脂质乳通过LPS/TLR4通路对急性有机磷中毒重要器官的保护作用

IF 2.7 3区 医学 Q2 PHARMACOLOGY & PHARMACY
Gang Li, Haiyan Hu
{"title":"脂质乳通过LPS/TLR4通路对急性有机磷中毒重要器官的保护作用","authors":"Gang Li, Haiyan Hu","doi":"10.1186/s40360-025-00904-4","DOIUrl":null,"url":null,"abstract":"<p><p>Organophosphorus poisoning (OP), a prevalent form of pesticide intoxication, induces severe multiorgan dysfunction. While combined lipid emulsion (ILE) and standard treatment (pralidoxime methiodide & atropine) demonstrate improved clinical outcomes, the therapeutic mechanisms remain elusive.</p><p><strong>Methods: </strong>An OP rat model was established for: (1) histopathological assessment via hematoxylin-eosin (H&E) staining; (2) LPS/Toll-like receptor 4 (TLR4) quantification through flow cytometry; (3) inflammatory cytokine measurement using enzyme-linked immunosorbent assay (ELISA); and (4) cytokine mRNA analysis via reverse transcription PCR (RT-PCR). TLR4 pathway validation employed anti-TLR4 intervention.</p><p><strong>Results: </strong>After survived 24 h, multiple organs were damaged in rats with organophosphorus poisoning. Treatment with standard treatment or only lipid emulsion slightly alleviated the symptoms of poisoning, However, when standard treatment was combined with lipid emulsion, the symptoms were significantly alleviated, and the expression level of TLR4 was significantly decreased in the ST + ILE group. After anti-TLR4 was used to block the LPS/TLR4 pathway, liver function and acetylcholinesterase(AchE) levels in rats were significantly improved(P < 0.001), lung and heart pathology improved, and inflammatory cytokines were reduced; Moreover, the expression level of TLR4 in heart and lung also decreased significantly(P < 0.01). As a result, the symptoms of organ poisoning were relieved.</p><p><strong>Conclusion: </strong>Lipid emulsion is involved in the protective effect via the LPS/TLR4 pathway on vital organs inacute or organophosphorus poisoning.</p>","PeriodicalId":9023,"journal":{"name":"BMC Pharmacology & Toxicology","volume":"26 1","pages":"71"},"PeriodicalIF":2.7000,"publicationDate":"2025-03-27","publicationTypes":"Journal Article","fieldsOfStudy":null,"isOpenAccess":false,"openAccessPdf":"https://www.ncbi.nlm.nih.gov/pmc/articles/PMC11951800/pdf/","citationCount":"0","resultStr":"{\"title\":\"Protective effects of lipid emulsion on vital organs through the LPS/TLR4 pathway in acute organophosphate poisoning.\",\"authors\":\"Gang Li, Haiyan Hu\",\"doi\":\"10.1186/s40360-025-00904-4\",\"DOIUrl\":null,\"url\":null,\"abstract\":\"<p><p>Organophosphorus poisoning (OP), a prevalent form of pesticide intoxication, induces severe multiorgan dysfunction. While combined lipid emulsion (ILE) and standard treatment (pralidoxime methiodide & atropine) demonstrate improved clinical outcomes, the therapeutic mechanisms remain elusive.</p><p><strong>Methods: </strong>An OP rat model was established for: (1) histopathological assessment via hematoxylin-eosin (H&E) staining; (2) LPS/Toll-like receptor 4 (TLR4) quantification through flow cytometry; (3) inflammatory cytokine measurement using enzyme-linked immunosorbent assay (ELISA); and (4) cytokine mRNA analysis via reverse transcription PCR (RT-PCR). TLR4 pathway validation employed anti-TLR4 intervention.</p><p><strong>Results: </strong>After survived 24 h, multiple organs were damaged in rats with organophosphorus poisoning. Treatment with standard treatment or only lipid emulsion slightly alleviated the symptoms of poisoning, However, when standard treatment was combined with lipid emulsion, the symptoms were significantly alleviated, and the expression level of TLR4 was significantly decreased in the ST + ILE group. After anti-TLR4 was used to block the LPS/TLR4 pathway, liver function and acetylcholinesterase(AchE) levels in rats were significantly improved(P < 0.001), lung and heart pathology improved, and inflammatory cytokines were reduced; Moreover, the expression level of TLR4 in heart and lung also decreased significantly(P < 0.01). As a result, the symptoms of organ poisoning were relieved.</p><p><strong>Conclusion: </strong>Lipid emulsion is involved in the protective effect via the LPS/TLR4 pathway on vital organs inacute or organophosphorus poisoning.</p>\",\"PeriodicalId\":9023,\"journal\":{\"name\":\"BMC Pharmacology & Toxicology\",\"volume\":\"26 1\",\"pages\":\"71\"},\"PeriodicalIF\":2.7000,\"publicationDate\":\"2025-03-27\",\"publicationTypes\":\"Journal Article\",\"fieldsOfStudy\":null,\"isOpenAccess\":false,\"openAccessPdf\":\"https://www.ncbi.nlm.nih.gov/pmc/articles/PMC11951800/pdf/\",\"citationCount\":\"0\",\"resultStr\":null,\"platform\":\"Semanticscholar\",\"paperid\":null,\"PeriodicalName\":\"BMC Pharmacology & Toxicology\",\"FirstCategoryId\":\"3\",\"ListUrlMain\":\"https://doi.org/10.1186/s40360-025-00904-4\",\"RegionNum\":3,\"RegionCategory\":\"医学\",\"ArticlePicture\":[],\"TitleCN\":null,\"AbstractTextCN\":null,\"PMCID\":null,\"EPubDate\":\"\",\"PubModel\":\"\",\"JCR\":\"Q2\",\"JCRName\":\"PHARMACOLOGY & PHARMACY\",\"Score\":null,\"Total\":0}","platform":"Semanticscholar","paperid":null,"PeriodicalName":"BMC Pharmacology & Toxicology","FirstCategoryId":"3","ListUrlMain":"https://doi.org/10.1186/s40360-025-00904-4","RegionNum":3,"RegionCategory":"医学","ArticlePicture":[],"TitleCN":null,"AbstractTextCN":null,"PMCID":null,"EPubDate":"","PubModel":"","JCR":"Q2","JCRName":"PHARMACOLOGY & PHARMACY","Score":null,"Total":0}
引用次数: 0

