选择牙髓干细胞供体的新考虑:一项初步研究。

IF 2.9 4区 医学 Q3 ENGINEERING, BIOMEDICAL
Mingchang Hu, Qianqian Zhang, Jidong Xu, Linlin Xu, Xuecheng Xu, Jiajia Wang, Yu Song
{"title":"选择牙髓干细胞供体的新考虑:一项初步研究。","authors":"Mingchang Hu, Qianqian Zhang, Jidong Xu, Linlin Xu, Xuecheng Xu, Jiajia Wang, Yu Song","doi":"10.1186/s12938-025-01367-8","DOIUrl":null,"url":null,"abstract":"<p><strong>Background/purpose: </strong>Tissue engineering based on stem cell therapy necessitates a substantial quantity of high-quality stem cells. However, current sources face limitations, including narrow donor pools, compromised biological properties due to cryopreservation, and cellular senescence resulting from in vitro passaging and expansion. This study examines the impact of mild periodontitis on the biological performance of dental pulp stem cells (DPSCs) to explore the potential of broadening the donor pool for these cells.</p><p><strong>Materials and methods: </strong>The experiment included two variables: age and the presence of periodontitis. DPSCs were isolated from six healthy subjects and six patients with mild periodontitis. Healthy subjects were categorized into Groups A (28-32 years) and B (52-54 years), and patients with mild periodontitis were categorized into Groups C (31-33 years) and D (50-53 years). The analyses included cell morphology, proliferation rate, multilineage differentiation capacity, apoptosis, and surface marker expression.</p><p><strong>Result: </strong>No significant differences in cell morphology, pluripotency, or senescence were observed between healthy controls and periodontitis patients across age groups. Additionally, data on proliferation, pluripotency, and senescence were not significantly different. In healthy subjects, increased age was correlated with more elongated, flattened, and broader cells, alongside greater heterogeneity and intercellular granules. The proliferation and differentiation capacities decreased, whereas the degree of apoptosis increased. Similar trends were noted in patients with periodontitis.</p><p><strong>Conclusion: </strong>The biological properties of DPSCs remain unchanged in teeth with mild periodontitis, providing valuable insights for addressing the shortage of DPSCs in tissue engineering. Teeth with mild periodontitis have the potential to be pulp stem cell donors.</p>","PeriodicalId":8927,"journal":{"name":"BioMedical Engineering OnLine","volume":"24 1","pages":"37"},"PeriodicalIF":2.9000,"publicationDate":"2025-03-21","publicationTypes":"Journal Article","fieldsOfStudy":null,"isOpenAccess":false,"openAccessPdf":"https://www.ncbi.nlm.nih.gov/pmc/articles/PMC11929365/pdf/","citationCount":"0","resultStr":"{\"title\":\"New considerations in selecting donors for dental pulp stem cells: a pilot study.\",\"authors\":\"Mingchang Hu, Qianqian Zhang, Jidong Xu, Linlin Xu, Xuecheng Xu, Jiajia Wang, Yu Song\",\"doi\":\"10.1186/s12938-025-01367-8\",\"DOIUrl\":null,\"url\":null,\"abstract\":\"<p><strong>Background/purpose: </strong>Tissue engineering based on stem cell therapy necessitates a substantial quantity of high-quality stem cells. However, current sources face limitations, including narrow donor pools, compromised biological properties due to cryopreservation, and cellular senescence resulting from in vitro passaging and expansion. This study examines the impact of mild periodontitis on the biological performance of dental pulp stem cells (DPSCs) to explore the potential of broadening the donor pool for these cells.</p><p><strong>Materials and methods: </strong>The experiment included two variables: age and the presence of periodontitis. DPSCs were isolated from six healthy subjects and six patients with mild periodontitis. Healthy subjects were categorized into Groups A (28-32 years) and B (52-54 years), and patients with mild periodontitis were categorized into Groups C (31-33 years) and D (50-53 years). The analyses included cell morphology, proliferation rate, multilineage differentiation capacity, apoptosis, and surface marker expression.</p><p><strong>Result: </strong>No significant differences in cell morphology, pluripotency, or senescence were observed between healthy controls and periodontitis patients across age groups. Additionally, data on proliferation, pluripotency, and senescence were not significantly different. In healthy subjects, increased age was correlated with more elongated, flattened, and broader cells, alongside greater heterogeneity and intercellular granules. The proliferation and differentiation capacities decreased, whereas the degree of apoptosis increased. Similar trends were noted in patients with periodontitis.</p><p><strong>Conclusion: </strong>The biological properties of DPSCs remain unchanged in teeth with mild periodontitis, providing valuable insights for addressing the shortage of DPSCs in tissue engineering. Teeth with mild periodontitis have the potential to be pulp stem cell donors.</p>\",\"PeriodicalId\":8927,\"journal\":{\"name\":\"BioMedical Engineering OnLine\",\"volume\":\"24 1\",\"pages\":\"37\"},\"PeriodicalIF\":2.9000,\"publicationDate\":\"2025-03-21\",\"publicationTypes\":\"Journal Article\",\"fieldsOfStudy\":null,\"isOpenAccess\":false,\"openAccessPdf\":\"https://www.ncbi.nlm.nih.gov/pmc/articles/PMC11929365/pdf/\",\"citationCount\":\"0\",\"resultStr\":null,\"platform\":\"Semanticscholar\",\"paperid\":null,\"PeriodicalName\":\"BioMedical Engineering OnLine\",\"FirstCategoryId\":\"5\",\"ListUrlMain\":\"https://doi.org/10.1186/s12938-025-01367-8\",\"RegionNum\":4,\"RegionCategory\":\"医学\",\"ArticlePicture\":[],\"TitleCN\":null,\"AbstractTextCN\":null,\"PMCID\":null,\"EPubDate\":\"\",\"PubModel\":\"\",\"JCR\":\"Q3\",\"JCRName\":\"ENGINEERING, BIOMEDICAL\",\"Score\":null,\"Total\":0}","platform":"Semanticscholar","paperid":null,"PeriodicalName":"BioMedical Engineering OnLine","FirstCategoryId":"5","ListUrlMain":"https://doi.org/10.1186/s12938-025-01367-8","RegionNum":4,"RegionCategory":"医学","ArticlePicture":[],"TitleCN":null,"AbstractTextCN":null,"PMCID":null,"EPubDate":"","PubModel":"","JCR":"Q3","JCRName":"ENGINEERING, BIOMEDICAL","Score":null,"Total":0}
引用次数: 0

