自身免疫性胃炎患者胃肿瘤并发症的有效内镜治疗:88例患者的单中心研究结果

IF 2.2 Q3 GASTROENTEROLOGY & HEPATOLOGY
Annals of Gastroenterology Pub Date : 2025-03-01 Epub Date: 2025-02-25 DOI:10.20524/aog.2025.0947
Solène Hoibian, Jean-Philippe Ratone, Alexey Solovyev, Yanis Dahel, Emmanuel Mitry, Flora Poizat, Jerome Guiramand, Fabrice Caillol, Marc Giovannini
{"title":"自身免疫性胃炎患者胃肿瘤并发症的有效内镜治疗:88例患者的单中心研究结果","authors":"Solène Hoibian, Jean-Philippe Ratone, Alexey Solovyev, Yanis Dahel, Emmanuel Mitry, Flora Poizat, Jerome Guiramand, Fabrice Caillol, Marc Giovannini","doi":"10.20524/aog.2025.0947","DOIUrl":null,"url":null,"abstract":"<p><strong>Background: </strong>We evaluated the efficacy of endoscopic treatment (ET) for gastric neoplastic complications of autoimmune gastritis (AIG). We also assessed the safety of ET and the risk factors for the occurrence of neuroendocrine tumors (NETs) and gastric adenocarcinoma (GA).</p><p><strong>Methods: </strong>This was a retrospective, single-center, observational study. All patients diagnosed with AIG between 1987 and 2019 and had at least 1 upper endoscopy available were included.</p><p><strong>Results: </strong>The study population comprised 88 patients (68.2% female). The median follow up was 5 years (range 1-28). A total of 132 NETs were diagnosed in 39/88 patients (44.3%) (median age 50.0 years, range 27.0-85.0 years). The mean lesion size was 7.1 mm (range 1-30); there were 80 G1 NETs and 52 G2 NETs. Among the 132 lesions, 86.3% (114/132) were endoscopically resected, mostly by endoscopic mucosal resection (105/114, 92.1%), without complications. Only 1 patient underwent surgery. Twelve patients (13.6%) (7 females; median age, 76.0 years; range, 53.0-90.0 years) presented with GA. Of these, 66.7% (8/12) needed surgery, while 4 patients underwent exclusive endoscopic resection. Only 2 patients presented with NETs and GA (2.8%). Patients who presented with NETs were significantly younger at AIG diagnosis than patients with GA: 52.0 (18.0-85.0) vs. 67.0 (44.0-81.0) years (P=0.008). Patients who presented with GA were significantly older than those who presented with NETs: 76.0 (53.0-90.0) vs. 50.0 (27.0-85.0) years (P<0.001).</p><p><strong>Conclusion: </strong>ET of NETs for AIG is effective and safe. GA is rarer, occurs in significantly older patients, and usually requires surgery.</p>","PeriodicalId":7978,"journal":{"name":"Annals of Gastroenterology","volume":"38 2","pages":"163-173"},"PeriodicalIF":2.2000,"publicationDate":"2025-03-01","publicationTypes":"Journal Article","fieldsOfStudy":null,"isOpenAccess":false,"openAccessPdf":"https://www.ncbi.nlm.nih.gov/pmc/articles/PMC11928903/pdf/","citationCount":"0","resultStr":"{\"title\":\"Effective endoscopic management of gastric neoplastic complications in patients with autoimmune gastritis: results of a monocentric study of 88 patients.