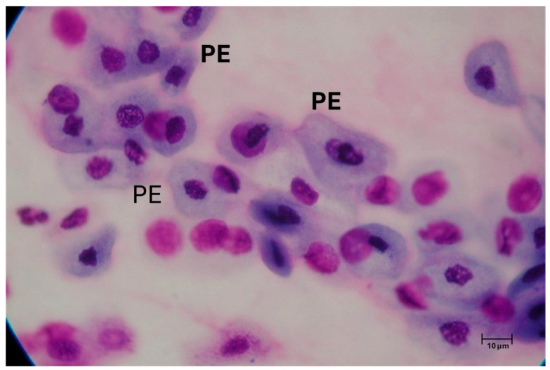
鼻炎在老年人群:流行病学和细胞学方面。

IF 2.1 Q3 GERIATRICS & GERONTOLOGY
Matteo Gelardi, Rossana Giancaspro, Elisa Boni, Mario Di Gioacchino, Giulia Cintoli, Michele Cassano, Maria Teresa Ventura
{"title":"鼻炎在老年人群:流行病学和细胞学方面。","authors":"Matteo Gelardi, Rossana Giancaspro, Elisa Boni, Mario Di Gioacchino, Giulia Cintoli, Michele Cassano, Maria Teresa Ventura","doi":"10.3390/geriatrics10020050","DOIUrl":null,"url":null,"abstract":"<p><p>Allergic rhinitis (AR), traditionally considered as a childhood condition, is increasingly recognized among older adults, driven by rising life expectancy and environmental factors. Although allergic sensitization declines with age, AR prevalence in the elderly is underestimated, with 3-12% of geriatric patients affected. Diagnosis is challenging due to nonspecific symptoms and overlapping conditions, leading to underdiagnosis and inadequate treatment. AR significantly impacts the quality of life (QoL), often exacerbating respiratory comorbidities like asthma and COPD. Presbynasalis, encompassing age-related sinonasal changes, includes reduced allergic responses, increased chronic rhinosinusitis, altered nasal structure, and impaired mucociliary clearance. Non-allergic rhinitis, atrophic rhinitis, and overlapping rhinitis further complicate AR diagnosis in the elderly. Effective management involves personalized pharmacotherapy, allergen-specific immunotherapy (AIT), and addressing comorbidities and polypharmacy risks. Despite safety concerns, recent studies demonstrate AIT efficacy in elderly patients, reducing symptoms and medication use. Given AR's impact on cognitive and respiratory health, accurate diagnosis and treatment can enhance QoL and mitigate health decline. Greater awareness and further research are essential to understand AR prevalence and improve outcomes for geriatric patients.</p>","PeriodicalId":12653,"journal":{"name":"Geriatrics","volume":"10 2","pages":""},"PeriodicalIF":2.1000,"publicationDate":"2025-03-20","publicationTypes":"Journal Article","fieldsOfStudy":null,"isOpenAccess":false,"openAccessPdf":"https://www.ncbi.nlm.nih.gov/pmc/articles/PMC11932218/pdf/","citationCount":"0","resultStr":"{\"title\":\"Rhinitis in the Geriatric Population: Epidemiological and Cytological Aspects.\",\"authors\":\"Matteo Gelardi, Rossana Giancaspro, Elisa Boni, Mario Di Gioacchino, Giulia Cintoli, Michele Cassano, Maria Teresa Ventura\",\"doi\":\"10.3390/geriatrics10020050\",\"DOIUrl\":null,\"url\":null,\"abstract\":\"<p><p>Allergic rhinitis (AR), traditionally considered as a childhood condition, is increasingly recognized among older adults, driven by rising life expectancy and environmental factors. Although allergic sensitization declines with age, AR prevalence in the elderly is underestimated, with 3-12% of geriatric patients affected. Diagnosis is challenging due to nonspecific symptoms and overlapping conditions, leading to underdiagnosis and inadequate treatment. AR significantly impacts the quality of life (QoL), often exacerbating respiratory comorbidities like asthma and COPD. Presbynasalis, encompassing age-related sinonasal changes, includes reduced allergic responses, increased chronic rhinosinusitis, altered nasal structure, and impaired mucociliary clearance. Non-allergic rhinitis, atrophic rhinitis, and overlapping rhinitis further complicate AR diagnosis in the elderly. Effective management involves personalized pharmacotherapy, allergen-specific immunotherapy (AIT), and addressing comorbidities and polypharmacy risks. Despite safety concerns, recent studies demonstrate AIT efficacy in elderly patients, reducing symptoms and medication use. Given AR's impact on cognitive and respiratory health, accurate diagnosis and treatment can enhance QoL and mitigate health decline. Greater awareness and further research are essential to understand AR prevalence and improve outcomes for geriatric patients.</p>\",\"PeriodicalId\":12653,\"journal\":{\"name\":\"Geriatrics\",\"volume\":\"10 2\",\"pages\":\"\"},\"PeriodicalIF\":2.1000,\"publicationDate\":\"2025-03-20\",\"publicationTypes\":\"Journal Article\",\"fieldsOfStudy\":null,\"isOpenAccess\":false,\"openAccessPdf\":\"https://www.ncbi.nlm.nih.gov/pmc/articles/PMC11932218/pdf/\",\"citationCount\":\"0\",\"resultStr\":null,\"platform\":\"Semanticscholar\",\"paperid\":null,\"PeriodicalName\":\"Geriatrics\",\"FirstCategoryId\":\"1085\",\"ListUrlMain\":\"https://doi.org/10.3390/geriatrics10020050\",\"RegionNum\":0,\"RegionCategory\":null,\"ArticlePicture\":[],\"TitleCN\":null,\"AbstractTextCN\":null,\"PMCID\":null,\"EPubDate\":\"\",\"PubModel\":\"\",\"JCR\":\"Q3\",\"JCRName\":\"GERIATRICS & GERONTOLOGY\",\"Score\":null,\"Total\":0}","platform":"Semanticscholar","paperid":null,"PeriodicalName":"Geriatrics","FirstCategoryId":"1085","ListUrlMain":"https://doi.org/10.3390/geriatrics10020050","RegionNum":0,"RegionCategory":null,"ArticlePicture":[],"TitleCN":null,"AbstractTextCN":null,"PMCID":null,"EPubDate":"","PubModel":"","JCR":"Q3","JCRName":"GERIATRICS & GERONTOLOGY","Score":null,"Total":0}
引用次数: 0

