放射组学预测肛管鳞状细胞癌对联合放化疗的肿瘤反应:初步研究。

IF 3.6 Q1 RADIOLOGY, NUCLEAR MEDICINE & MEDICAL IMAGING
Andrea Vanzulli, Lucilla Violetta Sciacqua, Filippo Patti, Roza Drebot, Eros Montin, Riccardo Lattanzi, Laura Anna Maria Lozza, Sergio Villa, Davide Scaramuzza
{"title":"放射组学预测肛管鳞状细胞癌对联合放化疗的肿瘤反应:初步研究。","authors":"Andrea Vanzulli, Lucilla Violetta Sciacqua, Filippo Patti, Roza Drebot, Eros Montin, Riccardo Lattanzi, Laura Anna Maria Lozza, Sergio Villa, Davide Scaramuzza","doi":"10.1186/s41747-025-00559-0","DOIUrl":null,"url":null,"abstract":"<p><strong>Background: </strong>Upfront combination chemoradiotherapy (CRT) represents the standard of care for patients affected by stage III squamous cell carcinoma (SCC) of the anal canal, achieving satisfactory results both in terms of overall survival and local disease control. However, a non-negligible fraction of patients obtain incomplete responses, highlighting the need for innovative prognostic tools. We report the preliminary results of a customized radiomic algorithm designed to predict tumor response to CRT in patients affected by SCC of the anal canal.</p><p><strong>Methods: </strong>We manually annotated pretreatment T2-weighted turbo spin-echo images of 26 consecutive patients with stage III SCC of the anal canal treated with CRT at our institution from 2012 to 2022. Each patient was classified as complete response (CR, 17 patients), or non-complete response (non-CR, 9 patients) based on the absence or presence of residual disease at imaging and endoscopy after treatment. A total of 132 three-dimensional radiomic features were extracted for each patient and fed to a dedicated machine-learning classifier.</p><p><strong>Results: </strong>Models trained with gray-level co-occurrence matrix features achieved the best performances (accuracy 0.846 ± 0.064, sensitivity 0.900 ± 0.122, specificity 0.833 ± 0.175, area under receiver operating characteristics curve 0.867 ± 0.055), highlighting a more homogeneous distribution of voxel intensities and lower spatial complexity in non-CR patients.</p><p><strong>Conclusion: </strong>Our radiomic tool accurately predicted tumor response to CRT in patients with stage III SCC of the anal canal, highlighting a more homogeneous tissue composition in poor responders.</p><p><strong>Relevance statement: </strong>The more homogeneous radiomic texture observed in non-CR patients may be imputable to a dominant neoplastic clone with a relatively low mitotic index (therefore, limited tissue necrosis), intrinsically more resistant to CRT than faster-proliferating tumors.</p><p><strong>Key point: </strong>A non-negligible fraction of patients with anal SCC respond unsatisfactorily to CRT. Our radiomic model predicted response to CRT based on pretreatment MRI. We observed a more homogeneous tissue composition in poor responders. The slow proliferation of a dominant clone may explain non-CR to CRT.</p>","PeriodicalId":36926,"journal":{"name":"European Radiology Experimental","volume":"9 1","pages":"35"},"PeriodicalIF":3.6000,"publicationDate":"2025-03-22","publicationTypes":"Journal Article","fieldsOfStudy":null,"isOpenAccess":false,"openAccessPdf":"https://www.ncbi.nlm.nih.gov/pmc/articles/PMC11929663/pdf/","citationCount":"0","resultStr":"{\"title\":\"Radiomics to predict tumor response to combination chemoradiotherapy in squamous cell carcinoma of the anal canal: a preliminary investigation.\",\"authors\":\"Andrea Vanzulli, Lucilla Violetta Sciacqua, Filippo Patti, Roza Drebot, Eros Montin, Riccardo Lattanzi, Laura Anna Maria Lozza, Sergio Villa, Davide Scaramuzza\",\"doi\":\"10.1186/s41747-025-00559-0\",\"DOIUrl\":null,\"url\":null,\"abstract\":\"<p><strong>Background: </strong>Upfront combination chemoradiotherapy (CRT) represents the standard of care for patients affected by stage III squamous cell carcinoma (SCC) of the anal canal, achieving satisfactory results both in terms of overall survival and local disease control. However, a non-negligible fraction of patients obtain incomplete responses, highlighting the need for innovative prognostic tools. We report the preliminary results of a customized radiomic algorithm designed to predict tumor response to CRT in patients affected by SCC of the anal canal.</p><p><strong>Methods: </strong>We manually annotated pretreatment T2-weighted turbo spin-echo images of 26 consecutive patients with stage III SCC of the anal canal treated with CRT at our institution from 2012 to 2022. Each patient was classified as complete response (CR, 17 patients), or non-complete response (non-CR, 9 patients) based on the absence or presence of residual disease at imaging and endoscopy after treatment. A total of 132 three-dimensional radiomic features were extracted for each patient and fed to a dedicated machine-learning classifier.</p><p><strong>Results: </strong>Models trained with gray-level co-occurrence matrix features achieved the best performances (accuracy 0.846 ± 0.064, sensitivity 0.900 ± 0.122, specificity 0.833 ± 0.175, area under receiver operating characteristics curve 0.867 ± 0.055), highlighting a more homogeneous distribution of voxel intensities and lower spatial complexity in non-CR patients.</p><p><strong>Conclusion: </strong>Our radiomic tool accurately predicted tumor response to CRT in patients with stage III SCC of the anal canal, highlighting a more homogeneous tissue composition in poor responders.</p><p><strong>Relevance statement: </strong>The more homogeneous radiomic texture observed in non-CR patients may be imputable to a dominant neoplastic clone with a relatively low mitotic index (therefore, limited tissue necrosis), intrinsically more resistant to CRT than faster-proliferating tumors.</p><p><strong>Key point: </strong>A non-negligible fraction of patients with anal SCC respond unsatisfactorily to CRT. Our radiomic model predicted response to CRT based on pretreatment MRI. We observed a more homogeneous tissue composition in poor responders. The slow proliferation of a dominant clone may explain non-CR to CRT.</p>\",\"PeriodicalId\":36926,\"journal\":{\"name\":\"European Radiology Experimental\",\"volume\":\"9 1\",\"pages\":\"35\"},\"PeriodicalIF\":3.6000,\"publicationDate\":\"2025-03-22\",\"publicationTypes\":\"Journal Article\",\"fieldsOfStudy\":null,\"isOpenAccess\":false,\"openAccessPdf\":\"https://www.ncbi.nlm.nih.gov/pmc/articles/PMC11929663/pdf/\",\"citationCount\":\"0\",\"resultStr\":null,\"platform\":\"Semanticscholar\",\"paperid\":null,\"PeriodicalName\":\"European Radiology Experimental\",\"FirstCategoryId\":\"1085\",\"ListUrlMain\":\"https://doi.org/10.1186/s41747-025-00559-0\",\"RegionNum\":0,\"RegionCategory\":null,\"ArticlePicture\":[],\"TitleCN\":null,\"AbstractTextCN\":null,\"PMCID\":null,\"EPubDate\":\"\",\"PubModel\":\"\",\"JCR\":\"Q1\",\"JCRName\":\"RADIOLOGY, NUCLEAR MEDICINE & MEDICAL IMAGING\",\"Score\":null,\"Total\":0}","platform":"Semanticscholar","paperid":null,"PeriodicalName":"European Radiology Experimental","FirstCategoryId":"1085","ListUrlMain":"https://doi.org/10.1186/s41747-025-00559-0","RegionNum":0,"RegionCategory":null,"ArticlePicture":[],"TitleCN":null,"AbstractTextCN":null,"PMCID":null,"EPubDate":"","PubModel":"","JCR":"Q1","JCRName":"RADIOLOGY, NUCLEAR MEDICINE & MEDICAL IMAGING","Score":null,"Total":0}
引用次数: 0

