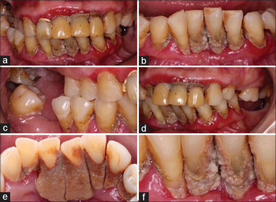
IV期,伴有人类免疫缺陷病毒、丙型肝炎和口腔念珠菌感染的患者的B级牙周炎。

Q2 Dentistry
Thaissa Cavalcante Vieira Bitu, Raphaela Canuto Silva, Lucas Muniz Pinto Bandeira, Diana Araújo Cunha, Paulo Goberlanio Barros Silva, Átila Vinícius Vitor Nobre
{"title":"IV期,伴有人类免疫缺陷病毒、丙型肝炎和口腔念珠菌感染的患者的B级牙周炎。","authors":"Thaissa Cavalcante Vieira Bitu, Raphaela Canuto Silva, Lucas Muniz Pinto Bandeira, Diana Araújo Cunha, Paulo Goberlanio Barros Silva, Átila Vinícius Vitor Nobre","doi":"10.4103/jisp.jisp_301_24","DOIUrl":null,"url":null,"abstract":"<p><p>Opportunistic infections are common in patients infected with human immunodeficiency virus (HIV) in acquired immunodeficiency syndrome. This case report demonstrates a clinical case of an individual with periodontitis, HIV/hepatitis C coinfection, and candidiasis, using different drugs and under irregular antiretroviral therapy. The combination of several local and systemic conditions highlights the importance of the case and the need for health professionals to know the management of these combined pathologies in the context of HIV infection. We can conclude that it is extremely important for dentists to be aware of periodontal diseases in HIV-infected patients, due to the pathogenic mechanisms associated with these pathologies.</p>","PeriodicalId":15890,"journal":{"name":"Journal of Indian Society of Periodontology","volume":"28 5","pages":"587-590"},"PeriodicalIF":0.0000,"publicationDate":"2024-09-01","publicationTypes":"Journal Article","fieldsOfStudy":null,"isOpenAccess":false,"openAccessPdf":"https://www.ncbi.nlm.nih.gov/pmc/articles/PMC11932561/pdf/","citationCount":"0","resultStr":"{\"title\":\"Stage IV, grade B periodontitis in a patient with coinfection with the human immunodeficiency virus, hepatitis C, and oral candidiasis.\",\"authors\":\"Thaissa Cavalcante Vieira Bitu, Raphaela Canuto Silva, Lucas Muniz Pinto Bandeira, Diana Araújo Cunha, Paulo Goberlanio Barros Silva, Átila Vinícius Vitor Nobre\",\"doi\":\"10.4103/jisp.jisp_301_24\",\"DOIUrl\":null,\"url\":null,\"abstract\":\"<p><p>Opportunistic infections are common in patients infected with human immunodeficiency virus (HIV) in acquired immunodeficiency syndrome. This case report demonstrates a clinical case of an individual with periodontitis, HIV/hepatitis C coinfection, and candidiasis, using different drugs and under irregular antiretroviral therapy. The combination of several local and systemic conditions highlights the importance of the case and the need for health professionals to know the management of these combined pathologies in the context of HIV infection. We can conclude that it is extremely important for dentists to be aware of periodontal diseases in HIV-infected patients, due to the pathogenic mechanisms associated with these pathologies.</p>\",\"PeriodicalId\":15890,\"journal\":{\"name\":\"Journal of Indian Society of Periodontology\",\"volume\":\"28 5\",\"pages\":\"587-590\"},\"PeriodicalIF\":0.0000,\"publicationDate\":\"2024-09-01\",\"publicationTypes\":\"Journal Article\",\"fieldsOfStudy\":null,\"isOpenAccess\":false,\"openAccessPdf\":\"https://www.ncbi.nlm.nih.gov/pmc/articles/PMC11932561/pdf/\",\"citationCount\":\"0\",\"resultStr\":null,\"platform\":\"Semanticscholar\",\"paperid\":null,\"PeriodicalName\":\"Journal of Indian Society of Periodontology\",\"FirstCategoryId\":\"1085\",\"ListUrlMain\":\"https://doi.org/10.4103/jisp.jisp_301_24\",\"RegionNum\":0,\"RegionCategory\":null,\"ArticlePicture\":[],\"TitleCN\":null,\"AbstractTextCN\":null,\"PMCID\":null,\"EPubDate\":\"2025/2/26 0:00:00\",\"PubModel\":\"Epub\",\"JCR\":\"Q2\",\"JCRName\":\"Dentistry\",\"Score\":null,\"Total\":0}","platform":"Semanticscholar","paperid":null,"PeriodicalName":"Journal of Indian Society of Periodontology","FirstCategoryId":"1085","ListUrlMain":"https://doi.org/10.4103/jisp.jisp_301_24","RegionNum":0,"RegionCategory":null,"ArticlePicture":[],"TitleCN":null,"AbstractTextCN":null,"PMCID":null,"EPubDate":"2025/2/26 0:00:00","PubModel":"Epub","JCR":"Q2","JCRName":"Dentistry","Score":null,"Total":0}
引用次数: 0

