病例报告:老年病人虚弱和反复跌倒。

IF 2.1 Q3 GERIATRICS & GERONTOLOGY
Mercedes Galloway, Nannette Hoffman, Christopher Lawrence Bray, Ahmed Ebrahim, Brittany Puebla, David Ritchie
{"title":"病例报告:老年病人虚弱和反复跌倒。","authors":"Mercedes Galloway, Nannette Hoffman, Christopher Lawrence Bray, Ahmed Ebrahim, Brittany Puebla, David Ritchie","doi":"10.3390/geriatrics10020041","DOIUrl":null,"url":null,"abstract":"<p><p><b>Background/Objectives:</b> Lower-extremity weakness in older adults is often overlooked, yet it can have reversible or medical causes that contribute to increased falls. Common factors include vision disturbances, impaired balance due to otolith dysfunction, arthritis-related immobility, and lower-extremity neuropathy. This case presents a unique diagnostic challenge in evaluating bilateral lower-extremity weakness and recurrent falls in an older adult, highlighting the complexity of diagnosing conditions with overlapping symptoms. <b>Case Presentation:</b> The patient, a woman with a history of a neuroendocrine tumor, experienced progressive weakness in her lower extremities, along with oculomotor and facial muscle involvement, despite extensive testing. Key clinical findings included elevated protein levels in cerebrospinal fluid, suggesting the possibility of an infectious or autoimmune process. A thorough investigation was conducted, including testing for both common and rare conditions such as Guillain-Barré syndrome, Lyme disease, and tuberculosis. <b>Results:</b> Despite comprehensive diagnostic efforts, no clear etiology was identified. The patient's condition was eventually considered to be related to carcinomatosis meningoencephalitis, a rare complication from a previous cancer diagnosis. Given the progressive nature of her symptoms and lack of treatment options, she was transitioned to palliative care. <b>Conclusions:</b> This case highlights the importance of a comprehensive differential diagnosis in older patients with unexplained weakness and falls. Rare neurological conditions should not be overlooked, even when more common causes are suspected. Clinicians should remain aware that falls and weakness in older adults may stem from various pathologies, some of which are reversible if identified early, and rare causes must always be considered when standard treatments fail.</p>","PeriodicalId":12653,"journal":{"name":"Geriatrics","volume":"10 2","pages":""},"PeriodicalIF":2.1000,"publicationDate":"2025-03-13","publicationTypes":"Journal Article","fieldsOfStudy":null,"isOpenAccess":false,"openAccessPdf":"https://www.ncbi.nlm.nih.gov/pmc/articles/PMC11932286/pdf/","citationCount":"0","resultStr":"{\"title\":\"Case Report: Weakness and Recurrent Falls in an Older Patient.\",\"authors\":\"Mercedes Galloway, Nannette Hoffman, Christopher Lawrence Bray, Ahmed Ebrahim, Brittany Puebla, David Ritchie\",\"doi\":\"10.3390/geriatrics10020041\",\"DOIUrl\":null,\"url\":null,\"abstract\":\"<p><p><b>Background/Objectives:</b> Lower-extremity weakness in older adults is often overlooked, yet it can have reversible or medical causes that contribute to increased falls. Common factors include vision disturbances, impaired balance due to otolith dysfunction, arthritis-related immobility, and lower-extremity neuropathy. This case presents a unique diagnostic challenge in evaluating bilateral lower-extremity weakness and recurrent falls in an older adult, highlighting the complexity of diagnosing conditions with overlapping symptoms. <b>Case Presentation:</b> The patient, a woman with a history of a neuroendocrine tumor, experienced progressive weakness in her lower extremities, along with oculomotor and facial muscle involvement, despite extensive testing. Key clinical findings included elevated protein levels in cerebrospinal fluid, suggesting the possibility of an infectious or autoimmune process. A thorough investigation was conducted, including testing for both common and rare conditions such as Guillain-Barré syndrome, Lyme disease, and tuberculosis. <b>Results:</b> Despite comprehensive diagnostic efforts, no clear etiology was identified. The patient's condition was eventually considered to be related to carcinomatosis meningoencephalitis, a rare complication from a previous cancer diagnosis. Given the progressive nature of her symptoms and lack of treatment options, she was transitioned to palliative care. <b>Conclusions:</b> This case highlights the importance of a comprehensive differential diagnosis in older patients with unexplained weakness and falls. Rare neurological conditions should not be overlooked, even when more common causes are suspected. Clinicians should remain aware that falls and weakness in older adults may stem from various pathologies, some of which are reversible if identified early, and rare causes must always be considered when standard treatments fail.</p>\",\"PeriodicalId\":12653,\"journal\":{\"name\":\"Geriatrics\",\"volume\":\"10 2\",\"pages\":\"\"},\"PeriodicalIF\":2.1000,\"publicationDate\":\"2025-03-13\",\"publicationTypes\":\"Journal Article\",\"fieldsOfStudy\":null,\"isOpenAccess\":false,\"openAccessPdf\":\"https://www.ncbi.nlm.nih.gov/pmc/articles/PMC11932286/pdf/\",\"citationCount\":\"0\",\"resultStr\":null,\"platform\":\"Semanticscholar\",\"paperid\":null,\"PeriodicalName\":\"Geriatrics\",\"FirstCategoryId\":\"1085\",\"ListUrlMain\":\"https://doi.org/10.3390/geriatrics10020041\",\"RegionNum\":0,\"RegionCategory\":null,\"ArticlePicture\":[],\"TitleCN\":null,\"AbstractTextCN\":null,\"PMCID\":null,\"EPubDate\":\"\",\"PubModel\":\"\",\"JCR\":\"Q3\",\"JCRName\":\"GERIATRICS & GERONTOLOGY\",\"Score\":null,\"Total\":0}","platform":"Semanticscholar","paperid":null,"PeriodicalName":"Geriatrics","FirstCategoryId":"1085","ListUrlMain":"https://doi.org/10.3390/geriatrics10020041","RegionNum":0,"RegionCategory":null,"ArticlePicture":[],"TitleCN":null,"AbstractTextCN":null,"PMCID":null,"EPubDate":"","PubModel":"","JCR":"Q3","JCRName":"GERIATRICS & GERONTOLOGY","Score":null,"Total":0}
引用次数: 0

