子宫内膜异位症影像学在社区设置:执行SRU共识建议的常规盆腔造影。

IF 2.2 3区 医学 Q2 RADIOLOGY, NUCLEAR MEDICINE & MEDICAL IMAGING
Jessica L. Li, Charlotte J. Yong-Hing, Jennifer Jessup, Ania Z. Kielar, Emily H. T. Pang
{"title":"子宫内膜异位症影像学在社区设置:执行SRU共识建议的常规盆腔造影。","authors":"Jessica L. Li,&nbsp;Charlotte J. Yong-Hing,&nbsp;Jennifer Jessup,&nbsp;Ania Z. Kielar,&nbsp;Emily H. T. Pang","doi":"10.1007/s00261-025-04906-y","DOIUrl":null,"url":null,"abstract":"<div><p>Endometriosis is a common gynecologic disorder with a significant burden of morbidity that is often subject to substantial diagnostic delay. While transvaginal ultrasound (TVUS) is the first-line imaging tool for symptoms like chronic pelvic pain and infertility, it has limitations in detecting deep endometriosis. In 2024, the Society of Radiologists in Ultrasound (SRU) issued recommendations to enhance detection by incorporating additional techniques into standard TVUS. This article outlines practical adaptations to improve diagnostic accuracy with minimal extra scan time in community practices. It covers patient selection, stakeholder involvement, training, and quality assurance while addressing implementation challenges. Community ultrasound practices play a key role in early detection, guiding patients toward appropriate care.</p><h3>Graphical abstract</h3><div><figure><div><div><picture><source><img></source></picture></div></div></figure></div></div>","PeriodicalId":7126,"journal":{"name":"Abdominal Radiology","volume":"50 10","pages":"4878 - 4885"},"PeriodicalIF":2.2000,"publicationDate":"2025-03-27","publicationTypes":"Journal Article","fieldsOfStudy":null,"isOpenAccess":false,"openAccessPdf":"","citationCount":"0","resultStr":"{\"title\":\"Endometriosis imaging in the community setting: implementation of the SRU consensus recommendations on routine pelvic US\",\"authors\":\"Jessica L. Li,&nbsp;Charlotte J. Yong-Hing,&nbsp;Jennifer Jessup,&nbsp;Ania Z. Kielar,&nbsp;Emily H. T. Pang\",\"doi\":\"10.1007/s00261-025-04906-y\",\"DOIUrl\":null,\"url\":null,\"abstract\":\"<div><p>Endometriosis is a common gynecologic disorder with a significant burden of morbidity that is often subject to substantial diagnostic delay. While transvaginal ultrasound (TVUS) is the first-line imaging tool for symptoms like chronic pelvic pain and infertility, it has limitations in detecting deep endometriosis. In 2024, the Society of Radiologists in Ultrasound (SRU) issued recommendations to enhance detection by incorporating additional techniques into standard TVUS. This article outlines practical adaptations to improve diagnostic accuracy with minimal extra scan time in community practices. It covers patient selection, stakeholder involvement, training, and quality assurance while addressing implementation challenges. Community ultrasound practices play a key role in early detection, guiding patients toward appropriate care.</p><h3>Graphical abstract</h3><div><figure><div><div><picture><source><img></source></picture></div></div></figure></div></div>\",\"PeriodicalId\":7126,\"journal\":{\"name\":\"Abdominal Radiology\",\"volume\":\"50 10\",\"pages\":\"4878 - 4885\"},\"PeriodicalIF\":2.2000,\"publicationDate\":\"2025-03-27\",\"publicationTypes\":\"Journal Article\",\"fieldsOfStudy\":null,\"isOpenAccess\":false,\"openAccessPdf\":\"\",\"citationCount\":\"0\",\"resultStr\":null,\"platform\":\"Semanticscholar\",\"paperid\":null,\"PeriodicalName\":\"Abdominal Radiology\",\"FirstCategoryId\":\"3\",\"ListUrlMain\":\"https://link.springer.com/article/10.1007/s00261-025-04906-y\",\"RegionNum\":3,\"RegionCategory\":\"医学\",\"ArticlePicture\":[],\"TitleCN\":null,\"AbstractTextCN\":null,\"PMCID\":null,\"EPubDate\":\"\",\"PubModel\":\"\",\"JCR\":\"Q2\",\"JCRName\":\"RADIOLOGY, NUCLEAR MEDICINE & MEDICAL IMAGING\",\"Score\":null,\"Total\":0}","platform":"Semanticscholar","paperid":null,"PeriodicalName":"Abdominal Radiology","FirstCategoryId":"3","ListUrlMain":"https://link.springer.com/article/10.1007/s00261-025-04906-y","RegionNum":3,"RegionCategory":"医学","ArticlePicture":[],"TitleCN":null,"AbstractTextCN":null,"PMCID":null,"EPubDate":"","PubModel":"","JCR":"Q2","JCRName":"RADIOLOGY, NUCLEAR MEDICINE & MEDICAL IMAGING","Score":null,"Total":0}
引用次数: 0

