卡波西肉瘤的眼部表现:来自hiv阳性患者和免疫能力hiv阴性患者的见解。

IF 1.1 Q2 MEDICINE, GENERAL & INTERNAL
Ebubekir Durmus, Esma Ecem Ersoy, Ulviyya Askerova, Fatma Yilmazer
{"title":"卡波西肉瘤的眼部表现:来自hiv阳性患者和免疫能力hiv阴性患者的见解。","authors":"Ebubekir Durmus, Esma Ecem Ersoy, Ulviyya Askerova, Fatma Yilmazer","doi":"10.4274/MMJ.galenos.2025.37209","DOIUrl":null,"url":null,"abstract":"<p><p>Kaposi sarcoma (KS) is a vascular neoplasm caused by human herpes virus-8 and is commonly associated with immunocompromised states such as acquired immunodeficiency syndrome. While ocular involvement is rare and typically occurs in human immunodeficiency virus (HIV)-positive patients, it can exceptionally present in HIV-negative, immunocompetent individuals. This report presents two cases of conjunctival KS: One in an HIV-positive patient and another in an HIV-negative patient. The patients were diagnosed and followed up at Istanbul Medeniyet University Göztepe Prof. Dr. Süleyman Yalçın City Hospital. Written informed consent was obtained from the patients for the preparation of this case report. A 35-year-old HIV-positive male with a history of cutaneous and genital KS presented with a painless, reddish, hemorrhagic mass on the left inferior fornix and a firm mass on the lower eyelid. Surgical excision with adjuvant cryotherapy and amniotic membrane transplantation was performed. One year postoperatively, no recurrence or new lesions were observed. A 76-year-old immunocompetent female presented with a painless, progressively enlarging mass in the left inferior fornix. She underwent surgical excision, adjuvant cryotherapy, and amniotic membrane transplantation. Histopathology confirmed the diagnosis of KS, and at the 1-year follow-up, no recurrence or new lesions were observed. Ocular KS, though rare, can occur in both immunocompromised and immunocompetent individuals. This report highlights the importance of considering KS in the differential diagnosis of subconjunctival hemorrhage, even in patients without underlying immunosuppressive conditions. Both cases were successfully managed with surgical excision, adjuvant cryotherapy, and amniotic membrane transplantation, with no recurrence during follow-up.</p>","PeriodicalId":37427,"journal":{"name":"Medeniyet medical journal","volume":"40 1","pages":"26-30"},"PeriodicalIF":1.1000,"publicationDate":"2025-03-28","publicationTypes":"Journal Article","fieldsOfStudy":null,"isOpenAccess":false,"openAccessPdf":"https://www.ncbi.nlm.nih.gov/pmc/articles/PMC11974469/pdf/","citationCount":"0","resultStr":"{\"title\":\"Ocular Manifestations of Kaposi Sarcoma: Insights from an HIV-Positive Patient and an Immunocompetent HIV-Negative Patient.\",\"authors\":\"Ebubekir Durmus, Esma Ecem Ersoy, Ulviyya Askerova, Fatma Yilmazer\",\"doi\":\"10.4274/MMJ.galenos.2025.37209\",\"DOIUrl\":null,\"url\":null,\"abstract\":\"<p><p>Kaposi sarcoma (KS) is a vascular neoplasm caused by human herpes virus-8 and is commonly associated with immunocompromised states such as acquired immunodeficiency syndrome. While ocular involvement is rare and typically occurs in human immunodeficiency virus (HIV)-positive patients, it can exceptionally present in HIV-negative, immunocompetent individuals. This report presents two cases of conjunctival KS: One in an HIV-positive patient and another in an HIV-negative patient. The patients were diagnosed and followed up at Istanbul Medeniyet University Göztepe Prof. Dr. Süleyman Yalçın City Hospital. Written informed consent was obtained from the patients for the preparation of this case report. A 35-year-old HIV-positive male with a history of cutaneous and genital KS presented with a painless, reddish, hemorrhagic mass on the left inferior fornix and a firm mass on the lower eyelid. Surgical excision with adjuvant cryotherapy and amniotic membrane transplantation was performed. One year postoperatively, no recurrence or new lesions were observed. A 76-year-old immunocompetent female presented with a painless, progressively enlarging mass in the left inferior fornix. She underwent surgical excision, adjuvant cryotherapy, and amniotic membrane transplantation. Histopathology confirmed the diagnosis of KS, and at the 1-year follow-up, no recurrence or new lesions were observed. Ocular KS, though rare, can occur in both immunocompromised and immunocompetent individuals. This report highlights the importance of considering KS in the differential diagnosis of subconjunctival hemorrhage, even in patients without underlying immunosuppressive conditions. Both cases were successfully managed with surgical excision, adjuvant cryotherapy, and amniotic membrane transplantation, with no recurrence during follow-up.</p>\",\"PeriodicalId\":37427,\"journal\":{\"name\":\"Medeniyet medical journal\",\"volume\":\"40 1\",\"pages\":\"26-30\"},\"PeriodicalIF\":1.1000,\"publicationDate\":\"2025-03-28\",\"publicationTypes\":\"Journal Article\",\"fieldsOfStudy\":null,\"isOpenAccess\":false,\"openAccessPdf\":\"https://www.ncbi.nlm.nih.gov/pmc/articles/PMC11974469/pdf/\",\"citationCount\":\"0\",\"resultStr\":null,\"platform\":\"Semanticscholar\",\"paperid\":null,\"PeriodicalName\":\"Medeniyet medical journal\",\"FirstCategoryId\":\"1085\",\"ListUrlMain\":\"https://doi.org/10.4274/MMJ.galenos.2025.37209\",\"RegionNum\":0,\"RegionCategory\":null,\"ArticlePicture\":[],\"TitleCN\":null,\"AbstractTextCN\":null,\"PMCID\":null,\"EPubDate\":\"\",\"PubModel\":\"\",\"JCR\":\"Q2\",\"JCRName\":\"MEDICINE, GENERAL & INTERNAL\",\"Score\":null,\"Total\":0}","platform":"Semanticscholar","paperid":null,"PeriodicalName":"Medeniyet medical journal","FirstCategoryId":"1085","ListUrlMain":"https://doi.org/10.4274/MMJ.galenos.2025.37209","RegionNum":0,"RegionCategory":null,"ArticlePicture":[],"TitleCN":null,"AbstractTextCN":null,"PMCID":null,"EPubDate":"","PubModel":"","JCR":"Q2","JCRName":"MEDICINE, GENERAL & INTERNAL","Score":null,"Total":0}
引用次数: 0

