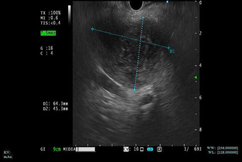
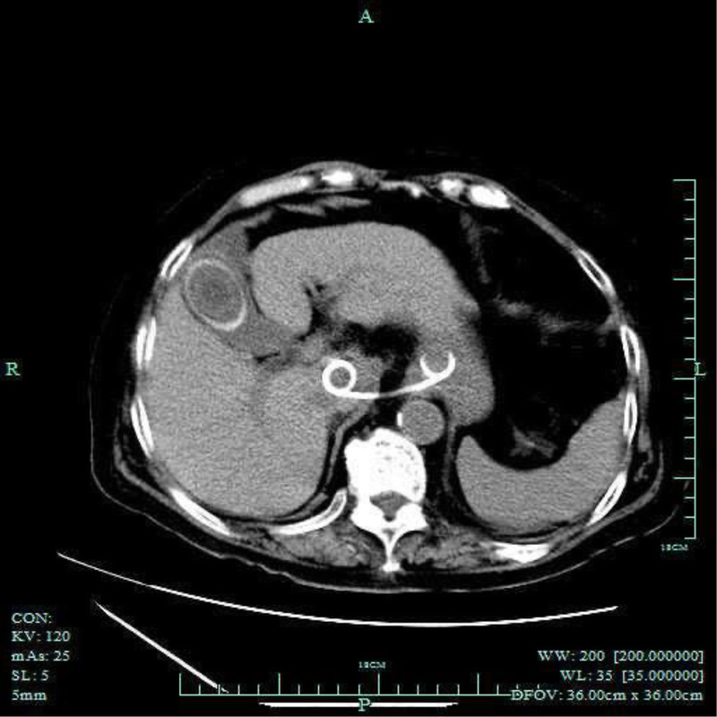
eus引导下多药耐药肠球菌尾状叶脓肿引流术,经皮入路无法进入(带视频)。

IF 5.4 1区 医学 Q1 GASTROENTEROLOGY & HEPATOLOGY
Endoscopic Ultrasound Pub Date : 2025-01-01 Epub Date: 2025-02-14 DOI:10.1097/eus.0000000000000101
Yangyang Zheng, Qiaoxian He, Weigang Gu, Justin Ryan Tan, Jianfeng Yang, Xiaofeng Zhang, Hangbin Jin
{"title":"eus引导下多药耐药肠球菌尾状叶脓肿引流术,经皮入路无法进入(带视频)。","authors":"Yangyang Zheng, Qiaoxian He, Weigang Gu, Justin Ryan Tan, Jianfeng Yang, Xiaofeng Zhang, Hangbin Jin","doi":"10.1097/eus.0000000000000101","DOIUrl":null,"url":null,"abstract":"","PeriodicalId":11577,"journal":{"name":"Endoscopic Ultrasound","volume":"14 1","pages":"35-36"},"PeriodicalIF":5.4000,"publicationDate":"2025-01-01","publicationTypes":"Journal Article","fieldsOfStudy":null,"isOpenAccess":false,"openAccessPdf":"https://www.ncbi.nlm.nih.gov/pmc/articles/PMC11939933/pdf/","citationCount":"0","resultStr":"{\"title\":\"EUS-guided drainage of multidrug-resistant enterococcal caudate lobe abscess inaccessible with percutaneous approach (with video).\",\"authors\":\"Yangyang Zheng, Qiaoxian He, Weigang Gu, Justin Ryan Tan, Jianfeng Yang, Xiaofeng Zhang, Hangbin Jin\",\"doi\":\"10.1097/eus.0000000000000101\",\"DOIUrl\":null,\"url\":null,\"abstract\":\"\",\"PeriodicalId\":11577,\"journal\":{\"name\":\"Endoscopic Ultrasound\",\"volume\":\"14 1\",\"pages\":\"35-36\"},\"PeriodicalIF\":5.4000,\"publicationDate\":\"2025-01-01\",\"publicationTypes\":\"Journal Article\",\"fieldsOfStudy\":null,\"isOpenAccess\":false,\"openAccessPdf\":\"https://www.ncbi.nlm.nih.gov/pmc/articles/PMC11939933/pdf/\",\"citationCount\":\"0\",\"resultStr\":null,\"platform\":\"Semanticscholar\",\"paperid\":null,\"PeriodicalName\":\"Endoscopic Ultrasound\",\"FirstCategoryId\":\"3\",\"ListUrlMain\":\"https://doi.org/10.1097/eus.0000000000000101\",\"RegionNum\":1,\"RegionCategory\":\"医学\",\"ArticlePicture\":[],\"TitleCN\":null,\"AbstractTextCN\":null,\"PMCID\":null,\"EPubDate\":\"2025/2/14 0:00:00\",\"PubModel\":\"Epub\",\"JCR\":\"Q1\",\"JCRName\":\"GASTROENTEROLOGY & HEPATOLOGY\",\"Score\":null,\"Total\":0}","platform":"Semanticscholar","paperid":null,"PeriodicalName":"Endoscopic Ultrasound","FirstCategoryId":"3","ListUrlMain":"https://doi.org/10.1097/eus.0000000000000101","RegionNum":1,"RegionCategory":"医学","ArticlePicture":[],"TitleCN":null,"AbstractTextCN":null,"PMCID":null,"EPubDate":"2025/2/14 0:00:00","PubModel":"Epub","JCR":"Q1","JCRName":"GASTROENTEROLOGY & HEPATOLOGY","Score":null,"Total":0}
引用次数: 0

