头颅软骨成骨肉瘤伴远端脑转移的放射外科治疗:一例罕见病例报告。

IF 0.7 Q3 MEDICINE, GENERAL & INTERNAL
Case Reports in Medicine Pub Date : 2025-03-18 eCollection Date: 2025-01-01 DOI:10.1155/carm/5412921
Mohammed A Azab, Ahmed Hazim, Nour El-Gohary, Mohsen Nabih Shama, Brahim Kammoun
{"title":"头颅软骨成骨肉瘤伴远端脑转移的放射外科治疗:一例罕见病例报告。","authors":"Mohammed A Azab, Ahmed Hazim, Nour El-Gohary, Mohsen Nabih Shama, Brahim Kammoun","doi":"10.1155/carm/5412921","DOIUrl":null,"url":null,"abstract":"<p><p><b>Background:</b> Cerebral metastases from soft tissue and bone sarcoma are uncommon. Metastatic sarcoma of the brain is a highly aggressive disease with a poor prognosis. There is no consensus regarding the management of cerebral metastases from bone sarcomas. <b>Clinical Presentation:</b> The patient is a 60-year-old, right-handed male, who presented with a right frontal scalp swelling that was hard in consistency. On examination, he had pain and tenderness over the swelling. The neurological examination was normal. <b>Investigations:</b> Initial CTH revealed a right frontal skull lesion with characteristic expansion and sunburst appearance with a degree of cortical destruction. MRI brain with contrast showed features suggestive of skull osteosarcoma. <b>Management:</b> He underwent a subtotal tumor resection. He was diagnosed with high-grade chondroblastoma-like osteosarcoma of the skull. Subsequently, he received three cycles of neoadjuvant chemotherapy in the form of Adriamycin and cisplatin. One year later, he underwent further surgical intervention with an additional skull resection and reconstruction using mesh and scalp reconstruction. <b>Follow-Up:</b> MRI brain with contrast showed a distant metastasis in the right transverse sinus and other distant brain areas and were treated with Gamma Knife radiosurgery (GKRS) 6 months after the primary surgery. <b>Conclusion:</b> Skull calvarium primary osteosarcoma is a rare pathology. Cerebral metastasis from skull bone osteosarcoma is a challenging clinical situation that requires a multidisciplinary therapeutic approach that includes neurosurgery, plastic surgery, chemotherapy, and radiosurgery.</p>","PeriodicalId":9627,"journal":{"name":"Case Reports in Medicine","volume":"2025 ","pages":"5412921"},"PeriodicalIF":0.7000,"publicationDate":"2025-03-18","publicationTypes":"Journal Article","fieldsOfStudy":null,"isOpenAccess":false,"openAccessPdf":"https://www.ncbi.nlm.nih.gov/pmc/articles/PMC11936537/pdf/","citationCount":"0","resultStr":"{\"title\":\"Calvarial Chondroplastic Osteosarcoma With Distant Brain Metastasis Treated With Radiosurgery: A Rare Case Report.\",\"authors\":\"Mohammed A Azab, Ahmed Hazim, Nour El-Gohary, Mohsen Nabih Shama, Brahim Kammoun\",\"doi\":\"10.1155/carm/5412921\",\"DOIUrl\":null,\"url\":null,\"abstract\":\"<p><p><b>Background:</b> Cerebral metastases from soft tissue and bone sarcoma are uncommon. Metastatic sarcoma of the brain is a highly aggressive disease with a poor prognosis. There is no consensus regarding the management of cerebral metastases from bone sarcomas. <b>Clinical Presentation:</b> The patient is a 60-year-old, right-handed male, who presented with a right frontal scalp swelling that was hard in consistency. On examination, he had pain and tenderness over the swelling. The neurological examination was normal. <b>Investigations:</b> Initial CTH revealed a right frontal skull lesion with characteristic expansion and sunburst appearance with a degree of cortical destruction. MRI brain with contrast showed features suggestive of skull osteosarcoma. <b>Management:</b> He underwent a subtotal tumor resection. He was diagnosed with high-grade chondroblastoma-like osteosarcoma of the skull. Subsequently, he received three cycles of neoadjuvant chemotherapy in the form of Adriamycin and cisplatin. One year later, he underwent further surgical intervention with an additional skull resection and reconstruction using mesh and scalp reconstruction. <b>Follow-Up:</b> MRI brain with contrast showed a distant metastasis in the right transverse sinus and other distant brain areas and were treated with Gamma Knife radiosurgery (GKRS) 6 months after the primary surgery. <b>Conclusion:</b> Skull calvarium primary osteosarcoma is a rare pathology. Cerebral metastasis from skull bone osteosarcoma is a challenging clinical situation that requires a multidisciplinary therapeutic approach that includes neurosurgery, plastic surgery, chemotherapy, and radiosurgery.</p>\",\"PeriodicalId\":9627,\"journal\":{\"name\":\"Case Reports in Medicine\",\"volume\":\"2025 \",\"pages\":\"5412921\"},\"PeriodicalIF\":0.7000,\"publicationDate\":\"2025-03-18\",\"publicationTypes\":\"Journal Article\",\"fieldsOfStudy\":null,\"isOpenAccess\":false,\"openAccessPdf\":\"https://www.ncbi.nlm.nih.gov/pmc/articles/PMC11936537/pdf/\",\"citationCount\":\"0\",\"resultStr\":null,\"platform\":\"Semanticscholar\",\"paperid\":null,\"PeriodicalName\":\"Case Reports in Medicine\",\"FirstCategoryId\":\"1085\",\"ListUrlMain\":\"https://doi.org/10.1155/carm/5412921\",\"RegionNum\":0,\"RegionCategory\":null,\"ArticlePicture\":[],\"TitleCN\":null,\"AbstractTextCN\":null,\"PMCID\":null,\"EPubDate\":\"2025/1/1 0:00:00\",\"PubModel\":\"eCollection\",\"JCR\":\"Q3\",\"JCRName\":\"MEDICINE, GENERAL & INTERNAL\",\"Score\":null,\"Total\":0}","platform":"Semanticscholar","paperid":null,"PeriodicalName":"Case Reports in Medicine","FirstCategoryId":"1085","ListUrlMain":"https://doi.org/10.1155/carm/5412921","RegionNum":0,"RegionCategory":null,"ArticlePicture":[],"TitleCN":null,"AbstractTextCN":null,"PMCID":null,"EPubDate":"2025/1/1 0:00:00","PubModel":"eCollection","JCR":"Q3","JCRName":"MEDICINE, GENERAL & INTERNAL","Score":null,"Total":0}
引用次数: 0

