eus引导下肝胃造口术中自膨胀金属支架放置位置对支架功能障碍的影响。

IF 5.4 1区 医学 Q1 GASTROENTEROLOGY & HEPATOLOGY
Endoscopic Ultrasound Pub Date : 2025-01-01 Epub Date: 2025-02-27 DOI:10.1097/eus.0000000000000100
Takeshi Ogura, Saori Ueno, Atsushi Okuda, Nobu Nishioka, Jun Sakamoto, Masanori Yamada, Masahiro Yamamura, Yuki Uba, Mitsuki Tomita, Nobuhiro Hattori, Junichi Nakamura, Kimi Bessho, Hiroki Nishikawa
{"title":"eus引导下肝胃造口术中自膨胀金属支架放置位置对支架功能障碍的影响。","authors":"Takeshi Ogura, Saori Ueno, Atsushi Okuda, Nobu Nishioka, Jun Sakamoto, Masanori Yamada, Masahiro Yamamura, Yuki Uba, Mitsuki Tomita, Nobuhiro Hattori, Junichi Nakamura, Kimi Bessho, Hiroki Nishikawa","doi":"10.1097/eus.0000000000000100","DOIUrl":null,"url":null,"abstract":"<p><strong>Background and objectives: </strong>Hyperplasia at the distal side of an EUS-guided hepaticogastrostomy (HGS) stent is one of the most frequent causes of stent dysfunction. However, risk factors for hyperplasia during EUS-HGS remain unclear. The aim of the present study was to determine the most appropriate stent site during EUS-HGS to obtain prolonged stent patency.</p><p><strong>Method: </strong>This study included 100 consecutive patients who underwent successful EUS-HGS using a partially covered, self-expandable, metal stent (PCSEMS) between January 2017 and September 2022. The patients were divided into 2 groups according to the distal site of the PCSEMS at the intrahepatic bile duct, the peripheral side group and the central side group.</p><p><strong>Results: </strong>There were 30 patients in the peripheral side group and 70 in the central side group. The diameter of the intrahepatic bile duct at the PCSEMS deployment site was significantly greater in the central side group (mean 7.90 mm) than in the peripheral side group (mean 4.25 mm; <i>P</i> < 0.05). Stent patency was significantly longer in the central side group than in the peripheral side group (median, 60 days <i>vs.</i> 144 days, <i>P</i> = 0.011), although overall survival was not significantly different. Hyperplasia was significantly more frequent in the peripheral side group. On multivariate analysis, the site of the PCSEMS (peripheral) was the only risk factor for stent dysfunction.</p><p><strong>Conclusions: </strong>In conclusion, the distal site of the PCSEMS deployed at the hepatic hilar site from the confluence between B2 and B3 might play a role in obtaining longer stent patency.</p>","PeriodicalId":11577,"journal":{"name":"Endoscopic Ultrasound","volume":"14 1","pages":"26-32"},"PeriodicalIF":5.4000,"publicationDate":"2025-01-01","publicationTypes":"Journal Article","fieldsOfStudy":null,"isOpenAccess":false,"openAccessPdf":"https://www.ncbi.nlm.nih.gov/pmc/articles/PMC11939943/pdf/","citationCount":"0","resultStr":"{\"title\":\"Impact of self-expandable metal stent deployment site on stent dysfunction during EUS-guided hepaticogastrostomy.\",\"authors\":\"Takeshi Ogura, Saori Ueno, Atsushi Okuda, Nobu Nishioka, Jun Sakamoto, Masanori Yamada, Masahiro Yamamura, Yuki Uba, Mitsuki Tomita, Nobuhiro Hattori, Junichi Nakamura, Kimi Bessho, Hiroki Nishikawa\",\"doi\":\"10.1097/eus.0000000000000100\",\"DOIUrl\":null,\"url\":null,\"abstract\":\"<p><strong>Background and objectives: </strong>Hyperplasia at the distal side of an EUS-guided hepaticogastrostomy (HGS) stent is one of the most frequent causes of stent dysfunction. However, risk factors for hyperplasia during EUS-HGS remain unclear. The aim of the present study was to determine the most appropriate stent site during EUS-HGS to obtain prolonged stent patency.</p><p><strong>Method: </strong>This study included 100 consecutive patients who underwent successful EUS-HGS using a partially covered, self-expandable, metal stent (PCSEMS) between January 2017 and September 2022. The patients were divided into 2 groups according to the distal site of the PCSEMS at the intrahepatic bile duct, the peripheral side group and the central side group.</p><p><strong>Results: </strong>There were 30 patients in the peripheral side group and 70 in the central side group. The diameter of the intrahepatic bile duct at the PCSEMS deployment site was significantly greater in the central side group (mean 7.90 mm) than in the peripheral side group (mean 4.25 mm; <i>P</i> < 0.05). Stent patency was significantly longer in the central side group than in the peripheral side group (median, 60 days <i>vs.</i> 144 days, <i>P</i> = 0.011), although overall survival was not significantly different. Hyperplasia was significantly more frequent in the peripheral side group. On multivariate analysis, the site of the PCSEMS (peripheral) was the only risk factor for stent dysfunction.</p><p><strong>Conclusions: </strong>In conclusion, the distal site of the PCSEMS deployed at the hepatic hilar site from the confluence between B2 and B3 might play a role in obtaining longer stent patency.</p>\",\"PeriodicalId\":11577,\"journal\":{\"name\":\"Endoscopic Ultrasound\",\"volume\":\"14 1\",\"pages\":\"26-32\"},\"PeriodicalIF\":5.4000,\"publicationDate\":\"2025-01-01\",\"publicationTypes\":\"Journal Article\",\"fieldsOfStudy\":null,\"isOpenAccess\":false,\"openAccessPdf\":\"https://www.ncbi.nlm.nih.gov/pmc/articles/PMC11939943/pdf/\",\"citationCount\":\"0\",\"resultStr\":null,\"platform\":\"Semanticscholar\",\"paperid\":null,\"PeriodicalName\":\"Endoscopic Ultrasound\",\"FirstCategoryId\":\"3\",\"ListUrlMain\":\"https://doi.org/10.1097/eus.0000000000000100\",\"RegionNum\":1,\"RegionCategory\":\"医学\",\"ArticlePicture\":[],\"TitleCN\":null,\"AbstractTextCN\":null,\"PMCID\":null,\"EPubDate\":\"2025/2/27 0:00:00\",\"PubModel\":\"Epub\",\"JCR\":\"Q1\",\"JCRName\":\"GASTROENTEROLOGY & HEPATOLOGY\",\"Score\":null,\"Total\":0}","platform":"Semanticscholar","paperid":null,"PeriodicalName":"Endoscopic Ultrasound","FirstCategoryId":"3","ListUrlMain":"https://doi.org/10.1097/eus.0000000000000100","RegionNum":1,"RegionCategory":"医学","ArticlePicture":[],"TitleCN":null,"AbstractTextCN":null,"PMCID":null,"EPubDate":"2025/2/27 0:00:00","PubModel":"Epub","JCR":"Q1","JCRName":"GASTROENTEROLOGY & HEPATOLOGY","Score":null,"Total":0}
引用次数: 0

