类似产后硬纤维瘤的腹壁良性颗粒细胞瘤。

IF 2.2 3区 医学 Q2 ORTHOPEDICS
Skeletal Radiology Pub Date : 2025-09-01 Epub Date: 2025-03-25 DOI:10.1007/s00256-025-04913-6
Wendy Qiu, Zaid Patel, Joshua Pierce, Timothy Iafe
{"title":"类似产后硬纤维瘤的腹壁良性颗粒细胞瘤。","authors":"Wendy Qiu, Zaid Patel, Joshua Pierce, Timothy Iafe","doi":"10.1007/s00256-025-04913-6","DOIUrl":null,"url":null,"abstract":"<p><p>Granular cell tumors are uncommon soft tissue neoplasms derived from Schwann cells. It is extremely rare for granular cell tumors to be found in the anterior abdominal wall, with only 12 cases of benign abdominal wall granular cell tumors reported in the medical literature to date. We report a case of an upper abdominal wall granular cell tumor in a recently postpartum 35-year-old woman. Based on the patient's history, recent postpartum presentation, and imaging findings, the soft tissue tumor was initially suspected to be a desmoid tumor. Therefore, following biopsy and resection, the final histopathological diagnosis of benign granular cell tumor was quite unusual. Herein, we discuss a unique presentation of benign granular cell tumor and its diagnostic workup, including imaging and histopathologic findings, to highlight the possibility of this rare entity in the differential diagnosis of certain abdominal wall soft tissue masses.</p>","PeriodicalId":21783,"journal":{"name":"Skeletal Radiology","volume":" ","pages":"1983-1992"},"PeriodicalIF":2.2000,"publicationDate":"2025-09-01","publicationTypes":"Journal Article","fieldsOfStudy":null,"isOpenAccess":false,"openAccessPdf":"https://www.ncbi.nlm.nih.gov/pmc/articles/PMC12241230/pdf/","citationCount":"0","resultStr":"{\"title\":\"Benign granular cell tumor of the abdominal wall mimicking postpartum desmoid tumor.\",\"authors\":\"Wendy Qiu, Zaid Patel, Joshua Pierce, Timothy Iafe\",\"doi\":\"10.1007/s00256-025-04913-6\",\"DOIUrl\":null,\"url\":null,\"abstract\":\"<p><p>Granular cell tumors are uncommon soft tissue neoplasms derived from Schwann cells. It is extremely rare for granular cell tumors to be found in the anterior abdominal wall, with only 12 cases of benign abdominal wall granular cell tumors reported in the medical literature to date. We report a case of an upper abdominal wall granular cell tumor in a recently postpartum 35-year-old woman. Based on the patient's history, recent postpartum presentation, and imaging findings, the soft tissue tumor was initially suspected to be a desmoid tumor. Therefore, following biopsy and resection, the final histopathological diagnosis of benign granular cell tumor was quite unusual. Herein, we discuss a unique presentation of benign granular cell tumor and its diagnostic workup, including imaging and histopathologic findings, to highlight the possibility of this rare entity in the differential diagnosis of certain abdominal wall soft tissue masses.</p>\",\"PeriodicalId\":21783,\"journal\":{\"name\":\"Skeletal Radiology\",\"volume\":\" \",\"pages\":\"1983-1992\"},\"PeriodicalIF\":2.2000,\"publicationDate\":\"2025-09-01\",\"publicationTypes\":\"Journal Article\",\"fieldsOfStudy\":null,\"isOpenAccess\":false,\"openAccessPdf\":\"https://www.ncbi.nlm.nih.gov/pmc/articles/PMC12241230/pdf/\",\"citationCount\":\"0\",\"resultStr\":null,\"platform\":\"Semanticscholar\",\"paperid\":null,\"PeriodicalName\":\"Skeletal Radiology\",\"FirstCategoryId\":\"3\",\"ListUrlMain\":\"https://doi.org/10.1007/s00256-025-04913-6\",\"RegionNum\":3,\"RegionCategory\":\"医学\",\"ArticlePicture\":[],\"TitleCN\":null,\"AbstractTextCN\":null,\"PMCID\":null,\"EPubDate\":\"2025/3/25 0:00:00\",\"PubModel\":\"Epub\",\"JCR\":\"Q2\",\"JCRName\":\"ORTHOPEDICS\",\"Score\":null,\"Total\":0}","platform":"Semanticscholar","paperid":null,"PeriodicalName":"Skeletal Radiology","FirstCategoryId":"3","ListUrlMain":"https://doi.org/10.1007/s00256-025-04913-6","RegionNum":3,"RegionCategory":"医学","ArticlePicture":[],"TitleCN":null,"AbstractTextCN":null,"PMCID":null,"EPubDate":"2025/3/25 0:00:00","PubModel":"Epub","JCR":"Q2","JCRName":"ORTHOPEDICS","Score":null,"Total":0}
引用次数: 0