\",\"authors\":\"Solène Hoibian, Jean-Philippe Ratone, Alexey Solovyev, Yanis Dahel, Emmanuel Mitry, Flora Poizat, Jerome Guiramand, Fabrice Caillol, Marc Giovannini\",\"doi\":\"10.20524/aog.2025.0947\",\"DOIUrl\":null,\"url\":null,\"abstract\":\"<p><strong>Background: </strong>We evaluated the efficacy of endoscopic treatment (ET) for gastric neoplastic complications of autoimmune gastritis (AIG). We also assessed the safety of ET and the risk factors for the occurrence of neuroendocrine tumors (NETs) and gastric adenocarcinoma (GA).</p><p><strong>Methods: </strong>This was a retrospective, single-center, observational study. All patients diagnosed with AIG between 1987 and 2019 and had at least 1 upper endoscopy available were included.</p><p><strong>Results: </strong>The study population comprised 88 patients (68.2% female). The median follow up was 5 years (range 1-28). A total of 132 NETs were diagnosed in 39/88 patients (44.3%) (median age 50.0 years, range 27.0-85.0 years). The mean lesion size was 7.1 mm (range 1-30); there were 80 G1 NETs and 52 G2 NETs. Among the 132 lesions, 86.3% (114/132) were endoscopically resected, mostly by endoscopic mucosal resection (105/114, 92.1%), without complications. Only 1 patient underwent surgery. Twelve patients (13.6%) (7 females; median age, 76.0 years; range, 53.0-90.0 years) presented with GA. Of these, 66.7% (8/12) needed surgery, while 4 patients underwent exclusive endoscopic resection. Only 2 patients presented with NETs and GA (2.8%). Patients who presented with NETs were significantly younger at AIG diagnosis than patients with GA: 52.0 (18.0-85.0) vs. 67.0 (44.0-81.0) years (P=0.008). Patients who presented with GA were significantly older than those who presented with NETs: 76.0 (53.0-90.0) vs. 50.0 (27.0-85.0) years (P<0.001).</p><p><strong>Conclusion: </strong>ET of NETs for AIG is effective and safe. GA is rarer, occurs in significantly older patients, and usually requires surgery.</p>\",\"PeriodicalId\":7978,\"journal\":{\"name\":\"Annals of Gastroenterology\",\"volume\":\"38 2\",\"pages\":\"163-173\"},\"PeriodicalIF\":2.2000,\"publicationDate\":\"2025-03-01\",\"publicationTypes\":\"Journal Article\",\"fieldsOfStudy\":null,\"isOpenAccess\":false,\"openAccessPdf\":\"https://www.ncbi.nlm.nih.gov/pmc/articles/PMC11928903/pdf/\",\"citationCount\":\"0\",\"resultStr\":null,\"platform\":\"Semanticscholar\",\"paperid\":null,\"PeriodicalName\":\"Annals of Gastroenterology\",\"FirstCategoryId\":\"1085\",\"ListUrlMain\":\"https://doi.org/10.20524/aog.2025.0947\",\"RegionNum\":0,\"RegionCategory\":null,\"ArticlePicture\":[],\"TitleCN\":null,\"AbstractTextCN\":null,\"PMCID\":null,\"EPubDate\":\"2025/2/25 0:00:00\",\"PubModel\":\"Epub\",\"JCR\":\"Q3\",\"JCRName\":\"GASTROENTEROLOGY & HEPATOLOGY\",\"Score\":null,\"Total\":0}","platform":"Semanticscholar","paperid":null,"PeriodicalName":"Annals of Gastroenterology","FirstCategoryId":"1085","ListUrlMain":"https://doi.org/10.20524/aog.2025.0947","RegionNum":0,"RegionCategory":null,"ArticlePicture":[],"TitleCN":null,"AbstractTextCN":null,"PMCID":null,"EPubDate":"2025/2/25 0:00:00","PubModel":"Epub","JCR":"Q3","JCRName":"GASTROENTEROLOGY & HEPATOLOGY","Score":null,"Total":0}
引用次数: 0

