剖宫产术后膀胱外皮瘘1例。

IF 1.7 Q3 OBSTETRICS & GYNECOLOGY
Gynecology and Minimally Invasive Therapy-GMIT Pub Date : 2025-02-27 eCollection Date: 2025-01-01 DOI:10.4103/gmit.gmit_44_24
Seham M Abufraijeh, Seif Jankhout, Basil Al-Tah, Abdallah Daradkeh, Suhaib A Allauzy
{"title":"剖宫产术后膀胱外皮瘘1例。","authors":"Seham M Abufraijeh, Seif Jankhout, Basil Al-Tah, Abdallah Daradkeh, Suhaib A Allauzy","doi":"10.4103/gmit.gmit_44_24","DOIUrl":null,"url":null,"abstract":"<p><p>This case report presents the diagnosis and management of a 41-year-old woman who developed a vesicouterine cutaneous fistula after a cesarean section. She initially presented with pus discharge from the cesarean wound site, and later exhibited cyclical hematuria and fluid leakage from the skin incision, prompting further investigation. Diagnostic modalities, including computed tomography with contrast, confirmed the presence of a complex fistula involving the bladder, uterus, and skin. Conservative management with gonadotropin-releasing hormone therapy was attempted but discontinued due to worsening symptoms. Surgical intervention was performed successfully, leading to the resolution of symptoms. This case underscores the importance of prompt recognition and appropriate management of rare postcesarean complications, emphasizing adherence to anatomical principles.</p>","PeriodicalId":45272,"journal":{"name":"Gynecology and Minimally Invasive Therapy-GMIT","volume":"14 1","pages":"85-88"},"PeriodicalIF":1.7000,"publicationDate":"2025-02-27","publicationTypes":"Journal Article","fieldsOfStudy":null,"isOpenAccess":false,"openAccessPdf":"https://www.ncbi.nlm.nih.gov/pmc/articles/PMC11936398/pdf/","citationCount":"0","resultStr":"{\"title\":\"Vesicouterine Cutaneous Fistula Post-cesarean Section - A Case Report.\",\"authors\":\"Seham M Abufraijeh, Seif Jankhout, Basil Al-Tah, Abdallah Daradkeh, Suhaib A Allauzy\",\"doi\":\"10.4103/gmit.gmit_44_24\",\"DOIUrl\":null,\"url\":null,\"abstract\":\"<p><p>This case report presents the diagnosis and management of a 41-year-old woman who developed a vesicouterine cutaneous fistula after a cesarean section. She initially presented with pus discharge from the cesarean wound site, and later exhibited cyclical hematuria and fluid leakage from the skin incision, prompting further investigation. Diagnostic modalities, including computed tomography with contrast, confirmed the presence of a complex fistula involving the bladder, uterus, and skin. Conservative management with gonadotropin-releasing hormone therapy was attempted but discontinued due to worsening symptoms. Surgical intervention was performed successfully, leading to the resolution of symptoms. This case underscores the importance of prompt recognition and appropriate management of rare postcesarean complications, emphasizing adherence to anatomical principles.</p>\",\"PeriodicalId\":45272,\"journal\":{\"name\":\"Gynecology and Minimally Invasive Therapy-GMIT\",\"volume\":\"14 1\",\"pages\":\"85-88\"},\"PeriodicalIF\":1.7000,\"publicationDate\":\"2025-02-27\",\"publicationTypes\":\"Journal Article\",\"fieldsOfStudy\":null,\"isOpenAccess\":false,\"openAccessPdf\":\"https://www.ncbi.nlm.nih.gov/pmc/articles/PMC11936398/pdf/\",\"citationCount\":\"0\",\"resultStr\":null,\"platform\":\"Semanticscholar\",\"paperid\":null,\"PeriodicalName\":\"Gynecology and Minimally Invasive Therapy-GMIT\",\"FirstCategoryId\":\"1085\",\"ListUrlMain\":\"https://doi.org/10.4103/gmit.gmit_44_24\",\"RegionNum\":0,\"RegionCategory\":null,\"ArticlePicture\":[],\"TitleCN\":null,\"AbstractTextCN\":null,\"PMCID\":null,\"EPubDate\":\"2025/1/1 0:00:00\",\"PubModel\":\"eCollection\",\"JCR\":\"Q3\",\"JCRName\":\"OBSTETRICS & GYNECOLOGY\",\"Score\":null,\"Total\":0}","platform":"Semanticscholar","paperid":null,"PeriodicalName":"Gynecology and Minimally Invasive Therapy-GMIT","FirstCategoryId":"1085","ListUrlMain":"https://doi.org/10.4103/gmit.gmit_44_24","RegionNum":0,"RegionCategory":null,"ArticlePicture":[],"TitleCN":null,"AbstractTextCN":null,"PMCID":null,"EPubDate":"2025/1/1 0:00:00","PubModel":"eCollection","JCR":"Q3","JCRName":"OBSTETRICS & GYNECOLOGY","Score":null,"Total":0}
引用次数: 0