摘要

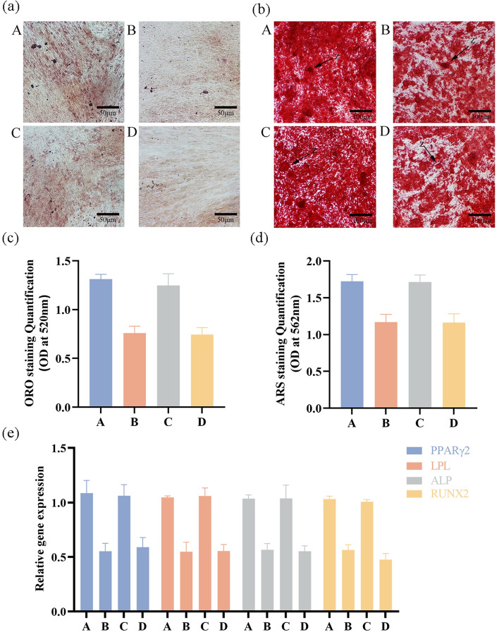
背景/目的:以干细胞治疗为基础的组织工程需要大量高质量的干细胞。然而,目前的来源面临局限性,包括供体池狭窄,低温保存导致的生物学特性受损,以及体外传代和扩增导致的细胞衰老。本研究探讨轻度牙周炎对牙髓干细胞(DPSCs)生物学性能的影响,以探索扩大这些细胞供体池的潜力。材料和方法:实验包括两个变量:年龄和牙周炎的存在。从6名健康受试者和6名轻度牙周炎患者中分离DPSCs。健康受试者分为A组(28 ~ 32岁)和B组(52 ~ 54岁),轻度牙周炎患者分为C组(31 ~ 33岁)和D组(50 ~ 53岁)。分析包括细胞形态、增殖率、多系分化能力、凋亡和表面标志物表达。结果:不同年龄组的健康对照组和牙周炎患者在细胞形态、多能性或衰老方面均无显著差异。此外,在增殖、多能性和衰老方面的数据没有显著差异。在健康受试者中,年龄的增长与细胞更长、更扁平、更宽以及更大的异质性和细胞间颗粒相关。细胞增殖和分化能力下降,细胞凋亡程度增加。牙周炎患者也有类似的趋势。结论:DPSCs在轻度牙周炎牙体中的生物学特性保持不变,为解决DPSCs在组织工程中的不足提供了有价值的见解。患有轻度牙周炎的牙齿有可能成为牙髓干细胞的供体。
本文章由计算机程序翻译,如有差异,请以英文原文为准。

New considerations in selecting donors for dental pulp stem cells: a pilot study.

