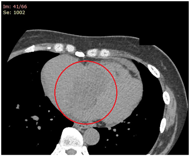
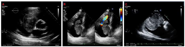
巨大右心房黏液瘤表现为右心衰。

IF 0.8 Q3 MEDICINE, GENERAL & INTERNAL
Priya Ramcharan, Arun Katwaroo, Matthew Maharaj, Valmiki Seecheran, Dayna Lalchansingh, Rajeev Seecheran, Shari Khan, Naveen Seecheran
{"title":"巨大右心房黏液瘤表现为右心衰。","authors":"Priya Ramcharan, Arun Katwaroo, Matthew Maharaj, Valmiki Seecheran, Dayna Lalchansingh, Rajeev Seecheran, Shari Khan, Naveen Seecheran","doi":"10.1177/23247096251329706","DOIUrl":null,"url":null,"abstract":"<p><p>Right atrial myxomas (RAMs) are exceedingly rare cardiac tumors that can incur devastating complications. These tumors are capable of producing right-sided heart failure (rHF) through obstruction of venous return and tricuspid inflow. Herein, we describe a 52-year-old woman presenting with classic symptomatology of rHF as clinical sequelae of a giant RAM. The clinician should be cognizant of RAMs as an atypical etiology of rHF, and the complementary imaging modalities in the diagnostic work-up and early surgical resection as key management strategies.</p>","PeriodicalId":16198,"journal":{"name":"Journal of investigative medicine high impact case reports","volume":"13 ","pages":"23247096251329706"},"PeriodicalIF":0.8000,"publicationDate":"2025-01-01","publicationTypes":"Journal Article","fieldsOfStudy":null,"isOpenAccess":false,"openAccessPdf":"https://www.ncbi.nlm.nih.gov/pmc/articles/PMC11948545/pdf/","citationCount":"0","resultStr":"{\"title\":\"Giant Right Atrial Myxoma Presenting With Right Heart Failure.\",\"authors\":\"Priya Ramcharan, Arun Katwaroo, Matthew Maharaj, Valmiki Seecheran, Dayna Lalchansingh, Rajeev Seecheran, Shari Khan, Naveen Seecheran\",\"doi\":\"10.1177/23247096251329706\",\"DOIUrl\":null,\"url\":null,\"abstract\":\"<p><p>Right atrial myxomas (RAMs) are exceedingly rare cardiac tumors that can incur devastating complications. These tumors are capable of producing right-sided heart failure (rHF) through obstruction of venous return and tricuspid inflow. Herein, we describe a 52-year-old woman presenting with classic symptomatology of rHF as clinical sequelae of a giant RAM. The clinician should be cognizant of RAMs as an atypical etiology of rHF, and the complementary imaging modalities in the diagnostic work-up and early surgical resection as key management strategies.</p>\",\"PeriodicalId\":16198,\"journal\":{\"name\":\"Journal of investigative medicine high impact case reports\",\"volume\":\"13 \",\"pages\":\"23247096251329706\"},\"PeriodicalIF\":0.8000,\"publicationDate\":\"2025-01-01\",\"publicationTypes\":\"Journal Article\",\"fieldsOfStudy\":null,\"isOpenAccess\":false,\"openAccessPdf\":\"https://www.ncbi.nlm.nih.gov/pmc/articles/PMC11948545/pdf/\",\"citationCount\":\"0\",\"resultStr\":null,\"platform\":\"Semanticscholar\",\"paperid\":null,\"PeriodicalName\":\"Journal of investigative medicine high impact case reports\",\"FirstCategoryId\":\"1085\",\"ListUrlMain\":\"https://doi.org/10.1177/23247096251329706\",\"RegionNum\":0,\"RegionCategory\":null,\"ArticlePicture\":[],\"TitleCN\":null,\"AbstractTextCN\":null,\"PMCID\":null,\"EPubDate\":\"2025/3/27 0:00:00\",\"PubModel\":\"Epub\",\"JCR\":\"Q3\",\"JCRName\":\"MEDICINE, GENERAL & INTERNAL\",\"Score\":null,\"Total\":0}","platform":"Semanticscholar","paperid":null,"PeriodicalName":"Journal of investigative medicine high impact case reports","FirstCategoryId":"1085","ListUrlMain":"https://doi.org/10.1177/23247096251329706","RegionNum":0,"RegionCategory":null,"ArticlePicture":[],"TitleCN":null,"AbstractTextCN":null,"PMCID":null,"EPubDate":"2025/3/27 0:00:00","PubModel":"Epub","JCR":"Q3","JCRName":"MEDICINE, GENERAL & INTERNAL","Score":null,"Total":0}
引用次数: 0

摘要

右心房黏液瘤是一种非常罕见的心脏肿瘤,可引起毁灭性的并发症。这些肿瘤能够通过静脉回流和三尖瓣流入阻塞而产生右侧心力衰竭。在此,我们描述了一位52岁的女性,表现为典型的rHF症状,为巨大RAM的临床后遗症。临床医生应认识到RAMs是rHF的非典型病因,在诊断检查和早期手术切除中补充成像方式是关键的管理策略。
本文章由计算机程序翻译,如有差异,请以英文原文为准。

Giant Right Atrial Myxoma Presenting With Right Heart Failure.

Giant Right Atrial Myxoma Presenting With Right Heart Failure.

Giant Right Atrial Myxoma Presenting With Right Heart Failure.

Giant Right Atrial Myxoma Presenting With Right Heart Failure.

Right atrial myxomas (RAMs) are exceedingly rare cardiac tumors that can incur devastating complications. These tumors are capable of producing right-sided heart failure (rHF) through obstruction of venous return and tricuspid inflow. Herein, we describe a 52-year-old woman presenting with classic symptomatology of rHF as clinical sequelae of a giant RAM. The clinician should be cognizant of RAMs as an atypical etiology of rHF, and the complementary imaging modalities in the diagnostic work-up and early surgical resection as key management strategies.

求助全文
通过发布文献求助,成功后即可免费获取论文全文。 去求助
来源期刊
CiteScore
1.90
自引率
0.00%
发文量
165
审稿时长
12 weeks
期刊介绍: The AFMR is committed to enhancing the training and career development of our members and to furthering its mission to facilitate the conduct of research to improve medical care. Case reports represent an important avenue for trainees (interns, residents, and fellows) and early-stage faculty to demonstrate productive, scholarly activity.
×
引用
GB/T 7714-2015
复制
MLA
复制
APA
复制
导出至
BibTeX EndNote RefMan NoteFirst NoteExpress
×
提示
您的信息不完整,为了账户安全,请先补充。
现在去补充
×
提示
您因"违规操作"
具体请查看互助需知
我知道了
×
提示
确定
请完成安全验证×
copy
已复制链接
快去分享给好友吧!
我知道了
右上角分享
点击右上角分享
0
联系我们:info@booksci.cn Book学术提供免费学术资源搜索服务,方便国内外学者检索中英文文献。致力于提供最便捷和优质的服务体验。 Copyright © 2023 布克学术 All rights reserved.
京ICP备2023020795号-1
ghs 京公网安备 11010802042870号
Book学术文献互助
Book学术文献互助群
群 号:604180095
Book学术官方微信