仿畸胎性肺癌肉瘤1例报告。

IF 3.4 4区 医学 Q2 PATHOLOGY
Pathology International Pub Date : 2025-04-01 Epub Date: 2025-03-27 DOI:10.1111/pin.70006
Naoko Shigeta, Tomoyuki Yokose, Tetsuya Isaka, Takuya Nagashima, Haruhiro Saito, Hiroyuki Ito, Aya Saito
{"title":"仿畸胎性肺癌肉瘤1例报告。","authors":"Naoko Shigeta, Tomoyuki Yokose, Tetsuya Isaka, Takuya Nagashima, Haruhiro Saito, Hiroyuki Ito, Aya Saito","doi":"10.1111/pin.70006","DOIUrl":null,"url":null,"abstract":"<p><p>Pulmonary carcinosarcoma is a rare tumor composed of non-small-cell carcinomas and sarcomatous elements, which is poorly differentiated in most cases. We present a case of carcinosarcoma with a well-differentiated carcinomatous component that required a differential diagnosis from tumors derived from teratomas, such as teratocarcinosarcoma. We present a case of a 68-year-old man who visited our hospital for an examination of a 22-mm lung tumor. The patient underwent left S1+2 segmentectomy, and his postoperative course was uneventful. No recurrence was observed in the 21-month postoperative follow-up period. The segmentectomy specimen revealed a yellow-white, well-circumscribed mass. The tumor consisted of well-differentiated squamous and glandular epithelia, and sarcomatous components of immature spindle cells, chondrosarcoma, and rhabdomyosarcoma. The patient was diagnosed with carcinosarcoma. This case included well-differentiated carcinomatous components, and it was necessary to differentiate it from teratocarcinosarcomas. There was no neural component, and without SMARCA4 loss, which is observed in teratocarcinosarcoma, and ruled out teratocarcinosarcoma. Carcinosarcomas are characterized by a biphasic histopathological pattern, making it difficult to accurately diagnose them on biopsy, which only captures a portion of the tumor. The possibility of carcinosarcoma should be considered even when the tumors derived from teratomas are suspected on preoperative biopsy.</p>","PeriodicalId":19806,"journal":{"name":"Pathology International","volume":" ","pages":"196-202"},"PeriodicalIF":3.4000,"publicationDate":"2025-04-01","publicationTypes":"Journal Article","fieldsOfStudy":null,"isOpenAccess":false,"openAccessPdf":"https://www.ncbi.nlm.nih.gov/pmc/articles/PMC11995838/pdf/","citationCount":"0","resultStr":"{\"title\":\"Pulmonary Carcinosarcoma Imitating Teratocarcinosarcoma: A Case Report.\",\"authors\":\"Naoko Shigeta, Tomoyuki Yokose, Tetsuya Isaka, Takuya Nagashima, Haruhiro Saito, Hiroyuki Ito, Aya Saito\",\"doi\":\"10.1111/pin.70006\",\"DOIUrl\":null,\"url\":null,\"abstract\":\"<p><p>Pulmonary carcinosarcoma is a rare tumor composed of non-small-cell carcinomas and sarcomatous elements, which is poorly differentiated in most cases. We present a case of carcinosarcoma with a well-differentiated carcinomatous component that required a differential diagnosis from tumors derived from teratomas, such as teratocarcinosarcoma. We present a case of a 68-year-old man who visited our hospital for an examination of a 22-mm lung tumor. The patient underwent left S1+2 segmentectomy, and his postoperative course was uneventful. No recurrence was observed in the 21-month postoperative follow-up period. The segmentectomy specimen revealed a yellow-white, well-circumscribed mass. The tumor consisted of well-differentiated squamous and glandular epithelia, and sarcomatous components of immature spindle cells, chondrosarcoma, and rhabdomyosarcoma. The patient was diagnosed with carcinosarcoma. This case included well-differentiated carcinomatous components, and it was necessary to differentiate it from teratocarcinosarcomas. There was no neural component, and without SMARCA4 loss, which is observed in teratocarcinosarcoma, and ruled out teratocarcinosarcoma. Carcinosarcomas are characterized by a biphasic histopathological pattern, making it difficult to accurately diagnose them on biopsy, which only captures a portion of the tumor. The possibility of carcinosarcoma should be considered even when the tumors derived from teratomas are suspected on preoperative biopsy.</p>\",\"PeriodicalId\":19806,\"journal\":{\"name\":\"Pathology International\",\"volume\":\" \",\"pages\":\"196-202\"},\"PeriodicalIF\":3.4000,\"publicationDate\":\"2025-04-01\",\"publicationTypes\":\"Journal Article\",\"fieldsOfStudy\":null,\"isOpenAccess\":false,\"openAccessPdf\":\"https://www.ncbi.nlm.nih.gov/pmc/articles/PMC11995838/pdf/\",\"citationCount\":\"0\",\"resultStr\":null,\"platform\":\"Semanticscholar\",\"paperid\":null,\"PeriodicalName\":\"Pathology International\",\"FirstCategoryId\":\"3\",\"ListUrlMain\":\"https://doi.org/10.1111/pin.70006\",\"RegionNum\":4,\"RegionCategory\":\"医学\",\"ArticlePicture\":[],\"TitleCN\":null,\"AbstractTextCN\":null,\"PMCID\":null,\"EPubDate\":\"2025/3/27 0:00:00\",\"PubModel\":\"Epub\",\"JCR\":\"Q2\",\"JCRName\":\"PATHOLOGY\",\"Score\":null,\"Total\":0}","platform":"Semanticscholar","paperid":null,"PeriodicalName":"Pathology International","FirstCategoryId":"3","ListUrlMain":"https://doi.org/10.1111/pin.70006","RegionNum":4,"RegionCategory":"医学","ArticlePicture":[],"TitleCN":null,"AbstractTextCN":null,"PMCID":null,"EPubDate":"2025/3/27 0:00:00","PubModel":"Epub","JCR":"Q2","JCRName":"PATHOLOGY","Score":null,"Total":0}
引用次数: 0

