克唑替尼相关的肝和肾囊肿:1例MRI结果报告。

IF 2.2 3区 医学 Q2 RADIOLOGY, NUCLEAR MEDICINE & MEDICAL IMAGING
Saki Yamamoto, Toshimi Kawahata, Sota Masuoka, Ayako Takigami, Hiroyuki Fujii, Toshikazu Takasaki, Mizuho Saito, Mitsuru Matsuki, Makoto Maemondo, Harushi Mori
{"title":"克唑替尼相关的肝和肾囊肿:1例MRI结果报告。","authors":"Saki Yamamoto,&nbsp;Toshimi Kawahata,&nbsp;Sota Masuoka,&nbsp;Ayako Takigami,&nbsp;Hiroyuki Fujii,&nbsp;Toshikazu Takasaki,&nbsp;Mizuho Saito,&nbsp;Mitsuru Matsuki,&nbsp;Makoto Maemondo,&nbsp;Harushi Mori","doi":"10.1007/s00261-025-04894-z","DOIUrl":null,"url":null,"abstract":"<div><p>We report a case of a man in his 60s with ROS1 fusion-positive lung adenocarcinoma who developed multiple cystic lesions in both the kidneys and liver during crizotinib treatment. The patient presented with fever, abdominal pain, and oliguria. Contrast-enhanced CT revealed new cystic lesions in both the kidneys and liver, with some showing thick walls, septa, and hyperdense contents. MRI demonstrated heterogeneous signal intensities on T2-weighted images and mixed low to high signal intensities on T1-weighted images. Some cysts displayed T2 hypointense and T1 hyperintense areas along the cyst walls, with diffusion restriction predominantly at the periphery of the masses. Percutaneous drainage of the cysts was performed, and cytology revealed an increase in the number of cells, including neutrophils. However, no malignant cells or microorganisms were detected. Based on these imaging findings and laboratory results, the patient was diagnosed with crizotinib-associated renal and hepatic cysts. Symptoms improved after crizotinib discontinuation, and follow-up imaging showed cyst regression. This is the first report describing MRI findings for crizotinib-associated hepatic cysts. Characteristic MRI findings, such as T2 hypointensity/T1 hyperintensity along the cyst walls and diffusion restriction predominantly at the periphery of the masses, suggesting hemorrhagic components, may help differentiate crizotinib-associated cysts from other lesions, including metastases and abscesses.</p><h3>Graphical abstract</h3><div><figure><div><div><picture><source><img></source></picture></div></div></figure></div></div>","PeriodicalId":7126,"journal":{"name":"Abdominal Radiology","volume":"50 10","pages":"5059 - 5063"},"PeriodicalIF":2.2000,"publicationDate":"2025-03-26","publicationTypes":"Journal Article","fieldsOfStudy":null,"isOpenAccess":false,"openAccessPdf":"","citationCount":"0","resultStr":"{\"title\":\"Crizotinib-associated hepatic and renal cysts: a case report with MRI findings\",\"authors\":\"Saki Yamamoto,&nbsp;Toshimi Kawahata,&nbsp;Sota Masuoka,&nbsp;Ayako Takigami,&nbsp;Hiroyuki Fujii,&nbsp;Toshikazu Takasaki,&nbsp;Mizuho Saito,&nbsp;Mitsuru Matsuki,&nbsp;Makoto Maemondo,&nbsp;Harushi Mori\",\"doi\":\"10.1007/s00261-025-04894-z\",\"DOIUrl\":null,\"url\":null,\"abstract\":\"<div><p>We report a case of a man in his 60s with ROS1 fusion-positive lung adenocarcinoma who developed multiple cystic lesions in both the kidneys and liver during crizotinib treatment. The patient presented with fever, abdominal pain, and oliguria. Contrast-enhanced CT revealed new cystic lesions in both the kidneys and liver, with some showing thick walls, septa, and hyperdense contents. MRI demonstrated heterogeneous signal intensities on T2-weighted images and mixed low to high signal intensities on T1-weighted images. Some cysts displayed T2 hypointense and T1 hyperintense areas along the cyst walls, with diffusion restriction predominantly at the periphery of the masses. Percutaneous drainage of the cysts was performed, and cytology revealed an increase in the number of cells, including neutrophils. However, no malignant cells or microorganisms were detected. Based on these imaging findings and laboratory results, the patient was diagnosed with crizotinib-associated renal and hepatic cysts. Symptoms improved after crizotinib discontinuation, and follow-up imaging showed cyst regression. This is the first report describing MRI findings for crizotinib-associated hepatic cysts. Characteristic MRI findings, such as T2 hypointensity/T1 hyperintensity along the cyst walls and diffusion restriction predominantly at the periphery of the masses, suggesting hemorrhagic components, may help differentiate crizotinib-associated cysts from other lesions, including metastases and abscesses.</p><h3>Graphical abstract</h3><div><figure><div><div><picture><source><img></source></picture></div></div></figure></div></div>\",\"PeriodicalId\":7126,\"journal\":{\"name\":\"Abdominal Radiology\",\"volume\":\"50 10\",\"pages\":\"5059 - 5063\"},\"PeriodicalIF\":2.2000,\"publicationDate\":\"2025-03-26\",\"publicationTypes\":\"Journal Article\",\"fieldsOfStudy\":null,\"isOpenAccess\":false,\"openAccessPdf\":\"\",\"citationCount\":\"0\",\"resultStr\":null,\"platform\":\"Semanticscholar\",\"paperid\":null,\"PeriodicalName\":\"Abdominal Radiology\",\"FirstCategoryId\":\"3\",\"ListUrlMain\":\"https://link.springer.com/article/10.1007/s00261-025-04894-z\",\"RegionNum\":3,\"RegionCategory\":\"医学\",\"ArticlePicture\":[],\"TitleCN\":null,\"AbstractTextCN\":null,\"PMCID\":null,\"EPubDate\":\"\",\"PubModel\":\"\",\"JCR\":\"Q2\",\"JCRName\":\"RADIOLOGY, NUCLEAR MEDICINE & MEDICAL IMAGING\",\"Score\":null,\"Total\":0}","platform":"Semanticscholar","paperid":null,"PeriodicalName":"Abdominal Radiology","FirstCategoryId":"3","ListUrlMain":"https://link.springer.com/article/10.1007/s00261-025-04894-z","RegionNum":3,"RegionCategory":"医学","ArticlePicture":[],"TitleCN":null,"AbstractTextCN":null,"PMCID":null,"EPubDate":"","PubModel":"","JCR":"Q2","JCRName":"RADIOLOGY, NUCLEAR MEDICINE & MEDICAL IMAGING","Score":null,"Total":0}
引用次数: 0

