常染色体显性遗传性多囊肾病致多发性肝囊肿的死亡供肝移植后发生气肿1例报告。

IF 0.7 Q4 SURGERY
Surgical Case Reports Pub Date : 2025-01-01 Epub Date: 2025-03-25 DOI:10.70352/scrj.cr.24-0005
Atsushi Yoshiyama, Mitsuaki Kawashima, Sodai Nagata, Takahito Fukushima, Koji Aze, Yue Cong, Keita Nakao, Masayuki Nakao, Gouji Toyokawa, Chihiro Konoeda, Kiyoshi Hasegawa, Masaaki Sato
{"title":"常染色体显性遗传性多囊肾病致多发性肝囊肿的死亡供肝移植后发生气肿1例报告。","authors":"Atsushi Yoshiyama, Mitsuaki Kawashima, Sodai Nagata, Takahito Fukushima, Koji Aze, Yue Cong, Keita Nakao, Masayuki Nakao, Gouji Toyokawa, Chihiro Konoeda, Kiyoshi Hasegawa, Masaaki Sato","doi":"10.70352/scrj.cr.24-0005","DOIUrl":null,"url":null,"abstract":"<p><strong>Introduction: </strong>A pneumatocele is a cystic change in the lung that can develop as a sequelae of infection, inflammation, positive-pressure ventilation, thoracic trauma, and rarely after lung resection. Pneumatocele development triggered by an extrathoracic etiology is rare. Herein, we report a case of a pneumatocele that developed after a deceased-donor liver transplantation.</p><p><strong>Case presentation: </strong>A 57-year-old woman with a diagnosis of autosomal dominant polycystic kidney disease underwent deceased-donor liver transplantation for polycystic liver disease. She did not have any background lung disease, although her right lower lobe was mostly atelectatic due to a remarkably elevated diaphragm. The liver transplant itself was uneventful. A small hole was made in the right diaphragm during the dissection of the liver, but it was successfully repaired without any injury to the lung. On postoperative day 1, the chest radiograph revealed a round hypertranslucency on the right side, which was initially considered subphrenic air retention, and no further evaluation was made at that time. Given that the hypertranslucency persisted, follow-up computed tomography was performed on postoperative day 18, and revealed an air-fluid level above the diaphragm in the right thoracic cavity. Thoracoscopic investigation revealed an intrathoracic hematoma within a pneumatocele in the right lower lobe, which was not detected in the pretransplant computed tomography. The hematoma was removed, and the pneumatocele was resected.</p><p><strong>Conclusions: </strong>We experienced a case of a pneumatocele that developed after deceased-donor liver transplantation for multiple hepatic cysts due to autosomal dominant polycystic kidney disease. Although the mechanisms are speculative, the pneumatocele might have been triggered by the sudden alleviation of the elevated diaphragm and reinflation of the atelectatic lung.</p>","PeriodicalId":22096,"journal":{"name":"Surgical Case Reports","volume":"11 1","pages":""},"PeriodicalIF":0.7000,"publicationDate":"2025-01-01","publicationTypes":"Journal Article","fieldsOfStudy":null,"isOpenAccess":false,"openAccessPdf":"https://www.ncbi.nlm.nih.gov/pmc/articles/PMC11937134/pdf/","citationCount":"0","resultStr":"{\"title\":\"Pneumatocele Development after Deceased-Donor Liver Transplantation for Multiple Hepatic Cysts due to Autosomal Dominant Polycystic Kidney Disease: A Case Report.\",\"authors\":\"Atsushi Yoshiyama, Mitsuaki Kawashima, Sodai Nagata, Takahito Fukushima, Koji Aze, Yue Cong, Keita Nakao, Masayuki Nakao, Gouji Toyokawa, Chihiro Konoeda, Kiyoshi Hasegawa, Masaaki Sato\",\"doi\":\"10.70352/scrj.cr.24-0005\",\"DOIUrl\":null,\"url\":null,\"abstract\":\"<p><strong>Introduction: </strong>A pneumatocele is a cystic change in the lung that can develop as a sequelae of infection, inflammation, positive-pressure ventilation, thoracic trauma, and rarely after lung resection. Pneumatocele development triggered by an extrathoracic etiology is rare. Herein, we report a case of a pneumatocele that developed after a deceased-donor liver transplantation.</p><p><strong>Case presentation: </strong>A 57-year-old woman with a diagnosis of autosomal dominant polycystic kidney disease underwent deceased-donor liver transplantation for polycystic liver disease. She did not have any background lung disease, although her right lower lobe was mostly atelectatic due to a remarkably elevated diaphragm. The liver transplant itself was uneventful. A small hole was made in the right diaphragm during the dissection of the liver, but it was successfully repaired without any injury to the lung. On postoperative day 1, the chest radiograph revealed a round hypertranslucency on the right side, which was initially considered subphrenic air retention, and no further evaluation was made at that time. Given that the hypertranslucency persisted, follow-up computed tomography was performed on postoperative day 18, and revealed an air-fluid level above the diaphragm in the right thoracic cavity. Thoracoscopic investigation revealed an intrathoracic hematoma within a pneumatocele in the right lower lobe, which was not detected in the pretransplant computed tomography. The hematoma was removed, and the pneumatocele was resected.</p><p><strong>Conclusions: </strong>We experienced a case of a pneumatocele that developed after deceased-donor liver transplantation for multiple hepatic cysts due to autosomal dominant polycystic kidney disease. Although the mechanisms are speculative, the pneumatocele might have been triggered by the sudden alleviation of the elevated diaphragm and reinflation of the atelectatic lung.</p>\",\"PeriodicalId\":22096,\"journal\":{\"name\":\"Surgical Case Reports\",\"volume\":\"11 1\",\"pages\":\"\"},\"PeriodicalIF\":0.7000,\"publicationDate\":\"2025-01-01\",\"publicationTypes\":\"Journal Article\",\"fieldsOfStudy\":null,\"isOpenAccess\":false,\"openAccessPdf\":\"https://www.ncbi.nlm.nih.gov/pmc/articles/PMC11937134/pdf/\",\"citationCount\":\"0\",\"resultStr\":null,\"platform\":\"Semanticscholar\",\"paperid\":null,\"PeriodicalName\":\"Surgical Case Reports\",\"FirstCategoryId\":\"1085\",\"ListUrlMain\":\"https://doi.org/10.70352/scrj.cr.24-0005\",\"RegionNum\":0,\"RegionCategory\":null,\"ArticlePicture\":[],\"TitleCN\":null,\"AbstractTextCN\":null,\"PMCID\":null,\"EPubDate\":\"2025/3/25 0:00:00\",\"PubModel\":\"Epub\",\"JCR\":\"Q4\",\"JCRName\":\"SURGERY\",\"Score\":null,\"Total\":0}","platform":"Semanticscholar","paperid":null,"PeriodicalName":"Surgical Case Reports","FirstCategoryId":"1085","ListUrlMain":"https://doi.org/10.70352/scrj.cr.24-0005","RegionNum":0,"RegionCategory":null,"ArticlePicture":[],"TitleCN":null,"AbstractTextCN":null,"PMCID":null,"EPubDate":"2025/3/25 0:00:00","PubModel":"Epub","JCR":"Q4","JCRName":"SURGERY","Score":null,"Total":0}
引用次数: 0

