利用磁共振成像评估人工智能对局灶性结节增生的诊断:初步发现。

IF 1.7 4区 医学 Q3 RADIOLOGY, NUCLEAR MEDICINE & MEDICAL IMAGING
Diagnostic and interventional radiology Pub Date : 2025-09-08 Epub Date: 2025-03-26 DOI:10.4274/dir.2025.243095
Mecit Kantarcı, Volkan Kızılgöz, Ramazan Terzi, Ahmet Enes Kılıç, Halime Kabalcı, Önder Durmaz, Nil Tokgöz, Mustafa Harman, Ayşegül Sağır Kahraman, Ali Avanaz, Sonay Aydın, Gülsüm Özlem Elpek, Merve Yazol, Bülent Aydınlı
{"title":"利用磁共振成像评估人工智能对局灶性结节增生的诊断:初步发现。","authors":"Mecit Kantarcı, Volkan Kızılgöz, Ramazan Terzi, Ahmet Enes Kılıç, Halime Kabalcı, Önder Durmaz, Nil Tokgöz, Mustafa Harman, Ayşegül Sağır Kahraman, Ali Avanaz, Sonay Aydın, Gülsüm Özlem Elpek, Merve Yazol, Bülent Aydınlı","doi":"10.4274/dir.2025.243095","DOIUrl":null,"url":null,"abstract":"<p><strong>Purpose: </strong>This study aimed to evaluate the effectiveness of artificial intelligence (AI) in diagnosing focal nodular hyperplasia (FNH) of the liver using magnetic resonance imaging (MRI) and compare its performance with that of radiologists.</p><p><strong>Methods: </strong>In the first phase of the study, the MRIs of 60 patients (30 patients with FNH and 30 patients with no lesions or lesions other than FNH) were processed using a segmentation program and introduced to an AI model. After the learning process, the MRIs of 42 different patients that the AI model had no experience with were introduced to the system. In addition, a radiology resident and a radiology specialist evaluated patients with the same MR sequences. The sensitivity and specificity values were obtained from all three reviews.</p><p><strong>Results: </strong>The sensitivity, specificity, positive predictive value (PPV), and negative predictive value (NPV) of the AI model were found to be 0.769, 0.966, 0.909, and 0.903, respectively. The sensitivity and specificity values were higher than those of the radiology resident and lower than those of the radiology specialist. The results of the specialist versus the AI model revealed a good agreement level, with a kappa (κ) value of 0.777.</p><p><strong>Conclusion: </strong>For the diagnosis of FNH, the sensitivity, specificity, PPV, and NPV of the AI device were higher than those of the radiology resident and lower than those of the radiology specialist. With additional studies focused on different specific lesions of the liver, AI models are expected to be able to diagnose each liver lesion with high accuracy in the future.</p><p><strong>Clinical significance: </strong>AI is studied to provide assisted or automated interpretation of radiological images with an accurate and reproducible imaging diagnosis.</p>","PeriodicalId":11341,"journal":{"name":"Diagnostic and interventional radiology","volume":" ","pages":"405-415"},"PeriodicalIF":1.7000,"publicationDate":"2025-09-08","publicationTypes":"Journal Article","fieldsOfStudy":null,"isOpenAccess":false,"openAccessPdf":"https://www.ncbi.nlm.nih.gov/pmc/articles/PMC12417915/pdf/","citationCount":"0","resultStr":"{\"title\":\"Evaluating artificial intelligence for a focal nodular hyperplasia diagnosis using magnetic resonance imaging: preliminary findings.