揭示不寻常:罕见生殖细胞肿瘤病例系列。

Current health sciences journal Pub Date : 2024-10-01 Epub Date: 2024-12-31 DOI:10.12865/CHSJ.50.04.14
Asmita Chakrabarti, Shailaja Kumari, Moumita Maiti, Chhanda DAS, Gopinath Barui
{"title":"揭示不寻常:罕见生殖细胞肿瘤病例系列。","authors":"Asmita Chakrabarti, Shailaja Kumari, Moumita Maiti, Chhanda DAS, Gopinath Barui","doi":"10.12865/CHSJ.50.04.14","DOIUrl":null,"url":null,"abstract":"<p><strong>Introduction: </strong>Germ cell tumors (GCTs) are heterogeneous group of neoplasms that arise from primordial germ cells and can occur in various locations, most commonly in the ovaries and testes but can also be found in extra-gonadal sites like retroperitoneum due to developmental errors. These tumors are relatively rare but clinically significant due to their potential for malignancy and association with developmental anomalies.</p><p><strong>Case presentation: </strong>This case series presents four rare and unusual cases of germ cell tumors encountered in both paediatric and adult patients, each with distinctive clinical, radiological, and histopathological features. These cases are unique in their clinical presentation and histomorphological findings, reflecting the diverse spectrum of GCTs across different age groups.</p><p><strong>Conclusion: </strong>These cases underscore the complexity of diagnosis, the role of radiological and histopathological examinations, and the varied management strategies for rare conditions like gonadoblastoma, dysgerminoma, struma ovarii, and fetus-in-fetu.</p>","PeriodicalId":93963,"journal":{"name":"Current health sciences journal","volume":"50 5","pages":"599-606"},"PeriodicalIF":0.0000,"publicationDate":"2024-10-01","publicationTypes":"Journal Article","fieldsOfStudy":null,"isOpenAccess":false,"openAccessPdf":"https://www.ncbi.nlm.nih.gov/pmc/articles/PMC11936066/pdf/","citationCount":"0","resultStr":"{\"title\":\"Unveiling the Uncommon: A Case Series on Rare Germ Cell Tumors.\",\"authors\":\"Asmita Chakrabarti, Shailaja Kumari, Moumita Maiti, Chhanda DAS, Gopinath Barui\",\"doi\":\"10.12865/CHSJ.50.04.14\",\"DOIUrl\":null,\"url\":null,\"abstract\":\"<p><strong>Introduction: </strong>Germ cell tumors (GCTs) are heterogeneous group of neoplasms that arise from primordial germ cells and can occur in various locations, most commonly in the ovaries and testes but can also be found in extra-gonadal sites like retroperitoneum due to developmental errors. These tumors are relatively rare but clinically significant due to their potential for malignancy and association with developmental anomalies.</p><p><strong>Case presentation: </strong>This case series presents four rare and unusual cases of germ cell tumors encountered in both paediatric and adult patients, each with distinctive clinical, radiological, and histopathological features. These cases are unique in their clinical presentation and histomorphological findings, reflecting the diverse spectrum of GCTs across different age groups.</p><p><strong>Conclusion: </strong>These cases underscore the complexity of diagnosis, the role of radiological and histopathological examinations, and the varied management strategies for rare conditions like gonadoblastoma, dysgerminoma, struma ovarii, and fetus-in-fetu.</p>\",\"PeriodicalId\":93963,\"journal\":{\"name\":\"Current health sciences journal\",\"volume\":\"50 5\",\"pages\":\"599-606\"},\"PeriodicalIF\":0.0000,\"publicationDate\":\"2024-10-01\",\"publicationTypes\":\"Journal Article\",\"fieldsOfStudy\":null,\"isOpenAccess\":false,\"openAccessPdf\":\"https://www.ncbi.nlm.nih.gov/pmc/articles/PMC11936066/pdf/\",\"citationCount\":\"0\",\"resultStr\":null,\"platform\":\"Semanticscholar\",\"paperid\":null,\"PeriodicalName\":\"Current health sciences journal\",\"FirstCategoryId\":\"1085\",\"ListUrlMain\":\"https://doi.org/10.12865/CHSJ.50.04.14\",\"RegionNum\":0,\"RegionCategory\":null,\"ArticlePicture\":[],\"TitleCN\":null,\"AbstractTextCN\":null,\"PMCID\":null,\"EPubDate\":\"2024/12/31 0:00:00\",\"PubModel\":\"Epub\",\"JCR\":\"\",\"JCRName\":\"\",\"Score\":null,\"Total\":0}","platform":"Semanticscholar","paperid":null,"PeriodicalName":"Current health sciences journal","FirstCategoryId":"1085","ListUrlMain":"https://doi.org/10.12865/CHSJ.50.04.14","RegionNum":0,"RegionCategory":null,"ArticlePicture":[],"TitleCN":null,"AbstractTextCN":null,"PMCID":null,"EPubDate":"2024/12/31 0:00:00","PubModel":"Epub","JCR":"","JCRName":"","Score":null,"Total":0}
引用次数: 0