摘要

子宫内膜异位症是一种常见的妇科疾病,具有显著的发病率负担,通常需要大量的诊断延迟。虽然经阴道超声(TVUS)是慢性盆腔疼痛和不孕症等症状的一线成像工具,但它在检测深部子宫内膜异位症方面存在局限性。2024年,超声放射科医师协会(SRU)发布了建议,通过将额外的技术纳入标准tvu来增强检测。本文概述了在社区实践中以最小的额外扫描时间提高诊断准确性的实际适应性。它涵盖了患者选择、利益相关者参与、培训和质量保证,同时解决了实施方面的挑战。社区超声实践在早期发现、指导患者接受适当治疗方面发挥着关键作用。
本文章由计算机程序翻译,如有差异,请以英文原文为准。

Endometriosis imaging in the community setting: implementation of the SRU consensus recommendations on routine pelvic US

Endometriosis imaging in the community setting: implementation of the SRU consensus recommendations on routine pelvic US

Endometriosis imaging in the community setting: implementation of the SRU consensus recommendations on routine pelvic US

Endometriosis is a common gynecologic disorder with a significant burden of morbidity that is often subject to substantial diagnostic delay. While transvaginal ultrasound (TVUS) is the first-line imaging tool for symptoms like chronic pelvic pain and infertility, it has limitations in detecting deep endometriosis. In 2024, the Society of Radiologists in Ultrasound (SRU) issued recommendations to enhance detection by incorporating additional techniques into standard TVUS. This article outlines practical adaptations to improve diagnostic accuracy with minimal extra scan time in community practices. It covers patient selection, stakeholder involvement, training, and quality assurance while addressing implementation challenges. Community ultrasound practices play a key role in early detection, guiding patients toward appropriate care.

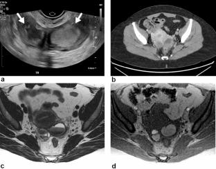
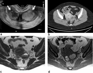
Graphical abstract

求助全文
通过发布文献求助,成功后即可免费获取论文全文。 去求助
来源期刊
Abdominal Radiology
Abdominal Radiology Medicine-Radiology, Nuclear Medicine and Imaging
CiteScore
5.20
自引率
8.30%
发文量
334
期刊介绍: Abdominal Radiology seeks to meet the professional needs of the abdominal radiologist by publishing clinically pertinent original, review and practice related articles on the gastrointestinal and genitourinary tracts and abdominal interventional and radiologic procedures. Case reports are generally not accepted unless they are the first report of a new disease or condition, or part of a special solicited section. Reasons to Publish Your Article in Abdominal Radiology: · Official journal of the Society of Abdominal Radiology (SAR) · Published in Cooperation with: European Society of Gastrointestinal and Abdominal Radiology (ESGAR) European Society of Urogenital Radiology (ESUR) Asian Society of Abdominal Radiology (ASAR) · Efficient handling and Expeditious review · Author feedback is provided in a mentoring style · Global readership · Readers can earn CME credits
×
引用
GB/T 7714-2015
复制
MLA
复制
APA
复制
导出至
BibTeX EndNote RefMan NoteFirst NoteExpress
×
提示
您的信息不完整,为了账户安全,请先补充。
现在去补充
×
提示
您因"违规操作"
具体请查看互助需知
我知道了
×
提示
确定
请完成安全验证×
copy
已复制链接
快去分享给好友吧!
我知道了
右上角分享
点击右上角分享
0
联系我们:info@booksci.cn Book学术提供免费学术资源搜索服务,方便国内外学者检索中英文文献。致力于提供最便捷和优质的服务体验。 Copyright © 2023 布克学术 All rights reserved.
京ICP备2023020795号-1
ghs 京公网安备 11010802042870号
Book学术文献互助
Book学术文献互助群
群 号:604180095
Book学术官方微信