健康和肺气肿患者吸气和呼气的暗场胸片信号特征。

IF 3.6 Q1 RADIOLOGY, NUCLEAR MEDICINE & MEDICAL IMAGING
Theresa Urban, Florian T Gassert, Manuela Frank, Rafael Schick, Henriette Bast, Jannis Bodden, Alexander W Marka, Lisa Steinhelfer, Manuel Steinhardt, Andreas Sauter, Alexander Fingerle, Gregor S Zimmermann, Thomas Koehler, Marcus R Makowski, Daniela Pfeiffer, Franz Pfeiffer
{"title":"健康和肺气肿患者吸气和呼气的暗场胸片信号特征。","authors":"Theresa Urban, Florian T Gassert, Manuela Frank, Rafael Schick, Henriette Bast, Jannis Bodden, Alexander W Marka, Lisa Steinhelfer, Manuel Steinhardt, Andreas Sauter, Alexander Fingerle, Gregor S Zimmermann, Thomas Koehler, Marcus R Makowski, Daniela Pfeiffer, Franz Pfeiffer","doi":"10.1186/s41747-025-00578-x","DOIUrl":null,"url":null,"abstract":"<p><strong>Background: </strong>Dark-field chest radiography is sensitive to the lung alveolar structure. We evaluated the change of dark-field signal between inspiration and expiration.</p><p><strong>Methods: </strong>From 2018 to 2020, patients who underwent chest computed tomography (CT) were prospectively enrolled, excluding those with any lung condition besides emphysema visible on CT. Participants were imaged in both inspiration and expiration with a prototype dark-field chest radiography system. We calculated the total dark-field signal ∑DF and the dark-field coefficient ϵ, assumed to be proportional to the total number of alveoli and the alveolar density, respectively.</p><p><strong>Results: </strong>Eighty-eight subjects, aged 64 years ± 11 (mean ± standard deviation), 55 males, were enrolled. Dark-field signal in the lung projection appeared higher in expiration compared to inspiration. Over all participants, ∑DF was higher in inspiration (1.6 × 10<sup>-2</sup> ± 0.4 × 10<sup>-2</sup> m<sup>2</sup>) compared to expiration (1.5 × 10<sup>-2</sup> ± 0.4 m<sup>2</sup>) (p < 0.001), with its expiration-to-inspiration not ratio being different for any emphysema subgroup. The dark-field coefficient ϵ was lower in inspiration (2.3 ± 0.6 m<sup>-1</sup>) compared to expiration (3.1 ± 1.1 m<sup>-1</sup>) (p < 0.001) over all participants. The dark-field coefficient in inspiration and expiration, as well as their ratio, was lower for at least moderate emphysema when compared to the control group (e.g., ϵ = 2.5 ± 1.0 m<sup>-1</sup> for moderate emphysema in expiration versus ϵ = 3.6 ± 0.7 m<sup>-1</sup> for participants without emphysema (p = 0.003).</p><p><strong>Conclusion: </strong>The dark-field signal depends on the breathing state. Differences between breathing states are influenced by emphysema severity.</p><p><strong>Relevance statement: </strong>The patient's breathing state influences the dark-field chest radiograph, potentially impacting its diagnostic value.</p><p><strong>Key points: </strong>Signal characteristics in dark-field chest radiography change between inspiration and expiration. The total dark-field signal decreases slightly from inspiration to expiration, while the dark-field coefficient increases substantially. The ratio of the total dark-field signal between expiration and inspiration is independent of emphysema severity, whereas the ratio of the dark-field coefficient depends on emphysema severity.</p>","PeriodicalId":36926,"journal":{"name":"European Radiology Experimental","volume":"9 1","pages":"40"},"PeriodicalIF":3.6000,"publicationDate":"2025-03-27","publicationTypes":"Journal Article","fieldsOfStudy":null,"isOpenAccess":false,"openAccessPdf":"https://www.ncbi.nlm.nih.gov/pmc/articles/PMC11950489/pdf/","citationCount":"0","resultStr":"{\"title\":\"Dark-field chest radiography signal characteristics in inspiration and expiration in healthy and emphysematous subjects.