1例高复发性DFSP:治疗困境与考虑。

Q3 Medicine
Case Reports in Dermatological Medicine Pub Date : 2025-03-14 eCollection Date: 2025-01-01 DOI:10.1155/crdm/6640596
Ty Theriot, Christopher Haas
{"title":"1例高复发性DFSP:治疗困境与考虑。","authors":"Ty Theriot, Christopher Haas","doi":"10.1155/crdm/6640596","DOIUrl":null,"url":null,"abstract":"<p><p>Dermatofibrosarcoma protuberans (DFSP) is a rare, slow-growing soft tissue tumor affecting the dermis and subcutaneous tissues, with potential involvement of muscle and fascia. This case report describes a 68-year-old Caucasian male with a history of recurrent DFSP on the left cheek, initially excised 36 years ago, with multiple recurrences despite wide local excisions (WLEs), eventually requiring left orbital enucleation, presenting to the clinic with a 10-year history of a slow-growing lesion on the left temporal scalp. Examination revealed a 2 cm flesh-colored, firm nodule, which biopsy confirmed as DFSP. Despite two subsequent WLEs, positive margins persisted. The patient refused further surgical intervention and was referred for imatinib and radiation therapy, which he also declined. MRI revealed additional nodules near the left zygomatic arch and sternocleidomastoid. DFSP is diagnosed via biopsy, often confirmed with CD34 immunohistochemistry. Optimal treatment is Mohs micrographic surgery (MMS), but WLE is also used. The recurrence rate is high, especially in head and neck locations. This case underscores the necessity for multidisciplinary management and highlights the critical role of thorough physical and histopathologic examinations. Close clinical follow-up is essential due to the high recurrence risk within the first three years post-treatment. This report emphasizes the importance of early detection and comprehensive care strategies to manage DFSP effectively.</p>","PeriodicalId":9630,"journal":{"name":"Case Reports in Dermatological Medicine","volume":"2025 ","pages":"6640596"},"PeriodicalIF":0.0000,"publicationDate":"2025-03-14","publicationTypes":"Journal Article","fieldsOfStudy":null,"isOpenAccess":false,"openAccessPdf":"https://www.ncbi.nlm.nih.gov/pmc/articles/PMC11928210/pdf/","citationCount":"0","resultStr":"{\"title\":\"A Case of Highly Recurrent DFSP: Treatment Dilemmas and Considerations.\",\"authors\":\"Ty Theriot, Christopher Haas\",\"doi\":\"10.1155/crdm/6640596\",\"DOIUrl\":null,\"url\":null,\"abstract\":\"<p><p>Dermatofibrosarcoma protuberans (DFSP) is a rare, slow-growing soft tissue tumor affecting the dermis and subcutaneous tissues, with potential involvement of muscle and fascia. This case report describes a 68-year-old Caucasian male with a history of recurrent DFSP on the left cheek, initially excised 36 years ago, with multiple recurrences despite wide local excisions (WLEs), eventually requiring left orbital enucleation, presenting to the clinic with a 10-year history of a slow-growing lesion on the left temporal scalp. Examination revealed a 2 cm flesh-colored, firm nodule, which biopsy confirmed as DFSP. Despite two subsequent WLEs, positive margins persisted. The patient refused further surgical intervention and was referred for imatinib and radiation therapy, which he also declined. MRI revealed additional nodules near the left zygomatic arch and sternocleidomastoid. DFSP is diagnosed via biopsy, often confirmed with CD34 immunohistochemistry. Optimal treatment is Mohs micrographic surgery (MMS), but WLE is also used. The recurrence rate is high, especially in head and neck locations. This case underscores the necessity for multidisciplinary management and highlights the critical role of thorough physical and histopathologic examinations. Close clinical follow-up is essential due to the high recurrence risk within the first three years post-treatment. This report emphasizes the importance of early detection and comprehensive care strategies to manage DFSP effectively.</p>\",\"PeriodicalId\":9630,\"journal\":{\"name\":\"Case Reports in Dermatological Medicine\",\"volume\":\"2025 \",\"pages\":\"6640596\"},\"PeriodicalIF\":0.0000,\"publicationDate\":\"2025-03-14\",\"publicationTypes\":\"Journal Article\",\"fieldsOfStudy\":null,\"isOpenAccess\":false,\"openAccessPdf\":\"https://www.ncbi.nlm.nih.gov/pmc/articles/PMC11928210/pdf/\",\"citationCount\":\"0\",\"resultStr\":null,\"platform\":\"Semanticscholar\",\"paperid\":null,\"PeriodicalName\":\"Case Reports in Dermatological Medicine\",\"FirstCategoryId\":\"1085\",\"ListUrlMain\":\"https://doi.org/10.1155/crdm/6640596\",\"RegionNum\":0,\"RegionCategory\":null,\"ArticlePicture\":[],\"TitleCN\":null,\"AbstractTextCN\":null,\"PMCID\":null,\"EPubDate\":\"2025/1/1 0:00:00\",\"PubModel\":\"eCollection\",\"JCR\":\"Q3\",\"JCRName\":\"Medicine\",\"Score\":null,\"Total\":0}","platform":"Semanticscholar","paperid":null,"PeriodicalName":"Case Reports in Dermatological Medicine","FirstCategoryId":"1085","ListUrlMain":"https://doi.org/10.1155/crdm/6640596","RegionNum":0,"RegionCategory":null,"ArticlePicture":[],"TitleCN":null,"AbstractTextCN":null,"PMCID":null,"EPubDate":"2025/1/1 0:00:00","PubModel":"eCollection","JCR":"Q3","JCRName":"Medicine","Score":null,"Total":0}
引用次数: 0

