双极半关节置换术后外侧入路(保留梨状肌和内肌,修复外肌)治疗股骨颈骨折1例。

IF 0.2
Journal of Trauma and Injury Pub Date : 2025-09-01 Epub Date: 2025-03-25 DOI:10.20408/jti.2024.0099
Nazim Sifi, Sorin Suba
{"title":"双极半关节置换术后外侧入路(保留梨状肌和内肌,修复外肌)治疗股骨颈骨折1例。","authors":"Nazim Sifi, Sorin Suba","doi":"10.20408/jti.2024.0099","DOIUrl":null,"url":null,"abstract":"<p><p>Femoral neck fractures commonly occur in older patients and typically require surgical intervention to promptly restore mobility and minimize complications. While the anterior, lateral, and posterior approaches are frequently employed for hemiarthroplasty, each has its own benefits and drawbacks. Notably, the posterior approach has been linked to a higher risk of dislocation in some studies. The SPAIRE (saving piriformis and internus, repair of externus) technique is a modern adaptation of the traditional posterolateral approach. This less invasive, anatomically considerate method preserves the piriformis muscle tendon and the conjoint tendon of the superior gemellus, obturator internus, and inferior gemellus muscles. However, it involves sectioning the tendon of the obturator externus muscle. The technique is designed to maintain stabilizing muscular structures, decrease dislocation risk, and hasten functional recovery, including in patients with neurological conditions. This case report describes the treatment of a 79-year-old woman with a transcervical fracture of the right femoral neck. A bipolar hemiarthroplasty was performed using the SPAIRE technique. The procedure effectively preserved the functional synergistic unit of the piriformis-conjoint tendon (quadriceps coxa) and included meticulous capsular and tendinous repair. The patient's postoperative recovery was characterized by an excellent functional outcome at the 3-month follow-up. This case highlights the advantages of the SPAIRE technique in enhancing joint stability and facilitating rapid recovery, especially in geriatric patients.</p>","PeriodicalId":52698,"journal":{"name":"Journal of Trauma and Injury","volume":" ","pages":"268-272"},"PeriodicalIF":0.2000,"publicationDate":"2025-09-01","publicationTypes":"Journal Article","fieldsOfStudy":null,"isOpenAccess":false,"openAccessPdf":"https://www.ncbi.nlm.nih.gov/pmc/articles/PMC12489149/pdf/","citationCount":"0","resultStr":"{\"title\":\"The SPAIRE (saving piriformis and internus, repair of externus) posterolateral approach in bipolar hemiarthroplasty for femoral neck fractures: a case report.\",\"authors\":\"Nazim Sifi, Sorin Suba\",\"doi\":\"10.20408/jti.2024.0099\",\"DOIUrl\":null,\"url\":null,\"abstract\":\"<p><p>Femoral neck fractures commonly occur in older patients and typically require surgical intervention to promptly restore mobility and minimize complications. While the anterior, lateral, and posterior approaches are frequently employed for hemiarthroplasty, each has its own benefits and drawbacks. Notably, the posterior approach has been linked to a higher risk of dislocation in some studies. The SPAIRE (saving piriformis and internus, repair of externus) technique is a modern adaptation of the traditional posterolateral approach. This less invasive, anatomically considerate method preserves the piriformis muscle tendon and the conjoint tendon of the superior gemellus, obturator internus, and inferior gemellus muscles. However, it involves sectioning the tendon of the obturator externus muscle. The technique is designed to maintain stabilizing muscular structures, decrease dislocation risk, and hasten functional recovery, including in patients with neurological conditions. This case report describes the treatment of a 79-year-old woman with a transcervical fracture of the right femoral neck. A bipolar hemiarthroplasty was performed using the SPAIRE technique. The procedure effectively preserved the functional synergistic unit of the piriformis-conjoint tendon (quadriceps coxa) and included meticulous capsular and tendinous repair. The patient's postoperative recovery was characterized by an excellent functional outcome at the 3-month follow-up. This case highlights the advantages of the SPAIRE technique in enhancing joint stability and facilitating rapid recovery, especially in geriatric patients.</p>\",\"PeriodicalId\":52698,\"journal\":{\"name\":\"Journal of Trauma and Injury\",\"volume\":\" \",\"pages\":\"268-272\"},\"PeriodicalIF\":0.2000,\"publicationDate\":\"2025-09-01\",\"publicationTypes\":\"Journal Article\",\"fieldsOfStudy\":null,\"isOpenAccess\":false,\"openAccessPdf\":\"https://www.ncbi.nlm.nih.gov/pmc/articles/PMC12489149/pdf/\",\"citationCount\":\"0\",\"resultStr\":null,\"platform\":\"Semanticscholar\",\"paperid\":null,\"PeriodicalName\":\"Journal of Trauma and Injury\",\"FirstCategoryId\":\"1085\",\"ListUrlMain\":\"https://doi.org/10.20408/jti.2024.0099\",\"RegionNum\":0,\"RegionCategory\":null,\"ArticlePicture\":[],\"TitleCN\":null,\"AbstractTextCN\":null,\"PMCID\":null,\"EPubDate\":\"2025/3/25 0:00:00\",\"PubModel\":\"Epub\",\"JCR\":\"\",\"JCRName\":\"\",\"Score\":null,\"Total\":0}","platform":"Semanticscholar","paperid":null,"PeriodicalName":"Journal of Trauma and Injury","FirstCategoryId":"1085","ListUrlMain":"https://doi.org/10.20408/jti.2024.0099","RegionNum":0,"RegionCategory":null,"ArticlePicture":[],"TitleCN":null,"AbstractTextCN":null,"PMCID":null,"EPubDate":"2025/3/25 0:00:00","PubModel":"Epub","JCR":"","JCRName":"","Score":null,"Total":0}
引用次数: 0