摘要

机会性感染在获得性免疫缺陷综合征中感染人类免疫缺陷病毒(HIV)的患者中很常见。本病例报告显示了一个患有牙周炎、艾滋病毒/丙型肝炎合并感染和念珠菌病的个体的临床病例,使用不同的药物并接受不规则的抗逆转录病毒治疗。几种局部和全身性疾病的结合突出了该病例的重要性以及卫生专业人员在艾滋病毒感染背景下了解这些综合病理管理的必要性。我们可以得出结论,由于与这些病理相关的致病机制,牙医了解艾滋病毒感染患者的牙周病是极其重要的。
本文章由计算机程序翻译,如有差异,请以英文原文为准。

Stage IV, grade B periodontitis in a patient with coinfection with the human immunodeficiency virus, hepatitis C, and oral candidiasis.

Stage IV, grade B periodontitis in a patient with coinfection with the human immunodeficiency virus, hepatitis C, and oral candidiasis.

Stage IV, grade B periodontitis in a patient with coinfection with the human immunodeficiency virus, hepatitis C, and oral candidiasis.

Stage IV, grade B periodontitis in a patient with coinfection with the human immunodeficiency virus, hepatitis C, and oral candidiasis.

Opportunistic infections are common in patients infected with human immunodeficiency virus (HIV) in acquired immunodeficiency syndrome. This case report demonstrates a clinical case of an individual with periodontitis, HIV/hepatitis C coinfection, and candidiasis, using different drugs and under irregular antiretroviral therapy. The combination of several local and systemic conditions highlights the importance of the case and the need for health professionals to know the management of these combined pathologies in the context of HIV infection. We can conclude that it is extremely important for dentists to be aware of periodontal diseases in HIV-infected patients, due to the pathogenic mechanisms associated with these pathologies.

求助全文
通过发布文献求助,成功后即可免费获取论文全文。 去求助
来源期刊
CiteScore
1.70
自引率
0.00%
发文量
87
审稿时长
44 weeks
期刊介绍: The Journal of Indian Society of Periodontology publishes original scientific articles to support practice , education and research in the dental specialty of periodontology and oral implantology. Journal of Indian Society of Periodontology (JISP), is the official publication of the Society and is managed and brought out by the Editor of the society. The journal is published Bimonthly with special issues being brought out for specific occasions. The ISP had a bulletin as its publication for a large number of years and was enhanced as a Journal a few years ago
×
引用
GB/T 7714-2015
复制
MLA
复制
APA
复制
导出至
BibTeX EndNote RefMan NoteFirst NoteExpress
×
提示
您的信息不完整,为了账户安全,请先补充。
现在去补充
×
提示
您因"违规操作"
具体请查看互助需知
我知道了
×
提示
确定
请完成安全验证×
copy
已复制链接
快去分享给好友吧!
我知道了
右上角分享
点击右上角分享
0
联系我们:info@booksci.cn Book学术提供免费学术资源搜索服务,方便国内外学者检索中英文文献。致力于提供最便捷和优质的服务体验。 Copyright © 2023 布克学术 All rights reserved.
京ICP备2023020795号-1
ghs 京公网安备 11010802042870号
Book学术文献互助
Book学术文献互助群
群 号:604180095
Book学术官方微信