摘要

本文章由计算机程序翻译,如有差异,请以英文原文为准。

EUS-guided drainage of multidrug-resistant enterococcal caudate lobe abscess inaccessible with percutaneous approach (with video).

EUS-guided drainage of multidrug-resistant enterococcal caudate lobe abscess inaccessible with percutaneous approach (with video).

EUS-guided drainage of multidrug-resistant enterococcal caudate lobe abscess inaccessible with percutaneous approach (with video).

EUS-guided drainage of multidrug-resistant enterococcal caudate lobe abscess inaccessible with percutaneous approach (with video).
求助全文
通过发布文献求助,成功后即可免费获取论文全文。 去求助
来源期刊
Endoscopic Ultrasound
Endoscopic Ultrasound GASTROENTEROLOGY & HEPATOLOGY-
CiteScore
6.20
自引率
11.10%
发文量
144
期刊介绍: Endoscopic Ultrasound, a publication of Euro-EUS Scientific Committee, Asia-Pacific EUS Task Force and Latin American Chapter of EUS, is a peer-reviewed online journal with Quarterly print on demand compilation of issues published. The journal’s full text is available online at http://www.eusjournal.com. The journal allows free access (Open Access) to its contents and permits authors to self-archive final accepted version of the articles on any OAI-compliant institutional / subject-based repository. The journal does not charge for submission, processing or publication of manuscripts and even for color reproduction of photographs.
×
引用
GB/T 7714-2015
复制
MLA
复制
APA
复制
导出至
BibTeX EndNote RefMan NoteFirst NoteExpress
×
提示
您的信息不完整,为了账户安全,请先补充。
现在去补充
×
提示
您因"违规操作"
具体请查看互助需知
我知道了
×
提示
确定
请完成安全验证×
copy
已复制链接
快去分享给好友吧!
我知道了
右上角分享
点击右上角分享
0
联系我们:info@booksci.cn Book学术提供免费学术资源搜索服务,方便国内外学者检索中英文文献。致力于提供最便捷和优质的服务体验。 Copyright © 2023 布克学术 All rights reserved.
京ICP备2023020795号-1
ghs 京公网安备 11010802042870号
Book学术文献互助
Book学术文献互助群
群 号:604180095
Book学术官方微信