摘要

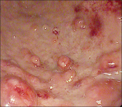
背景:我们评估内镜治疗(ET)对自身免疫性胃炎(AIG)胃肿瘤并发症的疗效。我们还评估了ET的安全性以及发生神经内分泌肿瘤(NETs)和胃腺癌(GA)的危险因素。方法:回顾性、单中心、观察性研究。所有1987年至2019年间诊断为AIG且至少有1次上颌内窥镜检查的患者均被纳入研究。结果:研究人群包括88例患者(68.2%为女性)。中位随访时间为5年(1-28年)。88例患者中有39例(44.3%)诊断出132例NETs(中位年龄50.0岁,范围27.0-85.0岁)。平均病变大小为7.1 mm(范围1-30);G1 NETs 80支,G2 NETs 52支。132例病变中,86.3%(114/132)经内镜切除,以内镜粘膜切除居多(105/114,92.1%),无并发症发生。只有1例患者接受了手术。12例(13.6%),其中女性7例;中位年龄76.0岁;年龄范围为53.0 ~ 90.0岁)。其中66.7%(8/12)需要手术治疗,4例患者行内镜切除。只有2例患者出现NETs和GA(2.8%)。出现NETs的患者在AIG诊断时明显比GA患者年轻:52.0(18.0-85.0)比67.0(44.0-81.0)岁(P=0.008)。表现为GA的患者明显比表现为NETs的患者年龄大:76.0(53.0-90.0)比50.0(27.0-85.0)岁。GA是罕见的,发生在明显老年患者,通常需要手术。
本文章由计算机程序翻译,如有差异,请以英文原文为准。

Effective endoscopic management of gastric neoplastic complications in patients with autoimmune gastritis: results of a monocentric study of 88 patients.

Effective endoscopic management of gastric neoplastic complications in patients with autoimmune gastritis: results of a monocentric study of 88 patients.

Effective endoscopic management of gastric neoplastic complications in patients with autoimmune gastritis: results of a monocentric study of 88 patients.

Effective endoscopic management of gastric neoplastic complications in patients with autoimmune gastritis: results of a monocentric study of 88 patients.

Background: We evaluated the efficacy of endoscopic treatment (ET) for gastric neoplastic complications of autoimmune gastritis (AIG). We also assessed the safety of ET and the risk factors for the occurrence of neuroendocrine tumors (NETs) and gastric adenocarcinoma (GA).

Methods: This was a retrospective, single-center, observational study. All patients diagnosed with AIG between 1987 and 2019 and had at least 1 upper endoscopy available were included.

Results: The study population comprised 88 patients (68.2% female). The median follow up was 5 years (range 1-28). A total of 132 NETs were diagnosed in 39/88 patients (44.3%) (median age 50.0 years, range 27.0-85.0 years). The mean lesion size was 7.1 mm (range 1-30); there were 80 G1 NETs and 52 G2 NETs. Among the 132 lesions, 86.3% (114/132) were endoscopically resected, mostly by endoscopic mucosal resection (105/114, 92.1%), without complications. Only 1 patient underwent surgery. Twelve patients (13.6%) (7 females; median age, 76.0 years; range, 53.0-90.0 years) presented with GA. Of these, 66.7% (8/12) needed surgery, while 4 patients underwent exclusive endoscopic resection. Only 2 patients presented with NETs and GA (2.8%). Patients who presented with NETs were significantly younger at AIG diagnosis than patients with GA: 52.0 (18.0-85.0) vs. 67.0 (44.0-81.0) years (P=0.008). Patients who presented with GA were significantly older than those who presented with NETs: 76.0 (53.0-90.0) vs. 50.0 (27.0-85.0) years (P<0.001).

Conclusion: ET of NETs for AIG is effective and safe. GA is rarer, occurs in significantly older patients, and usually requires surgery.

求助全文
通过发布文献求助,成功后即可免费获取论文全文。 去求助
来源期刊
Annals of Gastroenterology
Annals of Gastroenterology GASTROENTEROLOGY & HEPATOLOGY-
CiteScore
4.30
自引率
0.00%
发文量
58
×
引用
GB/T 7714-2015
复制
MLA
复制
APA
复制
导出至
BibTeX EndNote RefMan NoteFirst NoteExpress
×
提示
您的信息不完整,为了账户安全,请先补充。
现在去补充
×
提示
您因"违规操作"
具体请查看互助需知
我知道了
×
提示
确定
请完成安全验证×
copy
已复制链接
快去分享给好友吧!
我知道了
右上角分享
点击右上角分享
0
联系我们:info@booksci.cn Book学术提供免费学术资源搜索服务,方便国内外学者检索中英文文献。致力于提供最便捷和优质的服务体验。 Copyright © 2023 布克学术 All rights reserved.
京ICP备2023020795号-1
ghs 京公网安备 11010802042870号
Book学术文献互助
Book学术文献互助群
群 号:604180095
Book学术官方微信