","ListUrlMain":"https://doi.org/10.1186/s13089-025-00424-6","RegionNum":0,"RegionCategory":null,"ArticlePicture":[],"TitleCN":null,"AbstractTextCN":null,"PMCID":null,"EPubDate":"","PubModel":"","JCR":"Q2","JCRName":"Medicine","Score":null,"Total":0}
引用次数: 0

摘要

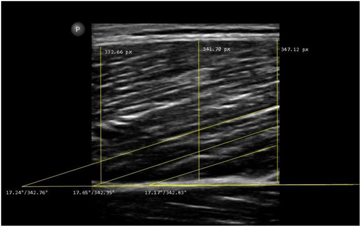
结构肌肉特性在健康和运动环境中至关重要,由于其可靠性和客观性,磁共振成像被认为是静态条件下的金标准评估程序。实际的限制,包括成本和可及性,已经导致越来越多地使用超声作为骨骼肌形态参数的替代。然而,超声测量对评估条件和评估人员的经验敏感,这一点尚未得到充分的探讨。因此,本研究探讨评估员经验对超声测量可靠性的影响。采用双盲设计,包括一名经验丰富的评估员(多年来收集了12,000张图像)和多名经验不足的评估员(
本文章由计算机程序翻译,如有差异,请以英文原文为准。

Examiner experience moderates reliability of human lower extremity muscle ultrasound measurement - a double blinded measurement error study.

Examiner experience moderates reliability of human lower extremity muscle ultrasound measurement - a double blinded measurement error study.

Examiner experience moderates reliability of human lower extremity muscle ultrasound measurement - a double blinded measurement error study.

Examiner experience moderates reliability of human lower extremity muscle ultrasound measurement - a double blinded measurement error study.

Structural muscle properties are critical in health and athletic settings, with magnetic resonance imaging considered the gold standard assessment procedure under static conditions due to its reliability and objectivity. Practical limitations, including cost and accessibility, have led to the increasing use of ultrasound as an alternative for skeletal muscle morphological parameters. However, ultrasound measurements are sensitive to evaluation conditions and assessor experience, which has not been sufficiently explored, yet. Therefore, this study investigated the influence of assessor experience on the reliability of ultrasound measurements. A double-blind design was used, involving an experienced assessor (> 12,000 images for several years) and multiple inexperienced assessors (< 100 images) to collect data from 39 recreationally active participants. Measurements of muscle architecture were conducted in the leg muscles over two consecutive days, generating 1,248 ultrasound images. Relative and absolute reliability were analyzed using intraclass correlation coefficients (ICCs), standard error of measurement, minimal detectable change, mean absolute error (MAE), mean absolute percentage error (MAPE) and Bland-Altman analyses. Relative reliability was good to excellent in all measurement spots and time-points for muscle thickness (ICC = 0.76-0.98) irrespective of assessor experience, except for the inter-day comparison for the gastrocnemius lateralis by the inexperienced assessors, (ICC = 0.58). The pennation angle assessment ranged from insufficient to excellent reliability (ICC = 0.18-0.94) and experience contributed greatly to better results. The random error for the inexperienced assessors was reflected in two- to three-times higher MAEs/MAPEs and limits of agreement in the Bland-Altman analyses, respectively. The findings emphasize the importance of experience and standardization in achieving reliable ultrasound data, particularly for (a) sensitive parameters like the pennation angle and/or (b) inter-day, intra-subject comparisons.

求助全文
通过发布文献求助,成功后即可免费获取论文全文。 去求助
来源期刊
Ultrasound Journal
Ultrasound Journal Health Professions-Radiological and Ultrasound Technology
CiteScore
6.80
自引率
2.90%
发文量
45
审稿时长
22 weeks
×
引用
GB/T 7714-2015
复制
MLA
复制
APA
复制
导出至
BibTeX EndNote RefMan NoteFirst NoteExpress
×
提示
您的信息不完整,为了账户安全,请先补充。
现在去补充
×
提示
您因"违规操作"
具体请查看互助需知
我知道了
×
提示
确定
请完成安全验证×
copy
已复制链接
快去分享给好友吧!
我知道了
右上角分享
点击右上角分享
0
联系我们:info@booksci.cn Book学术提供免费学术资源搜索服务,方便国内外学者检索中英文文献。致力于提供最便捷和优质的服务体验。 Copyright © 2023 布克学术 All rights reserved.
京ICP备2023020795号-1
ghs 京公网安备 11010802042870号
Book学术文献互助
Book学术文献互助群
群 号:604180095
Book学术官方微信