\",\"authors\":\"Theresa Urban, Florian T Gassert, Manuela Frank, Rafael Schick, Henriette Bast, Jannis Bodden, Alexander W Marka, Lisa Steinhelfer, Manuel Steinhardt, Andreas Sauter, Alexander Fingerle, Gregor S Zimmermann, Thomas Koehler, Marcus R Makowski, Daniela Pfeiffer, Franz Pfeiffer\",\"doi\":\"10.1186/s41747-025-00578-x\",\"DOIUrl\":null,\"url\":null,\"abstract\":\"<p><strong>Background: </strong>Dark-field chest radiography is sensitive to the lung alveolar structure. We evaluated the change of dark-field signal between inspiration and expiration.</p><p><strong>Methods: </strong>From 2018 to 2020, patients who underwent chest computed tomography (CT) were prospectively enrolled, excluding those with any lung condition besides emphysema visible on CT. Participants were imaged in both inspiration and expiration with a prototype dark-field chest radiography system. We calculated the total dark-field signal ∑DF and the dark-field coefficient ϵ, assumed to be proportional to the total number of alveoli and the alveolar density, respectively.</p><p><strong>Results: </strong>Eighty-eight subjects, aged 64 years ± 11 (mean ± standard deviation), 55 males, were enrolled. Dark-field signal in the lung projection appeared higher in expiration compared to inspiration. Over all participants, ∑DF was higher in inspiration (1.6 × 10<sup>-2</sup> ± 0.4 × 10<sup>-2</sup> m<sup>2</sup>) compared to expiration (1.5 × 10<sup>-2</sup> ± 0.4 m<sup>2</sup>) (p < 0.001), with its expiration-to-inspiration not ratio being different for any emphysema subgroup. The dark-field coefficient ϵ was lower in inspiration (2.3 ± 0.6 m<sup>-1</sup>) compared to expiration (3.1 ± 1.1 m<sup>-1</sup>) (p < 0.001) over all participants. The dark-field coefficient in inspiration and expiration, as well as their ratio, was lower for at least moderate emphysema when compared to the control group (e.g., ϵ = 2.5 ± 1.0 m<sup>-1</sup> for moderate emphysema in expiration versus ϵ = 3.6 ± 0.7 m<sup>-1</sup> for participants without emphysema (p = 0.003).</p><p><strong>Conclusion: </strong>The dark-field signal depends on the breathing state. Differences between breathing states are influenced by emphysema severity.</p><p><strong>Relevance statement: </strong>The patient's breathing state influences the dark-field chest radiograph, potentially impacting its diagnostic value.</p><p><strong>Key points: </strong>Signal characteristics in dark-field chest radiography change between inspiration and expiration. The total dark-field signal decreases slightly from inspiration to expiration, while the dark-field coefficient increases substantially. The ratio of the total dark-field signal between expiration and inspiration is independent of emphysema severity, whereas the ratio of the dark-field coefficient depends on emphysema severity.</p>\",\"PeriodicalId\":36926,\"journal\":{\"name\":\"European Radiology Experimental\",\"volume\":\"9 1\",\"pages\":\"40\"},\"PeriodicalIF\":3.6000,\"publicationDate\":\"2025-03-27\",\"publicationTypes\":\"Journal Article\",\"fieldsOfStudy\":null,\"isOpenAccess\":false,\"openAccessPdf\":\"https://www.ncbi.nlm.nih.gov/pmc/articles/PMC11950489/pdf/\",\"citationCount\":\"0\",\"resultStr\":null,\"platform\":\"Semanticscholar\",\"paperid\":null,\"PeriodicalName\":\"European Radiology Experimental\",\"FirstCategoryId\":\"1085\",\"ListUrlMain\":\"https://doi.org/10.1186/s41747-025-00578-x\",\"RegionNum\":0,\"RegionCategory\":null,\"ArticlePicture\":[],\"TitleCN\":null,\"AbstractTextCN\":null,\"PMCID\":null,\"EPubDate\":\"\",\"PubModel\":\"\",\"JCR\":\"Q1\",\"JCRName\":\"RADIOLOGY, NUCLEAR MEDICINE & MEDICAL IMAGING\",\"Score\":null,\"Total\":0}","platform":"Semanticscholar","paperid":null,"PeriodicalName":"European Radiology Experimental","FirstCategoryId":"1085","ListUrlMain":"https://doi.org/10.1186/s41747-025-00578-x","RegionNum":0,"RegionCategory":null,"ArticlePicture":[],"TitleCN":null,"AbstractTextCN":null,"PMCID":null,"EPubDate":"","PubModel":"","JCR":"Q1","JCRName":"RADIOLOGY, NUCLEAR MEDICINE & MEDICAL IMAGING","Score":null,"Total":0}
引用次数: 0