摘要

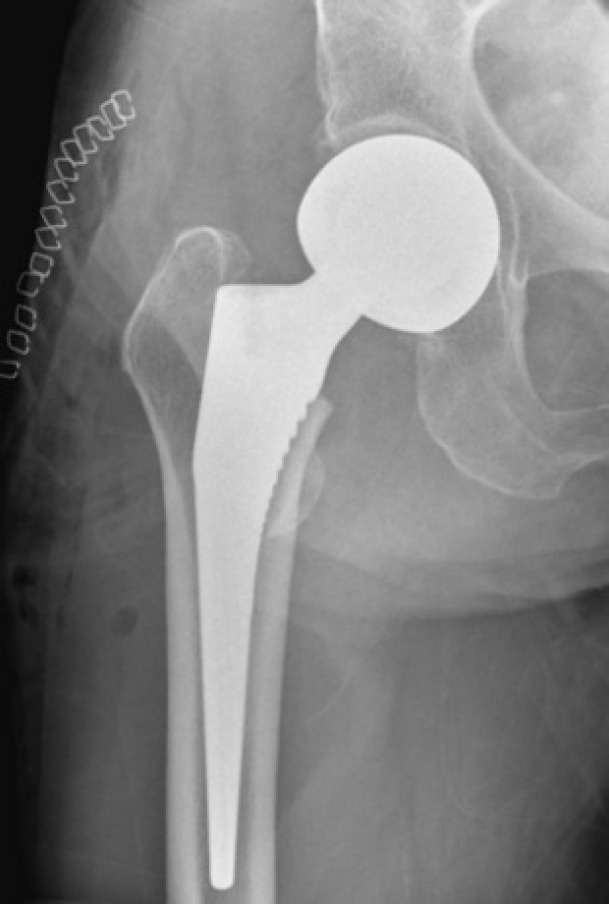
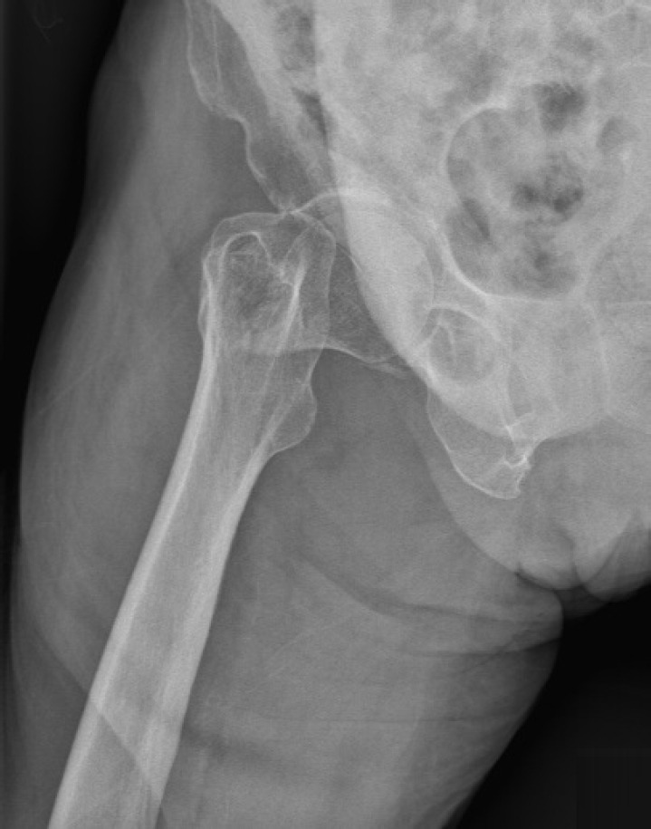
股骨颈骨折常见于老年患者,通常需要手术干预以迅速恢复活动能力并减少并发症。虽然前路、外侧路和后路常用于半关节置换术,但每种入路都有其优缺点。值得注意的是,在一些研究中,后路入路与较高的脱位风险有关。SPAIRE(保留梨状肌和内肌,修复外肌)技术是传统后外侧入路的现代适应。这种微创、解剖上考虑周到的方法保留了梨状肌肌腱和上孖肌、闭孔内肌和下孖肌的联合肌腱。然而,它需要切开闭孔外肌的肌腱。该技术旨在保持肌肉结构稳定,降低脱位风险,加速功能恢复,包括神经系统疾病患者。本病例报告描述了一名79岁女性右股骨颈经颈骨折的治疗。采用SPAIRE技术行双极半关节置换术。该手术有效地保留了梨状肌-关节肌腱(股四头肌髋)的功能协同单位,并包括细致的包膜和肌腱修复。患者术后恢复的特点是在3个月的随访中功能预后良好。本病例强调了SPAIRE技术在增强关节稳定性和促进快速恢复方面的优势,特别是在老年患者中。
本文章由计算机程序翻译,如有差异,请以英文原文为准。

