评估吲哚胺2,3-双加氧酶(IDO)在骨肉瘤中的表达:来自10年回顾性队列的见解。

IF 2.8 4区 医学 Q3 BIOTECHNOLOGY & APPLIED MICROBIOLOGY
OncoTargets and therapy Pub Date : 2025-03-17 eCollection Date: 2025-01-01 DOI:10.2147/OTT.S494899
Asim Farooq, Aatif Amin, Shaarif Bashir, Merium Fatima, Muhammad Hassan, Ali Zafar Sheikh, Muhammad Tahseen, Umer Nisar Sheikh, Kashif Asghar
{"title":"评估吲哚胺2,3-双加氧酶(IDO)在骨肉瘤中的表达:来自10年回顾性队列的见解。","authors":"Asim Farooq, Aatif Amin, Shaarif Bashir, Merium Fatima, Muhammad Hassan, Ali Zafar Sheikh, Muhammad Tahseen, Umer Nisar Sheikh, Kashif Asghar","doi":"10.2147/OTT.S494899","DOIUrl":null,"url":null,"abstract":"<p><strong>Introduction: </strong>Osteosarcoma, a prevalent bone malignancy in children and adolescents, is currently treated through surgical resection and chemotherapy. Advancements in cancer research are targeting immune checkpoint molecules, such as indoleamine 2,3-dioxygenase, to advance the development of immunotherapy. However, the scarcity of research on IDO in osteosarcoma results in an absence of comprehensive data, highlighting the conflicting findings surrounding IDO's role in various cancers. Our study aims to explore IDO expression in primary tumors and metastatic lesions among osteosarcoma patients, investigating its association with clinicopathological characteristics and assessing its impact on survival outcomes.</p><p><strong>Methods: </strong>150 patients diagnosed with osteosarcoma were selected between 2009 and 2019 from the Shaukat Khanum Memorial Cancer Hospital and Research Centre, Lahore, Pakistan. FFPE tissue samples of primary tumors and metastatic lesions were retrieved to conduct immunohistochemical analysis. Moreover, the clinicopathological data of these patients were gathered from the hospital information system.</p><p><strong>Results: </strong>Out of 150 patients, primary tumors were accessible for 134 individuals, while metastatic lesions were available for 49 patients. IDO expression was identified in 9 (6.71%) primary tumors and 2 (4.08%) metastatic lesions among osteosarcoma patients. Furthermore, 3 patients exhibited high expression (27.3%), while 8 displayed low IDO expression (72.7%).</p><p><strong>Conclusion: </strong>Our comprehensive study findings indicate that most osteosarcoma patients do not exhibit expression of IDO. This absence of expression aligns with the characteristic \"cold\" tumor microenvironment observed in osteosarcoma. Further investigations are imperative to provide deeper insights into the intricacies of this immunomodulatory factor in the context of osteosarcoma.</p>","PeriodicalId":19534,"journal":{"name":"OncoTargets and therapy","volume":"18 ","pages":"367-377"},"PeriodicalIF":2.8000,"publicationDate":"2025-03-17","publicationTypes":"Journal Article","fieldsOfStudy":null,"isOpenAccess":false,"openAccessPdf":"https://www.ncbi.nlm.nih.gov/pmc/articles/PMC11927580/pdf/","citationCount":"0","resultStr":"{\"title\":\"Evaluation of Indoleamine 2,3-Dioxygenase (IDO) Expression in Osteosarcoma: Insights From a 10-Year Retrospective Cohort.