摘要

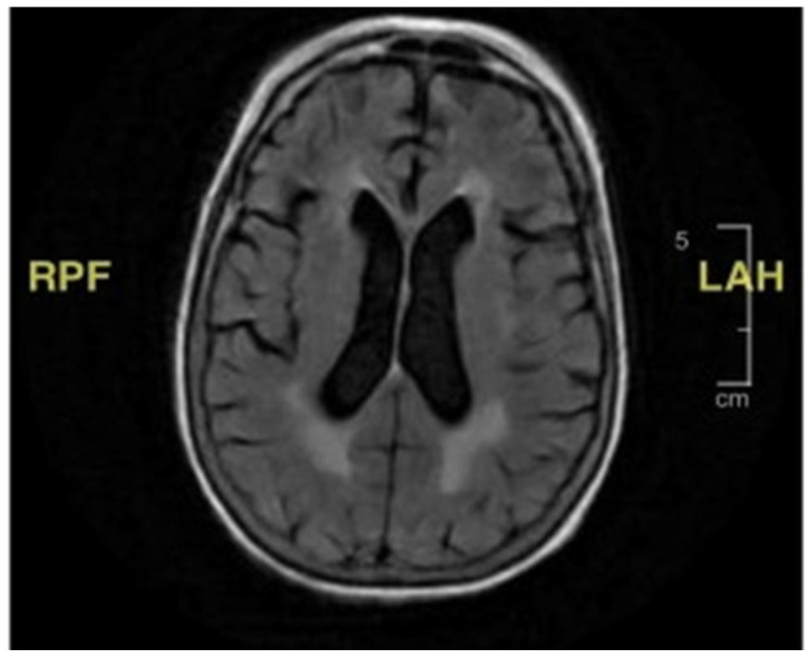
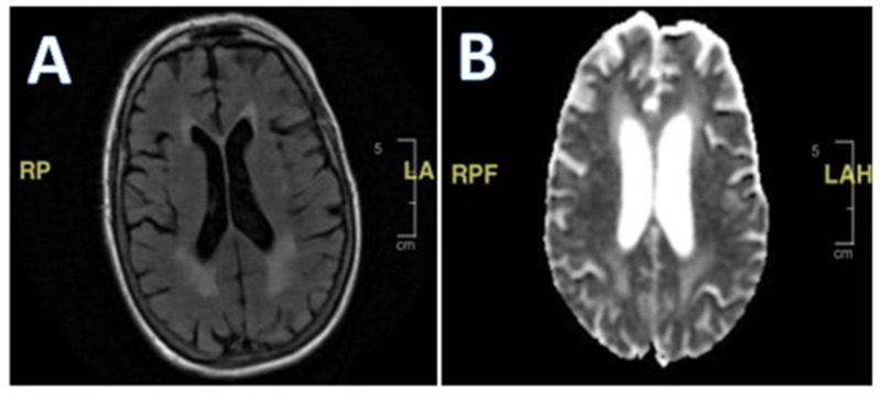
背景/目的:老年人下肢无力经常被忽视,但它可能有可逆或医学原因,导致跌倒增加。常见的因素包括视力障碍、耳石功能障碍导致的平衡受损、关节炎相关的行动不便和下肢神经病变。本病例在评估老年人双侧下肢无力和复发性跌倒时提出了独特的诊断挑战,突出了诊断具有重叠症状的条件的复杂性。病例介绍:患者是一名有神经内分泌肿瘤病史的女性,尽管进行了广泛的检查,但下肢进行性无力,同时伴有动眼肌和面部肌肉受累。关键的临床发现包括脑脊液中蛋白水平升高,提示感染或自身免疫过程的可能性。进行了彻底的调查,包括检测常见和罕见疾病,如吉兰-巴罗综合征、莱姆病和结核病。结果:尽管全面的诊断努力,没有明确的病因确定。患者的病情最终被认为与癌性脑膜脑炎有关,这是以前癌症诊断的罕见并发症。鉴于她的症状的进行性和缺乏治疗选择,她被转移到姑息治疗。结论:本病例强调了对不明原因虚弱和跌倒的老年患者进行全面鉴别诊断的重要性。罕见的神经系统疾病不应被忽视,即使怀疑是更常见的原因。临床医生应该意识到,老年人的跌倒和虚弱可能源于各种病理,其中一些如果及早发现是可逆的,当标准治疗失败时,必须考虑罕见的原因。
本文章由计算机程序翻译,如有差异,请以英文原文为准。

