非表皮松解性鱼鳞病拉布拉多寻回犬基因内PNPLA1重复。

IF 1.4 3区 农林科学 Q3 DERMATOLOGY
Veterinary dermatology Pub Date : 2025-06-01 Epub Date: 2025-03-27 DOI:10.1111/vde.13341
Stefan J Rietmann, Jennifer L Clegg, Vidhya Jagannathan, Dominique J Wiener, Angelica Kallenberg, Robert A Grahn, Clarissa P Souza, Tosso Leeb
{"title":"非表皮松解性鱼鳞病拉布拉多寻回犬基因内PNPLA1重复。","authors":"Stefan J Rietmann, Jennifer L Clegg, Vidhya Jagannathan, Dominique J Wiener, Angelica Kallenberg, Robert A Grahn, Clarissa P Souza, Tosso Leeb","doi":"10.1111/vde.13341","DOIUrl":null,"url":null,"abstract":"<p><strong>Background: </strong>Ichthyoses represent a heterogeneous group of cornification disorders characterised by epidermal scaling.</p><p><strong>Objectives: </strong>To describe the clinical, histopathological and genetic analysis of a Labrador retriever with nonepidermolytic ichthyosis, and the results of a population screening for a newly detected PNPLA1 genomic duplication.</p><p><strong>Animals: </strong>Two 7-year-old male littermates, 531 population samples.</p><p><strong>Materials and methods: </strong>Clinical and histopathological analysis, whole genome sequencing and digital PCR-based genotyping were performed.</p><p><strong>Results: </strong>Generalised scaling and histological laminar orthokeratotic hyperkeratosis confirmed the ichthyosis diagnosis on Dog 1. Dog 2 showed mild clinical signs possibly associated with allergies and not ichthyosis. The genome of Dog 1 was sequenced and compared to 1469 genetically diverse control genomes. The analysis identified a 6099-bp duplication spanning three internal exons of the PNPLA1 gene, which is predicted to result in an altered C-terminal tail of the protein, NP_001277038.2:p.(E558Lfs*17). Dog 2 had a heterozygous genotype and carried one copy of the duplicated PNPLA1 allele. Of the screened 531 additional Labrador retrievers, 491 were homozygous wild-type, 36 were heterozygous carriers and four carried the duplication in a homozygous state.</p><p><strong>Conclusions and clinical relevance: </strong>Previously identified PNPLA1 variants cause autosomal recessive ichthyosis in golden retrievers and humans. Given the well-established function of PNPLA1, the identified genomic duplication represents a likely candidate causal variant for the observed ichthyosis in the examined Labrador retriever. This is the first report of a new form of autosomal recessive ichthyosis in Labrador retrievers, which provides the basis for genetic testing.</p>","PeriodicalId":23599,"journal":{"name":"Veterinary dermatology","volume":" ","pages":"314-320"},"PeriodicalIF":1.4000,"publicationDate":"2025-06-01","publicationTypes":"Journal Article","fieldsOfStudy":null,"isOpenAccess":false,"openAccessPdf":"https://www.ncbi.nlm.nih.gov/pmc/articles/PMC12058569/pdf/","citationCount":"0","resultStr":"{\"title\":\"Intragenic PNPLA1 duplication in Labrador retrievers with nonepidermolytic ichthyosis.\",\"authors\":\"Stefan J Rietmann, Jennifer L Clegg, Vidhya Jagannathan, Dominique J Wiener, Angelica Kallenberg, Robert A Grahn, Clarissa P Souza, Tosso Leeb\",\"doi\":\"10.1111/vde.13341\",\"DOIUrl\":null,\"url\":null,\"abstract\":\"<p><strong>Background: </strong>Ichthyoses represent a heterogeneous group of cornification disorders characterised by epidermal scaling.</p><p><strong>Objectives: </strong>To describe the clinical, histopathological and genetic analysis of a Labrador retriever with nonepidermolytic ichthyosis, and the results of a population screening for a newly detected PNPLA1 genomic duplication.</p><p><strong>Animals: </strong>Two 7-year-old male littermates, 531 population samples.</p><p><strong>Materials and methods: </strong>Clinical and histopathological analysis, whole genome sequencing and digital PCR-based genotyping were performed.</p><p><strong>Results: </strong>Generalised scaling and histological laminar orthokeratotic hyperkeratosis confirmed the ichthyosis diagnosis on Dog 1. Dog 2 showed mild clinical signs possibly associated with allergies and not ichthyosis. The genome of Dog 1 was sequenced and compared to 1469 genetically diverse control genomes. The analysis identified a 6099-bp duplication spanning three internal exons of the PNPLA1 gene, which is predicted to result in an altered C-terminal tail of the protein, NP_001277038.2:p.(E558Lfs*17). Dog 2 had a heterozygous genotype and carried one copy of the duplicated PNPLA1 allele. Of the screened 531 additional Labrador retrievers, 491 were homozygous wild-type, 36 were heterozygous carriers and four carried the duplication in a homozygous state.</p><p><strong>Conclusions and clinical relevance: </strong>Previously identified PNPLA1 variants cause autosomal recessive ichthyosis in golden retrievers and humans. Given the well-established function of PNPLA1, the identified genomic duplication represents a likely candidate causal variant for the observed ichthyosis in the examined Labrador retriever. This is the first report of a new form of autosomal recessive ichthyosis in Labrador retrievers, which provides the basis for genetic testing.</p>\",\"PeriodicalId\":23599,\"journal\":{\"name\":\"Veterinary dermatology\",\"volume\":\" \",\"pages\":\"314-320\"},\"PeriodicalIF\":1.4000,\"publicationDate\":\"2025-06-01\",\"publicationTypes\":\"Journal Article\",\"fieldsOfStudy\":null,\"isOpenAccess\":false,\"openAccessPdf\":\"https://www.ncbi.nlm.nih.gov/pmc/articles/PMC12058569/pdf/\",\"citationCount\":\"0\",\"resultStr\":null,\"platform\":\"Semanticscholar\",\"paperid\":null,\"PeriodicalName\":\"Veterinary dermatology\",\"FirstCategoryId\":\"97\",\"ListUrlMain\":\"https://doi.org/10.1111/vde.13341\",\"RegionNum\":3,\"RegionCategory\":\"农林科学\",\"ArticlePicture\":[],\"TitleCN\":null,\"AbstractTextCN\":null,\"PMCID\":null,\"EPubDate\":\"2025/3/27 0:00:00\",\"PubModel\":\"Epub\",\"JCR\":\"Q3\",\"JCRName\":\"DERMATOLOGY\",\"Score\":null,\"Total\":0}","platform":"Semanticscholar","paperid":null,"PeriodicalName":"Veterinary dermatology","FirstCategoryId":"97","ListUrlMain":"https://doi.org/10.1111/vde.13341","RegionNum":3,"RegionCategory":"农林科学","ArticlePicture":[],"TitleCN":null,"AbstractTextCN":null,"PMCID":null,"EPubDate":"2025/3/27 0:00:00","PubModel":"Epub","JCR":"Q3","JCRName":"DERMATOLOGY","Score":null,"Total":0}
引用次数: 0