\",\"authors\":\"Mecit Kantarcı, Volkan Kızılgöz, Ramazan Terzi, Ahmet Enes Kılıç, Halime Kabalcı, Önder Durmaz, Nil Tokgöz, Mustafa Harman, Ayşegül Sağır Kahraman, Ali Avanaz, Sonay Aydın, Gülsüm Özlem Elpek, Merve Yazol, Bülent Aydınlı\",\"doi\":\"10.4274/dir.2025.243095\",\"DOIUrl\":null,\"url\":null,\"abstract\":\"<p><strong>Purpose: </strong>This study aimed to evaluate the effectiveness of artificial intelligence (AI) in diagnosing focal nodular hyperplasia (FNH) of the liver using magnetic resonance imaging (MRI) and compare its performance with that of radiologists.</p><p><strong>Methods: </strong>In the first phase of the study, the MRIs of 60 patients (30 patients with FNH and 30 patients with no lesions or lesions other than FNH) were processed using a segmentation program and introduced to an AI model. After the learning process, the MRIs of 42 different patients that the AI model had no experience with were introduced to the system. In addition, a radiology resident and a radiology specialist evaluated patients with the same MR sequences. The sensitivity and specificity values were obtained from all three reviews.</p><p><strong>Results: </strong>The sensitivity, specificity, positive predictive value (PPV), and negative predictive value (NPV) of the AI model were found to be 0.769, 0.966, 0.909, and 0.903, respectively. The sensitivity and specificity values were higher than those of the radiology resident and lower than those of the radiology specialist. The results of the specialist versus the AI model revealed a good agreement level, with a kappa (κ) value of 0.777.</p><p><strong>Conclusion: </strong>For the diagnosis of FNH, the sensitivity, specificity, PPV, and NPV of the AI device were higher than those of the radiology resident and lower than those of the radiology specialist. With additional studies focused on different specific lesions of the liver, AI models are expected to be able to diagnose each liver lesion with high accuracy in the future.</p><p><strong>Clinical significance: </strong>AI is studied to provide assisted or automated interpretation of radiological images with an accurate and reproducible imaging diagnosis.</p>\",\"PeriodicalId\":11341,\"journal\":{\"name\":\"Diagnostic and interventional radiology\",\"volume\":\" \",\"pages\":\"405-415\"},\"PeriodicalIF\":1.7000,\"publicationDate\":\"2025-09-08\",\"publicationTypes\":\"Journal Article\",\"fieldsOfStudy\":null,\"isOpenAccess\":false,\"openAccessPdf\":\"https://www.ncbi.nlm.nih.gov/pmc/articles/PMC12417915/pdf/\",\"citationCount\":\"0\",\"resultStr\":null,\"platform\":\"Semanticscholar\",\"paperid\":null,\"PeriodicalName\":\"Diagnostic and interventional radiology\",\"FirstCategoryId\":\"3\",\"ListUrlMain\":\"https://doi.org/10.4274/dir.2025.243095\",\"RegionNum\":4,\"RegionCategory\":\"医学\",\"ArticlePicture\":[],\"TitleCN\":null,\"AbstractTextCN\":null,\"PMCID\":null,\"EPubDate\":\"2025/3/26 0:00:00\",\"PubModel\":\"Epub\",\"JCR\":\"Q3\",\"JCRName\":\"RADIOLOGY, NUCLEAR MEDICINE & MEDICAL IMAGING\",\"Score\":null,\"Total\":0}","platform":"Semanticscholar","paperid":null,"PeriodicalName":"Diagnostic and interventional radiology","FirstCategoryId":"3","ListUrlMain":"https://doi.org/10.4274/dir.2025.243095","RegionNum":4,"RegionCategory":"医学","ArticlePicture":[],"TitleCN":null,"AbstractTextCN":null,"PMCID":null,"EPubDate":"2025/3/26 0:00:00","PubModel":"Epub","JCR":"Q3","JCRName":"RADIOLOGY, NUCLEAR MEDICINE & MEDICAL IMAGING","Score":null,"Total":0}
引用次数: 0