Case Report: Weakness and Recurrent Falls in an Older Patient.

Case Report: Weakness and Recurrent Falls in an Older Patient.

Case Report: Weakness and Recurrent Falls in an Older Patient.

Case Report: Weakness and Recurrent Falls in an Older Patient.

Background/Objectives: Lower-extremity weakness in older adults is often overlooked, yet it can have reversible or medical causes that contribute to increased falls. Common factors include vision disturbances, impaired balance due to otolith dysfunction, arthritis-related immobility, and lower-extremity neuropathy. This case presents a unique diagnostic challenge in evaluating bilateral lower-extremity weakness and recurrent falls in an older adult, highlighting the complexity of diagnosing conditions with overlapping symptoms. Case Presentation: The patient, a woman with a history of a neuroendocrine tumor, experienced progressive weakness in her lower extremities, along with oculomotor and facial muscle involvement, despite extensive testing. Key clinical findings included elevated protein levels in cerebrospinal fluid, suggesting the possibility of an infectious or autoimmune process. A thorough investigation was conducted, including testing for both common and rare conditions such as Guillain-Barré syndrome, Lyme disease, and tuberculosis. Results: Despite comprehensive diagnostic efforts, no clear etiology was identified. The patient's condition was eventually considered to be related to carcinomatosis meningoencephalitis, a rare complication from a previous cancer diagnosis. Given the progressive nature of her symptoms and lack of treatment options, she was transitioned to palliative care. Conclusions: This case highlights the importance of a comprehensive differential diagnosis in older patients with unexplained weakness and falls. Rare neurological conditions should not be overlooked, even when more common causes are suspected. Clinicians should remain aware that falls and weakness in older adults may stem from various pathologies, some of which are reversible if identified early, and rare causes must always be considered when standard treatments fail.

求助全文
通过发布文献求助,成功后即可免费获取论文全文。 去求助
来源期刊
Geriatrics
Geriatrics 医学-老年医学
CiteScore
3.30
自引率
0.00%
发文量
115
审稿时长
20.03 days
期刊介绍: • Geriatric biology • Geriatric health services research • Geriatric medicine research • Geriatric neurology, stroke, cognition and oncology • Geriatric surgery • Geriatric physical functioning, physical health and activity • Geriatric psychiatry and psychology • Geriatric nutrition • Geriatric epidemiology • Geriatric rehabilitation
×
引用
GB/T 7714-2015
复制
MLA
复制
APA
复制
导出至
BibTeX EndNote RefMan NoteFirst NoteExpress
×
提示
您的信息不完整,为了账户安全,请先补充。
现在去补充
×
提示
您因"违规操作"
具体请查看互助需知
我知道了
×
提示
确定
请完成安全验证×
copy
已复制链接
快去分享给好友吧!
我知道了
右上角分享
点击右上角分享
0
联系我们:info@booksci.cn Book学术提供免费学术资源搜索服务,方便国内外学者检索中英文文献。致力于提供最便捷和优质的服务体验。 Copyright © 2023 布克学术 All rights reserved.
京ICP备2023020795号-1
ghs 京公网安备 11010802042870号
Book学术文献互助
Book学术文献互助群
群 号:604180095
Book学术官方微信