摘要

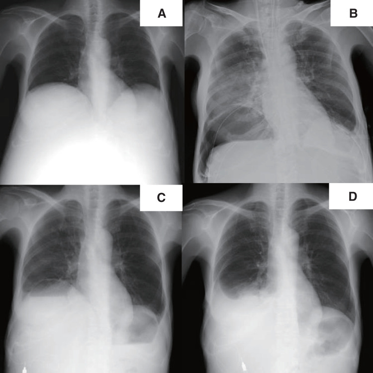
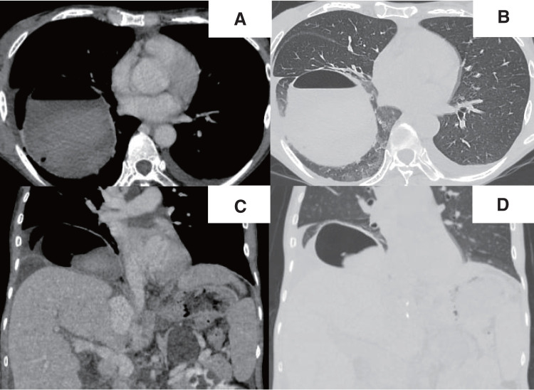
简介:肺膨出是一种肺部囊性改变,可作为感染、炎症、正压通气、胸部创伤的后遗症,很少在肺切除术后发生。由胸外病因引起的气肿发展是罕见的。在此,我们报告一例在死亡供体肝移植后发生的气腹膨出。病例介绍:一名确诊为常染色体显性多囊肾病的57岁女性,因多囊肝病接受了已故供体肝移植。她没有任何肺部背景疾病,但由于膈肌明显升高,她的右下肺叶大部分不张。肝移植手术本身很平淡。在肝脏剥离过程中,右侧横膈膜出现了一个小洞,但它被成功修复,没有对肺造成任何损伤。术后第1天胸片示右侧圆形超透,初步考虑膈下空气潴留,当时未作进一步评价。考虑到高透光性持续存在,术后第18天进行了随访的计算机断层扫描,发现右胸腔膈上方有一个气液面。胸腔镜检查显示右下叶肺膨出处胸内血肿,移植前计算机断层扫描未发现。血肿切除,气腹切除。结论:我们报告了一例因常染色体显性多囊肾病而导致的多发性肝囊肿的死亡供肝移植后发生的气腹膨出。虽然机制是推测性的,但气膨出可能是由膈肌升高的突然减轻和肺不张的再膨胀引起的。
本文章由计算机程序翻译,如有差异,请以英文原文为准。