摘要

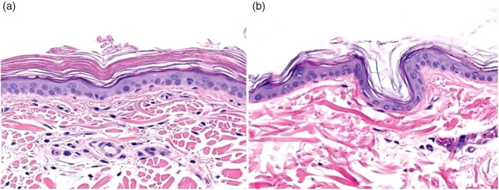
背景:鱼鳞病是一类以表皮脱屑为特征的异质性角化障碍性疾病:描述一只患有非表皮溶解性鱼鳞病的拉布拉多猎犬的临床、组织病理学和遗传学分析,以及新发现的 PNPLA1 基因组重复的群体筛查结果:两只 7 岁雄性同窝犬、531 个群体样本:进行了临床和组织病理学分析、全基因组测序和基于数字 PCR 的基因分型:结果:狗1的全身鳞屑和组织学层状角化过度确诊为鱼鳞病。狗 2 表现出轻微的临床症状,可能与过敏而非鱼鳞病有关。对狗 1 的基因组进行了测序,并与 1469 个不同基因的对照基因组进行了比较。分析结果发现,PNPLA1 基因的三个内部外显子上有一个 6099-bp 的重复序列,预计这将导致该蛋白的 C 端尾部发生变化,即 NP_001277038.2:p.(E558Lfs*17)。狗 2 的基因型为杂合型,携带一个重复的 PNPLA1 等位基因拷贝。在筛选出的另外 531 只拉布拉多猎犬中,491 只为同型野生型,36 只为杂合携带者,4 只为同型重复携带者:之前发现的 PNPLA1 变异可导致金毛寻回犬和人类的常染色体隐性鱼鳞病。鉴于 PNPLA1 的功能已得到证实,已发现的基因组重复很可能是在受检拉布拉多猎犬中观察到的鱼鳞病的候选致病变体。这是首次报道拉布拉多猎犬常染色体隐性鱼鳞病的新形式,为基因检测提供了依据。
本文章由计算机程序翻译,如有差异,请以英文原文为准。

