嗜酸性肉芽肿伴多血管炎并发大疱性血管炎1例。

IF 0.8 Q4 DERMATOLOGY
Case Reports in Dermatology Pub Date : 2025-02-25 eCollection Date: 2025-01-01 DOI:10.1159/000544815
Tiraporn Phumwiriya, Charussri Leeyaphan
{"title":"嗜酸性肉芽肿伴多血管炎并发大疱性血管炎1例。","authors":"Tiraporn Phumwiriya, Charussri Leeyaphan","doi":"10.1159/000544815","DOIUrl":null,"url":null,"abstract":"<p><strong>Introduction: </strong>Eosinophilic granulomatosis with polyangiitis (EGPA) is a rare systemic vasculitis affecting small- and medium-sized vessels. It is characterized by multiorgan involvement and can lead to severe outcomes if not diagnosed promptly. Cutaneous manifestations are common and typically include palpable purpura and subcutaneous nodules. Widespread bullous vasculitis affecting areas such as the forehead and ear presents an atypical presentation. We report a case of EGPA presenting with bullous vasculitis in an unusual location.</p><p><strong>Case presentation: </strong>A 40-year-old woman with a history of late-onset allergic rhinitis presented with a 2-week history of numbness in her right leg, along with multiple erythematous papules and vesicles, some with shallow erosions, located on the forehead and left ear. She also experienced fever, progressive dyspnea, and hemoptysis. She was diagnosed with pneumonitis, alveolar hemorrhage, and mononeuritis of the right leg. Laboratory findings revealed leukocytosis with eosinophilia, and the anti-myeloperoxidase antibody was positive. Histopathological examination of the bullous lesion on the forehead showed intraepidermal separation with necrotic keratinocytes and prominent eosinophil infiltration, along with focal leukocytoclastic vasculitis. The patient was diagnosed with EGPA and started on intravenous steroids and cyclophosphamide. EGPA is a rare disease characterized by multiorgan vasculitis, asthma, and granulomatous eosinophilic inflammation, which are its key hallmarks. While cutaneous involvement is common, bullous vasculitis is rarely observed on the forehead and ear.</p><p><strong>Conclusions: </strong>EGPA is a challenging diagnosis due to its variable presentation. While cutaneous manifestations are common, widespread bullous vasculitis may be atypical and rare clinical presentation. This case underscores the importance of considering EGPA in the differential diagnosis of bullous vasculitis, particularly when associated with systemic symptoms and eosinophilia. Early recognition and treatment are crucial for improving outcomes in this potentially life-threatening condition.</p>","PeriodicalId":9619,"journal":{"name":"Case Reports in Dermatology","volume":"17 1","pages":"74-79"},"PeriodicalIF":0.8000,"publicationDate":"2025-02-25","publicationTypes":"Journal Article","fieldsOfStudy":null,"isOpenAccess":false,"openAccessPdf":"https://www.ncbi.nlm.nih.gov/pmc/articles/PMC11936433/pdf/","citationCount":"0","resultStr":"{\"title\":\"Bullous Vasculitis in Eosinophilic Granulomatosis with Polyangiitis: A Case Report.\",\"authors\":\"Tiraporn Phumwiriya, Charussri Leeyaphan\",\"doi\":\"10.1159/000544815\",\"DOIUrl\":null,\"url\":null,\"abstract\":\"<p><strong>Introduction: </strong>Eosinophilic granulomatosis with polyangiitis (EGPA) is a rare systemic vasculitis affecting small- and medium-sized vessels. It is characterized by multiorgan involvement and can lead to severe outcomes if not diagnosed promptly. Cutaneous manifestations are common and typically include palpable purpura and subcutaneous nodules. Widespread bullous vasculitis affecting areas such as the forehead and ear presents an atypical presentation. We report a case of EGPA presenting with bullous vasculitis in an unusual location.</p><p><strong>Case presentation: </strong>A 40-year-old woman with a history of late-onset allergic rhinitis presented with a 2-week history of numbness in her right leg, along with multiple erythematous papules and vesicles, some with shallow erosions, located on the forehead and left ear. She also experienced fever, progressive dyspnea, and hemoptysis. She was diagnosed with pneumonitis, alveolar hemorrhage, and mononeuritis of the right leg. Laboratory findings revealed leukocytosis with eosinophilia, and the anti-myeloperoxidase antibody was positive. Histopathological examination of the bullous lesion on the forehead showed intraepidermal separation with necrotic keratinocytes and prominent eosinophil infiltration, along with focal leukocytoclastic vasculitis. The patient was diagnosed with EGPA and started on intravenous steroids and cyclophosphamide. EGPA is a rare disease characterized by multiorgan vasculitis, asthma, and granulomatous eosinophilic inflammation, which are its key hallmarks. While cutaneous involvement is common, bullous vasculitis is rarely observed on the forehead and ear.</p><p><strong>Conclusions: </strong>EGPA is a challenging diagnosis due to its variable presentation. While cutaneous manifestations are common, widespread bullous vasculitis may be atypical and rare clinical presentation. This case underscores the importance of considering EGPA in the differential diagnosis of bullous vasculitis, particularly when associated with systemic symptoms and eosinophilia. Early recognition and treatment are crucial for improving outcomes in this potentially life-threatening condition.</p>\",\"PeriodicalId\":9619,\"journal\":{\"name\":\"Case Reports in Dermatology\",\"volume\":\"17 1\",\"pages\":\"74-79\"},\"PeriodicalIF\":0.8000,\"publicationDate\":\"2025-02-25\",\"publicationTypes\":\"Journal Article\",\"fieldsOfStudy\":null,\"isOpenAccess\":false,\"openAccessPdf\":\"https://www.ncbi.nlm.nih.gov/pmc/articles/PMC11936433/pdf/\",\"citationCount\":\"0\",\"resultStr\":null,\"platform\":\"Semanticscholar\",\"paperid\":null,\"PeriodicalName\":\"Case Reports in Dermatology\",\"FirstCategoryId\":\"1085\",\"ListUrlMain\":\"https://doi.org/10.1159/000544815\",\"RegionNum\":0,\"RegionCategory\":null,\"ArticlePicture\":[],\"TitleCN\":null,\"AbstractTextCN\":null,\"PMCID\":null,\"EPubDate\":\"2025/1/1 0:00:00\",\"PubModel\":\"eCollection\",\"JCR\":\"Q4\",\"JCRName\":\"DERMATOLOGY\",\"Score\":null,\"Total\":0}","platform":"Semanticscholar","paperid":null,"PeriodicalName":"Case Reports in Dermatology","FirstCategoryId":"1085","ListUrlMain":"https://doi.org/10.1159/000544815","RegionNum":0,"RegionCategory":null,"ArticlePicture":[],"TitleCN":null,"AbstractTextCN":null,"PMCID":null,"EPubDate":"2025/1/1 0:00:00","PubModel":"eCollection","JCR":"Q4","JCRName":"DERMATOLOGY","Score":null,"Total":0}
引用次数: 0