摘要

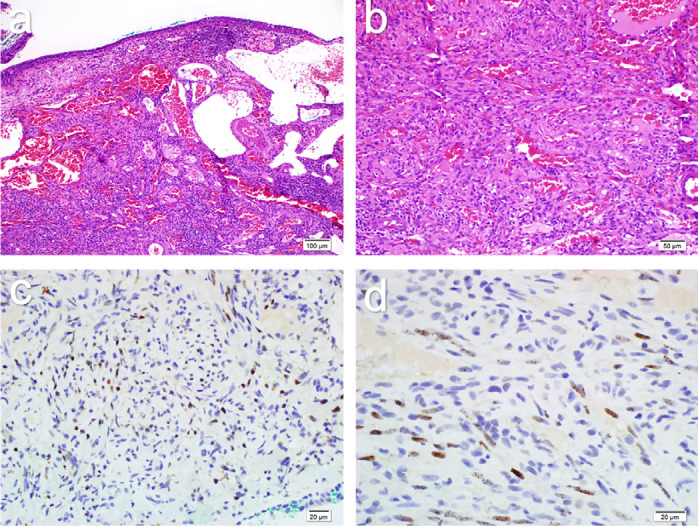
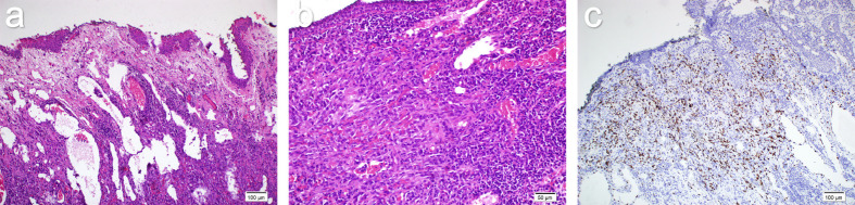
卡波西肉瘤(KS)是一种由人类疱疹病毒-8 引起的血管肿瘤,通常与获得性免疫缺陷综合征等免疫功能低下状态有关。虽然眼部受累非常罕见,而且通常发生在人类免疫缺陷病毒(HIV)阳性患者中,但在 HIV 阴性、免疫功能正常的个体中也会出现异常。本报告介绍了两例结膜 KS:一例发生在 HIV 阳性患者身上,另一例发生在 HIV 阴性患者身上。患者均在伊斯坦布尔 Medeniyet 大学 Göztepe 教授 Süleyman Yalçın 博士市立医院接受诊断和随访。本病例报告的撰写已获得患者的书面知情同意。一名 35 岁的 HIV 阳性男性患者曾患皮肤和生殖器 KS,左侧下穹窿处有一个无痛、淡红色、出血性肿块,下眼睑处有一个坚实的肿块。患者接受了手术切除,并辅以冷冻治疗和羊膜移植。术后一年,未发现复发或新的病变。一名 76 岁免疫功能正常的女性患者,左下穹窿处有一个无痛、逐渐增大的肿块。她接受了手术切除、辅助冷冻治疗和羊膜移植。组织病理学确诊为 KS,随访 1 年,未发现复发或新的病变。眼部 KS 虽然罕见,但可发生在免疫力低下和免疫力正常的人身上。本报告强调了在结膜下出血的鉴别诊断中考虑 KS 的重要性,即使患者没有潜在的免疫抑制症状。两例患者均通过手术切除、辅助冷冻治疗和羊膜移植成功治愈,随访期间没有复发。
本文章由计算机程序翻译,如有差异,请以英文原文为准。

Ocular Manifestations of Kaposi Sarcoma: Insights from an HIV-Positive Patient and an Immunocompetent HIV-Negative Patient.

