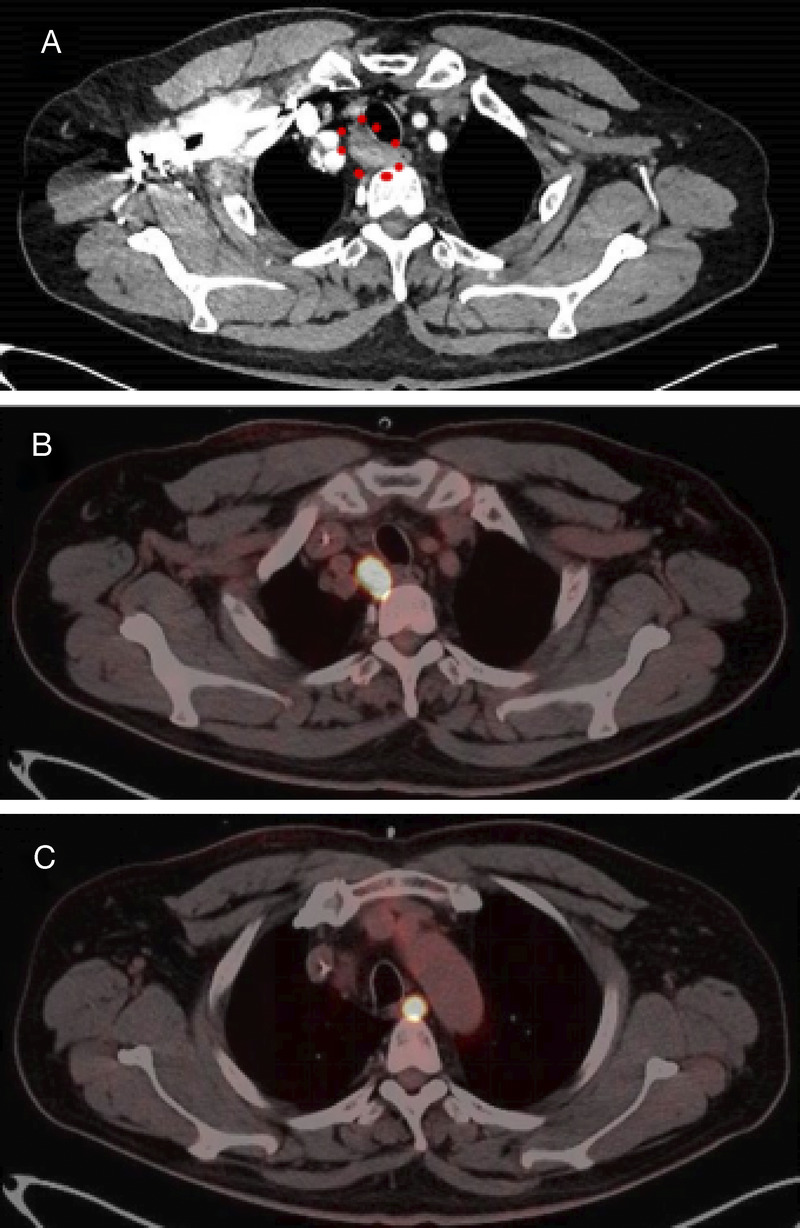
伴有纵隔转移的隐匿性多发原发食管鳞状细胞癌(附视频)。

IF 5.4 1区 医学 Q1 GASTROENTEROLOGY & HEPATOLOGY
Endoscopic Ultrasound Pub Date : 2025-01-01 Epub Date: 2025-02-25 DOI:10.1097/eus.0000000000000103
Haihang Nie, Fan Wang, Jingwen Li, Feng Zhou, Haizhou Wang, Jiayan Nie, Qiu Zhao, Hongling Wang
{"title":"伴有纵隔转移的隐匿性多发原发食管鳞状细胞癌(附视频)。","authors":"Haihang Nie, Fan Wang, Jingwen Li, Feng Zhou, Haizhou Wang, Jiayan Nie, Qiu Zhao, Hongling Wang","doi":"10.1097/eus.0000000000000103","DOIUrl":null,"url":null,"abstract":"","PeriodicalId":11577,"journal":{"name":"Endoscopic Ultrasound","volume":"14 1","pages":"33-34"},"PeriodicalIF":5.4000,"publicationDate":"2025-01-01","publicationTypes":"Journal Article","fieldsOfStudy":null,"isOpenAccess":false,"openAccessPdf":"https://www.ncbi.nlm.nih.gov/pmc/articles/PMC11939938/pdf/","citationCount":"0","resultStr":"{\"title\":\"Occult synchronous multiple primary esophageal squamous cell carcinoma with mediastinal metastasis (with video).\",\"authors\":\"Haihang Nie, Fan Wang, Jingwen Li, Feng Zhou, Haizhou Wang, Jiayan Nie, Qiu Zhao, Hongling Wang\",\"doi\":\"10.1097/eus.0000000000000103\",\"DOIUrl\":null,\"url\":null,\"abstract\":\"\",\"PeriodicalId\":11577,\"journal\":{\"name\":\"Endoscopic Ultrasound\",\"volume\":\"14 1\",\"pages\":\"33-34\"},\"PeriodicalIF\":5.4000,\"publicationDate\":\"2025-01-01\",\"publicationTypes\":\"Journal Article\",\"fieldsOfStudy\":null,\"isOpenAccess\":false,\"openAccessPdf\":\"https://www.ncbi.nlm.nih.gov/pmc/articles/PMC11939938/pdf/\",\"citationCount\":\"0\",\"resultStr\":null,\"platform\":\"Semanticscholar\",\"paperid\":null,\"PeriodicalName\":\"Endoscopic Ultrasound\",\"FirstCategoryId\":\"3\",\"ListUrlMain\":\"https://doi.org/10.1097/eus.0000000000000103\",\"RegionNum\":1,\"RegionCategory\":\"医学\",\"ArticlePicture\":[],\"TitleCN\":null,\"AbstractTextCN\":null,\"PMCID\":null,\"EPubDate\":\"2025/2/25 0:00:00\",\"PubModel\":\"Epub\",\"JCR\":\"Q1\",\"JCRName\":\"GASTROENTEROLOGY & HEPATOLOGY\",\"Score\":null,\"Total\":0}","platform":"Semanticscholar","paperid":null,"PeriodicalName":"Endoscopic Ultrasound","FirstCategoryId":"3","ListUrlMain":"https://doi.org/10.1097/eus.0000000000000103","RegionNum":1,"RegionCategory":"医学","ArticlePicture":[],"TitleCN":null,"AbstractTextCN":null,"PMCID":null,"EPubDate":"2025/2/25 0:00:00","PubModel":"Epub","JCR":"Q1","JCRName":"GASTROENTEROLOGY & HEPATOLOGY","Score":null,"Total":0}
引用次数: 0

摘要

本文章由计算机程序翻译,如有差异,请以英文原文为准。

Occult synchronous multiple primary esophageal squamous cell carcinoma with mediastinal metastasis (with video).

Occult synchronous multiple primary esophageal squamous cell carcinoma with mediastinal metastasis (with video).

Occult synchronous multiple primary esophageal squamous cell carcinoma with mediastinal metastasis (with video).
求助全文
通过发布文献求助,成功后即可免费获取论文全文。 去求助
来源期刊
Endoscopic Ultrasound
Endoscopic Ultrasound GASTROENTEROLOGY & HEPATOLOGY-
CiteScore
6.20
自引率
11.10%
发文量
144
期刊介绍: Endoscopic Ultrasound, a publication of Euro-EUS Scientific Committee, Asia-Pacific EUS Task Force and Latin American Chapter of EUS, is a peer-reviewed online journal with Quarterly print on demand compilation of issues published. The journal’s full text is available online at http://www.eusjournal.com. The journal allows free access (Open Access) to its contents and permits authors to self-archive final accepted version of the articles on any OAI-compliant institutional / subject-based repository. The journal does not charge for submission, processing or publication of manuscripts and even for color reproduction of photographs.
×
引用
GB/T 7714-2015
复制
MLA
复制
APA
复制
导出至
BibTeX EndNote RefMan NoteFirst NoteExpress
×
提示
您的信息不完整,为了账户安全,请先补充。
现在去补充
×
提示
您因"违规操作"
具体请查看互助需知
我知道了
×
提示
确定
请完成安全验证×
copy
已复制链接
快去分享给好友吧!
我知道了
右上角分享
点击右上角分享
0
联系我们:info@booksci.cn Book学术提供免费学术资源搜索服务,方便国内外学者检索中英文文献。致力于提供最便捷和优质的服务体验。 Copyright © 2023 布克学术 All rights reserved.
京ICP备2023020795号-1
ghs 京公网安备 11010802042870号
Book学术文献互助
Book学术文献互助群
群 号:604180095
Book学术官方微信