切除及再生牙周治疗上颌II类功能缺损1例,随访24个月。

Q2 Dentistry
Pierre Braz, Karolina Skarlet Silva Viana, Milena Mageski Ferreira Silveira, Rafael Paschoal Esteves Lima
{"title":"切除及再生牙周治疗上颌II类功能缺损1例,随访24个月。","authors":"Pierre Braz, Karolina Skarlet Silva Viana, Milena Mageski Ferreira Silveira, Rafael Paschoal Esteves Lima","doi":"10.4103/jisp.jisp_535_23","DOIUrl":null,"url":null,"abstract":"<p><p>Periodontal treatment of teeth with furcation defects is challenging due to the complex anatomy of the area. Resective techniques, such as root resection, may be effective in managing teeth with this defect if appropriately indicated and can lead to satisfactory survival rates associated with a favorable prognosis. This report describes the treatment of a Class II furcation defect in an upper molar using root resection combined with regenerative procedures. The regenerative procedure involved the use of a lyophilized bone graft combined with the use of a collagen membrane and a connective tissue graft. The 24-month follow-up demonstrated the success of the therapy, with a gain in clinical attachment level, a reduction in probing pocket depth, and a tomographic image showing the formation of new lamina dura. A healthy and stable periodontium can be achieved through the correct application of more conservative techniques aimed at preserving the dental element.</p>","PeriodicalId":15890,"journal":{"name":"Journal of Indian Society of Periodontology","volume":"28 5","pages":"581-586"},"PeriodicalIF":0.0000,"publicationDate":"2024-09-01","publicationTypes":"Journal Article","fieldsOfStudy":null,"isOpenAccess":false,"openAccessPdf":"https://www.ncbi.nlm.nih.gov/pmc/articles/PMC11932571/pdf/","citationCount":"0","resultStr":"{\"title\":\"Resective and regenerative periodontal therapy for maxillary Class II furcation defect: A case report with 24-month follow-up.\",\"authors\":\"Pierre Braz, Karolina Skarlet Silva Viana, Milena Mageski Ferreira Silveira, Rafael Paschoal Esteves Lima\",\"doi\":\"10.4103/jisp.jisp_535_23\",\"DOIUrl\":null,\"url\":null,\"abstract\":\"<p><p>Periodontal treatment of teeth with furcation defects is challenging due to the complex anatomy of the area. Resective techniques, such as root resection, may be effective in managing teeth with this defect if appropriately indicated and can lead to satisfactory survival rates associated with a favorable prognosis. This report describes the treatment of a Class II furcation defect in an upper molar using root resection combined with regenerative procedures. The regenerative procedure involved the use of a lyophilized bone graft combined with the use of a collagen membrane and a connective tissue graft. The 24-month follow-up demonstrated the success of the therapy, with a gain in clinical attachment level, a reduction in probing pocket depth, and a tomographic image showing the formation of new lamina dura. A healthy and stable periodontium can be achieved through the correct application of more conservative techniques aimed at preserving the dental element.</p>\",\"PeriodicalId\":15890,\"journal\":{\"name\":\"Journal of Indian Society of Periodontology\",\"volume\":\"28 5\",\"pages\":\"581-586\"},\"PeriodicalIF\":0.0000,\"publicationDate\":\"2024-09-01\",\"publicationTypes\":\"Journal Article\",\"fieldsOfStudy\":null,\"isOpenAccess\":false,\"openAccessPdf\":\"https://www.ncbi.nlm.nih.gov/pmc/articles/PMC11932571/pdf/\",\"citationCount\":\"0\",\"resultStr\":null,\"platform\":\"Semanticscholar\",\"paperid\":null,\"PeriodicalName\":\"Journal of Indian Society of Periodontology\",\"FirstCategoryId\":\"1085\",\"ListUrlMain\":\"https://doi.org/10.4103/jisp.jisp_535_23\",\"RegionNum\":0,\"RegionCategory\":null,\"ArticlePicture\":[],\"TitleCN\":null,\"AbstractTextCN\":null,\"PMCID\":null,\"EPubDate\":\"2025/2/26 0:00:00\",\"PubModel\":\"Epub\",\"JCR\":\"Q2\",\"JCRName\":\"Dentistry\",\"Score\":null,\"Total\":0}","platform":"Semanticscholar","paperid":null,"PeriodicalName":"Journal of Indian Society of Periodontology","FirstCategoryId":"1085","ListUrlMain":"https://doi.org/10.4103/jisp.jisp_535_23","RegionNum":0,"RegionCategory":null,"ArticlePicture":[],"TitleCN":null,"AbstractTextCN":null,"PMCID":null,"EPubDate":"2025/2/26 0:00:00","PubModel":"Epub","JCR":"Q2","JCRName":"Dentistry","Score":null,"Total":0}
引用次数: 0

