犬淋巴浆细胞性膀胱炎的自发性膀胱破裂。

IF 1.9 2区 农林科学 Q2 VETERINARY SCIENCES
Journal of Small Animal Practice Pub Date : 2025-08-01 Epub Date: 2025-03-26 DOI:10.1111/jsap.13858
C Donà, M Manfredi, L Auletta, M Zambelli, E Brambilla, J Bassi, M Longo
{"title":"犬淋巴浆细胞性膀胱炎的自发性膀胱破裂。","authors":"C Donà, M Manfredi, L Auletta, M Zambelli, E Brambilla, J Bassi, M Longo","doi":"10.1111/jsap.13858","DOIUrl":null,"url":null,"abstract":"<p><p>A 10-year-old male mixed-breed dog presented with vomiting and anuria. The dog was living indoors, and no trauma was reported by the owner. Ultrasonography and a retrograde urethrogram revealed the presence of a urinary bladder leakage. A celiotomy was performed to repair a urinary bladder tear, along with a biopsy of the urinary bladder wall. Histopathological features consisted of lymphoplasmacytic cystitis with haemorrhages and multifocal fibrotic areas within the muscular layers. Spontaneous rupture of the urinary bladder without evidence of trauma is a well-known, though rare, condition in human medicine. The chronic inflammation detected in the present case, along with fibrosis, caused the weakening of the urinary bladder wall, leading to perforation. This is the first documented veterinary case of spontaneous rupture of the urinary bladder secondary to chronic inflammation and highlights the importance of including this condition in the differential diagnosis of patients presenting with uroperitoneum without underlying trauma.</p>","PeriodicalId":17062,"journal":{"name":"Journal of Small Animal Practice","volume":" ","pages":"587-591"},"PeriodicalIF":1.9000,"publicationDate":"2025-08-01","publicationTypes":"Journal Article","fieldsOfStudy":null,"isOpenAccess":false,"openAccessPdf":"https://www.ncbi.nlm.nih.gov/pmc/articles/PMC12331553/pdf/","citationCount":"0","resultStr":"{\"title\":\"Spontaneous urinary bladder rupture in a dog with lymphoplasmacytic cystitis.\",\"authors\":\"C Donà, M Manfredi, L Auletta, M Zambelli, E Brambilla, J Bassi, M Longo\",\"doi\":\"10.1111/jsap.13858\",\"DOIUrl\":null,\"url\":null,\"abstract\":\"<p><p>A 10-year-old male mixed-breed dog presented with vomiting and anuria. The dog was living indoors, and no trauma was reported by the owner. Ultrasonography and a retrograde urethrogram revealed the presence of a urinary bladder leakage. A celiotomy was performed to repair a urinary bladder tear, along with a biopsy of the urinary bladder wall. Histopathological features consisted of lymphoplasmacytic cystitis with haemorrhages and multifocal fibrotic areas within the muscular layers. Spontaneous rupture of the urinary bladder without evidence of trauma is a well-known, though rare, condition in human medicine. The chronic inflammation detected in the present case, along with fibrosis, caused the weakening of the urinary bladder wall, leading to perforation. This is the first documented veterinary case of spontaneous rupture of the urinary bladder secondary to chronic inflammation and highlights the importance of including this condition in the differential diagnosis of patients presenting with uroperitoneum without underlying trauma.</p>\",\"PeriodicalId\":17062,\"journal\":{\"name\":\"Journal of Small Animal Practice\",\"volume\":\" \",\"pages\":\"587-591\"},\"PeriodicalIF\":1.9000,\"publicationDate\":\"2025-08-01\",\"publicationTypes\":\"Journal Article\",\"fieldsOfStudy\":null,\"isOpenAccess\":false,\"openAccessPdf\":\"https://www.ncbi.nlm.nih.gov/pmc/articles/PMC12331553/pdf/\",\"citationCount\":\"0\",\"resultStr\":null,\"platform\":\"Semanticscholar\",\"paperid\":null,\"PeriodicalName\":\"Journal of Small Animal Practice\",\"FirstCategoryId\":\"97\",\"ListUrlMain\":\"https://doi.org/10.1111/jsap.13858\",\"RegionNum\":2,\"RegionCategory\":\"农林科学\",\"ArticlePicture\":[],\"TitleCN\":null,\"AbstractTextCN\":null,\"PMCID\":null,\"EPubDate\":\"2025/3/26 0:00:00\",\"PubModel\":\"Epub\",\"JCR\":\"Q2\",\"JCRName\":\"VETERINARY SCIENCES\",\"Score\":null,\"Total\":0}","platform":"Semanticscholar","paperid":null,"PeriodicalName":"Journal of Small Animal Practice","FirstCategoryId":"97","ListUrlMain":"https://doi.org/10.1111/jsap.13858","RegionNum":2,"RegionCategory":"农林科学","ArticlePicture":[],"TitleCN":null,"AbstractTextCN":null,"PMCID":null,"EPubDate":"2025/3/26 0:00:00","PubModel":"Epub","JCR":"Q2","JCRName":"VETERINARY SCIENCES","Score":null,"Total":0}
引用次数: 0