摘要

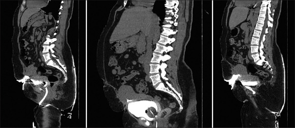
本病例报告介绍了一个41岁的妇女谁发展膀胱外皮瘘剖宫产后的诊断和管理。她最初表现为剖宫产伤口脓液排出,后来出现周期性血尿和皮肤切口液体漏出,需要进一步检查。诊断方式,包括计算机断层扫描造影剂,证实存在一个复杂的瘘管累及膀胱、子宫和皮肤。曾尝试使用促性腺激素释放激素保守治疗,但因症状恶化而停止治疗。手术治疗成功,症状得到缓解。本病例强调了及时识别和适当处理罕见剖宫产后并发症的重要性,强调了遵守解剖学原则。
本文章由计算机程序翻译,如有差异,请以英文原文为准。

Vesicouterine Cutaneous Fistula Post-cesarean Section - A Case Report.

Vesicouterine Cutaneous Fistula Post-cesarean Section - A Case Report.

This case report presents the diagnosis and management of a 41-year-old woman who developed a vesicouterine cutaneous fistula after a cesarean section. She initially presented with pus discharge from the cesarean wound site, and later exhibited cyclical hematuria and fluid leakage from the skin incision, prompting further investigation. Diagnostic modalities, including computed tomography with contrast, confirmed the presence of a complex fistula involving the bladder, uterus, and skin. Conservative management with gonadotropin-releasing hormone therapy was attempted but discontinued due to worsening symptoms. Surgical intervention was performed successfully, leading to the resolution of symptoms. This case underscores the importance of prompt recognition and appropriate management of rare postcesarean complications, emphasizing adherence to anatomical principles.

求助全文
通过发布文献求助,成功后即可免费获取论文全文。 去求助
来源期刊
CiteScore
2.00
自引率
16.70%
发文量
98
审稿时长
52 weeks
×
引用
GB/T 7714-2015
复制
MLA
复制
APA
复制
导出至
BibTeX EndNote RefMan NoteFirst NoteExpress
×
提示
您的信息不完整,为了账户安全,请先补充。
现在去补充
×
提示
您因"违规操作"
具体请查看互助需知
我知道了
×
提示
确定
请完成安全验证×
copy
已复制链接
快去分享给好友吧!
我知道了
右上角分享
点击右上角分享
0
联系我们:info@booksci.cn Book学术提供免费学术资源搜索服务,方便国内外学者检索中英文文献。致力于提供最便捷和优质的服务体验。 Copyright © 2023 布克学术 All rights reserved.
京ICP备2023020795号-1
ghs 京公网安备 11010802042870号
Book学术文献互助
Book学术文献互助群
群 号:604180095
Book学术官方微信