\",\"authors\":\"Asim Farooq, Aatif Amin, Shaarif Bashir, Merium Fatima, Muhammad Hassan, Ali Zafar Sheikh, Muhammad Tahseen, Umer Nisar Sheikh, Kashif Asghar\",\"doi\":\"10.2147/OTT.S494899\",\"DOIUrl\":null,\"url\":null,\"abstract\":\"<p><strong>Introduction: </strong>Osteosarcoma, a prevalent bone malignancy in children and adolescents, is currently treated through surgical resection and chemotherapy. Advancements in cancer research are targeting immune checkpoint molecules, such as indoleamine 2,3-dioxygenase, to advance the development of immunotherapy. However, the scarcity of research on IDO in osteosarcoma results in an absence of comprehensive data, highlighting the conflicting findings surrounding IDO's role in various cancers. Our study aims to explore IDO expression in primary tumors and metastatic lesions among osteosarcoma patients, investigating its association with clinicopathological characteristics and assessing its impact on survival outcomes.</p><p><strong>Methods: </strong>150 patients diagnosed with osteosarcoma were selected between 2009 and 2019 from the Shaukat Khanum Memorial Cancer Hospital and Research Centre, Lahore, Pakistan. FFPE tissue samples of primary tumors and metastatic lesions were retrieved to conduct immunohistochemical analysis. Moreover, the clinicopathological data of these patients were gathered from the hospital information system.</p><p><strong>Results: </strong>Out of 150 patients, primary tumors were accessible for 134 individuals, while metastatic lesions were available for 49 patients. IDO expression was identified in 9 (6.71%) primary tumors and 2 (4.08%) metastatic lesions among osteosarcoma patients. Furthermore, 3 patients exhibited high expression (27.3%), while 8 displayed low IDO expression (72.7%).</p><p><strong>Conclusion: </strong>Our comprehensive study findings indicate that most osteosarcoma patients do not exhibit expression of IDO. This absence of expression aligns with the characteristic \\\"cold\\\" tumor microenvironment observed in osteosarcoma. Further investigations are imperative to provide deeper insights into the intricacies of this immunomodulatory factor in the context of osteosarcoma.</p>\",\"PeriodicalId\":19534,\"journal\":{\"name\":\"OncoTargets and therapy\",\"volume\":\"18 \",\"pages\":\"367-377\"},\"PeriodicalIF\":2.8000,\"publicationDate\":\"2025-03-17\",\"publicationTypes\":\"Journal Article\",\"fieldsOfStudy\":null,\"isOpenAccess\":false,\"openAccessPdf\":\"https://www.ncbi.nlm.nih.gov/pmc/articles/PMC11927580/pdf/\",\"citationCount\":\"0\",\"resultStr\":null,\"platform\":\"Semanticscholar\",\"paperid\":null,\"PeriodicalName\":\"OncoTargets and therapy\",\"FirstCategoryId\":\"3\",\"ListUrlMain\":\"https://doi.org/10.2147/OTT.S494899\",\"RegionNum\":4,\"RegionCategory\":\"医学\",\"ArticlePicture\":[],\"TitleCN\":null,\"AbstractTextCN\":null,\"PMCID\":null,\"EPubDate\":\"2025/1/1 0:00:00\",\"PubModel\":\"eCollection\",\"JCR\":\"Q3\",\"JCRName\":\"BIOTECHNOLOGY & APPLIED MICROBIOLOGY\",\"Score\":null,\"Total\":0}","platform":"Semanticscholar","paperid":null,"PeriodicalName":"OncoTargets and therapy","FirstCategoryId":"3","ListUrlMain":"https://doi.org/10.2147/OTT.S494899","RegionNum":4,"RegionCategory":"医学","ArticlePicture":[],"TitleCN":null,"AbstractTextCN":null,"PMCID":null,"EPubDate":"2025/1/1 0:00:00","PubModel":"eCollection","JCR":"Q3","JCRName":"BIOTECHNOLOGY & APPLIED MICROBIOLOGY","Score":null,"Total":0}
引用次数: 0