摘要

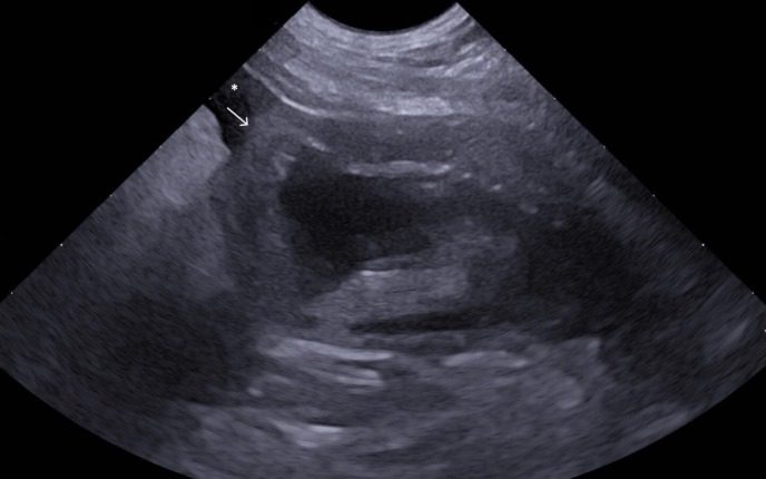
一只10岁雄性杂交犬出现呕吐和无尿。这只狗住在室内,主人没有报告任何创伤。超声检查和逆行尿道造影显示存在膀胱渗漏。行剖腹手术修复膀胱撕裂,同时行膀胱壁活检。组织病理特征为淋巴浆细胞性膀胱炎伴出血和肌层内多灶性纤维化区。自发性膀胱破裂无外伤证据是一个众所周知的,虽然罕见,条件在人类医学。在本病例中发现的慢性炎症,以及纤维化,导致膀胱壁变弱,导致穿孔。这是第一例有文献记载的继发于慢性炎症的自发性膀胱破裂的兽医病例,强调了将这种情况包括在无潜在创伤的尿腹膜患者的鉴别诊断中的重要性。
本文章由计算机程序翻译,如有差异,请以英文原文为准。

Spontaneous urinary bladder rupture in a dog with lymphoplasmacytic cystitis.

Spontaneous urinary bladder rupture in a dog with lymphoplasmacytic cystitis.

Spontaneous urinary bladder rupture in a dog with lymphoplasmacytic cystitis.

Spontaneous urinary bladder rupture in a dog with lymphoplasmacytic cystitis.

A 10-year-old male mixed-breed dog presented with vomiting and anuria. The dog was living indoors, and no trauma was reported by the owner. Ultrasonography and a retrograde urethrogram revealed the presence of a urinary bladder leakage. A celiotomy was performed to repair a urinary bladder tear, along with a biopsy of the urinary bladder wall. Histopathological features consisted of lymphoplasmacytic cystitis with haemorrhages and multifocal fibrotic areas within the muscular layers. Spontaneous rupture of the urinary bladder without evidence of trauma is a well-known, though rare, condition in human medicine. The chronic inflammation detected in the present case, along with fibrosis, caused the weakening of the urinary bladder wall, leading to perforation. This is the first documented veterinary case of spontaneous rupture of the urinary bladder secondary to chronic inflammation and highlights the importance of including this condition in the differential diagnosis of patients presenting with uroperitoneum without underlying trauma.

求助全文
通过发布文献求助,成功后即可免费获取论文全文。 去求助
来源期刊
Journal of Small Animal Practice
Journal of Small Animal Practice 农林科学-兽医学
CiteScore
3.30
自引率
6.20%
发文量
117
审稿时长
12-24 weeks
期刊介绍: Journal of Small Animal Practice (JSAP) is a monthly peer-reviewed publication integrating clinical research papers and case reports from international sources, covering all aspects of medicine and surgery relating to dogs, cats and other small animals. These papers facilitate the dissemination and implementation of new ideas and techniques relating to clinical veterinary practice, with the ultimate aim of promoting best practice. JSAP publishes high quality original articles, as well as other scientific and educational information. New developments are placed in perspective, encompassing new concepts and peer commentary. The target audience is veterinarians primarily engaged in the practise of small animal medicine and surgery. In addition to original articles, JSAP will publish invited editorials (relating to a manuscript in the same issue or a topic of current interest), review articles, which provide in-depth discussion of important clinical issues, and other scientific and educational information from around the world. The final decision on publication of a manuscript rests with the Editorial Board and ultimately with the Editor. All papers, regardless of type, represent the opinion of the authors and not necessarily that of the Editor, the Association or the Publisher. The Journal of Small Animal Practice is published on behalf of the British Small Animal Veterinary Association and is also the official scientific journal of the World Small Animal Veterinary Association
×
引用
GB/T 7714-2015
复制
MLA
复制
APA
复制
导出至
BibTeX EndNote RefMan NoteFirst NoteExpress
×
提示
您的信息不完整,为了账户安全,请先补充。
现在去补充
×
提示
您因"违规操作"
具体请查看互助需知
我知道了
×
提示
确定
请完成安全验证×
copy
已复制链接
快去分享给好友吧!
我知道了
右上角分享
点击右上角分享
0
联系我们:info@booksci.cn Book学术提供免费学术资源搜索服务,方便国内外学者检索中英文文献。致力于提供最便捷和优质的服务体验。 Copyright © 2023 布克学术 All rights reserved.
京ICP备2023020795号-1
ghs 京公网安备 11010802042870号
Book学术文献互助
Book学术文献互助群
群 号:604180095
Book学术官方微信