针对ADAM17的抗体逆转髓鞘相关抑制剂对神经突生长的抑制。

IF 2.9 2区 生物学 Q1 BIOLOGY
Life Science Alliance Pub Date : 2025-03-25 Print Date: 2025-06-01 DOI:10.26508/lsa.202403126
Nayanendu Saha, Eric Chan, Rachelle P Mendoza, Yevgeniy Romin, Murray J Tipping, Dimitar B Nikolov
{"title":"针对ADAM17的抗体逆转髓鞘相关抑制剂对神经突生长的抑制。","authors":"Nayanendu Saha, Eric Chan, Rachelle P Mendoza, Yevgeniy Romin, Murray J Tipping, Dimitar B Nikolov","doi":"10.26508/lsa.202403126","DOIUrl":null,"url":null,"abstract":"<p><p>Upon spinal cord injury, axons attempting to regenerate need to overcome the repulsive actions of myelin-associated inhibitors, including the myelin-associated glycoprotein, Nogo-A, and the oligodendrocyte myelin glycoprotein. These inhibitors bind and signal through a neuronal receptor/co-receptor/transducer complex composed of NgR1, Lingo-1, and p75. Consequently, p75 is cleaved by alpha secretase followed by gamma-secretase, triggering downstream signaling that inhibits axonal regrowth. ADAM10 and ADAM17 are both known to function as alpha secretases in neurons. Here we show that ADAM17, and not ADAM10, is the alpha secretase that recognizes and cleaves p75, when it is a part of a 5-component neuron-myelin signaling complex comprising NgR1, Lingo-1, p75, GT1b, and a myelin inhibitor. Importantly, we demonstrate the ability of inhibitory anti-ADAM17 mAbs to abrogate the cleavage of p75 in a neuroblastoma-glioma cell line and reverse the neurite outgrowth inhibition by myelin-associated inhibitors.</p>","PeriodicalId":18081,"journal":{"name":"Life Science Alliance","volume":"8 6","pages":""},"PeriodicalIF":2.9000,"publicationDate":"2025-03-25","publicationTypes":"Journal Article","fieldsOfStudy":null,"isOpenAccess":false,"openAccessPdf":"https://www.ncbi.nlm.nih.gov/pmc/articles/PMC11938383/pdf/","citationCount":"0","resultStr":"{\"title\":\"Antibodies targeting ADAM17 reverse neurite outgrowth inhibition by myelin-associated inhibitors.\",\"authors\":\"Nayanendu Saha, Eric Chan, Rachelle P Mendoza, Yevgeniy Romin, Murray J Tipping, Dimitar B Nikolov\",\"doi\":\"10.26508/lsa.202403126\",\"DOIUrl\":null,\"url\":null,\"abstract\":\"<p><p>Upon spinal cord injury, axons attempting to regenerate need to overcome the repulsive actions of myelin-associated inhibitors, including the myelin-associated glycoprotein, Nogo-A, and the oligodendrocyte myelin glycoprotein. These inhibitors bind and signal through a neuronal receptor/co-receptor/transducer complex composed of NgR1, Lingo-1, and p75. Consequently, p75 is cleaved by alpha secretase followed by gamma-secretase, triggering downstream signaling that inhibits axonal regrowth. ADAM10 and ADAM17 are both known to function as alpha secretases in neurons. Here we show that ADAM17, and not ADAM10, is the alpha secretase that recognizes and cleaves p75, when it is a part of a 5-component neuron-myelin signaling complex comprising NgR1, Lingo-1, p75, GT1b, and a myelin inhibitor. Importantly, we demonstrate the ability of inhibitory anti-ADAM17 mAbs to abrogate the cleavage of p75 in a neuroblastoma-glioma cell line and reverse the neurite outgrowth inhibition by myelin-associated inhibitors.</p>\",\"PeriodicalId\":18081,\"journal\":{\"name\":\"Life Science Alliance\",\"volume\":\"8 6\",\"pages\":\"\"},\"PeriodicalIF\":2.9000,\"publicationDate\":\"2025-03-25\",\"publicationTypes\":\"Journal Article\",\"fieldsOfStudy\":null,\"isOpenAccess\":false,\"openAccessPdf\":\"https://www.ncbi.nlm.nih.gov/pmc/articles/PMC11938383/pdf/\",\"citationCount\":\"0\",\"resultStr\":null,\"platform\":\"Semanticscholar\",\"paperid\":null,\"PeriodicalName\":\"Life Science Alliance\",\"FirstCategoryId\":\"99\",\"ListUrlMain\":\"https://doi.org/10.26508/lsa.202403126\",\"RegionNum\":2,\"RegionCategory\":\"生物学\",\"ArticlePicture\":[],\"TitleCN\":null,\"AbstractTextCN\":null,\"PMCID\":null,\"EPubDate\":\"2025/6/1 0:00:00\",\"PubModel\":\"Print\",\"JCR\":\"Q1\",\"JCRName\":\"BIOLOGY\",\"Score\":null,\"Total\":0}","platform":"Semanticscholar","paperid":null,"PeriodicalName":"Life Science Alliance","FirstCategoryId":"99","ListUrlMain":"https://doi.org/10.26508/lsa.202403126","RegionNum":2,"RegionCategory":"生物学","ArticlePicture":[],"TitleCN":null,"AbstractTextCN":null,"PMCID":null,"EPubDate":"2025/6/1 0:00:00","PubModel":"Print","JCR":"Q1","JCRName":"BIOLOGY","Score":null,"Total":0}
引用次数: 0