摘要

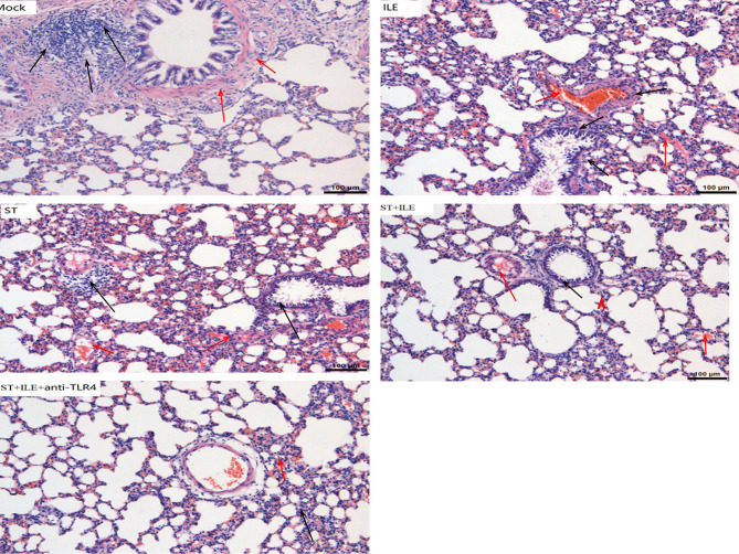
有机磷中毒(OP)是一种常见的农药中毒形式,可引起严重的多器官功能障碍。虽然联合脂质乳(ILE)和标准治疗(哌拉西多肟和阿托品)显示出改善的临床结果,但治疗机制仍然难以捉摸。方法:建立OP大鼠模型:(1)采用苏木精-伊红(H&E)染色法进行组织病理学评估;(2)流式细胞术定量检测LPS/ toll样受体4 (TLR4);(3)酶联免疫吸附法(ELISA)检测炎性细胞因子;(4)通过逆转录PCR (RT-PCR)分析细胞因子mRNA。TLR4途径验证采用抗TLR4干预。结果:有机磷中毒大鼠存活24 h后出现多脏器损伤。标准治疗或仅脂质乳治疗能轻微缓解中毒症状,但标准治疗联合脂质乳治疗后症状明显缓解,且ST + ILE组TLR4表达水平明显降低。用抗TLR4阻断LPS/TLR4通路后,大鼠肝功能和乙酰胆碱酯酶(AchE)水平明显改善(P)。结论脂质乳通过LPS/TLR4通路参与了对急性或有机磷中毒重要脏器的保护作用。
本文章由计算机程序翻译,如有差异,请以英文原文为准。