摘要

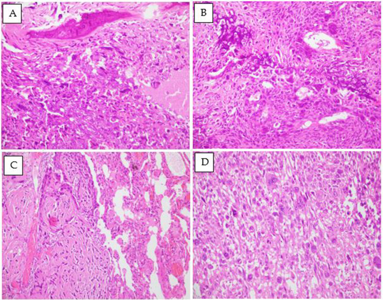
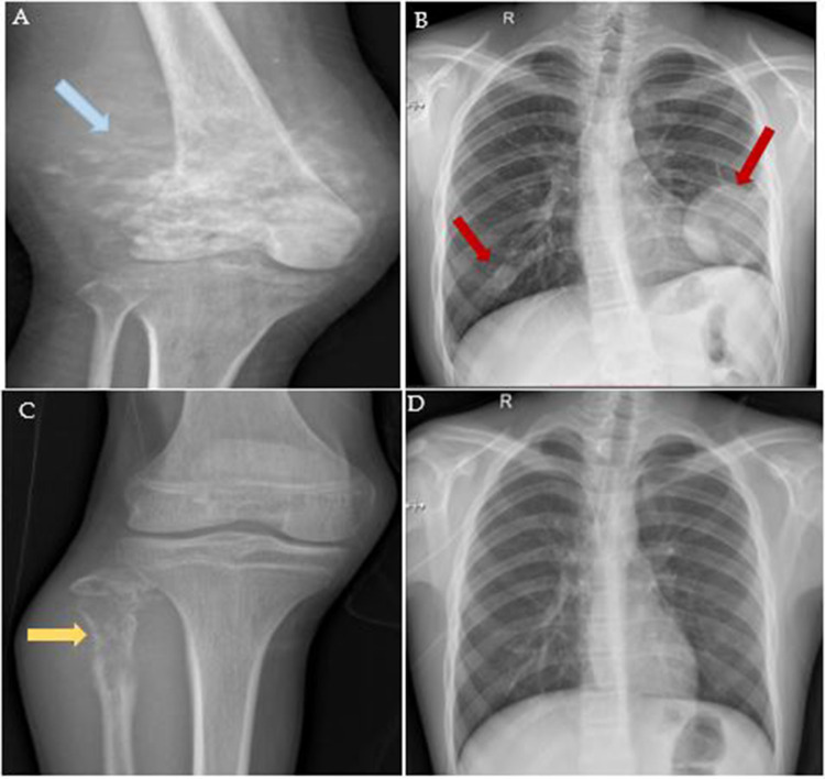
骨肉瘤是儿童和青少年中常见的一种骨恶性肿瘤,目前的治疗方法是手术切除和化疗。癌症研究的进展是针对免疫检查点分子,如吲哚胺2,3-双加氧酶,以推动免疫治疗的发展。然而,IDO在骨肉瘤中的研究缺乏导致缺乏全面的数据,突出了围绕IDO在各种癌症中的作用的相互矛盾的发现。本研究旨在探讨IDO在骨肉瘤患者原发肿瘤和转移灶中的表达,研究其与临床病理特征的关系,并评估其对生存结果的影响。方法:从巴基斯坦拉合尔的Shaukat Khanum纪念癌症医院和研究中心选择2009年至2019年诊断为骨肉瘤的150例患者。取原发肿瘤和转移灶的FFPE组织样本进行免疫组织化学分析。此外,从医院信息系统中收集患者的临床病理资料。结果:在150例患者中,134例患者可获得原发肿瘤,49例患者可获得转移性病变。在骨肉瘤患者中9例(6.71%)原发肿瘤和2例(4.08%)转移灶中发现IDO表达。IDO高表达3例(27.3%),低表达8例(72.7%)。结论:我们的综合研究结果表明,大多数骨肉瘤患者不表现出IDO的表达。这种表达缺失与骨肉瘤中观察到的特征性“冷”肿瘤微环境一致。进一步的研究是必要的,以提供更深入的了解这种免疫调节因子在骨肉瘤的背景下的复杂性。
本文章由计算机程序翻译,如有差异,请以英文原文为准。

Evaluation of Indoleamine 2,3-Dioxygenase (IDO) Expression in Osteosarcoma: Insights From a 10-Year Retrospective Cohort.

Evaluation of Indoleamine 2,3-Dioxygenase (IDO) Expression in Osteosarcoma: Insights From a 10-Year Retrospective Cohort.

Evaluation of Indoleamine 2,3-Dioxygenase (IDO) Expression in Osteosarcoma: Insights From a 10-Year Retrospective Cohort.

Evaluation of Indoleamine 2,3-Dioxygenase (IDO) Expression in Osteosarcoma: Insights From a 10-Year Retrospective Cohort.