摘要

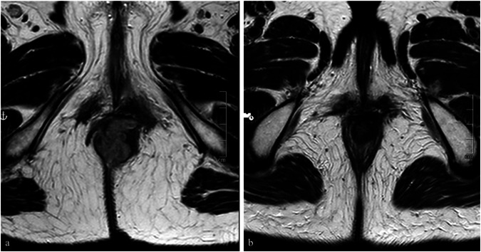
背景:前期联合放化疗(CRT)是肛管III期鳞状细胞癌(SCC)患者的标准治疗方法,在总生存期和局部疾病控制方面均取得了令人满意的结果。然而,不可忽视的一部分患者获得不完全反应,突出了对创新预后工具的需求。我们报告了一种定制放射学算法的初步结果,该算法旨在预测肛管SCC患者对CRT的肿瘤反应。方法:我们对我院2012年至2022年连续26例接受CRT治疗的III期肛管SCC患者的t2加权涡轮自旋回波图像进行手工注释。根据治疗后影像学和内窥镜检查有无残留病变,将每位患者分为完全缓解(CR, 17例)或非完全缓解(non-CR, 9例)。为每位患者提取了132个三维放射学特征,并将其输入到专用的机器学习分类器中。结果:采用灰度共现矩阵特征训练的模型表现最佳(准确率0.846±0.064,灵敏度0.900±0.122,特异性0.833±0.175,受试者工作特征曲线下面积0.867±0.055),显示非cr患者体素强度分布更均匀,空间复杂度更低。结论:我们的放射学工具准确地预测了肛管III期SCC患者对CRT的肿瘤反应,突出了反应较差的患者更均匀的组织组成。相关性声明:在非cr患者中观察到的更均匀的放射组结构可能归因于具有相对较低的有丝分裂指数(因此,有限的组织坏死)的显性肿瘤克隆,本质上比快速增殖的肿瘤更耐CRT。重点:肛门鳞状细胞癌患者对CRT反应不满意的比例不可忽略。我们的放射学模型基于预处理MRI预测对CRT的反应。我们观察到在不良应答者中组织组成更均匀。显性克隆增殖缓慢可能解释了非cr到CRT的原因。
本文章由计算机程序翻译,如有差异,请以英文原文为准。