摘要

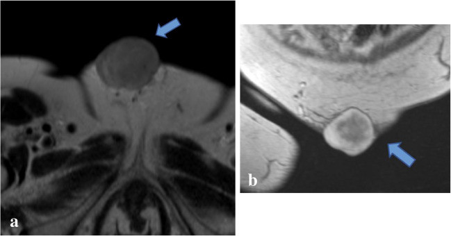
颗粒细胞瘤是一种罕见的源于雪旺细胞的软组织肿瘤。颗粒细胞瘤发生于前腹壁极为罕见,医学文献迄今仅报道了12例良性腹壁颗粒细胞瘤。我们报告一例上腹壁颗粒细胞瘤在最近产后35岁的妇女。根据患者的病史、近期产后表现和影像学表现,软组织肿瘤最初怀疑为硬纤维瘤。因此,在活检和切除后,良性颗粒细胞瘤的最终组织病理学诊断是非常罕见的。在此,我们讨论良性颗粒细胞瘤的独特表现及其诊断检查,包括影像学和组织病理学结果,以强调这种罕见实体在某些腹壁软组织肿块鉴别诊断中的可能性。
本文章由计算机程序翻译,如有差异,请以英文原文为准。

Benign granular cell tumor of the abdominal wall mimicking postpartum desmoid tumor.

Benign granular cell tumor of the abdominal wall mimicking postpartum desmoid tumor.

Benign granular cell tumor of the abdominal wall mimicking postpartum desmoid tumor.

Benign granular cell tumor of the abdominal wall mimicking postpartum desmoid tumor.

Granular cell tumors are uncommon soft tissue neoplasms derived from Schwann cells. It is extremely rare for granular cell tumors to be found in the anterior abdominal wall, with only 12 cases of benign abdominal wall granular cell tumors reported in the medical literature to date. We report a case of an upper abdominal wall granular cell tumor in a recently postpartum 35-year-old woman. Based on the patient's history, recent postpartum presentation, and imaging findings, the soft tissue tumor was initially suspected to be a desmoid tumor. Therefore, following biopsy and resection, the final histopathological diagnosis of benign granular cell tumor was quite unusual. Herein, we discuss a unique presentation of benign granular cell tumor and its diagnostic workup, including imaging and histopathologic findings, to highlight the possibility of this rare entity in the differential diagnosis of certain abdominal wall soft tissue masses.

求助全文
通过发布文献求助,成功后即可免费获取论文全文。 去求助
来源期刊
Skeletal Radiology
Skeletal Radiology 医学-核医学
CiteScore
4.40
自引率
9.50%
发文量
253
审稿时长
3-8 weeks
期刊介绍: Skeletal Radiology provides a forum for the dissemination of current knowledge and information dealing with disorders of the musculoskeletal system including the spine. While emphasizing the radiological aspects of the many varied skeletal abnormalities, the journal also adopts an interdisciplinary approach, reflecting the membership of the International Skeletal Society. Thus, the anatomical, pathological, physiological, clinical, metabolic and epidemiological aspects of the many entities affecting the skeleton receive appropriate consideration. This is the Journal of the International Skeletal Society and the Official Journal of the Society of Skeletal Radiology and the Australasian Musculoskelelal Imaging Group.
×
引用
GB/T 7714-2015
复制
MLA
复制
APA
复制
导出至
BibTeX EndNote RefMan NoteFirst NoteExpress
×
提示
您的信息不完整,为了账户安全,请先补充。
现在去补充
×
提示
您因"违规操作"
具体请查看互助需知
我知道了
×
提示
确定
请完成安全验证×
copy
已复制链接
快去分享给好友吧!
我知道了
右上角分享
点击右上角分享
0
联系我们:info@booksci.cn Book学术提供免费学术资源搜索服务,方便国内外学者检索中英文文献。致力于提供最便捷和优质的服务体验。 Copyright © 2023 布克学术 All rights reserved.
京ICP备2023020795号-1
ghs 京公网安备 11010802042870号
Book学术文献互助
Book学术文献互助群
群 号:604180095
Book学术官方微信