模仿原发性硬化性胆管炎的梅毒性胆管病。

IF 2.4 Q2 INFECTIOUS DISEASES
Adriana Gregušová, Michal Gergel, Miroslav Žigrai
{"title":"模仿原发性硬化性胆管炎的梅毒性胆管病。","authors":"Adriana Gregušová, Michal Gergel, Miroslav Žigrai","doi":"10.3390/idr17020023","DOIUrl":null,"url":null,"abstract":"<p><strong>Introduction: </strong>Syphilis is a sexually transmitted disease with variable symptoms, often imitating various other disorders. Syphilis progresses through primary, secondary, latent, and tertiary stages, each with distinct clinical manifestations. A sudden rise in serum hepatic enzyme levels and imaging findings that mimic sclerosing cholangitis, both associated with a positive response to targeted antibiotic treatment, may indicate a diagnosis of acute syphilitic hepatitis.</p><p><strong>Case presentation: </strong>We report a case of early syphilis in the secondary stage, manifesting as sclerosing-cholangitis-like changes shown on ultrasonography, MR, and CT. Narrow-spectrum antibiotic therapy with procaine benzylpenicillin led to a consistent decrease in and normalization of levels of serum bilirubin and other markers of hepatic injury. Repeated sonography and MR cholangiography showed minimal residual changes in the intrahepatic biliary tree.</p><p><strong>Conclusions: </strong>Infection with <i>Treponema pallidum</i> is one of the rare causes of secondary cholangitis. As the incidence of syphilis is rising worldwide, it should be considered as a differential diagnosis, especially for patients with high-risk sexual behavior and for whom there are laboratory findings of cholestatic or mixed cytolytic and cholestatic hepatitis, particularly if associated with exanthema, pharyngitis, and lymphadenopathy.</p>","PeriodicalId":13579,"journal":{"name":"Infectious Disease Reports","volume":"17 2","pages":""},"PeriodicalIF":2.4000,"publicationDate":"2025-03-06","publicationTypes":"Journal Article","fieldsOfStudy":null,"isOpenAccess":false,"openAccessPdf":"https://www.ncbi.nlm.nih.gov/pmc/articles/PMC11932216/pdf/","citationCount":"0","resultStr":"{\"title\":\"Syphilitic Cholangiopathy Mimicking Primary Sclerosing Cholangitis.\",\"authors\":\"Adriana Gregušová, Michal Gergel, Miroslav Žigrai\",\"doi\":\"10.3390/idr17020023\",\"DOIUrl\":null,\"url\":null,\"abstract\":\"<p><strong>Introduction: </strong>Syphilis is a sexually transmitted disease with variable symptoms, often imitating various other disorders. Syphilis progresses through primary, secondary, latent, and tertiary stages, each with distinct clinical manifestations. A sudden rise in serum hepatic enzyme levels and imaging findings that mimic sclerosing cholangitis, both associated with a positive response to targeted antibiotic treatment, may indicate a diagnosis of acute syphilitic hepatitis.</p><p><strong>Case presentation: </strong>We report a case of early syphilis in the secondary stage, manifesting as sclerosing-cholangitis-like changes shown on ultrasonography, MR, and CT. Narrow-spectrum antibiotic therapy with procaine benzylpenicillin led to a consistent decrease in and normalization of levels of serum bilirubin and other markers of hepatic injury. Repeated sonography and MR cholangiography showed minimal residual changes in the intrahepatic biliary tree.</p><p><strong>Conclusions: </strong>Infection with <i>Treponema pallidum</i> is one of the rare causes of secondary cholangitis. As the incidence of syphilis is rising worldwide, it should be considered as a differential diagnosis, especially for patients with high-risk sexual behavior and for whom there are laboratory findings of cholestatic or mixed cytolytic and cholestatic hepatitis, particularly if associated with exanthema, pharyngitis, and lymphadenopathy.</p>\",\"PeriodicalId\":13579,\"journal\":{\"name\":\"Infectious Disease Reports\",\"volume\":\"17 2\",\"pages\":\"\"},\"PeriodicalIF\":2.4000,\"publicationDate\":\"2025-03-06\",\"publicationTypes\":\"Journal Article\",\"fieldsOfStudy\":null,\"isOpenAccess\":false,\"openAccessPdf\":\"https://www.ncbi.nlm.nih.gov/pmc/articles/PMC11932216/pdf/\",\"citationCount\":\"0\",\"resultStr\":null,\"platform\":\"Semanticscholar\",\"paperid\":null,\"PeriodicalName\":\"Infectious Disease Reports\",\"FirstCategoryId\":\"1085\",\"ListUrlMain\":\"https://doi.org/10.3390/idr17020023\",\"RegionNum\":0,\"RegionCategory\":null,\"ArticlePicture\":[],\"TitleCN\":null,\"AbstractTextCN\":null,\"PMCID\":null,\"EPubDate\":\"\",\"PubModel\":\"\",\"JCR\":\"Q2\",\"JCRName\":\"INFECTIOUS DISEASES\",\"Score\":null,\"Total\":0}","platform":"Semanticscholar","paperid":null,"PeriodicalName":"Infectious Disease Reports","FirstCategoryId":"1085","ListUrlMain":"https://doi.org/10.3390/idr17020023","RegionNum":0,"RegionCategory":null,"ArticlePicture":[],"TitleCN":null,"AbstractTextCN":null,"PMCID":null,"EPubDate":"","PubModel":"","JCR":"Q2","JCRName":"INFECTIOUS DISEASES","Score":null,"Total":0}
引用次数: 0