Intragenic PNPLA1 duplication in Labrador retrievers with nonepidermolytic ichthyosis.

Intragenic PNPLA1 duplication in Labrador retrievers with nonepidermolytic ichthyosis.

Intragenic PNPLA1 duplication in Labrador retrievers with nonepidermolytic ichthyosis.

Intragenic PNPLA1 duplication in Labrador retrievers with nonepidermolytic ichthyosis.

Background: Ichthyoses represent a heterogeneous group of cornification disorders characterised by epidermal scaling.

Objectives: To describe the clinical, histopathological and genetic analysis of a Labrador retriever with nonepidermolytic ichthyosis, and the results of a population screening for a newly detected PNPLA1 genomic duplication.

Animals: Two 7-year-old male littermates, 531 population samples.

Materials and methods: Clinical and histopathological analysis, whole genome sequencing and digital PCR-based genotyping were performed.

Results: Generalised scaling and histological laminar orthokeratotic hyperkeratosis confirmed the ichthyosis diagnosis on Dog 1. Dog 2 showed mild clinical signs possibly associated with allergies and not ichthyosis. The genome of Dog 1 was sequenced and compared to 1469 genetically diverse control genomes. The analysis identified a 6099-bp duplication spanning three internal exons of the PNPLA1 gene, which is predicted to result in an altered C-terminal tail of the protein, NP_001277038.2:p.(E558Lfs*17). Dog 2 had a heterozygous genotype and carried one copy of the duplicated PNPLA1 allele. Of the screened 531 additional Labrador retrievers, 491 were homozygous wild-type, 36 were heterozygous carriers and four carried the duplication in a homozygous state.

Conclusions and clinical relevance: Previously identified PNPLA1 variants cause autosomal recessive ichthyosis in golden retrievers and humans. Given the well-established function of PNPLA1, the identified genomic duplication represents a likely candidate causal variant for the observed ichthyosis in the examined Labrador retriever. This is the first report of a new form of autosomal recessive ichthyosis in Labrador retrievers, which provides the basis for genetic testing.

求助全文
通过发布文献求助,成功后即可免费获取论文全文。 去求助
来源期刊
Veterinary dermatology
Veterinary dermatology 农林科学-兽医学
CiteScore
3.20
自引率
21.40%
发文量
92
审稿时长
12-24 weeks
期刊介绍: Veterinary Dermatology is a bi-monthly, peer-reviewed, international journal which publishes papers on all aspects of the skin of mammals, birds, reptiles, amphibians and fish. Scientific research papers, clinical case reports and reviews covering the following aspects of dermatology will be considered for publication: -Skin structure (anatomy, histology, ultrastructure) -Skin function (physiology, biochemistry, pharmacology, immunology, genetics) -Skin microbiology and parasitology -Dermatopathology -Pathogenesis, diagnosis and treatment of skin diseases -New disease entities
×
引用
GB/T 7714-2015
复制
MLA
复制
APA
复制
导出至
BibTeX EndNote RefMan NoteFirst NoteExpress
×
提示
您的信息不完整,为了账户安全,请先补充。
现在去补充
×
提示
您因"违规操作"
具体请查看互助需知
我知道了
×
提示
确定
请完成安全验证×
copy
已复制链接
快去分享给好友吧!
我知道了
右上角分享
点击右上角分享
0
联系我们:info@booksci.cn Book学术提供免费学术资源搜索服务,方便国内外学者检索中英文文献。致力于提供最便捷和优质的服务体验。 Copyright © 2023 布克学术 All rights reserved.
京ICP备2023020795号-1
ghs 京公网安备 11010802042870号
Book学术文献互助
Book学术文献互助群
群 号:604180095
Book学术官方微信