Ocular Manifestations of Kaposi Sarcoma: Insights from an HIV-Positive Patient and an Immunocompetent HIV-Negative Patient.

Ocular Manifestations of Kaposi Sarcoma: Insights from an HIV-Positive Patient and an Immunocompetent HIV-Negative Patient.

Ocular Manifestations of Kaposi Sarcoma: Insights from an HIV-Positive Patient and an Immunocompetent HIV-Negative Patient.

Kaposi sarcoma (KS) is a vascular neoplasm caused by human herpes virus-8 and is commonly associated with immunocompromised states such as acquired immunodeficiency syndrome. While ocular involvement is rare and typically occurs in human immunodeficiency virus (HIV)-positive patients, it can exceptionally present in HIV-negative, immunocompetent individuals. This report presents two cases of conjunctival KS: One in an HIV-positive patient and another in an HIV-negative patient. The patients were diagnosed and followed up at Istanbul Medeniyet University Göztepe Prof. Dr. Süleyman Yalçın City Hospital. Written informed consent was obtained from the patients for the preparation of this case report. A 35-year-old HIV-positive male with a history of cutaneous and genital KS presented with a painless, reddish, hemorrhagic mass on the left inferior fornix and a firm mass on the lower eyelid. Surgical excision with adjuvant cryotherapy and amniotic membrane transplantation was performed. One year postoperatively, no recurrence or new lesions were observed. A 76-year-old immunocompetent female presented with a painless, progressively enlarging mass in the left inferior fornix. She underwent surgical excision, adjuvant cryotherapy, and amniotic membrane transplantation. Histopathology confirmed the diagnosis of KS, and at the 1-year follow-up, no recurrence or new lesions were observed. Ocular KS, though rare, can occur in both immunocompromised and immunocompetent individuals. This report highlights the importance of considering KS in the differential diagnosis of subconjunctival hemorrhage, even in patients without underlying immunosuppressive conditions. Both cases were successfully managed with surgical excision, adjuvant cryotherapy, and amniotic membrane transplantation, with no recurrence during follow-up.

求助全文
通过发布文献求助,成功后即可免费获取论文全文。 去求助
来源期刊
Medeniyet medical journal
Medeniyet medical journal Medicine-Medicine (all)
CiteScore
1.70
自引率
0.00%
发文量
88
审稿时长
5 weeks
期刊介绍: The Medeniyet Medical Journal (Medeniyet Med J) is an open access, peer-reviewed, and scientific journal of Istanbul Medeniyet University Faculty of Medicine on various academic disciplines in medicine, which is published in English four times a year, in March, June, September, and December by a group of academics. Medeniyet Medical Journal is the continuation of Göztepe Medical Journal (ISSN: 1300-526X) which was started publishing in 1985. It changed the name as Medeniyet Medical Journal in 2015. Submission and publication are free of charge. No fees are asked from the authors for evaluation or publication process. All published articles are available online in the journal website (www.medeniyetmedicaljournal.org) without any fee. The journal publishes intradisciplinary or interdisciplinary clinical, experimental, and basic researches as well as original case reports, reviews, invited reviews, or letters to the editor, Being published since 1985, the Medeniyet Med J recognizes that the best science should lead to better lives based on the fact that the medicine should serve to the needs of society, and knowledge should transform society. The journal aims to address current issues at both national and international levels, start debates, and exert an influence on decision-makers all over the world by integrating science in everyday life. Medeniyet Med J is committed to serve the public and influence people’s lives in a positive way by making science widely accessible. Believing that the only goal is improving lives, and research has an impact on people’s lives, we select the best research papers in line with this goal.
×
引用
GB/T 7714-2015
复制
MLA
复制
APA
复制
导出至
BibTeX EndNote RefMan NoteFirst NoteExpress
×
提示
您的信息不完整,为了账户安全,请先补充。
现在去补充
×
提示
您因"违规操作"
具体请查看互助需知
我知道了
×
提示
确定
请完成安全验证×
copy
已复制链接
快去分享给好友吧!
我知道了
右上角分享
点击右上角分享
0
联系我们:info@booksci.cn Book学术提供免费学术资源搜索服务,方便国内外学者检索中英文文献。致力于提供最便捷和优质的服务体验。 Copyright © 2023 布克学术 All rights reserved.
京ICP备2023020795号-1
ghs 京公网安备 11010802042870号
Book学术文献互助
Book学术文献互助群
群 号:604180095
Book学术官方微信