摘要

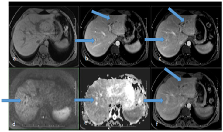
梅毒是一种症状多样的性传播疾病,常与其他各种疾病相似。梅毒的发展分为原发性、继发性、潜伏性和第三期,每个阶段都有不同的临床表现。血清肝酶水平的突然升高和成像结果类似硬化性胆管炎,两者都与靶向抗生素治疗的阳性反应相关,可能提示急性梅毒肝炎的诊断。病例介绍:我们报告一例早期梅毒的二期,表现为超声、MR和CT显示的硬化性胆管炎样变化。普鲁卡因苄青霉素窄谱抗生素治疗导致血清胆红素和其他肝损伤标志物水平的持续下降和正常化。重复超声和MR胆道造影显示肝内胆道树的微小残留改变。结论:梅毒螺旋体感染是继发性胆管炎的罕见病因之一。由于梅毒在世界范围内的发病率正在上升,应将其视为一种鉴别诊断,特别是对于有高危性行为的患者,以及实验室结果为胆汁淤积性或混合性溶细胞性和胆汁淤积性肝炎的患者,特别是与湿疹、咽炎和淋巴结病相关的患者。
本文章由计算机程序翻译,如有差异,请以英文原文为准。

Syphilitic Cholangiopathy Mimicking Primary Sclerosing Cholangitis.

Syphilitic Cholangiopathy Mimicking Primary Sclerosing Cholangitis.

Syphilitic Cholangiopathy Mimicking Primary Sclerosing Cholangitis.

Syphilitic Cholangiopathy Mimicking Primary Sclerosing Cholangitis.

Introduction: Syphilis is a sexually transmitted disease with variable symptoms, often imitating various other disorders. Syphilis progresses through primary, secondary, latent, and tertiary stages, each with distinct clinical manifestations. A sudden rise in serum hepatic enzyme levels and imaging findings that mimic sclerosing cholangitis, both associated with a positive response to targeted antibiotic treatment, may indicate a diagnosis of acute syphilitic hepatitis.

Case presentation: We report a case of early syphilis in the secondary stage, manifesting as sclerosing-cholangitis-like changes shown on ultrasonography, MR, and CT. Narrow-spectrum antibiotic therapy with procaine benzylpenicillin led to a consistent decrease in and normalization of levels of serum bilirubin and other markers of hepatic injury. Repeated sonography and MR cholangiography showed minimal residual changes in the intrahepatic biliary tree.

Conclusions: Infection with Treponema pallidum is one of the rare causes of secondary cholangitis. As the incidence of syphilis is rising worldwide, it should be considered as a differential diagnosis, especially for patients with high-risk sexual behavior and for whom there are laboratory findings of cholestatic or mixed cytolytic and cholestatic hepatitis, particularly if associated with exanthema, pharyngitis, and lymphadenopathy.

求助全文
通过发布文献求助,成功后即可免费获取论文全文。 去求助
来源期刊
Infectious Disease Reports
Infectious Disease Reports INFECTIOUS DISEASES-
CiteScore
5.10
自引率
0.00%
发文量
82
审稿时长
11 weeks
×
引用
GB/T 7714-2015
复制
MLA
复制
APA
复制
导出至
BibTeX EndNote RefMan NoteFirst NoteExpress
×
提示
您的信息不完整,为了账户安全,请先补充。
现在去补充
×
提示
您因"违规操作"
具体请查看互助需知
我知道了
×
提示
确定
请完成安全验证×
copy
已复制链接
快去分享给好友吧!
我知道了
右上角分享
点击右上角分享
0
联系我们:info@booksci.cn Book学术提供免费学术资源搜索服务,方便国内外学者检索中英文文献。致力于提供最便捷和优质的服务体验。 Copyright © 2023 布克学术 All rights reserved.
京ICP备2023020795号-1
ghs 京公网安备 11010802042870号
Book学术文献互助
Book学术文献互助群
群 号:604180095
Book学术官方微信