Radiomics to predict tumor response to combination chemoradiotherapy in squamous cell carcinoma of the anal canal: a preliminary investigation.

Radiomics to predict tumor response to combination chemoradiotherapy in squamous cell carcinoma of the anal canal: a preliminary investigation.

Radiomics to predict tumor response to combination chemoradiotherapy in squamous cell carcinoma of the anal canal: a preliminary investigation.

Radiomics to predict tumor response to combination chemoradiotherapy in squamous cell carcinoma of the anal canal: a preliminary investigation.

Background: Upfront combination chemoradiotherapy (CRT) represents the standard of care for patients affected by stage III squamous cell carcinoma (SCC) of the anal canal, achieving satisfactory results both in terms of overall survival and local disease control. However, a non-negligible fraction of patients obtain incomplete responses, highlighting the need for innovative prognostic tools. We report the preliminary results of a customized radiomic algorithm designed to predict tumor response to CRT in patients affected by SCC of the anal canal.

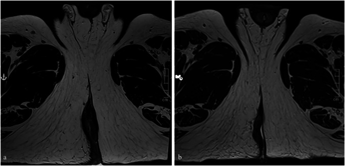
Methods: We manually annotated pretreatment T2-weighted turbo spin-echo images of 26 consecutive patients with stage III SCC of the anal canal treated with CRT at our institution from 2012 to 2022. Each patient was classified as complete response (CR, 17 patients), or non-complete response (non-CR, 9 patients) based on the absence or presence of residual disease at imaging and endoscopy after treatment. A total of 132 three-dimensional radiomic features were extracted for each patient and fed to a dedicated machine-learning classifier.

Results: Models trained with gray-level co-occurrence matrix features achieved the best performances (accuracy 0.846 ± 0.064, sensitivity 0.900 ± 0.122, specificity 0.833 ± 0.175, area under receiver operating characteristics curve 0.867 ± 0.055), highlighting a more homogeneous distribution of voxel intensities and lower spatial complexity in non-CR patients.

Conclusion: Our radiomic tool accurately predicted tumor response to CRT in patients with stage III SCC of the anal canal, highlighting a more homogeneous tissue composition in poor responders.

Relevance statement: The more homogeneous radiomic texture observed in non-CR patients may be imputable to a dominant neoplastic clone with a relatively low mitotic index (therefore, limited tissue necrosis), intrinsically more resistant to CRT than faster-proliferating tumors.

Key point: A non-negligible fraction of patients with anal SCC respond unsatisfactorily to CRT. Our radiomic model predicted response to CRT based on pretreatment MRI. We observed a more homogeneous tissue composition in poor responders. The slow proliferation of a dominant clone may explain non-CR to CRT.

求助全文
通过发布文献求助,成功后即可免费获取论文全文。 去求助
来源期刊
European Radiology Experimental
European Radiology Experimental Medicine-Radiology, Nuclear Medicine and Imaging
CiteScore
6.70
自引率
2.60%
发文量
56
审稿时长
18 weeks
×
引用
GB/T 7714-2015
复制
MLA
复制
APA
复制
导出至
BibTeX EndNote RefMan NoteFirst NoteExpress
×
提示
您的信息不完整,为了账户安全,请先补充。
现在去补充
×
提示
您因"违规操作"
具体请查看互助需知
我知道了
×
提示
确定
请完成安全验证×
copy
已复制链接
快去分享给好友吧!
我知道了
右上角分享
点击右上角分享
0
联系我们:info@booksci.cn Book学术提供免费学术资源搜索服务,方便国内外学者检索中英文文献。致力于提供最便捷和优质的服务体验。 Copyright © 2023 布克学术 All rights reserved.
京ICP备2023020795号-1
ghs 京公网安备 11010802042870号
Book学术文献互助
Book学术文献互助群
群 号:604180095
Book学术官方微信