小儿颌骨肌纤维瘤。临床病理研究。

IF 2.1 3区 医学 Q2 DENTISTRY, ORAL SURGERY & MEDICINE
G-C Barajas-Torres, N-L Villanueva-Moreno, H Rincón-Rodríguez, V Cuairán-Ruidiaz, H Márquez-González, J-R Murillo-Eliosa, A Mosqueda-Taylor
{"title":"小儿颌骨肌纤维瘤。临床病理研究。","authors":"G-C Barajas-Torres, N-L Villanueva-Moreno, H Rincón-Rodríguez, V Cuairán-Ruidiaz, H Márquez-González, J-R Murillo-Eliosa, A Mosqueda-Taylor","doi":"10.4317/medoral.27021","DOIUrl":null,"url":null,"abstract":"<p><strong>Background: </strong>Myofibromas are infrequent neoplasms that rarely occur in the jawbones. The aim of this study is to present a series of cases of these tumors affecting the jawbones in pediatric patients, as well as to describe their diagnostic methodology and therapeutic approach.</p><p><strong>Material and methods: </strong>retrospective study of a series of myofibromas of the jawbones diagnosed and treated in a single medical institution in Mexico City from 2002-2022.</p><p><strong>Results: </strong>There were 14 cases with a median age of 6.5 years (IQR:1-12). Mandible was affected in 8 cases (57.1%), maxilla in 5 (35.8%) and only one case (7.1%) occurred in both jaws. Microscopically, the lesions were composed predominantly by spindle cells, as well as stellate and sometimes pleomorphic in shape, most of which were positive for smooth muscle actin. All cases were treated with complete excision of the lesion and only one presented recurrence.</p><p><strong>Conclusions: </strong>Once the diagnosis is confirmed and other spindle cell neoplasms have been excluded, resection with free margins represents the treatment of choice.</p>","PeriodicalId":49016,"journal":{"name":"Medicina Oral Patologia Oral Y Cirugia Bucal","volume":" ","pages":"e476-e483"},"PeriodicalIF":2.1000,"publicationDate":"2025-07-01","publicationTypes":"Journal Article","fieldsOfStudy":null,"isOpenAccess":false,"openAccessPdf":"https://www.ncbi.nlm.nih.gov/pmc/articles/PMC12225758/pdf/","citationCount":"0","resultStr":"{\"title\":\"Myofibromas of the jawbones in pediatric patients. A clinicopathological study.\",\"authors\":\"G-C Barajas-Torres, N-L Villanueva-Moreno, H Rincón-Rodríguez, V Cuairán-Ruidiaz, H Márquez-González, J-R Murillo-Eliosa, A Mosqueda-Taylor\",\"doi\":\"10.4317/medoral.27021\",\"DOIUrl\":null,\"url\":null,\"abstract\":\"<p><strong>Background: </strong>Myofibromas are infrequent neoplasms that rarely occur in the jawbones. The aim of this study is to present a series of cases of these tumors affecting the jawbones in pediatric patients, as well as to describe their diagnostic methodology and therapeutic approach.</p><p><strong>Material and methods: </strong>retrospective study of a series of myofibromas of the jawbones diagnosed and treated in a single medical institution in Mexico City from 2002-2022.</p><p><strong>Results: </strong>There were 14 cases with a median age of 6.5 years (IQR:1-12). Mandible was affected in 8 cases (57.1%), maxilla in 5 (35.8%) and only one case (7.1%) occurred in both jaws. Microscopically, the lesions were composed predominantly by spindle cells, as well as stellate and sometimes pleomorphic in shape, most of which were positive for smooth muscle actin. All cases were treated with complete excision of the lesion and only one presented recurrence.</p><p><strong>Conclusions: </strong>Once the diagnosis is confirmed and other spindle cell neoplasms have been excluded, resection with free margins represents the treatment of choice.</p>\",\"PeriodicalId\":49016,\"journal\":{\"name\":\"Medicina Oral Patologia Oral Y Cirugia Bucal\",\"volume\":\" \",\"pages\":\"e476-e483\"},\"PeriodicalIF\":2.1000,\"publicationDate\":\"2025-07-01\",\"publicationTypes\":\"Journal Article\",\"fieldsOfStudy\":null,\"isOpenAccess\":false,\"openAccessPdf\":\"https://www.ncbi.nlm.nih.gov/pmc/articles/PMC12225758/pdf/\",\"citationCount\":\"0\",\"resultStr\":null,\"platform\":\"Semanticscholar\",\"paperid\":null,\"PeriodicalName\":\"Medicina Oral Patologia Oral Y Cirugia Bucal\",\"FirstCategoryId\":\"3\",\"ListUrlMain\":\"https://doi.org/10.4317/medoral.27021\",\"RegionNum\":3,\"RegionCategory\":\"医学\",\"ArticlePicture\":[],\"TitleCN\":null,\"AbstractTextCN\":null,\"PMCID\":null,\"EPubDate\":\"\",\"PubModel\":\"\",\"JCR\":\"Q2\",\"JCRName\":\"DENTISTRY, ORAL SURGERY & MEDICINE\",\"Score\":null,\"Total\":0}","platform":"Semanticscholar","paperid":null,"PeriodicalName":"Medicina Oral Patologia Oral Y Cirugia Bucal","FirstCategoryId":"3","ListUrlMain":"https://doi.org/10.4317/medoral.27021","RegionNum":3,"RegionCategory":"医学","ArticlePicture":[],"TitleCN":null,"AbstractTextCN":null,"PMCID":null,"EPubDate":"","PubModel":"","JCR":"Q2","JCRName":"DENTISTRY, ORAL SURGERY & MEDICINE","Score":null,"Total":0}
引用次数: 0