摘要

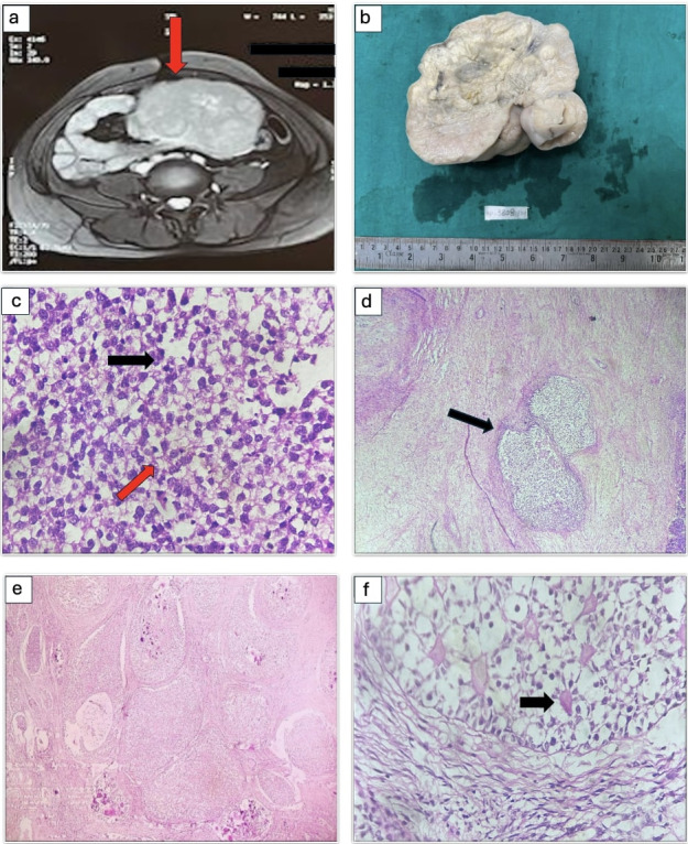
生殖细胞肿瘤(gct)是一种异质性肿瘤,起源于原始生殖细胞,可发生在不同部位,最常见于卵巢和睾丸,但由于发育错误,也可在性腺外部位如腹膜后发现。这些肿瘤相对罕见,但由于其潜在的恶性肿瘤和与发育异常相关的临床意义重大。病例介绍:本病例系列报告了四例罕见和不寻常的生殖细胞肿瘤病例,这些病例发生在儿科和成人患者中,每个病例都有独特的临床、放射学和组织病理学特征。这些病例在临床表现和组织形态学上都是独特的,反映了不同年龄组gct的多样性。结论:这些病例强调了诊断的复杂性,放射学和组织病理学检查的作用,以及对性腺母细胞瘤,生殖细胞异常瘤,卵巢瘤和胎中胎等罕见疾病的各种治疗策略。
本文章由计算机程序翻译,如有差异,请以英文原文为准。

Unveiling the Uncommon: A Case Series on Rare Germ Cell Tumors.

Unveiling the Uncommon: A Case Series on Rare Germ Cell Tumors.

Unveiling the Uncommon: A Case Series on Rare Germ Cell Tumors.

Unveiling the Uncommon: A Case Series on Rare Germ Cell Tumors.

Introduction: Germ cell tumors (GCTs) are heterogeneous group of neoplasms that arise from primordial germ cells and can occur in various locations, most commonly in the ovaries and testes but can also be found in extra-gonadal sites like retroperitoneum due to developmental errors. These tumors are relatively rare but clinically significant due to their potential for malignancy and association with developmental anomalies.

Case presentation: This case series presents four rare and unusual cases of germ cell tumors encountered in both paediatric and adult patients, each with distinctive clinical, radiological, and histopathological features. These cases are unique in their clinical presentation and histomorphological findings, reflecting the diverse spectrum of GCTs across different age groups.

Conclusion: These cases underscore the complexity of diagnosis, the role of radiological and histopathological examinations, and the varied management strategies for rare conditions like gonadoblastoma, dysgerminoma, struma ovarii, and fetus-in-fetu.

求助全文
通过发布文献求助,成功后即可免费获取论文全文。 去求助
来源期刊
自引率
0.00%
发文量
0
×
引用
GB/T 7714-2015
复制
MLA
复制
APA
复制
导出至
BibTeX EndNote RefMan NoteFirst NoteExpress
×
提示
您的信息不完整,为了账户安全,请先补充。
现在去补充
×
提示
您因"违规操作"
具体请查看互助需知
我知道了
×
提示
确定
请完成安全验证×
copy
已复制链接
快去分享给好友吧!
我知道了
右上角分享
点击右上角分享
0
联系我们:info@booksci.cn Book学术提供免费学术资源搜索服务,方便国内外学者检索中英文文献。致力于提供最便捷和优质的服务体验。 Copyright © 2023 布克学术 All rights reserved.
京ICP备2023020795号-1
ghs 京公网安备 11010802042870号
Book学术文献互助
Book学术文献互助群
群 号:604180095
Book学术官方微信