摘要

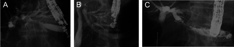
背景和目的:EUS 导向肝胃造口术(HGS)支架远端增生是导致支架功能障碍的最常见原因之一。然而,EUS-HGS 期间增生的风险因素仍不清楚。本研究旨在确定 EUS-HGS 期间最合适的支架部位,以延长支架的通畅时间:本研究纳入了 2017 年 1 月至 2022 年 9 月期间使用部分覆盖、自扩金属支架(PCSEMS)成功接受 EUS-HGS 的 100 例连续患者。根据 PCSEMS 在肝内胆管的远端部位将患者分为两组,即外周侧组和中央侧组:结果:外周侧组有30名患者,中心侧组有70名患者。中央侧组的 PCSEMS 部署部位肝内胆管的直径(平均 7.90 毫米)明显大于外周侧组(平均 4.25 毫米;P < 0.05)。中央侧组的支架通畅时间明显长于外周侧组(中位数,60 天 vs. 144 天,P = 0.011),但总体存活率没有明显差异。外周侧组血管增生的发生率明显更高。多变量分析显示,PCSEMS的部位(外周)是支架功能障碍的唯一风险因素:总之,从 B2 和 B3 交汇处肝门部位部署 PCSEMS 的远端部位可能有助于获得更长的支架通畅时间。
本文章由计算机程序翻译,如有差异,请以英文原文为准。

