低水平激光治疗对富血小板纤维蛋白影响的显微评价:体外研究。

Q2 Dentistry
Sruthi Kallayil Suresh, Girija Venkatesh Arishinagodi, Mallanagouda B Patil
{"title":"低水平激光治疗对富血小板纤维蛋白影响的显微评价:体外研究。","authors":"Sruthi Kallayil Suresh, Girija Venkatesh Arishinagodi, Mallanagouda B Patil","doi":"10.4103/jisp.jisp_534_23","DOIUrl":null,"url":null,"abstract":"<p><strong>Background: </strong>Platelet-rich fibrin (PRF) serves as a natural fibrin-based biomaterial scaffold, facilitating cellular attachment. Low-level laser therapy (LLLT) may influence PRF properties through its stimulatory effects.</p><p><strong>Aim: </strong>The study aimed to evaluate the effect of LLLT on PRF architectural changes and platelet concentrate values.</p><p><strong>Materials and methods: </strong>Thirty-four samples from seventeen subjects were included in the study, with 20 mL of blood collected from each participant. Blood was distributed into two 10 mL vacutainer tubes: one served as a control for baseline platelet and leukocyte counts, whereas the other was used for PRF preparation. The PRF samples were vertically cut into two equal parts and divided into two groups: Group I (without laser treatment) and Group II (treated with LLLT). Histological preparations were performed for all samples. The mean and standard deviation of platelet and leukocyte counts in Groups I and II were analyzed using the Statistical Package for the Social Sciences (SPSS) version 17.1. Analysis of variance (ANOVA) and <i>post hoc</i> tests were employed for comparisons.</p><p><strong>Results: </strong>Platelet and leukocyte values showed statistically significant differences, with greater cellular entrapment in Group II compared to Group I. The residual serum cell count in both groups was lower than the whole blood cell count. Microscopically, Group I displayed dense, thick fibrils with increased spacing distally, whereas Group II exhibited thinner fibrils with gradual density changes toward the distal end.</p><p><strong>Conclusion: </strong>PRF obtained in both groups was similar in size. Laser irradiation altered the fibrin architecture and enhanced platelet and leukocyte entrapment in PRF.</p>","PeriodicalId":15890,"journal":{"name":"Journal of Indian Society of Periodontology","volume":"28 5","pages":"529-532"},"PeriodicalIF":0.0000,"publicationDate":"2024-09-01","publicationTypes":"Journal Article","fieldsOfStudy":null,"isOpenAccess":false,"openAccessPdf":"https://www.ncbi.nlm.nih.gov/pmc/articles/PMC11932570/pdf/","citationCount":"0","resultStr":"{\"title\":\"Microscopic evaluation of the effect of low-level laser therapy on platelet-rich fibrin: An <i>in vitro</i> study.\",\"authors\":\"Sruthi Kallayil Suresh, Girija Venkatesh Arishinagodi, Mallanagouda B Patil\",\"doi\":\"10.4103/jisp.jisp_534_23\",\"DOIUrl\":null,\"url\":null,\"abstract\":\"<p><strong>Background: </strong>Platelet-rich fibrin (PRF) serves as a natural fibrin-based biomaterial scaffold, facilitating cellular attachment. Low-level laser therapy (LLLT) may influence PRF properties through its stimulatory effects.</p><p><strong>Aim: </strong>The study aimed to evaluate the effect of LLLT on PRF architectural changes and platelet concentrate values.</p><p><strong>Materials and methods: </strong>Thirty-four samples from seventeen subjects were included in the study, with 20 mL of blood collected from each participant. Blood was distributed into two 10 mL vacutainer tubes: one served as a control for baseline platelet and leukocyte counts, whereas the other was used for PRF preparation. The PRF samples were vertically cut into two equal parts and divided into two groups: Group I (without laser treatment) and Group II (treated with LLLT). Histological preparations were performed for all samples. The mean and standard deviation of platelet and leukocyte counts in Groups I and II were analyzed using the Statistical Package for the Social Sciences (SPSS) version 17.1. Analysis of variance (ANOVA) and <i>post hoc</i> tests were employed for comparisons.</p><p><strong>Results: </strong>Platelet and leukocyte values showed statistically significant differences, with greater cellular entrapment in Group II compared to Group I. The residual serum cell count in both groups was lower than the whole blood cell count. Microscopically, Group I displayed dense, thick fibrils with increased spacing distally, whereas Group II exhibited thinner fibrils with gradual density changes toward the distal end.</p><p><strong>Conclusion: </strong>PRF obtained in both groups was similar in size. Laser irradiation altered the fibrin architecture and enhanced platelet and leukocyte entrapment in PRF.</p>\",\"PeriodicalId\":15890,\"journal\":{\"name\":\"Journal of Indian Society of Periodontology\",\"volume\":\"28 5\",\"pages\":\"529-532\"},\"PeriodicalIF\":0.0000,\"publicationDate\":\"2024-09-01\",\"publicationTypes\":\"Journal Article\",\"fieldsOfStudy\":null,\"isOpenAccess\":false,\"openAccessPdf\":\"https://www.ncbi.nlm.nih.gov/pmc/articles/PMC11932570/pdf/\",\"citationCount\":\"0\",\"resultStr\":null,\"platform\":\"Semanticscholar\",\"paperid\":null,\"PeriodicalName\":\"Journal of Indian Society of Periodontology\",\"FirstCategoryId\":\"1085\",\"ListUrlMain\":\"https://doi.org/10.4103/jisp.jisp_534_23\",\"RegionNum\":0,\"RegionCategory\":null,\"ArticlePicture\":[],\"TitleCN\":null,\"AbstractTextCN\":null,\"PMCID\":null,\"EPubDate\":\"2025/2/26 0:00:00\",\"PubModel\":\"Epub\",\"JCR\":\"Q2\",\"JCRName\":\"Dentistry\",\"Score\":null,\"Total\":0}","platform":"Semanticscholar","paperid":null,"PeriodicalName":"Journal of Indian Society of Periodontology","FirstCategoryId":"1085","ListUrlMain":"https://doi.org/10.4103/jisp.jisp_534_23","RegionNum":0,"RegionCategory":null,"ArticlePicture":[],"TitleCN":null,"AbstractTextCN":null,"PMCID":null,"EPubDate":"2025/2/26 0:00:00","PubModel":"Epub","JCR":"Q2","JCRName":"Dentistry","Score":null,"Total":0}
引用次数: 0