摘要

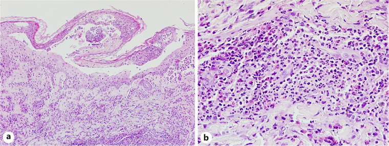
简介:嗜酸性肉芽肿病合并多血管炎(EGPA)是一种罕见的影响中小血管的系统性血管炎。它的特点是多器官受累,如果不及时诊断,可能导致严重的后果。皮肤表现常见,典型包括可触及的紫癜和皮下结节。广泛的大疱性血管炎影响的区域,如额头和耳朵是一个不典型的表现。我们报告一例EGPA在一个不寻常的位置表现为大疱性血管炎。病例介绍:40岁女性,有迟发性变应性鼻炎病史,右腿麻木2周,前额和左耳出现多发红斑丘疹和囊泡,部分有浅糜烂。她还出现发热、进行性呼吸困难和咯血。她被诊断为肺炎、肺泡出血和右腿单神经炎。实验室结果显示白细胞增多伴嗜酸性粒细胞增多,抗髓过氧化物酶抗体阳性。前额大疱性病变的组织病理学检查显示表皮内分离,坏死角质形成细胞和明显的嗜酸性粒细胞浸润,并伴有局灶性白细胞破裂性血管炎。患者被诊断为EGPA,并开始静脉注射类固醇和环磷酰胺。EGPA是一种罕见的疾病,其主要特征是多器官血管炎、哮喘和肉芽肿性嗜酸性粒细胞炎症。虽然皮肤受累是常见的,大疱性血管炎很少观察到在额头和耳朵。结论:EGPA是一个具有挑战性的诊断,由于其可变的表现。虽然皮肤表现是常见的,广泛的大疱性血管炎可能是不典型的和罕见的临床表现。本病例强调了考虑EGPA在大泡性血管炎鉴别诊断中的重要性,特别是当与全身症状和嗜酸性粒细胞增多症相关时。早期识别和治疗对于改善这种可能危及生命的疾病的预后至关重要。
本文章由计算机程序翻译,如有差异,请以英文原文为准。