The SPAIRE (saving piriformis and internus, repair of externus) posterolateral approach in bipolar hemiarthroplasty for femoral neck fractures: a case report.

The SPAIRE (saving piriformis and internus, repair of externus) posterolateral approach in bipolar hemiarthroplasty for femoral neck fractures: a case report.

The SPAIRE (saving piriformis and internus, repair of externus) posterolateral approach in bipolar hemiarthroplasty for femoral neck fractures: a case report.

The SPAIRE (saving piriformis and internus, repair of externus) posterolateral approach in bipolar hemiarthroplasty for femoral neck fractures: a case report.

Femoral neck fractures commonly occur in older patients and typically require surgical intervention to promptly restore mobility and minimize complications. While the anterior, lateral, and posterior approaches are frequently employed for hemiarthroplasty, each has its own benefits and drawbacks. Notably, the posterior approach has been linked to a higher risk of dislocation in some studies. The SPAIRE (saving piriformis and internus, repair of externus) technique is a modern adaptation of the traditional posterolateral approach. This less invasive, anatomically considerate method preserves the piriformis muscle tendon and the conjoint tendon of the superior gemellus, obturator internus, and inferior gemellus muscles. However, it involves sectioning the tendon of the obturator externus muscle. The technique is designed to maintain stabilizing muscular structures, decrease dislocation risk, and hasten functional recovery, including in patients with neurological conditions. This case report describes the treatment of a 79-year-old woman with a transcervical fracture of the right femoral neck. A bipolar hemiarthroplasty was performed using the SPAIRE technique. The procedure effectively preserved the functional synergistic unit of the piriformis-conjoint tendon (quadriceps coxa) and included meticulous capsular and tendinous repair. The patient's postoperative recovery was characterized by an excellent functional outcome at the 3-month follow-up. This case highlights the advantages of the SPAIRE technique in enhancing joint stability and facilitating rapid recovery, especially in geriatric patients.

求助全文
通过发布文献求助,成功后即可免费获取论文全文。 去求助
来源期刊
自引率
0.00%
发文量
58
审稿时长
11 weeks
×
引用
GB/T 7714-2015
复制
MLA
复制
APA
复制
导出至
BibTeX EndNote RefMan NoteFirst NoteExpress
×
提示
您的信息不完整,为了账户安全,请先补充。
现在去补充
×
提示
您因"违规操作"
具体请查看互助需知
我知道了
×
提示
确定
请完成安全验证×
copy
已复制链接
快去分享给好友吧!
我知道了
右上角分享
点击右上角分享
0
联系我们:info@booksci.cn Book学术提供免费学术资源搜索服务,方便国内外学者检索中英文文献。致力于提供最便捷和优质的服务体验。 Copyright © 2023 布克学术 All rights reserved.
京ICP备2023020795号-1
ghs 京公网安备 11010802042870号
Book学术文献互助
Book学术文献互助群
群 号:604180095
Book学术官方微信