摘要

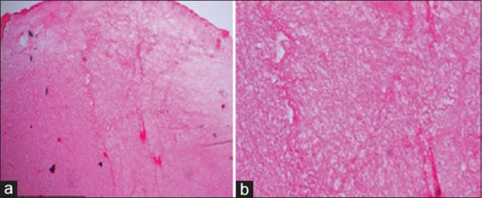
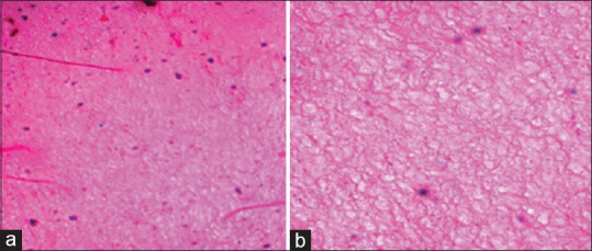
背景:富血小板纤维蛋白(PRF)是一种天然的基于纤维蛋白的生物材料支架,促进细胞附着。低水平激光治疗(LLLT)可能通过其刺激作用影响PRF的性质。目的:评价大鼠血小板浓缩值和血小板结构变化对大鼠血小板浓缩值的影响。材料与方法:共选取17名受试者34份样本,每位受试者采集血液20 mL。将血液分配到两个10ml的真空管中:一个作为基线血小板和白细胞计数的对照,而另一个用于PRF制备。将PRF标本垂直切成两等份,分为两组:I组(未经激光处理)和II组(经LLLT处理)。对所有样品进行组织学准备。使用社会科学统计软件包(SPSS) 17.1版分析I组和II组血小板和白细胞计数的平均值和标准差。比较采用方差分析(ANOVA)和事后检验。结果:血小板和白细胞值差异有统计学意义,II组的细胞夹持量大于i组,两组的剩余血清细胞计数均低于全血细胞计数。显微镜下,组I显示致密,粗原纤维,远端间距增加,而组II显示较薄的原纤维,远端密度逐渐变化。结论:两组获得的PRF大小相近。激光照射改变了纤维蛋白结构,增强了PRF中血小板和白细胞的包裹。
本文章由计算机程序翻译,如有差异,请以英文原文为准。