摘要

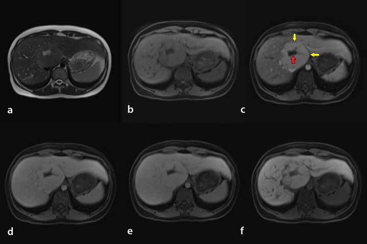
目的:本研究旨在评价人工智能(AI)在磁共振成像(MRI)诊断肝脏局灶性结节性增生(FNH)中的有效性,并与放射科医生进行比较。方法:在第一阶段的研究中,使用分割程序对60例患者(30例FNH患者和30例无病变或非FNH病变患者)的mri进行处理,并引入AI模型。在学习过程之后,将人工智能模型没有经验的42名不同患者的核磁共振成像引入系统。此外,一名放射科住院医师和一名放射科专家评估了具有相同MR序列的患者。敏感性和特异性值均来自所有三篇综述。结果:AI模型的敏感性为0.769,特异性为0.966,阳性预测值为0.909,阴性预测值为0.903。敏感性和特异性值高于放射科住院医师,低于放射科专科医师。专家与人工智能模型的结果显示出良好的一致性水平,kappa (κ)值为0.777。结论:人工智能设备诊断FNH的敏感性、特异性、PPV、NPV均高于放射科住院医师,低于放射科专科医师。随着对肝脏不同特定病变的进一步研究,人工智能模型有望在未来能够高精度地诊断每种肝脏病变。临床意义:研究人工智能为放射图像提供辅助或自动解释,并提供准确和可重复的成像诊断。
本文章由计算机程序翻译,如有差异,请以英文原文为准。

Evaluating artificial intelligence for a focal nodular hyperplasia diagnosis using magnetic resonance imaging: preliminary findings.

Evaluating artificial intelligence for a focal nodular hyperplasia diagnosis using magnetic resonance imaging: preliminary findings.

Evaluating artificial intelligence for a focal nodular hyperplasia diagnosis using magnetic resonance imaging: preliminary findings.

Evaluating artificial intelligence for a focal nodular hyperplasia diagnosis using magnetic resonance imaging: preliminary findings.

Purpose: This study aimed to evaluate the effectiveness of artificial intelligence (AI) in diagnosing focal nodular hyperplasia (FNH) of the liver using magnetic resonance imaging (MRI) and compare its performance with that of radiologists.

Methods: In the first phase of the study, the MRIs of 60 patients (30 patients with FNH and 30 patients with no lesions or lesions other than FNH) were processed using a segmentation program and introduced to an AI model. After the learning process, the MRIs of 42 different patients that the AI model had no experience with were introduced to the system. In addition, a radiology resident and a radiology specialist evaluated patients with the same MR sequences. The sensitivity and specificity values were obtained from all three reviews.

Results: The sensitivity, specificity, positive predictive value (PPV), and negative predictive value (NPV) of the AI model were found to be 0.769, 0.966, 0.909, and 0.903, respectively. The sensitivity and specificity values were higher than those of the radiology resident and lower than those of the radiology specialist. The results of the specialist versus the AI model revealed a good agreement level, with a kappa (κ) value of 0.777.

Conclusion: For the diagnosis of FNH, the sensitivity, specificity, PPV, and NPV of the AI device were higher than those of the radiology resident and lower than those of the radiology specialist. With additional studies focused on different specific lesions of the liver, AI models are expected to be able to diagnose each liver lesion with high accuracy in the future.

Clinical significance: AI is studied to provide assisted or automated interpretation of radiological images with an accurate and reproducible imaging diagnosis.

求助全文
通过发布文献求助,成功后即可免费获取论文全文。 去求助
来源期刊
Diagnostic and interventional radiology
Diagnostic and interventional radiology Medicine-Radiology, Nuclear Medicine and Imaging
自引率
4.80%
发文量
0
期刊介绍: Diagnostic and Interventional Radiology (Diagn Interv Radiol) is the open access, online-only official publication of Turkish Society of Radiology. It is published bimonthly and the journal’s publication language is English. The journal is a medium for original articles, reviews, pictorial essays, technical notes related to all fields of diagnostic and interventional radiology.
×
引用
GB/T 7714-2015
复制
MLA
复制
APA
复制
导出至
BibTeX EndNote RefMan NoteFirst NoteExpress
×
提示
您的信息不完整,为了账户安全,请先补充。
现在去补充
×
提示
您因"违规操作"
具体请查看互助需知
我知道了
×
提示
确定
请完成安全验证×
copy
已复制链接
快去分享给好友吧!
我知道了
右上角分享
点击右上角分享
0
联系我们:info@booksci.cn Book学术提供免费学术资源搜索服务,方便国内外学者检索中英文文献。致力于提供最便捷和优质的服务体验。 Copyright © 2023 布克学术 All rights reserved.
京ICP备2023020795号-1
ghs 京公网安备 11010802042870号
Book学术文献互助
Book学术文献互助群
群 号:604180095
Book学术官方微信