Introduction: Osteosarcoma, a prevalent bone malignancy in children and adolescents, is currently treated through surgical resection and chemotherapy. Advancements in cancer research are targeting immune checkpoint molecules, such as indoleamine 2,3-dioxygenase, to advance the development of immunotherapy. However, the scarcity of research on IDO in osteosarcoma results in an absence of comprehensive data, highlighting the conflicting findings surrounding IDO's role in various cancers. Our study aims to explore IDO expression in primary tumors and metastatic lesions among osteosarcoma patients, investigating its association with clinicopathological characteristics and assessing its impact on survival outcomes.

Methods: 150 patients diagnosed with osteosarcoma were selected between 2009 and 2019 from the Shaukat Khanum Memorial Cancer Hospital and Research Centre, Lahore, Pakistan. FFPE tissue samples of primary tumors and metastatic lesions were retrieved to conduct immunohistochemical analysis. Moreover, the clinicopathological data of these patients were gathered from the hospital information system.

Results: Out of 150 patients, primary tumors were accessible for 134 individuals, while metastatic lesions were available for 49 patients. IDO expression was identified in 9 (6.71%) primary tumors and 2 (4.08%) metastatic lesions among osteosarcoma patients. Furthermore, 3 patients exhibited high expression (27.3%), while 8 displayed low IDO expression (72.7%).

Conclusion: Our comprehensive study findings indicate that most osteosarcoma patients do not exhibit expression of IDO. This absence of expression aligns with the characteristic "cold" tumor microenvironment observed in osteosarcoma. Further investigations are imperative to provide deeper insights into the intricacies of this immunomodulatory factor in the context of osteosarcoma.

求助全文
通过发布文献求助,成功后即可免费获取论文全文。 去求助
来源期刊
OncoTargets and therapy
OncoTargets and therapy BIOTECHNOLOGY & APPLIED MICROBIOLOGY-ONCOLOGY
CiteScore
9.70
自引率
0.00%
发文量
221
审稿时长
1 months
期刊介绍: OncoTargets and Therapy is an international, peer-reviewed journal focusing on molecular aspects of cancer research, that is, the molecular diagnosis of and targeted molecular or precision therapy for all types of cancer. The journal is characterized by the rapid reporting of high-quality original research, basic science, reviews and evaluations, expert opinion and commentary that shed novel insight on a cancer or cancer subtype. Specific topics covered by the journal include: -Novel therapeutic targets and innovative agents -Novel therapeutic regimens for improved benefit and/or decreased side effects -Early stage clinical trials Further considerations when submitting to OncoTargets and Therapy: -Studies containing in vivo animal model data will be considered favorably. -Tissue microarray analyses will not be considered except in cases where they are supported by comprehensive biological studies involving multiple cell lines. -Biomarker association studies will be considered only when validated by comprehensive in vitro data and analysis of human tissue samples. -Studies utilizing publicly available data (e.g. GWAS/TCGA/GEO etc.) should add to the body of knowledge about a specific disease or relevant phenotype and must be validated using the authors’ own data through replication in an independent sample set and functional follow-up. -Bioinformatics studies must be validated using the authors’ own data through replication in an independent sample set and functional follow-up. -Single nucleotide polymorphism (SNP) studies will not be considered.
×
引用
GB/T 7714-2015
复制
MLA
复制
APA
复制
导出至
BibTeX EndNote RefMan NoteFirst NoteExpress
×
提示
您的信息不完整,为了账户安全,请先补充。
现在去补充
×
提示
您因"违规操作"
具体请查看互助需知
我知道了
×
提示
确定
请完成安全验证×
copy
已复制链接
快去分享给好友吧!
我知道了
右上角分享
点击右上角分享
0
联系我们:info@booksci.cn Book学术提供免费学术资源搜索服务,方便国内外学者检索中英文文献。致力于提供最便捷和优质的服务体验。 Copyright © 2023 布克学术 All rights reserved.
京ICP备2023020795号-1
ghs 京公网安备 11010802042870号
Book学术文献互助
Book学术文献互助群
群 号:604180095
Book学术官方微信