Microscopic evaluation of the effect of low-level laser therapy on platelet-rich fibrin: An <i>in vitro</i> study.

Microscopic evaluation of the effect of low-level laser therapy on platelet-rich fibrin: An <i>in vitro</i> study.

Microscopic evaluation of the effect of low-level laser therapy on platelet-rich fibrin: An in vitro study.

Background: Platelet-rich fibrin (PRF) serves as a natural fibrin-based biomaterial scaffold, facilitating cellular attachment. Low-level laser therapy (LLLT) may influence PRF properties through its stimulatory effects.

Aim: The study aimed to evaluate the effect of LLLT on PRF architectural changes and platelet concentrate values.

Materials and methods: Thirty-four samples from seventeen subjects were included in the study, with 20 mL of blood collected from each participant. Blood was distributed into two 10 mL vacutainer tubes: one served as a control for baseline platelet and leukocyte counts, whereas the other was used for PRF preparation. The PRF samples were vertically cut into two equal parts and divided into two groups: Group I (without laser treatment) and Group II (treated with LLLT). Histological preparations were performed for all samples. The mean and standard deviation of platelet and leukocyte counts in Groups I and II were analyzed using the Statistical Package for the Social Sciences (SPSS) version 17.1. Analysis of variance (ANOVA) and post hoc tests were employed for comparisons.

Results: Platelet and leukocyte values showed statistically significant differences, with greater cellular entrapment in Group II compared to Group I. The residual serum cell count in both groups was lower than the whole blood cell count. Microscopically, Group I displayed dense, thick fibrils with increased spacing distally, whereas Group II exhibited thinner fibrils with gradual density changes toward the distal end.

Conclusion: PRF obtained in both groups was similar in size. Laser irradiation altered the fibrin architecture and enhanced platelet and leukocyte entrapment in PRF.

求助全文
通过发布文献求助,成功后即可免费获取论文全文。 去求助
来源期刊
CiteScore
1.70
自引率
0.00%
发文量
87
审稿时长
44 weeks
期刊介绍: The Journal of Indian Society of Periodontology publishes original scientific articles to support practice , education and research in the dental specialty of periodontology and oral implantology. Journal of Indian Society of Periodontology (JISP), is the official publication of the Society and is managed and brought out by the Editor of the society. The journal is published Bimonthly with special issues being brought out for specific occasions. The ISP had a bulletin as its publication for a large number of years and was enhanced as a Journal a few years ago
×
引用
GB/T 7714-2015
复制
MLA
复制
APA
复制
导出至
BibTeX EndNote RefMan NoteFirst NoteExpress
×
提示
您的信息不完整,为了账户安全,请先补充。
现在去补充
×
提示
您因"违规操作"
具体请查看互助需知
我知道了
×
提示
确定
请完成安全验证×
copy
已复制链接
快去分享给好友吧!
我知道了
右上角分享
点击右上角分享
0
联系我们:info@booksci.cn Book学术提供免费学术资源搜索服务,方便国内外学者检索中英文文献。致力于提供最便捷和优质的服务体验。 Copyright © 2023 布克学术 All rights reserved.
京ICP备2023020795号-1
ghs 京公网安备 11010802042870号
Book学术文献互助
Book学术文献互助群
群 号:604180095
Book学术官方微信