山羊地方性鼻腺癌的病理特点。

IF 1.5 3区 农林科学 Q2 VETERINARY SCIENCES
Lingxu Li, Zhen Wang, Weiling Qi, Yingjun Lv, Dawei Yao
{"title":"山羊地方性鼻腺癌的病理特点。","authors":"Lingxu Li, Zhen Wang, Weiling Qi, Yingjun Lv, Dawei Yao","doi":"10.2478/jvetres-2025-0010","DOIUrl":null,"url":null,"abstract":"<p><strong>Introduction: </strong>Enzootic nasal adenocarcinoma (ENA) is a nasal cancer that occurs in goats and sheep infected by enzootic nasal tumour virus. Pathologic examinations are useful for distinguishing tumours from inflammatory hyperplasia. The aim of this study was to describe the pathological characteristics of ENA.</p><p><strong>Material and methods: </strong>Caprine tumour samples were collected for pathological examination. The tissue sections were stained with haematoxylin-eosin and periodic acid-Schiff (PAS) and processed for immunohistochemical staining. Tumour samples were also processed for routine transmission electron microscopy (TEM).</p><p><strong>Results: </strong>The histopathological structure of the tumours exhibited both papillary formations in the superficial regions and tubular or acinar formations in the deeper layers, representing distinct structural patterns within the same adenocarcinoma. The tumour cells were positive for PAS, and mitotic figures were rare. Low-differentiated cancer nests and epithelial-mesenchymal transition phenomena were observed. Immunohistochemical analysis showed that the tumour cells were strongly positive for pancytokeratin and cytokeratin (CK)18, moderately positive for CK7, and did not express olfactory marker protein. The Kiel 67 labelling index was approximately 23%. Retrovirus-like particles were distributed inside and outside of acinar tumour cells in TEM.</p><p><strong>Conclusion: </strong>The origin site of ENA is the epithelium of the nasal glandular tubules. This cancer is a low-grade adenocarcinoma with malignant potential. Cytokeratin 7 and CK18 can be considered immunophenotypes for identifying ENA tumour cells.</p>","PeriodicalId":17617,"journal":{"name":"Journal of Veterinary Research","volume":"69 1","pages":"151-157"},"PeriodicalIF":1.5000,"publicationDate":"2025-03-01","publicationTypes":"Journal Article","fieldsOfStudy":null,"isOpenAccess":false,"openAccessPdf":"https://www.ncbi.nlm.nih.gov/pmc/articles/PMC11936088/pdf/","citationCount":"0","resultStr":"{\"title\":\"The pathological characteristics of enzootic nasal adenocarcinoma in goats.\",\"authors\":\"Lingxu Li, Zhen Wang, Weiling Qi, Yingjun Lv, Dawei Yao\",\"doi\":\"10.2478/jvetres-2025-0010\",\"DOIUrl\":null,\"url\":null,\"abstract\":\"<p><strong>Introduction: </strong>Enzootic nasal adenocarcinoma (ENA) is a nasal cancer that occurs in goats and sheep infected by enzootic nasal tumour virus. Pathologic examinations are useful for distinguishing tumours from inflammatory hyperplasia. The aim of this study was to describe the pathological characteristics of ENA.</p><p><strong>Material and methods: </strong>Caprine tumour samples were collected for pathological examination. The tissue sections were stained with haematoxylin-eosin and periodic acid-Schiff (PAS) and processed for immunohistochemical staining. Tumour samples were also processed for routine transmission electron microscopy (TEM).</p><p><strong>Results: </strong>The histopathological structure of the tumours exhibited both papillary formations in the superficial regions and tubular or acinar formations in the deeper layers, representing distinct structural patterns within the same adenocarcinoma. The tumour cells were positive for PAS, and mitotic figures were rare. Low-differentiated cancer nests and epithelial-mesenchymal transition phenomena were observed. Immunohistochemical analysis showed that the tumour cells were strongly positive for pancytokeratin and cytokeratin (CK)18, moderately positive for CK7, and did not express olfactory marker protein. The Kiel 67 labelling index was approximately 23%. Retrovirus-like particles were distributed inside and outside of acinar tumour cells in TEM.</p><p><strong>Conclusion: </strong>The origin site of ENA is the epithelium of the nasal glandular tubules. This cancer is a low-grade adenocarcinoma with malignant potential. Cytokeratin 7 and CK18 can be considered immunophenotypes for identifying ENA tumour cells.</p>\",\"PeriodicalId\":17617,\"journal\":{\"name\":\"Journal of Veterinary Research\",\"volume\":\"69 1\",\"pages\":\"151-157\"},\"PeriodicalIF\":1.5000,\"publicationDate\":\"2025-03-01\",\"publicationTypes\":\"Journal Article\",\"fieldsOfStudy\":null,\"isOpenAccess\":false,\"openAccessPdf\":\"https://www.ncbi.nlm.nih.gov/pmc/articles/PMC11936088/pdf/\",\"citationCount\":\"0\",\"resultStr\":null,\"platform\":\"Semanticscholar\",\"paperid\":null,\"PeriodicalName\":\"Journal of Veterinary Research\",\"FirstCategoryId\":\"97\",\"ListUrlMain\":\"https://doi.org/10.2478/jvetres-2025-0010\",\"RegionNum\":3,\"RegionCategory\":\"农林科学\",\"ArticlePicture\":[],\"TitleCN\":null,\"AbstractTextCN\":null,\"PMCID\":null,\"EPubDate\":\"\",\"PubModel\":\"\",\"JCR\":\"Q2\",\"JCRName\":\"VETERINARY SCIENCES\",\"Score\":null,\"Total\":0}","platform":"Semanticscholar","paperid":null,"PeriodicalName":"Journal of Veterinary Research","FirstCategoryId":"97","ListUrlMain":"https://doi.org/10.2478/jvetres-2025-0010","RegionNum":3,"RegionCategory":"农林科学","ArticlePicture":[],"TitleCN":null,"AbstractTextCN":null,"PMCID":null,"EPubDate":"","PubModel":"","JCR":"Q2","JCRName":"VETERINARY SCIENCES","Score":null,"Total":0}
引用次数: 0