摘要

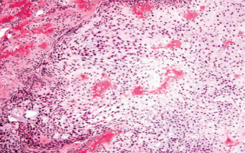
背景:从软组织和骨肉瘤转移的脑肿瘤并不常见。脑转移性肉瘤是一种侵袭性很强的疾病,预后差。关于骨肉瘤脑转移的治疗尚无共识。临床表现:患者60岁,右撇子男性,表现为右额部头皮肿胀,硬稠度。经检查,他肿胀处有疼痛和压痛。神经系统检查正常。检查:最初的CTH显示右额颅骨病变具有特征性的扩张和晒斑外观,并伴有一定程度的皮质破坏。脑MRI示颅骨骨肉瘤征象。治疗方法:行肿瘤次全切除术。他被诊断为颅骨高度软骨母细胞瘤样骨肉瘤。随后,他接受了三个周期的阿霉素和顺铂新辅助化疗。一年后,他接受了进一步的手术干预,并使用补片和头皮重建进行了额外的颅骨切除术和重建。随访:MRI脑造影显示右侧横窦及其他脑远区远处转移,原发手术后6个月行伽玛刀放射治疗。结论:颅骨原发性骨肉瘤是一种罕见的疾病。颅骨骨肉瘤脑转移是一个具有挑战性的临床情况,需要多学科的治疗方法,包括神经外科、整形外科、化疗和放射外科。
本文章由计算机程序翻译,如有差异,请以英文原文为准。

Calvarial Chondroplastic Osteosarcoma With Distant Brain Metastasis Treated With Radiosurgery: A Rare Case Report.

Calvarial Chondroplastic Osteosarcoma With Distant Brain Metastasis Treated With Radiosurgery: A Rare Case Report.

Calvarial Chondroplastic Osteosarcoma With Distant Brain Metastasis Treated With Radiosurgery: A Rare Case Report.

Calvarial Chondroplastic Osteosarcoma With Distant Brain Metastasis Treated With Radiosurgery: A Rare Case Report.

Background: Cerebral metastases from soft tissue and bone sarcoma are uncommon. Metastatic sarcoma of the brain is a highly aggressive disease with a poor prognosis. There is no consensus regarding the management of cerebral metastases from bone sarcomas. Clinical Presentation: The patient is a 60-year-old, right-handed male, who presented with a right frontal scalp swelling that was hard in consistency. On examination, he had pain and tenderness over the swelling. The neurological examination was normal. Investigations: Initial CTH revealed a right frontal skull lesion with characteristic expansion and sunburst appearance with a degree of cortical destruction. MRI brain with contrast showed features suggestive of skull osteosarcoma. Management: He underwent a subtotal tumor resection. He was diagnosed with high-grade chondroblastoma-like osteosarcoma of the skull. Subsequently, he received three cycles of neoadjuvant chemotherapy in the form of Adriamycin and cisplatin. One year later, he underwent further surgical intervention with an additional skull resection and reconstruction using mesh and scalp reconstruction. Follow-Up: MRI brain with contrast showed a distant metastasis in the right transverse sinus and other distant brain areas and were treated with Gamma Knife radiosurgery (GKRS) 6 months after the primary surgery. Conclusion: Skull calvarium primary osteosarcoma is a rare pathology. Cerebral metastasis from skull bone osteosarcoma is a challenging clinical situation that requires a multidisciplinary therapeutic approach that includes neurosurgery, plastic surgery, chemotherapy, and radiosurgery.

求助全文
通过发布文献求助,成功后即可免费获取论文全文。 去求助
来源期刊
Case Reports in Medicine
Case Reports in Medicine MEDICINE, GENERAL & INTERNAL-
CiteScore
1.70
自引率
0.00%
发文量
53
审稿时长
13 weeks
×
引用
GB/T 7714-2015
复制
MLA
复制
APA
复制
导出至
BibTeX EndNote RefMan NoteFirst NoteExpress
×
提示
您的信息不完整,为了账户安全,请先补充。
现在去补充
×
提示
您因"违规操作"
具体请查看互助需知
我知道了
×
提示
确定
请完成安全验证×
copy
已复制链接
快去分享给好友吧!
我知道了
右上角分享
点击右上角分享
0
联系我们:info@booksci.cn Book学术提供免费学术资源搜索服务,方便国内外学者检索中英文文献。致力于提供最便捷和优质的服务体验。 Copyright © 2023 布克学术 All rights reserved.
京ICP备2023020795号-1
ghs 京公网安备 11010802042870号
Book学术文献互助
Book学术文献互助群
群 号:604180095
Book学术官方微信