Pneumatocele Development after Deceased-Donor Liver Transplantation for Multiple Hepatic Cysts due to Autosomal Dominant Polycystic Kidney Disease: A Case Report.

Pneumatocele Development after Deceased-Donor Liver Transplantation for Multiple Hepatic Cysts due to Autosomal Dominant Polycystic Kidney Disease: A Case Report.

Pneumatocele Development after Deceased-Donor Liver Transplantation for Multiple Hepatic Cysts due to Autosomal Dominant Polycystic Kidney Disease: A Case Report.

Pneumatocele Development after Deceased-Donor Liver Transplantation for Multiple Hepatic Cysts due to Autosomal Dominant Polycystic Kidney Disease: A Case Report.

Introduction: A pneumatocele is a cystic change in the lung that can develop as a sequelae of infection, inflammation, positive-pressure ventilation, thoracic trauma, and rarely after lung resection. Pneumatocele development triggered by an extrathoracic etiology is rare. Herein, we report a case of a pneumatocele that developed after a deceased-donor liver transplantation.

Case presentation: A 57-year-old woman with a diagnosis of autosomal dominant polycystic kidney disease underwent deceased-donor liver transplantation for polycystic liver disease. She did not have any background lung disease, although her right lower lobe was mostly atelectatic due to a remarkably elevated diaphragm. The liver transplant itself was uneventful. A small hole was made in the right diaphragm during the dissection of the liver, but it was successfully repaired without any injury to the lung. On postoperative day 1, the chest radiograph revealed a round hypertranslucency on the right side, which was initially considered subphrenic air retention, and no further evaluation was made at that time. Given that the hypertranslucency persisted, follow-up computed tomography was performed on postoperative day 18, and revealed an air-fluid level above the diaphragm in the right thoracic cavity. Thoracoscopic investigation revealed an intrathoracic hematoma within a pneumatocele in the right lower lobe, which was not detected in the pretransplant computed tomography. The hematoma was removed, and the pneumatocele was resected.

Conclusions: We experienced a case of a pneumatocele that developed after deceased-donor liver transplantation for multiple hepatic cysts due to autosomal dominant polycystic kidney disease. Although the mechanisms are speculative, the pneumatocele might have been triggered by the sudden alleviation of the elevated diaphragm and reinflation of the atelectatic lung.

求助全文
通过发布文献求助,成功后即可免费获取论文全文。 去求助
来源期刊
自引率
0.00%
发文量
218
审稿时长
13 weeks
×
引用
GB/T 7714-2015
复制
MLA
复制
APA
复制
导出至
BibTeX EndNote RefMan NoteFirst NoteExpress
×
提示
您的信息不完整,为了账户安全,请先补充。
现在去补充
×
提示
您因"违规操作"
具体请查看互助需知
我知道了
×
提示
确定
请完成安全验证×
copy
已复制链接
快去分享给好友吧!
我知道了
右上角分享
点击右上角分享
0
联系我们:info@booksci.cn Book学术提供免费学术资源搜索服务,方便国内外学者检索中英文文献。致力于提供最便捷和优质的服务体验。 Copyright © 2023 布克学术 All rights reserved.
京ICP备2023020795号-1
ghs 京公网安备 11010802042870号
Book学术文献互助
Book学术文献互助群
群 号:604180095
Book学术官方微信