摘要

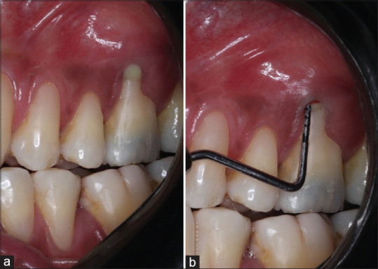
牙齿分叉缺陷的牙周治疗是具有挑战性的,因为该区域的复杂解剖结构。切除技术,如根切除,可以有效地治疗牙齿缺损,如果有适当的指示,可以导致令人满意的存活率和良好的预后。本报告描述了使用根切除结合再生手术治疗上磨牙II级分叉缺陷。再生过程包括使用冻干骨移植物结合使用胶原膜和结缔组织移植物。24个月的随访证明了治疗的成功,临床附着水平增加,探测袋深度减少,断层图像显示新硬膜层的形成。一个健康和稳定的牙周组织可以通过正确的应用更保守的技术来保护牙齿。
本文章由计算机程序翻译,如有差异,请以英文原文为准。

Resective and regenerative periodontal therapy for maxillary Class II furcation defect: A case report with 24-month follow-up.

Resective and regenerative periodontal therapy for maxillary Class II furcation defect: A case report with 24-month follow-up.

Resective and regenerative periodontal therapy for maxillary Class II furcation defect: A case report with 24-month follow-up.

Resective and regenerative periodontal therapy for maxillary Class II furcation defect: A case report with 24-month follow-up.

Periodontal treatment of teeth with furcation defects is challenging due to the complex anatomy of the area. Resective techniques, such as root resection, may be effective in managing teeth with this defect if appropriately indicated and can lead to satisfactory survival rates associated with a favorable prognosis. This report describes the treatment of a Class II furcation defect in an upper molar using root resection combined with regenerative procedures. The regenerative procedure involved the use of a lyophilized bone graft combined with the use of a collagen membrane and a connective tissue graft. The 24-month follow-up demonstrated the success of the therapy, with a gain in clinical attachment level, a reduction in probing pocket depth, and a tomographic image showing the formation of new lamina dura. A healthy and stable periodontium can be achieved through the correct application of more conservative techniques aimed at preserving the dental element.

求助全文
通过发布文献求助,成功后即可免费获取论文全文。 去求助
来源期刊
CiteScore
1.70
自引率
0.00%
发文量
87
审稿时长
44 weeks
期刊介绍: The Journal of Indian Society of Periodontology publishes original scientific articles to support practice , education and research in the dental specialty of periodontology and oral implantology. Journal of Indian Society of Periodontology (JISP), is the official publication of the Society and is managed and brought out by the Editor of the society. The journal is published Bimonthly with special issues being brought out for specific occasions. The ISP had a bulletin as its publication for a large number of years and was enhanced as a Journal a few years ago
×
引用
GB/T 7714-2015
复制
MLA
复制
APA
复制
导出至
BibTeX EndNote RefMan NoteFirst NoteExpress
×
提示
您的信息不完整,为了账户安全,请先补充。
现在去补充
×
提示
您因"违规操作"
具体请查看互助需知
我知道了
×
提示
确定
请完成安全验证×
copy
已复制链接
快去分享给好友吧!
我知道了
右上角分享
点击右上角分享
0
联系我们:info@booksci.cn Book学术提供免费学术资源搜索服务,方便国内外学者检索中英文文献。致力于提供最便捷和优质的服务体验。 Copyright © 2023 布克学术 All rights reserved.
京ICP备2023020795号-1
ghs 京公网安备 11010802042870号
Book学术文献互助
Book学术文献互助群
群 号:604180095
Book学术官方微信