摘要

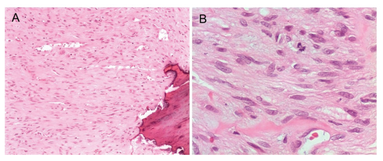
背景:肌纤维瘤是一种罕见的肿瘤,很少发生在颌骨。本研究的目的是提出一系列的病例这些肿瘤影响下颌骨的儿童患者,以及描述他们的诊断方法和治疗方法。材料和方法:回顾性研究2002-2022年在墨西哥城一家医疗机构诊断和治疗的一系列颌骨肌纤维瘤。结果:14例患者中位年龄6.5岁(IQR:1 ~ 12)。下颌骨8例(57.1%),上颌骨5例(35.8%),双颌仅1例(7.1%)。镜下病变以梭形细胞为主,有时呈星状,有时呈多形性,多数呈平滑肌肌动蛋白阳性。所有病例均接受病灶完全切除治疗,仅有1例复发。结论:一旦确诊并排除了其他梭形细胞肿瘤,切除游离边缘是治疗的选择。
本文章由计算机程序翻译,如有差异,请以英文原文为准。

Myofibromas of the jawbones in pediatric patients. A clinicopathological study.

Myofibromas of the jawbones in pediatric patients. A clinicopathological study.

Myofibromas of the jawbones in pediatric patients. A clinicopathological study.

Myofibromas of the jawbones in pediatric patients. A clinicopathological study.

Background: Myofibromas are infrequent neoplasms that rarely occur in the jawbones. The aim of this study is to present a series of cases of these tumors affecting the jawbones in pediatric patients, as well as to describe their diagnostic methodology and therapeutic approach.

Material and methods: retrospective study of a series of myofibromas of the jawbones diagnosed and treated in a single medical institution in Mexico City from 2002-2022.

Results: There were 14 cases with a median age of 6.5 years (IQR:1-12). Mandible was affected in 8 cases (57.1%), maxilla in 5 (35.8%) and only one case (7.1%) occurred in both jaws. Microscopically, the lesions were composed predominantly by spindle cells, as well as stellate and sometimes pleomorphic in shape, most of which were positive for smooth muscle actin. All cases were treated with complete excision of the lesion and only one presented recurrence.

Conclusions: Once the diagnosis is confirmed and other spindle cell neoplasms have been excluded, resection with free margins represents the treatment of choice.

求助全文
通过发布文献求助,成功后即可免费获取论文全文。 去求助
来源期刊
Medicina Oral Patologia Oral Y Cirugia Bucal
Medicina Oral Patologia Oral Y Cirugia Bucal DENTISTRY, ORAL SURGERY & MEDICINE-
CiteScore
4.60
自引率
0.00%
发文量
52
审稿时长
3-8 weeks
期刊介绍: 1. Oral Medicine and Pathology: Clinicopathological as well as medical or surgical management aspects of diseases affecting oral mucosa, salivary glands, maxillary bones, as well as orofacial neurological disorders, and systemic conditions with an impact on the oral cavity. 2. Oral Surgery: Surgical management aspects of diseases affecting oral mucosa, salivary glands, maxillary bones, teeth, implants, oral surgical procedures. Surgical management of diseases affecting head and neck areas. 3. Medically compromised patients in Dentistry: Articles discussing medical problems in Odontology will also be included, with a special focus on the clinico-odontological management of medically compromised patients, and considerations regarding high-risk or disabled patients. 4. Implantology 5. Periodontology
×
引用
GB/T 7714-2015
复制
MLA
复制
APA
复制
导出至
BibTeX EndNote RefMan NoteFirst NoteExpress
×
提示
您的信息不完整,为了账户安全,请先补充。
现在去补充
×
提示
您因"违规操作"
具体请查看互助需知
我知道了
×
提示
确定
请完成安全验证×
copy
已复制链接
快去分享给好友吧!
我知道了
右上角分享
点击右上角分享
0
联系我们:info@booksci.cn Book学术提供免费学术资源搜索服务,方便国内外学者检索中英文文献。致力于提供最便捷和优质的服务体验。 Copyright © 2023 布克学术 All rights reserved.
京ICP备2023020795号-1
ghs 京公网安备 11010802042870号
Book学术文献互助
Book学术文献互助群
群 号:604180095
Book学术官方微信