摘要

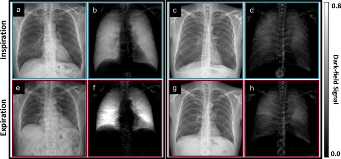
背景:暗场胸片对肺泡结构敏感。我们评估了吸气和呼气时暗场信号的变化。方法:前瞻性纳入2018 - 2020年行胸部计算机断层扫描(CT)的患者,不包括CT上可见的肺气肿以外的任何肺部疾病。参与者在吸气和呼气时使用原型暗场胸部x线摄影系统进行成像。我们计算了总暗场信号∑DF和暗场系数λ,假设它们分别与肺泡总数和肺泡密度成正比。结果:入组88例,年龄64岁±11岁(平均±标准差),男性55例。呼气时肺投影暗场信号明显高于吸气时。在所有参与者中,∑DF吸气(1.6 × 10-2±0.4 × 10-2 m2)高于呼气(1.5 × 10-2±0.4 m2) (p -1)高于呼气(3.1±1.1 m-1)(中度肺气肿呼气时p -1,而无肺气肿呼气时∑DF = 3.6±0.7 m-1 (p = 0.003)。结论:暗场信号与呼吸状态有关。呼吸状态的差异受肺气肿严重程度的影响。相关性声明:患者的呼吸状态影响暗场胸片,可能影响其诊断价值。重点:暗场胸片吸气与呼气变化的信号特征。从吸气到呼气,总暗场信号略有减小,而暗场系数则显著增大。呼气与吸气总暗场信号之比与肺气肿严重程度无关,而暗场系数之比与肺气肿严重程度有关。
本文章由计算机程序翻译,如有差异,请以英文原文为准。

Dark-field chest radiography signal characteristics in inspiration and expiration in healthy and emphysematous subjects.

Dark-field chest radiography signal characteristics in inspiration and expiration in healthy and emphysematous subjects.

Dark-field chest radiography signal characteristics in inspiration and expiration in healthy and emphysematous subjects.

Dark-field chest radiography signal characteristics in inspiration and expiration in healthy and emphysematous subjects.

Background: Dark-field chest radiography is sensitive to the lung alveolar structure. We evaluated the change of dark-field signal between inspiration and expiration.

Methods: From 2018 to 2020, patients who underwent chest computed tomography (CT) were prospectively enrolled, excluding those with any lung condition besides emphysema visible on CT. Participants were imaged in both inspiration and expiration with a prototype dark-field chest radiography system. We calculated the total dark-field signal ∑DF and the dark-field coefficient ϵ, assumed to be proportional to the total number of alveoli and the alveolar density, respectively.

Results: Eighty-eight subjects, aged 64 years ± 11 (mean ± standard deviation), 55 males, were enrolled. Dark-field signal in the lung projection appeared higher in expiration compared to inspiration. Over all participants, ∑DF was higher in inspiration (1.6 × 10-2 ± 0.4 × 10-2 m2) compared to expiration (1.5 × 10-2 ± 0.4 m2) (p < 0.001), with its expiration-to-inspiration not ratio being different for any emphysema subgroup. The dark-field coefficient ϵ was lower in inspiration (2.3 ± 0.6 m-1) compared to expiration (3.1 ± 1.1 m-1) (p < 0.001) over all participants. The dark-field coefficient in inspiration and expiration, as well as their ratio, was lower for at least moderate emphysema when compared to the control group (e.g., ϵ = 2.5 ± 1.0 m-1 for moderate emphysema in expiration versus ϵ = 3.6 ± 0.7 m-1 for participants without emphysema (p = 0.003).

Conclusion: The dark-field signal depends on the breathing state. Differences between breathing states are influenced by emphysema severity.

Relevance statement: The patient's breathing state influences the dark-field chest radiograph, potentially impacting its diagnostic value.

Key points: Signal characteristics in dark-field chest radiography change between inspiration and expiration. The total dark-field signal decreases slightly from inspiration to expiration, while the dark-field coefficient increases substantially. The ratio of the total dark-field signal between expiration and inspiration is independent of emphysema severity, whereas the ratio of the dark-field coefficient depends on emphysema severity.

求助全文
通过发布文献求助,成功后即可免费获取论文全文。 去求助
来源期刊
European Radiology Experimental
European Radiology Experimental Medicine-Radiology, Nuclear Medicine and Imaging
CiteScore
6.70
自引率
2.60%
发文量
56
审稿时长
18 weeks
×
引用
GB/T 7714-2015
复制
MLA
复制
APA
复制
导出至
BibTeX EndNote RefMan NoteFirst NoteExpress
×
提示
您的信息不完整,为了账户安全,请先补充。
现在去补充
×
提示
您因"违规操作"
具体请查看互助需知
我知道了
×
提示
确定
请完成安全验证×
copy
已复制链接
快去分享给好友吧!
我知道了
右上角分享
点击右上角分享
0
联系我们:info@booksci.cn Book学术提供免费学术资源搜索服务,方便国内外学者检索中英文文献。致力于提供最便捷和优质的服务体验。 Copyright © 2023 布克学术 All rights reserved.
京ICP备2023020795号-1
ghs 京公网安备 11010802042870号
Book学术文献互助
Book学术文献互助群
群 号:604180095
Book学术官方微信