摘要

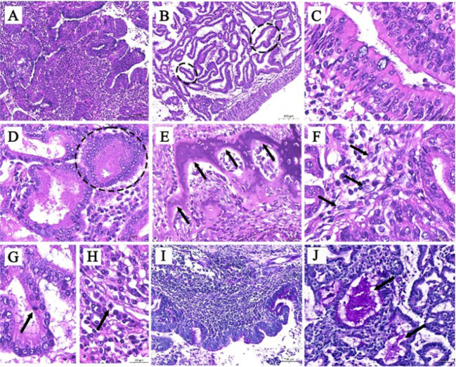
地方性鼻腺癌(ENA)是一种发生在山羊和绵羊感染地方性鼻肿瘤病毒的鼻部肿瘤。病理检查有助于区分肿瘤和炎性增生。本研究的目的是描述ENA的病理特征。材料与方法:采集山羊肿瘤标本进行病理检查。组织切片采用苏木精-伊红和周期性酸-希夫(PAS)染色,并进行免疫组织化学染色。肿瘤样本也进行常规透射电镜(TEM)处理。结果:肿瘤的组织病理学结构表现为表面的乳头状结构和深层的管状或腺泡状结构,在同一腺癌中表现出不同的结构模式。肿瘤细胞PAS阳性,有丝分裂图罕见。观察到低分化癌巢和上皮间质转化现象。免疫组化分析显示,肿瘤细胞泛细胞角蛋白(pancytokeratin)和细胞角蛋白(cytokeratin, CK)18强烈阳性,CK7中度阳性,不表达嗅觉标记蛋白。Kiel 67标记指数约为23%。在透射电镜下,逆转录病毒样颗粒分布在腺泡肿瘤细胞内外。结论:ENA起源于鼻腺小管上皮。本癌是一种有恶性潜能的低度腺癌。细胞角蛋白7和CK18可以被认为是识别ENA肿瘤细胞的免疫表型。
本文章由计算机程序翻译,如有差异,请以英文原文为准。

The pathological characteristics of enzootic nasal adenocarcinoma in goats.

The pathological characteristics of enzootic nasal adenocarcinoma in goats.

The pathological characteristics of enzootic nasal adenocarcinoma in goats.

The pathological characteristics of enzootic nasal adenocarcinoma in goats.

Introduction: Enzootic nasal adenocarcinoma (ENA) is a nasal cancer that occurs in goats and sheep infected by enzootic nasal tumour virus. Pathologic examinations are useful for distinguishing tumours from inflammatory hyperplasia. The aim of this study was to describe the pathological characteristics of ENA.

Material and methods: Caprine tumour samples were collected for pathological examination. The tissue sections were stained with haematoxylin-eosin and periodic acid-Schiff (PAS) and processed for immunohistochemical staining. Tumour samples were also processed for routine transmission electron microscopy (TEM).

Results: The histopathological structure of the tumours exhibited both papillary formations in the superficial regions and tubular or acinar formations in the deeper layers, representing distinct structural patterns within the same adenocarcinoma. The tumour cells were positive for PAS, and mitotic figures were rare. Low-differentiated cancer nests and epithelial-mesenchymal transition phenomena were observed. Immunohistochemical analysis showed that the tumour cells were strongly positive for pancytokeratin and cytokeratin (CK)18, moderately positive for CK7, and did not express olfactory marker protein. The Kiel 67 labelling index was approximately 23%. Retrovirus-like particles were distributed inside and outside of acinar tumour cells in TEM.

Conclusion: The origin site of ENA is the epithelium of the nasal glandular tubules. This cancer is a low-grade adenocarcinoma with malignant potential. Cytokeratin 7 and CK18 can be considered immunophenotypes for identifying ENA tumour cells.

求助全文
通过发布文献求助,成功后即可免费获取论文全文。 去求助
来源期刊
Journal of Veterinary Research
Journal of Veterinary Research Veterinary-General Veterinary
CiteScore
0.90
自引率
5.60%
发文量
58
审稿时长
18 weeks
期刊介绍: Journal of Veterinary Research (formerly Bulletin of the Veterinary Institute in Pulawy) is a quarterly that publishes original papers, review articles and short communications on bacteriology, virology, parasitology, immunology, molecular biology, pathology, toxicology, pharmacology, and biochemistry. The main emphasis is, however, on infectious diseases of animals, food safety and public health, and clinical sciences.
×
引用
GB/T 7714-2015
复制
MLA
复制
APA
复制
导出至
BibTeX EndNote RefMan NoteFirst NoteExpress
×
提示
您的信息不完整,为了账户安全,请先补充。
现在去补充
×
提示
您因"违规操作"
具体请查看互助需知
我知道了
×
提示
确定
请完成安全验证×
copy
已复制链接
快去分享给好友吧!
我知道了
右上角分享
点击右上角分享
0
联系我们:info@booksci.cn Book学术提供免费学术资源搜索服务,方便国内外学者检索中英文文献。致力于提供最便捷和优质的服务体验。 Copyright © 2023 布克学术 All rights reserved.
京ICP备2023020795号-1
ghs 京公网安备 11010802042870号
Book学术文献互助
Book学术文献互助群
群 号:604180095
Book学术官方微信