eus引导下不同浓度聚桂醇消融治疗胰腺囊性肿瘤:一项随机对照研究。

IF 5.4 1区 医学 Q1 GASTROENTEROLOGY & HEPATOLOGY
Endoscopic Ultrasound Pub Date : 2025-01-01 Epub Date: 2025-03-03 DOI:10.1097/eus.0000000000000105
Fei Gao, Huikai Li, Xiuxue Feng, Qianqian Chen, Chen Du, Bingqian Cheng, Ke Han, Ningli Chai, Enqiang Linghu
{"title":"eus引导下不同浓度聚桂醇消融治疗胰腺囊性肿瘤:一项随机对照研究。","authors":"Fei Gao, Huikai Li, Xiuxue Feng, Qianqian Chen, Chen Du, Bingqian Cheng, Ke Han, Ningli Chai, Enqiang Linghu","doi":"10.1097/eus.0000000000000105","DOIUrl":null,"url":null,"abstract":"<p><strong>Objectives: </strong>To explore the safety and efficacy of injections of 1%, 2%, or 3% lauromacrogol during EUS-guided lauromacrogol ablation (EUS-LA) for the treatment of pancreatic cystic neoplasms (PCNs) and to determine the optimal concentration of lauromacrogol for use in EUS-LA therapeutic regimens.</p><p><strong>Methods: </strong>From May 2021 to January 2023, patients who met the indications for EUS-LA were randomly divided into 3 groups: A, B, and C; the patients in these groups were injected with 1%, 2%, and 3% lauromacrogol during EUS-LA, respectively. Safety was evaluated based on the incidence of postoperative complications. Efficacy was comprehensively evaluated by assessing the ablation rate and ablation effect.</p><p><strong>Results: </strong>Forty-two patients underwent EUS-LA, and 31 patients completed at least 1 postoperative re-examination. No acute pancreatitis was observed in the 1% and 2% lauromacrogol groups, and 1 case of acute pancreatitis occurred in the 3% lauromacrogol group. The total complication rate was 2.4%. The median ablation rates of the groups were 94.1%, 82.0%, and 100.0%, respectively. There were statistically significant differences in the EUS-LA ablation rate between the 1% and 3% lauromacrogol groups and between the 2% and 3% lauromacrogol groups. There was a statistically significant difference in complete disappearance between the 1% and 3% lauromacrogol groups as well as between the 2% and 3% lauromacrogol groups.</p><p><strong>Conclusion: </strong>The short-term outcomes showed that injections of 1%, 2%, and 3% lauromacrogol were safe for use in EUS-LA, and injection of 3% lauromacrogol was the most effective for EUS-LA.</p>","PeriodicalId":11577,"journal":{"name":"Endoscopic Ultrasound","volume":"14 1","pages":"4-12"},"PeriodicalIF":5.4000,"publicationDate":"2025-01-01","publicationTypes":"Journal Article","fieldsOfStudy":null,"isOpenAccess":false,"openAccessPdf":"https://www.ncbi.nlm.nih.gov/pmc/articles/PMC11939937/pdf/","citationCount":"0","resultStr":"{\"title\":\"EUS-guided lauromacrogol ablation with different concentrations of lauromacrogol for the treatment of pancreatic cystic neoplasm: A randomized controlled study.\",\"authors\":\"Fei Gao, Huikai Li, Xiuxue Feng, Qianqian Chen, Chen Du, Bingqian Cheng, Ke Han, Ningli Chai, Enqiang Linghu\",\"doi\":\"10.1097/eus.0000000000000105\",\"DOIUrl\":null,\"url\":null,\"abstract\":\"<p><strong>Objectives: </strong>To explore the safety and efficacy of injections of 1%, 2%, or 3% lauromacrogol during EUS-guided lauromacrogol ablation (EUS-LA) for the treatment of pancreatic cystic neoplasms (PCNs) and to determine the optimal concentration of lauromacrogol for use in EUS-LA therapeutic regimens.</p><p><strong>Methods: </strong>From May 2021 to January 2023, patients who met the indications for EUS-LA were randomly divided into 3 groups: A, B, and C; the patients in these groups were injected with 1%, 2%, and 3% lauromacrogol during EUS-LA, respectively. Safety was evaluated based on the incidence of postoperative complications. Efficacy was comprehensively evaluated by assessing the ablation rate and ablation effect.</p><p><strong>Results: </strong>Forty-two patients underwent EUS-LA, and 31 patients completed at least 1 postoperative re-examination. No acute pancreatitis was observed in the 1% and 2% lauromacrogol groups, and 1 case of acute pancreatitis occurred in the 3% lauromacrogol group. The total complication rate was 2.4%. The median ablation rates of the groups were 94.1%, 82.0%, and 100.0%, respectively. There were statistically significant differences in the EUS-LA ablation rate between the 1% and 3% lauromacrogol groups and between the 2% and 3% lauromacrogol groups. There was a statistically significant difference in complete disappearance between the 1% and 3% lauromacrogol groups as well as between the 2% and 3% lauromacrogol groups.</p><p><strong>Conclusion: </strong>The short-term outcomes showed that injections of 1%, 2%, and 3% lauromacrogol were safe for use in EUS-LA, and injection of 3% lauromacrogol was the most effective for EUS-LA.</p>\",\"PeriodicalId\":11577,\"journal\":{\"name\":\"Endoscopic Ultrasound\",\"volume\":\"14 1\",\"pages\":\"4-12\"},\"PeriodicalIF\":5.4000,\"publicationDate\":\"2025-01-01\",\"publicationTypes\":\"Journal Article\",\"fieldsOfStudy\":null,\"isOpenAccess\":false,\"openAccessPdf\":\"https://www.ncbi.nlm.nih.gov/pmc/articles/PMC11939937/pdf/\",\"citationCount\":\"0\",\"resultStr\":null,\"platform\":\"Semanticscholar\",\"paperid\":null,\"PeriodicalName\":\"Endoscopic Ultrasound\",\"FirstCategoryId\":\"3\",\"ListUrlMain\":\"https://doi.org/10.1097/eus.0000000000000105\",\"RegionNum\":1,\"RegionCategory\":\"医学\",\"ArticlePicture\":[],\"TitleCN\":null,\"AbstractTextCN\":null,\"PMCID\":null,\"EPubDate\":\"2025/3/3 0:00:00\",\"PubModel\":\"Epub\",\"JCR\":\"Q1\",\"JCRName\":\"GASTROENTEROLOGY & HEPATOLOGY\",\"Score\":null,\"Total\":0}","platform":"Semanticscholar","paperid":null,"PeriodicalName":"Endoscopic Ultrasound","FirstCategoryId":"3","ListUrlMain":"https://doi.org/10.1097/eus.0000000000000105","RegionNum":1,"RegionCategory":"医学","ArticlePicture":[],"TitleCN":null,"AbstractTextCN":null,"PMCID":null,"EPubDate":"2025/3/3 0:00:00","PubModel":"Epub","JCR":"Q1","JCRName":"GASTROENTEROLOGY & HEPATOLOGY","Score":null,"Total":0}
引用次数: 0