Protective effects of lipid emulsion on vital organs through the LPS/TLR4 pathway in acute organophosphate poisoning.

Protective effects of lipid emulsion on vital organs through the LPS/TLR4 pathway in acute organophosphate poisoning.

Protective effects of lipid emulsion on vital organs through the LPS/TLR4 pathway in acute organophosphate poisoning.

Protective effects of lipid emulsion on vital organs through the LPS/TLR4 pathway in acute organophosphate poisoning.

Organophosphorus poisoning (OP), a prevalent form of pesticide intoxication, induces severe multiorgan dysfunction. While combined lipid emulsion (ILE) and standard treatment (pralidoxime methiodide & atropine) demonstrate improved clinical outcomes, the therapeutic mechanisms remain elusive.

Methods: An OP rat model was established for: (1) histopathological assessment via hematoxylin-eosin (H&E) staining; (2) LPS/Toll-like receptor 4 (TLR4) quantification through flow cytometry; (3) inflammatory cytokine measurement using enzyme-linked immunosorbent assay (ELISA); and (4) cytokine mRNA analysis via reverse transcription PCR (RT-PCR). TLR4 pathway validation employed anti-TLR4 intervention.

Results: After survived 24 h, multiple organs were damaged in rats with organophosphorus poisoning. Treatment with standard treatment or only lipid emulsion slightly alleviated the symptoms of poisoning, However, when standard treatment was combined with lipid emulsion, the symptoms were significantly alleviated, and the expression level of TLR4 was significantly decreased in the ST + ILE group. After anti-TLR4 was used to block the LPS/TLR4 pathway, liver function and acetylcholinesterase(AchE) levels in rats were significantly improved(P < 0.001), lung and heart pathology improved, and inflammatory cytokines were reduced; Moreover, the expression level of TLR4 in heart and lung also decreased significantly(P < 0.01). As a result, the symptoms of organ poisoning were relieved.

Conclusion: Lipid emulsion is involved in the protective effect via the LPS/TLR4 pathway on vital organs inacute or organophosphorus poisoning.

求助全文
通过发布文献求助,成功后即可免费获取论文全文。 去求助
来源期刊
BMC Pharmacology & Toxicology
BMC Pharmacology & Toxicology PHARMACOLOGY & PHARMACYTOXICOLOGY&nb-TOXICOLOGY
CiteScore
4.80
自引率
0.00%
发文量
87
审稿时长
12 weeks
期刊介绍: BMC Pharmacology and Toxicology is an open access, peer-reviewed journal that considers articles on all aspects of chemically defined therapeutic and toxic agents. The journal welcomes submissions from all fields of experimental and clinical pharmacology including clinical trials and toxicology.
×
引用
GB/T 7714-2015
复制
MLA
复制
APA
复制
导出至
BibTeX EndNote RefMan NoteFirst NoteExpress
×
提示
您的信息不完整,为了账户安全,请先补充。
现在去补充
×
提示
您因"违规操作"
具体请查看互助需知
我知道了
×
提示
确定
请完成安全验证×
copy
已复制链接
快去分享给好友吧!
我知道了
右上角分享
点击右上角分享
0
联系我们:info@booksci.cn Book学术提供免费学术资源搜索服务,方便国内外学者检索中英文文献。致力于提供最便捷和优质的服务体验。 Copyright © 2023 布克学术 All rights reserved.
京ICP备2023020795号-1
ghs 京公网安备 11010802042870号
Book学术文献互助
Book学术文献互助群
群 号:604180095
Book学术官方微信