Bullous Vasculitis in Eosinophilic Granulomatosis with Polyangiitis: A Case Report.

Bullous Vasculitis in Eosinophilic Granulomatosis with Polyangiitis: A Case Report.

Bullous Vasculitis in Eosinophilic Granulomatosis with Polyangiitis: A Case Report.

Introduction: Eosinophilic granulomatosis with polyangiitis (EGPA) is a rare systemic vasculitis affecting small- and medium-sized vessels. It is characterized by multiorgan involvement and can lead to severe outcomes if not diagnosed promptly. Cutaneous manifestations are common and typically include palpable purpura and subcutaneous nodules. Widespread bullous vasculitis affecting areas such as the forehead and ear presents an atypical presentation. We report a case of EGPA presenting with bullous vasculitis in an unusual location.

Case presentation: A 40-year-old woman with a history of late-onset allergic rhinitis presented with a 2-week history of numbness in her right leg, along with multiple erythematous papules and vesicles, some with shallow erosions, located on the forehead and left ear. She also experienced fever, progressive dyspnea, and hemoptysis. She was diagnosed with pneumonitis, alveolar hemorrhage, and mononeuritis of the right leg. Laboratory findings revealed leukocytosis with eosinophilia, and the anti-myeloperoxidase antibody was positive. Histopathological examination of the bullous lesion on the forehead showed intraepidermal separation with necrotic keratinocytes and prominent eosinophil infiltration, along with focal leukocytoclastic vasculitis. The patient was diagnosed with EGPA and started on intravenous steroids and cyclophosphamide. EGPA is a rare disease characterized by multiorgan vasculitis, asthma, and granulomatous eosinophilic inflammation, which are its key hallmarks. While cutaneous involvement is common, bullous vasculitis is rarely observed on the forehead and ear.

Conclusions: EGPA is a challenging diagnosis due to its variable presentation. While cutaneous manifestations are common, widespread bullous vasculitis may be atypical and rare clinical presentation. This case underscores the importance of considering EGPA in the differential diagnosis of bullous vasculitis, particularly when associated with systemic symptoms and eosinophilia. Early recognition and treatment are crucial for improving outcomes in this potentially life-threatening condition.

求助全文
通过发布文献求助,成功后即可免费获取论文全文。 去求助
来源期刊
CiteScore
1.60
自引率
0.00%
发文量
57
审稿时长
9 weeks
×
引用
GB/T 7714-2015
复制
MLA
复制
APA
复制
导出至
BibTeX EndNote RefMan NoteFirst NoteExpress
×
提示
您的信息不完整,为了账户安全,请先补充。
现在去补充
×
提示
您因"违规操作"
具体请查看互助需知
我知道了
×
提示
确定
请完成安全验证×
copy
已复制链接
快去分享给好友吧!
我知道了
右上角分享
点击右上角分享
0
联系我们:info@booksci.cn Book学术提供免费学术资源搜索服务,方便国内外学者检索中英文文献。致力于提供最便捷和优质的服务体验。 Copyright © 2023 布克学术 All rights reserved.
京ICP备2023020795号-1
ghs 京公网安备 11010802042870号
Book学术文献互助
Book学术文献互助群
群 号:604180095
Book学术官方微信