摘要

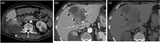
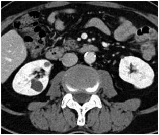
我们报告一例60多岁的ROS1融合阳性肺腺癌患者在克唑替尼治疗期间肾脏和肝脏出现多发性囊性病变。患者表现为发热、腹痛和少尿。增强CT显示肾脏和肝脏出现新的囊性病变,部分显示壁厚、间隔和高密度内容物。MRI显示t2加权图像信号强度不均,t1加权图像信号强度高低混合。部分囊肿沿囊肿壁呈T2低信号区和T1高信号区,扩散限制主要在肿块周围。经皮对囊肿进行引流,细胞学检查显示细胞数量增加,包括中性粒细胞。但未检出恶性细胞或微生物。基于这些影像学表现和实验室结果,患者被诊断为与克唑替尼相关的肾和肝囊肿。停用克唑替尼后症状改善,随访影像显示囊肿消退。这是第一份描述克里唑替尼相关肝囊肿MRI表现的报告。特征性MRI表现,如沿囊肿壁T2低/T1高,扩散限制主要在肿块周围,提示出血性成分,可能有助于区分克唑替尼相关囊肿与其他病变,包括转移和脓肿。
本文章由计算机程序翻译,如有差异,请以英文原文为准。

Crizotinib-associated hepatic and renal cysts: a case report with MRI findings

Crizotinib-associated hepatic and renal cysts: a case report with MRI findings

Crizotinib-associated hepatic and renal cysts: a case report with MRI findings

We report a case of a man in his 60s with ROS1 fusion-positive lung adenocarcinoma who developed multiple cystic lesions in both the kidneys and liver during crizotinib treatment. The patient presented with fever, abdominal pain, and oliguria. Contrast-enhanced CT revealed new cystic lesions in both the kidneys and liver, with some showing thick walls, septa, and hyperdense contents. MRI demonstrated heterogeneous signal intensities on T2-weighted images and mixed low to high signal intensities on T1-weighted images. Some cysts displayed T2 hypointense and T1 hyperintense areas along the cyst walls, with diffusion restriction predominantly at the periphery of the masses. Percutaneous drainage of the cysts was performed, and cytology revealed an increase in the number of cells, including neutrophils. However, no malignant cells or microorganisms were detected. Based on these imaging findings and laboratory results, the patient was diagnosed with crizotinib-associated renal and hepatic cysts. Symptoms improved after crizotinib discontinuation, and follow-up imaging showed cyst regression. This is the first report describing MRI findings for crizotinib-associated hepatic cysts. Characteristic MRI findings, such as T2 hypointensity/T1 hyperintensity along the cyst walls and diffusion restriction predominantly at the periphery of the masses, suggesting hemorrhagic components, may help differentiate crizotinib-associated cysts from other lesions, including metastases and abscesses.

Graphical abstract

求助全文
通过发布文献求助,成功后即可免费获取论文全文。 去求助
来源期刊
Abdominal Radiology
Abdominal Radiology Medicine-Radiology, Nuclear Medicine and Imaging
CiteScore
5.20
自引率
8.30%
发文量
334
期刊介绍: Abdominal Radiology seeks to meet the professional needs of the abdominal radiologist by publishing clinically pertinent original, review and practice related articles on the gastrointestinal and genitourinary tracts and abdominal interventional and radiologic procedures. Case reports are generally not accepted unless they are the first report of a new disease or condition, or part of a special solicited section. Reasons to Publish Your Article in Abdominal Radiology: · Official journal of the Society of Abdominal Radiology (SAR) · Published in Cooperation with: European Society of Gastrointestinal and Abdominal Radiology (ESGAR) European Society of Urogenital Radiology (ESUR) Asian Society of Abdominal Radiology (ASAR) · Efficient handling and Expeditious review · Author feedback is provided in a mentoring style · Global readership · Readers can earn CME credits
×
引用
GB/T 7714-2015
复制
MLA
复制
APA
复制
导出至
BibTeX EndNote RefMan NoteFirst NoteExpress
×
提示
您的信息不完整,为了账户安全,请先补充。
现在去补充
×
提示
您因"违规操作"
具体请查看互助需知
我知道了
×
提示
确定
请完成安全验证×
copy
已复制链接
快去分享给好友吧!
我知道了
右上角分享
点击右上角分享
0
联系我们:info@booksci.cn Book学术提供免费学术资源搜索服务,方便国内外学者检索中英文文献。致力于提供最便捷和优质的服务体验。 Copyright © 2023 布克学术 All rights reserved.
京ICP备2023020795号-1
ghs 京公网安备 11010802042870号
Book学术文献互助
Book学术文献互助群
群 号:604180095
Book学术官方微信