摘要

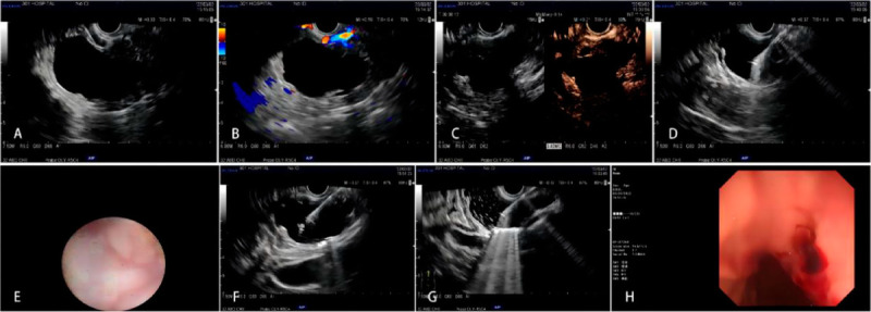
目的探讨在EUS引导的月桂酰吗啉消融术(EUS-LA)中注射1%、2%或3%月桂酰吗啉治疗胰腺囊性肿瘤(PCNs)的安全性和有效性,并确定EUS-LA治疗方案中月桂酰吗啉的最佳浓度:方法:2021 年 5 月至 2023 年 1 月,将符合 EUS-LA 适应症的患者随机分为 3 组:A、B、C三组患者在进行EUS-LA时分别注射1%、2%和3%的月桂酰吗啉。安全性根据术后并发症的发生率进行评估。通过评估消融率和消融效果来综合评价疗效:42名患者接受了 EUS-LA,31名患者完成了至少一次术后复查。1%和2%月桂酰甘油组未观察到急性胰腺炎,3%月桂酰甘油组发生了1例急性胰腺炎。总并发症发生率为 2.4%。各组的中位消融率分别为 94.1%、82.0% 和 100.0%。在 EUS-LA 消融率方面,1% 和 3% lauromacrogol 组之间以及 2% 和 3% lauromacrogol 组之间的差异有统计学意义。1%和3%月桂酰大麻酚组之间以及2%和3%月桂酰大麻酚组之间的完全消失率差异有统计学意义:短期结果显示,在 EUS-LA 中注射 1%、2% 和 3% 月桂酰吗啉是安全的,而注射 3% 月桂酰吗啉对 EUS-LA 最有效。
本文章由计算机程序翻译,如有差异,请以英文原文为准。