摘要

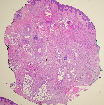
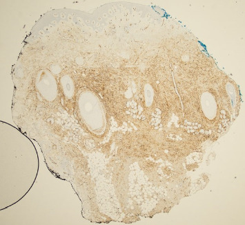
皮肤纤维肉瘤隆突(DFSP)是一种罕见的,生长缓慢的软组织肿瘤,影响真皮和皮下组织,有可能累及肌肉和筋膜。本病例报告描述了一名68岁的白人男性,他有左脸颊复发性DFSP的病史,最初是在36年前切除的,尽管大面积局部切除(WLEs),但多次复发,最终需要左眼眶去核,在10年的历史中表现为左颞头皮生长缓慢的病变。检查发现一2厘米肉色坚硬结节,活检证实为DFSP。尽管随后出现了两次低利润率,但利润率依然为正。患者拒绝进一步手术干预,并被转介伊马替尼和放射治疗,他也拒绝了。MRI显示左侧颧弓和胸锁乳突肌附近有附加结节。DFSP通过活检诊断,通常用CD34免疫组织化学证实。最佳的治疗方法是Mohs显微手术(MMS),但也可以使用WLE。复发率高,尤其是头颈部部位。该病例强调了多学科管理的必要性,并强调了彻底的物理和组织病理学检查的关键作用。密切的临床随访是必要的,因为在治疗后的前三年内复发的风险很高。本报告强调了早期发现和综合护理策略对有效管理DFSP的重要性。
本文章由计算机程序翻译,如有差异,请以英文原文为准。

A Case of Highly Recurrent DFSP: Treatment Dilemmas and Considerations.

A Case of Highly Recurrent DFSP: Treatment Dilemmas and Considerations.

A Case of Highly Recurrent DFSP: Treatment Dilemmas and Considerations.

A Case of Highly Recurrent DFSP: Treatment Dilemmas and Considerations.

Dermatofibrosarcoma protuberans (DFSP) is a rare, slow-growing soft tissue tumor affecting the dermis and subcutaneous tissues, with potential involvement of muscle and fascia. This case report describes a 68-year-old Caucasian male with a history of recurrent DFSP on the left cheek, initially excised 36 years ago, with multiple recurrences despite wide local excisions (WLEs), eventually requiring left orbital enucleation, presenting to the clinic with a 10-year history of a slow-growing lesion on the left temporal scalp. Examination revealed a 2 cm flesh-colored, firm nodule, which biopsy confirmed as DFSP. Despite two subsequent WLEs, positive margins persisted. The patient refused further surgical intervention and was referred for imatinib and radiation therapy, which he also declined. MRI revealed additional nodules near the left zygomatic arch and sternocleidomastoid. DFSP is diagnosed via biopsy, often confirmed with CD34 immunohistochemistry. Optimal treatment is Mohs micrographic surgery (MMS), but WLE is also used. The recurrence rate is high, especially in head and neck locations. This case underscores the necessity for multidisciplinary management and highlights the critical role of thorough physical and histopathologic examinations. Close clinical follow-up is essential due to the high recurrence risk within the first three years post-treatment. This report emphasizes the importance of early detection and comprehensive care strategies to manage DFSP effectively.

求助全文
通过发布文献求助,成功后即可免费获取论文全文。 去求助
来源期刊
CiteScore
1.50
自引率
0.00%
发文量
24
审稿时长
15 weeks
×
引用
GB/T 7714-2015
复制
MLA
复制
APA
复制
导出至
BibTeX EndNote RefMan NoteFirst NoteExpress
×
提示
您的信息不完整,为了账户安全,请先补充。
现在去补充
×
提示
您因"违规操作"
具体请查看互助需知
我知道了
×
提示
确定
请完成安全验证×
copy
已复制链接
快去分享给好友吧!
我知道了
右上角分享
点击右上角分享
0
联系我们:info@booksci.cn Book学术提供免费学术资源搜索服务,方便国内外学者检索中英文文献。致力于提供最便捷和优质的服务体验。 Copyright © 2023 布克学术 All rights reserved.
京ICP备2023020795号-1
ghs 京公网安备 11010802042870号
Book学术文献互助
Book学术文献互助群
群 号:604180095
Book学术官方微信