摘要

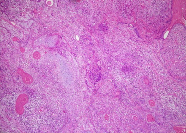
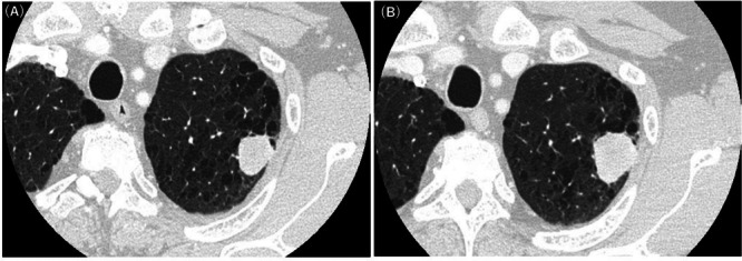
肺癌肉瘤是一种罕见的由非小细胞癌和肉瘤成分组成的肿瘤,大多数病例分化较差。我们报告一例具有分化良好的癌性成分的癌性肉瘤,需要与畸胎瘤衍生的肿瘤进行鉴别诊断,如畸胎瘤癌性肉瘤。我们提出一个68岁的男性病例,他到我们医院检查一个22毫米的肺肿瘤。患者行左侧S1+2节段切除术,术后过程平稳。术后21个月随访未见复发。节段切除术标本显示一个黄白色、边界清楚的肿块。肿瘤包括分化良好的鳞状上皮和腺状上皮,以及未成熟梭形细胞、软骨肉瘤和横纹肌肉瘤的肉瘤成分。病人被诊断为癌肉瘤。本病例包含分化良好的癌成分,有必要将其与畸胎瘤肉瘤区分开来。没有神经成分,没有在畸胎癌肉瘤中观察到的SMARCA4丢失,排除了畸胎癌肉瘤。癌肉瘤的特点是双期组织病理学模式,这使得很难在活检中准确诊断,活检只能捕获肿瘤的一部分。即使术前活检怀疑畸胎瘤衍生的肿瘤,也应考虑癌肉瘤的可能性。
本文章由计算机程序翻译,如有差异,请以英文原文为准。

Pulmonary Carcinosarcoma Imitating Teratocarcinosarcoma: A Case Report.