EUS-guided lauromacrogol ablation with different concentrations of lauromacrogol for the treatment of pancreatic cystic neoplasm: A randomized controlled study.

EUS-guided lauromacrogol ablation with different concentrations of lauromacrogol for the treatment of pancreatic cystic neoplasm: A randomized controlled study.

EUS-guided lauromacrogol ablation with different concentrations of lauromacrogol for the treatment of pancreatic cystic neoplasm: A randomized controlled study.

EUS-guided lauromacrogol ablation with different concentrations of lauromacrogol for the treatment of pancreatic cystic neoplasm: A randomized controlled study.

Objectives: To explore the safety and efficacy of injections of 1%, 2%, or 3% lauromacrogol during EUS-guided lauromacrogol ablation (EUS-LA) for the treatment of pancreatic cystic neoplasms (PCNs) and to determine the optimal concentration of lauromacrogol for use in EUS-LA therapeutic regimens.

Methods: From May 2021 to January 2023, patients who met the indications for EUS-LA were randomly divided into 3 groups: A, B, and C; the patients in these groups were injected with 1%, 2%, and 3% lauromacrogol during EUS-LA, respectively. Safety was evaluated based on the incidence of postoperative complications. Efficacy was comprehensively evaluated by assessing the ablation rate and ablation effect.

Results: Forty-two patients underwent EUS-LA, and 31 patients completed at least 1 postoperative re-examination. No acute pancreatitis was observed in the 1% and 2% lauromacrogol groups, and 1 case of acute pancreatitis occurred in the 3% lauromacrogol group. The total complication rate was 2.4%. The median ablation rates of the groups were 94.1%, 82.0%, and 100.0%, respectively. There were statistically significant differences in the EUS-LA ablation rate between the 1% and 3% lauromacrogol groups and between the 2% and 3% lauromacrogol groups. There was a statistically significant difference in complete disappearance between the 1% and 3% lauromacrogol groups as well as between the 2% and 3% lauromacrogol groups.

Conclusion: The short-term outcomes showed that injections of 1%, 2%, and 3% lauromacrogol were safe for use in EUS-LA, and injection of 3% lauromacrogol was the most effective for EUS-LA.

求助全文
通过发布文献求助,成功后即可免费获取论文全文。 去求助
来源期刊
Endoscopic Ultrasound
Endoscopic Ultrasound GASTROENTEROLOGY & HEPATOLOGY-
CiteScore
6.20
自引率
11.10%
发文量
144
期刊介绍: Endoscopic Ultrasound, a publication of Euro-EUS Scientific Committee, Asia-Pacific EUS Task Force and Latin American Chapter of EUS, is a peer-reviewed online journal with Quarterly print on demand compilation of issues published. The journal’s full text is available online at http://www.eusjournal.com. The journal allows free access (Open Access) to its contents and permits authors to self-archive final accepted version of the articles on any OAI-compliant institutional / subject-based repository. The journal does not charge for submission, processing or publication of manuscripts and even for color reproduction of photographs.
×
引用
GB/T 7714-2015
复制
MLA
复制
APA
复制
导出至
BibTeX EndNote RefMan NoteFirst NoteExpress
×
提示
您的信息不完整,为了账户安全,请先补充。
现在去补充
×
提示
您因"违规操作"
具体请查看互助需知
我知道了
×
提示
确定
请完成安全验证×
copy
已复制链接
快去分享给好友吧!
我知道了
右上角分享
点击右上角分享
0
联系我们:info@booksci.cn Book学术提供免费学术资源搜索服务,方便国内外学者检索中英文文献。致力于提供最便捷和优质的服务体验。 Copyright © 2023 布克学术 All rights reserved.
京ICP备2023020795号-1
ghs 京公网安备 11010802042870号
Book学术文献互助
Book学术文献互助群
群 号:604180095
Book学术官方微信