Impact of self-expandable metal stent deployment site on stent dysfunction during EUS-guided hepaticogastrostomy.

Impact of self-expandable metal stent deployment site on stent dysfunction during EUS-guided hepaticogastrostomy.

Impact of self-expandable metal stent deployment site on stent dysfunction during EUS-guided hepaticogastrostomy.

Impact of self-expandable metal stent deployment site on stent dysfunction during EUS-guided hepaticogastrostomy.

Background and objectives: Hyperplasia at the distal side of an EUS-guided hepaticogastrostomy (HGS) stent is one of the most frequent causes of stent dysfunction. However, risk factors for hyperplasia during EUS-HGS remain unclear. The aim of the present study was to determine the most appropriate stent site during EUS-HGS to obtain prolonged stent patency.

Method: This study included 100 consecutive patients who underwent successful EUS-HGS using a partially covered, self-expandable, metal stent (PCSEMS) between January 2017 and September 2022. The patients were divided into 2 groups according to the distal site of the PCSEMS at the intrahepatic bile duct, the peripheral side group and the central side group.

Results: There were 30 patients in the peripheral side group and 70 in the central side group. The diameter of the intrahepatic bile duct at the PCSEMS deployment site was significantly greater in the central side group (mean 7.90 mm) than in the peripheral side group (mean 4.25 mm; P < 0.05). Stent patency was significantly longer in the central side group than in the peripheral side group (median, 60 days vs. 144 days, P = 0.011), although overall survival was not significantly different. Hyperplasia was significantly more frequent in the peripheral side group. On multivariate analysis, the site of the PCSEMS (peripheral) was the only risk factor for stent dysfunction.

Conclusions: In conclusion, the distal site of the PCSEMS deployed at the hepatic hilar site from the confluence between B2 and B3 might play a role in obtaining longer stent patency.

求助全文
通过发布文献求助,成功后即可免费获取论文全文。 去求助
来源期刊
Endoscopic Ultrasound
Endoscopic Ultrasound GASTROENTEROLOGY & HEPATOLOGY-
CiteScore
6.20
自引率
11.10%
发文量
144
期刊介绍: Endoscopic Ultrasound, a publication of Euro-EUS Scientific Committee, Asia-Pacific EUS Task Force and Latin American Chapter of EUS, is a peer-reviewed online journal with Quarterly print on demand compilation of issues published. The journal’s full text is available online at http://www.eusjournal.com. The journal allows free access (Open Access) to its contents and permits authors to self-archive final accepted version of the articles on any OAI-compliant institutional / subject-based repository. The journal does not charge for submission, processing or publication of manuscripts and even for color reproduction of photographs.
×
引用
GB/T 7714-2015
复制
MLA
复制
APA
复制
导出至
BibTeX EndNote RefMan NoteFirst NoteExpress
×
提示
您的信息不完整,为了账户安全,请先补充。
现在去补充
×
提示
您因"违规操作"
具体请查看互助需知
我知道了
×
提示
确定
请完成安全验证×
copy
已复制链接
快去分享给好友吧!
我知道了
右上角分享
点击右上角分享
0
联系我们:info@booksci.cn Book学术提供免费学术资源搜索服务,方便国内外学者检索中英文文献。致力于提供最便捷和优质的服务体验。 Copyright © 2023 布克学术 All rights reserved.
京ICP备2023020795号-1
ghs 京公网安备 11010802042870号
Book学术文献互助
Book学术文献互助群
群 号:604180095
Book学术官方微信