摘要

过敏性鼻炎(AR),传统上被认为是儿童疾病,越来越多地在老年人中得到认可,由于预期寿命的延长和环境因素。虽然过敏性随年龄的增长而下降,但老年人的AR患病率被低估了,有3-12%的老年患者受到影响。由于非特异性症状和重叠的条件,诊断是具有挑战性的,导致诊断不足和治疗不足。AR显著影响生活质量(QoL),经常加剧呼吸合并症,如哮喘和COPD。鼻老年性鼻窦炎包括与年龄相关的鼻窦改变,包括过敏反应减少、慢性鼻窦炎增加、鼻结构改变和粘膜纤毛清除受损。非变应性鼻炎、萎缩性鼻炎和重叠性鼻炎进一步使老年人AR的诊断复杂化。有效的管理包括个体化药物治疗、过敏原特异性免疫治疗(AIT)、解决合并症和多药风险。尽管存在安全问题,但最近的研究表明,AIT对老年患者有效,可以减少症状和药物使用。鉴于AR对认知和呼吸系统健康的影响,准确的诊断和治疗可以提高生活质量并减轻健康下降。提高认识和进一步研究对于了解AR患病率和改善老年患者的预后至关重要。
本文章由计算机程序翻译,如有差异,请以英文原文为准。

Rhinitis in the Geriatric Population: Epidemiological and Cytological Aspects.

Rhinitis in the Geriatric Population: Epidemiological and Cytological Aspects.

Rhinitis in the Geriatric Population: Epidemiological and Cytological Aspects.

Rhinitis in the Geriatric Population: Epidemiological and Cytological Aspects.

Allergic rhinitis (AR), traditionally considered as a childhood condition, is increasingly recognized among older adults, driven by rising life expectancy and environmental factors. Although allergic sensitization declines with age, AR prevalence in the elderly is underestimated, with 3-12% of geriatric patients affected. Diagnosis is challenging due to nonspecific symptoms and overlapping conditions, leading to underdiagnosis and inadequate treatment. AR significantly impacts the quality of life (QoL), often exacerbating respiratory comorbidities like asthma and COPD. Presbynasalis, encompassing age-related sinonasal changes, includes reduced allergic responses, increased chronic rhinosinusitis, altered nasal structure, and impaired mucociliary clearance. Non-allergic rhinitis, atrophic rhinitis, and overlapping rhinitis further complicate AR diagnosis in the elderly. Effective management involves personalized pharmacotherapy, allergen-specific immunotherapy (AIT), and addressing comorbidities and polypharmacy risks. Despite safety concerns, recent studies demonstrate AIT efficacy in elderly patients, reducing symptoms and medication use. Given AR's impact on cognitive and respiratory health, accurate diagnosis and treatment can enhance QoL and mitigate health decline. Greater awareness and further research are essential to understand AR prevalence and improve outcomes for geriatric patients.

求助全文
通过发布文献求助,成功后即可免费获取论文全文。 去求助
来源期刊
Geriatrics
Geriatrics 医学-老年医学
CiteScore
3.30
自引率
0.00%
发文量
115
审稿时长
20.03 days
期刊介绍: • Geriatric biology • Geriatric health services research • Geriatric medicine research • Geriatric neurology, stroke, cognition and oncology • Geriatric surgery • Geriatric physical functioning, physical health and activity • Geriatric psychiatry and psychology • Geriatric nutrition • Geriatric epidemiology • Geriatric rehabilitation
×
引用
GB/T 7714-2015
复制
MLA
复制
APA
复制
导出至
BibTeX EndNote RefMan NoteFirst NoteExpress
×
提示
您的信息不完整,为了账户安全,请先补充。
现在去补充
×
提示
您因"违规操作"
具体请查看互助需知
我知道了
×
提示
确定
请完成安全验证×
copy
已复制链接
快去分享给好友吧!
我知道了
右上角分享
点击右上角分享
0
联系我们:info@booksci.cn Book学术提供免费学术资源搜索服务,方便国内外学者检索中英文文献。致力于提供最便捷和优质的服务体验。 Copyright © 2023 布克学术 All rights reserved.
京ICP备2023020795号-1
ghs 京公网安备 11010802042870号
Book学术文献互助
Book学术文献互助群
群 号:604180095
Book学术官方微信