摘要

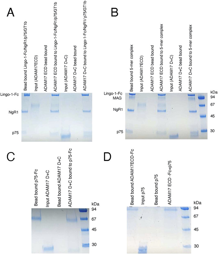
脊髓损伤后,轴突试图再生需要克服髓磷脂相关抑制剂的排斥作用,包括髓磷脂相关糖蛋白Nogo-A和少突胶质细胞髓磷脂糖蛋白。这些抑制剂通过由NgR1、Lingo-1和p75组成的神经元受体/共受体/换能器复合物结合并发出信号。因此,p75被α分泌酶和γ分泌酶切割,触发抑制轴突再生的下游信号。ADAM10和ADAM17都被认为是神经元中的α分泌酶。在这里,我们发现ADAM17是识别和切割p75的α分泌酶,而不是ADAM10,当它是由NgR1、Lingo-1、p75、GT1b和髓磷脂抑制剂组成的5组分神经元-髓磷脂信号复合体的一部分时。重要的是,我们证明了抑制性抗adam17单克隆抗体能够消除神经母细胞瘤-胶质瘤细胞系中p75的分裂,并逆转髓磷脂相关抑制剂对神经突生长的抑制。
本文章由计算机程序翻译,如有差异,请以英文原文为准。

Antibodies targeting ADAM17 reverse neurite outgrowth inhibition by myelin-associated inhibitors.

Antibodies targeting ADAM17 reverse neurite outgrowth inhibition by myelin-associated inhibitors.

Antibodies targeting ADAM17 reverse neurite outgrowth inhibition by myelin-associated inhibitors.

Antibodies targeting ADAM17 reverse neurite outgrowth inhibition by myelin-associated inhibitors.

Upon spinal cord injury, axons attempting to regenerate need to overcome the repulsive actions of myelin-associated inhibitors, including the myelin-associated glycoprotein, Nogo-A, and the oligodendrocyte myelin glycoprotein. These inhibitors bind and signal through a neuronal receptor/co-receptor/transducer complex composed of NgR1, Lingo-1, and p75. Consequently, p75 is cleaved by alpha secretase followed by gamma-secretase, triggering downstream signaling that inhibits axonal regrowth. ADAM10 and ADAM17 are both known to function as alpha secretases in neurons. Here we show that ADAM17, and not ADAM10, is the alpha secretase that recognizes and cleaves p75, when it is a part of a 5-component neuron-myelin signaling complex comprising NgR1, Lingo-1, p75, GT1b, and a myelin inhibitor. Importantly, we demonstrate the ability of inhibitory anti-ADAM17 mAbs to abrogate the cleavage of p75 in a neuroblastoma-glioma cell line and reverse the neurite outgrowth inhibition by myelin-associated inhibitors.

求助全文
通过发布文献求助,成功后即可免费获取论文全文。 去求助
来源期刊
Life Science Alliance
Life Science Alliance Agricultural and Biological Sciences-Plant Science
CiteScore
5.80
自引率
2.30%
发文量
241
审稿时长
10 weeks
期刊介绍: Life Science Alliance is a global, open-access, editorially independent, and peer-reviewed journal launched by an alliance of EMBO Press, Rockefeller University Press, and Cold Spring Harbor Laboratory Press. Life Science Alliance is committed to rapid, fair, and transparent publication of valuable research from across all areas in the life sciences.
×
引用
GB/T 7714-2015
复制
MLA
复制
APA
复制
导出至
BibTeX EndNote RefMan NoteFirst NoteExpress
×
提示
您的信息不完整,为了账户安全,请先补充。
现在去补充
×
提示
您因"违规操作"
具体请查看互助需知
我知道了
×
提示
确定
请完成安全验证×
copy
已复制链接
快去分享给好友吧!
我知道了
右上角分享
点击右上角分享
0
联系我们:info@booksci.cn Book学术提供免费学术资源搜索服务,方便国内外学者检索中英文文献。致力于提供最便捷和优质的服务体验。 Copyright © 2023 布克学术 All rights reserved.
京ICP备2023020795号-1
ghs 京公网安备 11010802042870号
Book学术文献互助
Book学术文献互助群
群 号:604180095
Book学术官方微信