New considerations in selecting donors for dental pulp stem cells: a pilot study.

New considerations in selecting donors for dental pulp stem cells: a pilot study.

New considerations in selecting donors for dental pulp stem cells: a pilot study.

Background/purpose: Tissue engineering based on stem cell therapy necessitates a substantial quantity of high-quality stem cells. However, current sources face limitations, including narrow donor pools, compromised biological properties due to cryopreservation, and cellular senescence resulting from in vitro passaging and expansion. This study examines the impact of mild periodontitis on the biological performance of dental pulp stem cells (DPSCs) to explore the potential of broadening the donor pool for these cells.

Materials and methods: The experiment included two variables: age and the presence of periodontitis. DPSCs were isolated from six healthy subjects and six patients with mild periodontitis. Healthy subjects were categorized into Groups A (28-32 years) and B (52-54 years), and patients with mild periodontitis were categorized into Groups C (31-33 years) and D (50-53 years). The analyses included cell morphology, proliferation rate, multilineage differentiation capacity, apoptosis, and surface marker expression.

Result: No significant differences in cell morphology, pluripotency, or senescence were observed between healthy controls and periodontitis patients across age groups. Additionally, data on proliferation, pluripotency, and senescence were not significantly different. In healthy subjects, increased age was correlated with more elongated, flattened, and broader cells, alongside greater heterogeneity and intercellular granules. The proliferation and differentiation capacities decreased, whereas the degree of apoptosis increased. Similar trends were noted in patients with periodontitis.

Conclusion: The biological properties of DPSCs remain unchanged in teeth with mild periodontitis, providing valuable insights for addressing the shortage of DPSCs in tissue engineering. Teeth with mild periodontitis have the potential to be pulp stem cell donors.

求助全文
通过发布文献求助,成功后即可免费获取论文全文。 去求助
来源期刊
BioMedical Engineering OnLine
BioMedical Engineering OnLine 工程技术-工程:生物医学
CiteScore
6.70
自引率
2.60%
发文量
79
审稿时长
1 months
期刊介绍: BioMedical Engineering OnLine is an open access, peer-reviewed journal that is dedicated to publishing research in all areas of biomedical engineering. BioMedical Engineering OnLine is aimed at readers and authors throughout the world, with an interest in using tools of the physical and data sciences and techniques in engineering to understand and solve problems in the biological and medical sciences. Topical areas include, but are not limited to: Bioinformatics- Bioinstrumentation- Biomechanics- Biomedical Devices & Instrumentation- Biomedical Signal Processing- Healthcare Information Systems- Human Dynamics- Neural Engineering- Rehabilitation Engineering- Biomaterials- Biomedical Imaging & Image Processing- BioMEMS and On-Chip Devices- Bio-Micro/Nano Technologies- Biomolecular Engineering- Biosensors- Cardiovascular Systems Engineering- Cellular Engineering- Clinical Engineering- Computational Biology- Drug Delivery Technologies- Modeling Methodologies- Nanomaterials and Nanotechnology in Biomedicine- Respiratory Systems Engineering- Robotics in Medicine- Systems and Synthetic Biology- Systems Biology- Telemedicine/Smartphone Applications in Medicine- Therapeutic Systems, Devices and Technologies- Tissue Engineering
×
引用
GB/T 7714-2015
复制
MLA
复制
APA
复制
导出至
BibTeX EndNote RefMan NoteFirst NoteExpress
×
提示
您的信息不完整,为了账户安全,请先补充。
现在去补充
×
提示
您因"违规操作"
具体请查看互助需知
我知道了
×
提示
确定
请完成安全验证×
copy
已复制链接
快去分享给好友吧!
我知道了
右上角分享
点击右上角分享
0
联系我们:info@booksci.cn Book学术提供免费学术资源搜索服务,方便国内外学者检索中英文文献。致力于提供最便捷和优质的服务体验。 Copyright © 2023 布克学术 All rights reserved.
京ICP备2023020795号-1
ghs 京公网安备 11010802042870号
Book学术文献互助
Book学术文献互助群
群 号:604180095
Book学术官方微信