Pulmonary Carcinosarcoma Imitating Teratocarcinosarcoma: A Case Report.

Pulmonary Carcinosarcoma Imitating Teratocarcinosarcoma: A Case Report.

Pulmonary Carcinosarcoma Imitating Teratocarcinosarcoma: A Case Report.

Pulmonary carcinosarcoma is a rare tumor composed of non-small-cell carcinomas and sarcomatous elements, which is poorly differentiated in most cases. We present a case of carcinosarcoma with a well-differentiated carcinomatous component that required a differential diagnosis from tumors derived from teratomas, such as teratocarcinosarcoma. We present a case of a 68-year-old man who visited our hospital for an examination of a 22-mm lung tumor. The patient underwent left S1+2 segmentectomy, and his postoperative course was uneventful. No recurrence was observed in the 21-month postoperative follow-up period. The segmentectomy specimen revealed a yellow-white, well-circumscribed mass. The tumor consisted of well-differentiated squamous and glandular epithelia, and sarcomatous components of immature spindle cells, chondrosarcoma, and rhabdomyosarcoma. The patient was diagnosed with carcinosarcoma. This case included well-differentiated carcinomatous components, and it was necessary to differentiate it from teratocarcinosarcomas. There was no neural component, and without SMARCA4 loss, which is observed in teratocarcinosarcoma, and ruled out teratocarcinosarcoma. Carcinosarcomas are characterized by a biphasic histopathological pattern, making it difficult to accurately diagnose them on biopsy, which only captures a portion of the tumor. The possibility of carcinosarcoma should be considered even when the tumors derived from teratomas are suspected on preoperative biopsy.

求助全文
通过发布文献求助,成功后即可免费获取论文全文。 去求助
来源期刊
Pathology International
Pathology International 医学-病理学
CiteScore
4.50
自引率
4.50%
发文量
102
审稿时长
12 months
期刊介绍: Pathology International is the official English journal of the Japanese Society of Pathology, publishing articles of excellence in human and experimental pathology. The Journal focuses on the morphological study of the disease process and/or mechanisms. For human pathology, morphological investigation receives priority but manuscripts describing the result of any ancillary methods (cellular, chemical, immunological and molecular biological) that complement the morphology are accepted. Manuscript on experimental pathology that approach pathologenesis or mechanisms of disease processes are expected to report on the data obtained from models using cellular, biochemical, molecular biological, animal, immunological or other methods in conjunction with morphology. Manuscripts that report data on laboratory medicine (clinical pathology) without significant morphological contribution are not accepted.
×
引用
GB/T 7714-2015
复制
MLA
复制
APA
复制
导出至
BibTeX EndNote RefMan NoteFirst NoteExpress
×
提示
您的信息不完整,为了账户安全,请先补充。
现在去补充
×
提示
您因"违规操作"
具体请查看互助需知
我知道了
×
提示
确定
请完成安全验证×
copy
已复制链接
快去分享给好友吧!
我知道了
右上角分享
点击右上角分享
0
联系我们:info@booksci.cn Book学术提供免费学术资源搜索服务,方便国内外学者检索中英文文献。致力于提供最便捷和优质的服务体验。 Copyright © 2023 布克学术 All rights reserved.
京ICP备2023020795号-1
ghs 京公网安备 11010802042870号
Book学术文献互助
Book学术文献互助群
群 号:604180095
Book学术官方微信